Chapter 97 - Humerus Flashcards

(126 cards)

1
Q

Which part of the humerus bone forms the intertubercular groove?

A

The greater, intermediate, and lesser tubercles.

How well did you know this?
1
Not at all
2
3
4
5
Perfectly
2
Q
A

Ultrasound from left to righ you see the lateral aspect of humerus observe a little bit of fluid, biccipital bursa and great trochanter
In the middle you see intermedial tubercle and lat and medial lobes of bicipital bursa
Finally on right you see medial lobe and has a lot of muscle tissue in this are

How well did you know this?
1
Not at all
2
3
4
5
Perfectly
3
Q
A

From left to right we go from distal to proximal zone of the bone we see bicipital tendon a bit less defined in the first left image (2transverse image and 1 longitudinal) in the second image the supraglenoid tuberosity and the tendon is smaller because originates here and the third image is 90º image (longitudinal) where we see the tendon going to the supraglenoid

How well did you know this?
1
Not at all
2
3
4
5
Perfectly
4
Q

Which muscle is responsible for shoulder flexion and forelimb abduction and originates from the deltoid tuberosity?

A

Deltoid muscle.

How well did you know this?
1
Not at all
2
3
4
5
Perfectly
5
Q

What is the primary function of the radial nerve in the equine forelimb?

A

Extension of the elbow.

How well did you know this?
1
Not at all
2
3
4
5
Perfectly
6
Q

What clinical signs are observed when the radial nerve is injured proximal to the triceps branches in horses?

A

Inability to bear weight on the limb and hold the carpus and digit in the flexed position.

How well did you know this?
1
Not at all
2
3
4
5
Perfectly
7
Q

Which nerves supply the flexors of the upper and lower limb in horses?

A

The musculocutaneous, median, and ulnar nerves.

How well did you know this?
1
Not at all
2
3
4
5
Perfectly
8
Q

What is the primary role of the axillary artery and vein in the equine forelimb?

A

Give rise to the brachial artery and vein.

How well did you know this?
1
Not at all
2
3
4
5
Perfectly
9
Q

What is the primary role of the cephalic vein in the equine forelimb?

A

Continue distad in the groove between the brachiocephalicus and descending pectoral muscles.

How well did you know this?
1
Not at all
2
3
4
5
Perfectly
10
Q

What structures form the cubital joint in the equine forelimb?

A

The humeral condyle and the olecranon fossa.

How well did you know this?
1
Not at all
2
3
4
5
Perfectly
11
Q

What provides lateral stability to the equine shoulder joint?

A

Supraspinatus and infraspinatus muscles.

How well did you know this?
1
Not at all
2
3
4
5
Perfectly
12
Q

Which muscle serves as an adductor of the equine forelimb and inserts on the deltoid tuberosity?

A

Superficial pectoral muscle.

How well did you know this?
1
Not at all
2
3
4
5
Perfectly
13
Q

What is the primary etiology of greater tubercle fractures in horses?

A

Traumatic episodes, such as kick injuries or falls.

How well did you know this?
1
Not at all
2
3
4
5
Perfectly
14
Q

Which part of the humerus is identified as the palpable “point of the shoulder”?

A

The cranial part of the greater tubercle.

How well did you know this?
1
Not at all
2
3
4
5
Perfectly
15
Q

What is a consistent finding on physical exams for horses with greater tubercle fractures?

A

Swelling and crepitation

How well did you know this?
1
Not at all
2
3
4
5
Perfectly
16
Q

How is the diagnosis of greater tubercle fractures verified?

A

Via radiography - fractures of GT better with Caudolateral-craniomedial oblique view.

How well did you know this?
1
Not at all
2
3
4
5
Perfectly
17
Q

Which patients with greater tubercle fractures may be managed with stall rest without surgical intervention?

A

Those with no to minimal displacement and adequate comfort will have stall rest of minimum 6 motnhs

How well did you know this?
1
Not at all
2
3
4
5
Perfectly
18
Q
A

Delta tuberosity in the central image you see transverse image the bone is only 1 cm from skin

How well did you know this?
1
Not at all
2
3
4
5
Perfectly
19
Q

What is recommended during the initial weeks of stall rest to reduce the risk of fragment displacement in horses with greater tubercle fractures?

A

stall rest, discouraging recumbency by cross-tying or preventing recumbency with sling support may reduce the risk of displace-ment of the fragment.

How well did you know this?
1
Not at all
2
3
4
5
Perfectly
20
Q

What should be performed prior to transitioning horses to small paddock turnout during nonsurgical treatment of greater tubercle fractures?

A

Radiographic examination to confirm progressive healing. If no healing this horses becoms uncomfortable surgery because of fragment displacement should be performed.

2/5 managed conservatively went back to sport

How well did you know this?
1
Not at all
2
3
4
5
Perfectly
21
Q

Why should patients with discomfort levels not allowing shared weight bearing between the affected and unaffected limbs be considered surgical candidates?

A

To reduce the risk of fragment displacement.

How well did you know this?
1
Not at all
2
3
4
5
Perfectly
22
Q
A

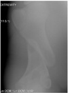
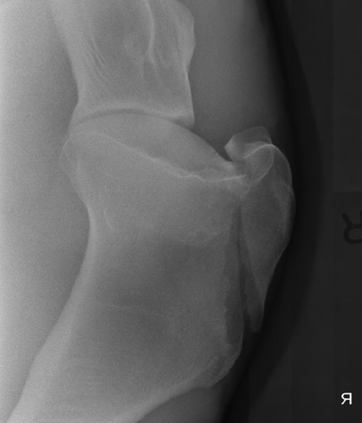
Figure 97-1. (A) Caudolateral-craniomedial oblique radiographic image of a minimally displaced greater tubercle fracture in an 18-year-old Arabian stallion that became acutely grade 4/5 right front lame after a fall. (B) Cranioproximal-craniodistal oblique radiographic image demonstrating the extension of the fracture line into the intertubercular groove.

How well did you know this?
1
Not at all
2
3
4
5
Perfectly
23
Q
A

Caudolateral-craniomedial radiographic view of the horse in Figure 97-1, 4 days later, demonstrating displacement secondary to distraction by the tendinous insertions of the infraspinatus and supraspinatus muscles.

How well did you know this?
1
Not at all
2
3
4
5
Perfectