Chapter 67 - Urethra Flashcards

(70 cards)

1
Q

What is the length range of the male horse’s urethra

A

male horse’s urethra is approximately 75 to 90 cm long

How well did you know this?
1
Not at all
2
3
4
5
Perfectly
2
Q

how does the intrapelvic portion widen in diameter?

A

The intrapelvic portion widens in an elliptical pattern to a diameter of 5 cm (2 in) across and 2 to 3 cm (1–1.5 in) from dorsal to ventral.

How well did you know this?
1
Not at all
2
3
4
5
Perfectly
3
Q

What structure is found a few centimeters caudal to the male horse’s urethral orifice, and what is its significance?

A

The colliculus seminalis is found a few cms caudal to the urethral orifice. It is the site of the paired ejaculatory ducts, which are the common openings of the ductus deferens and ducts of the seminal vesicles.

How well did you know this?
1
Not at all
2
3
4
5
Perfectly
4
Q

Where are the openings of the prostatic ducts located in the male horse’s urethra? and how are they arranged?

A

The openings of the prostatic ducts are arranged as two groups of small papillae on either side of the colliculus seminalis.

How well did you know this?
1
Not at all
2
3
4
5
Perfectly
5
Q

Where do the bulbourethral glands open in the male horse’s urethra, and how are they positioned in relation to the colliculus seminalis?

A

The bulbourethral glands open in paired dorsal rows of 6 to 8 ducts each, positioned 2 to 3 cm farther caudad from the colliculus seminalis.

How well did you know this?
1
Not at all
2
3
4
5
Perfectly
6
Q

What is the terminal structure of the male horse’s urethra, and what protrudes under the tip of the glans penis?

A

The urethra terminates at the** glans penis**, where a urethral process protrudes 1 to 2 cm under the tip of the glans.

How well did you know this?
1
Not at all
2
3
4
5
Perfectly
7
Q

What is the composition of the penis in terms of vascular, erectile bodies, and what is the role of the CCP and CSP?

A

The penis comprises two vascular, erectile bodies:

  • a larger corpus cavernosum penis (CCP)
  • smaller corpus spongiosum penis (CSP).

The CCP forms most of the dorsal aspect, while the CSP forms a vascular tube surrounding the urethra along the ventral aspect.

How well did you know this?
1
Not at all
2
3
4
5
Perfectly
8
Q

What is the role of the bulbospongiosus muscle?

A

bulbospongiosus muscle is a continuation of the urethralis muscle It surrounds the** CSP around the urethra and extends from the ischial arch to the glans penis.
It acts to
empty the CSP of blood **after ejaculation or urination.

How well did you know this?
1
Not at all
2
3
4
5
Perfectly
9
Q

What muscle covers the intrapelvic urethra in the male horse, and what is its significance in ejaculation?

A

The urethralis muscle covers the intrapelvic urethra and bulbourethral glands. Its forcible contraction plays an important role in ejaculation.

How well did you know this?
1
Not at all
2
3
4
5
Perfectly
10
Q

What is the function of the urethral process in the male horse’s penis

A

urethral process protrudes under the tip of the glans penis

How well did you know this?
1
Not at all
2
3
4
5
Perfectly
11
Q

what is the urethral sinus?

A

Above urethral process there is the urethral sinus, a bilobed, recessed area where the “bean” of smegma accumulates.

How well did you know this?
1
Not at all
2
3
4
5
Perfectly
12
Q

What is the length of the female horse’s urethra, and where is its external opening located?

A

The female horse’s urethra is about 5 cm (2 in) long, and its external opening lies at the anterior end of the vestibule.

How well did you know this?
1
Not at all
2
3
4
5
Perfectly
13
Q

What are the disorders of the urethra that require surgery?

A

Congenital:

1) rectourethral fistula

2) rectovaginal fistula

Acquired

1) urolithiasis

2) soft tissue obstructions

3) hematomas

4) lacerations

How well did you know this?
1
Not at all
2
3
4
5
Perfectly
14
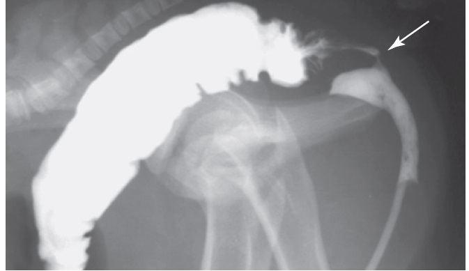
Q
A

A positive contrast urethrogram in a 3-day-old burro thatpresented with atresia ani and intermittent passage of fecal material fromthe urethra. A catheter was passed via the urethra and contrast agentwas injected, resulting in accumulation of a large amount of contrastagent in the rectum and a lesser amount in the intrapelvic portion of theurethra. A small amount of contrast agent can be seen in the urethrorectalfistula (arrow).

How well did you know this?
1
Not at all
2
3
4
5
Perfectly
15
Q
A
How well did you know this?
1
Not at all
2
3
4
5
Perfectly
16
Q

What signs may support the presence of rectourethral or rectovaginal fistulas in affected foals?

A

Passage of fecal material from the vulva or penis is a sign supporting the presence of rectourethral or rectovaginal fistulas in affected foals.

How well did you know this?
1
Not at all
2
3
4
5
Perfectly
17
Q

What diagnostic procedures are used to confirm rectovaginal fistulas in fillies and rectourethral fistulas in colts?

A

Digital palpation of the dorsal vestibule and vagina may detect rectovaginal fistulas in fillies. In colts, a definitive diagnosis usually requires contrast radiographic procedures like a **barium enema **or a retrograde urethrogram.

How well did you know this?
1
Not at all
2
3
4
5
Perfectly
18
Q

Is there evidence of hereditary factors associated with rectourethral and rectovaginal fistulas in horses?

A

Yes

How well did you know this?
1
Not at all
2
3
4
5
Perfectly
19
Q

What are the clinical signs of obstructive urethrolithiasis in male horses?

A

Obstructive urethrolithiasis in male horses can present with:
1) bladder distention,
2) frequent posturing to urinate,
3) renal colic
4) persistently dropped penis that may drip urine.

How well did you know this?
1
Not at all
2
3
4
5
Perfectly
20
Q

How can obstruction be confirmed in horses with obstructive urethrolithiasis?

A

Detection of a markedly distended urethra below the anus

+ large, turgid bladder on rectal palpation can confirm obstruction in horses with obstructive urethrolithiasis.
Emergency condition!!

How well did you know this?
1
Not at all
2
3
4
5
Perfectly
21
Q

What complications may arise in horses with obstructive urethrolithiasis that has persisted for more than 1 to 2 days?

A

Bladder leakage or rupture may occur, leading to abdominal distention from uroabdomen (uroperitoneum) in horses with obstructive urethrolithiasis persisting for more than 1 to 2 days.

How well did you know this?
1
Not at all
2
3
4
5
Perfectly
22
Q

How is obstructive urethrolithiasis typically treated to prevent bladder rupture?

A

1) Endoscopically with snare, laser or lithotripsy
2) Perineal urethrotomy (PU) into the distended urethra to prevent bladder rupture
3) Distal urethrotomy

How well did you know this?
1
Not at all
2
3
4
5
Perfectly
23
Q

What is the composition of urethroliths in horses, and what are their characteristic features?

A

Urethroliths are 1rily composed of calcium carbonate crystals - spiculated - allowing them to become embedded in the surrounding urethral mucosa.

How well did you know this?
1
Not at all
2
3
4
5
Perfectly
24
Q

What are the alternative methods if a urethrolith cannot be dislodged by hydropulsion or gentle prodding?

A

1) snaring the stone using a device passed through the biopsy channel of an endoscope,
2) endoscopically guided electrohydraulic or laser lithotripsy
3) perineal uretrotomy
4) distal uretrotomy

How well did you know this?
1
Not at all
2
3
4
5
Perfectly
25
What novel approach involves shock wave therapy for urethrolith fragmentation in equids?
Radial extracorporeal shock wave therapy (RSWT), using a device commonly used for therapy of musculoskeletal problems, was reported to successfully fragment obstructive urethroliths in three equids.
26
How is second-intention healing of PU incisions related to urethrolith removal in horses?
results in **dilation** of the urethra** above the ischial arch**, and** urethral strictures** are more likely a consequence of **damage and associated inflammation.**
27
What complications may arise if an indwelling urethral catheter is used for an extended period after urethrolith removal?
increase the risk of ascending urinary tract infection.
28
A cross section of the equine penis at the level of theischial arch showing two separate vascular structures: A, Corpus cavernosumpenis; B, urethral lumen; C, corpus spongiosum penis; D, bulbospongiosismuscle.
29
Figure 67-4. Gross pathology photographs of the urinary tract from a 17-year-old Arabian gelding that suffered four bouts of obstructive urethrolithiasis over a 10-year period. The right kidney and ureter were enlarged (A) and the kidney parenchyma had been replaced by an abscess containing multiple nephroliths (B).
30
Figure 67-3. Endoscopic images of the urethra revealing distention at the level of the ischial arch (A) and a urethral stricture at the site of a previous obstructing urethrolith (B). Both images were recorded approximately 1 year following the initial examination.
31
Figure 67-5. Photographs of the front view (A) and hind view (B) of the prepuce and ventral abdomen of a horse with marked tissue inflammation and necrosis several days following urethral disruption and accumulation of urine in tissues of the perineum, prepuce, and ventral abdomen
32
Figure 67-6. A cross section of the equine penis at the level of the ischial arch showing two separate vascular structures: A, Corpus cavernosum penis; B, urethral lumen; C, corpus spongiosum penis; D, bulbospongiosis muscle.
33
Following urolithiasis what is the postoperative management?
Kt in urethral mucosa no longer than 5-7 days AB as long as kt stays NSAIDS 3-5 days REduce forage rich in calcium alfafa hay
34
In case of obstructive urethrolithiasis was is mandatory investigate?
**1. check Upper tract disease** - some have normal renal function but also have postreanal failure after acute obstruction **2. Culture of urina**
35
What is the soft tissues most common?
Lesion in the **distal urethra** due to **trauma in males**
36
What are other causes?
neoplasms + hematomas + strictures + parasitic granulomas (distal)
37
What is the most common neoplasia 79%?
SCC> papiloma 10% > melanoma 6%
38
What are the clinical signs of soft tissue lesion?
Preputial discharge + dysuria and only rarely cause urethral obstruction
39
What are the complaints and most common site?
Penile mass. malodourus purulent preputial discharge, impaired urination Most affected site is glans penis
40
What is the best treatments for SCC?
sx resection +intralesional cisplatin --> had success rate of 88% for SCC
41
Can papillomas affect a population in specific?
Yes young horses as bulls and is self-limiting
42
Melanomas is commonly seen where?
prepuce and penis amenable with cryotherapy and surgical removal and laser ablation
43
What is the treatment for hematoma?
sexual rest + hydrotherapy + drainage with needle by aspirationTemporary placement
44
What are teh causes or urethral stricture?
Blunt or sharp traumatic injury + damage of urethral mucosafrom an obstructive urethrolith
45
What are the tx options for urethral stricture?
1. phallectomy 2. ballon dilation of the stricture site 3. laser ablation 4. absorbable urethral stent
46
What does it mean urethrorrhexis?
urethral rupture or laceration
47
What is the cause of urethrorrhexis?
Traumatic origin - kicked or blunt sharp trauma or complication of urethral obstruction with aurolith or accidental during castration
48
What is the zone more prone to trauma?
ischial arch
49
How do you perform the diagnosis?
**Marked soft tissue swelling** of the perineum + prepuce + penis + caudoventral abdomen at the time of presentation **Rectal palpation** is not much conclusive **Retrograde infusion** of flush through kt **Urethroscopic exam** **US** reveals fluid accumulation in tissue planes **Retrograde contrast radiography**
50
what is the treatment of urethrorrhexis?
Diverge the urine accumulation through catheter placed into the bladder for 5-7days AB NSAIDs Wounds heal by 2nd intention
51
What is the typical sign of hematuria or hemospermia?
Affected horses generally **void a normal volume of urine** that is not discolored --> it is atthe **END bright red blood exit the penis**
52
hemospermia and hematuria what is the origin
acessory sex glands - seminal vesiculits or neoplasia
53
What are the symptoms in horses with hematuria/hemospermia?
Examination of affected horses is generally unremarkable,and laboratory analysis of blood reveals normal renal functional though** mild anemia (packed cell volume 25% to 30%)** is ano ccasional finding.
54
hematuria/hemospermia What is the cause ?
Pathophysiology unclear - ^^ Mii. Mmmuytear or rent develops as a “blowout” of the CSP into the urethral lumen
55
The urethral incision is performed immediately dorsal tothe ischium to decrease the likelihood of postoperative urine scalding ina horse with a perineal urethrotomy. Preoperative placement of a stallionurinary catheter facilitates intraoperative identification and exposure ofthe urethra.
56
Figure 67-7. Four endoscopic images showing the variable appearance of urethral rents (arrows) causing hematuria at the end of urination in geldings or hemospermia in stallions. A consistent finding is that urethral rents are located along the concave (or caudal) aspect of the urethra at the level of the ischial arch.
57
Figure 67-8. The urethral incision is performed immediately dorsal to the ischium to decrease the likelihood of postoperative urine scalding in a horse with a perineal urethrotomy. Preoperative placement of a stallion urinary catheter facilitates intraoperative identification and exposure of the urethra.
58
Figure 67-9. Perineal urethrotomy for temporary urinary diversion will heal by secondary intention with minimal complications.
59
Figure 67-10. (A) Perineal urethrostomy for chronic urinary diversion after partial phallectomy by EN BLOC resection in a gelding with severe preputial and penile squamous cell carcinoma. (B) Accurate apposition of mucosal and cutaneous layers is essential to minimize postoperative complications.
60
Is there a predisposition of breed and local for urethral/rent tears?
Interestingly, the majority of geldings with proximal urethraltears have been Quarter Horses and is at level of the ischial arch. Unusual configuration of perineum
61
Asymmetry of the perineum in two geldings with proximal urethral rents causing hematuriaimmediately after urination. (A) Note widening of the perineum
62
Which surgical procedures are describe for urethral recovery?
1) PERINEAL URETHROTOMY AND URETHROSTOMY 2)DISTAL URETHROTOMY 3) URETHROSPLASTY
63
Describe surgical approach of perineal urethrotomy (PU)
Epidural anesth Evacuate rectum Tail tied Insert bladder catheter to ID urethra 6to 8 cm longitudinal midline skin incision is made in the perineum WHERE? 4 to 6 cm ventral to the anus ventradto just distal to the ischial arch Subcut tissues are divided + longitudinal incision is continued deepto divide the paired retractor penis muscles and the bulbospongiosus muscle The incision is continued through the CSP that envelops the urethra. The urethra is exposed by retraction of these muscles. The urethra is ID + stabilized by palpation of the urinary catheter Longitudinal incision is made along the caudal surface of the urethra+ the mucosa is reflected laterally. Wound managed by 2nd healing
64
If permanent urethrostomy is desired what should be performed?
the muscles of the ventralpenis are sutured along their cut edges with a continuous sutureof USP size 3-0 synthetic absorbable suture material to controlhemorrhage. The urethral mucosa and skin are approximatedusing interrupted sutures of USP size 2-0 or 3-0 syntheticmonofilament absorbable or nonabsorbable suture material
65
what are the complications of urethrotomy/urethrostomy?
olic, stranguria,transient detrusor atony, cystitis, and urethral fistula. Majorcomplications included severe hemorrhage from the urethrotomysite that required a blood transfusion, ruptured bladder, urinescalding, and urethral stricture
66
What is a major factor that seems related to postop complications?
Indewlling kt
67
How do you perform distal urethrotomy
Distal urethrotomy may be required to remove an obstructionthat cannot be resolved using endoscopic techniques. DR - similar to PU - Incisions are made over or slightly proximal to the urethralcalculus - US assisted After removalof the calculus, the incision is closed in anatomic fashion usingUSP size 3-0 synthetic absorbable suture material. It is importantto accurately reconstruct the CSP and bulbospongiosus muscleto reduce the risk for urine leakage and development of cellulitis
68
What is the goal of urethroplasty?
Repair of a urethral laceration
69
How do you perform the surgery urethroplasty
GA if penis distal to scrotum otherwise can be standing Repair of a urethral laceration is consistent with the repair of any other hollow viscus. Careful attention to wound débridement, lavage, and preservation of intrinsic vascular and neural supply is important. If the **urethral laceration is circumferential**, an e**nd-to-end anastomosis** will be required. Small-diameter (USPsize 3-0 or 4-0) absorbable suture material should be used. **Appropriate apposition of the urethral mucos**a is important to avoid stricture formation. The use of an intraluminal stent (urinary catheter) for the repair of a lacerated urethra is considered acceptable
70
What is the postoperative care urethroplasty?
Hygiene around the surgical site is imperative. Because the value of chronic catheterizationis unclear, it is best to remove the catheter as soon aspossible There is a highrisk of urine soilage and urine scalding of the hindlimbs andventral perineum. T - petrolleum an d emollients applied AB and NSAIDS Monitor urine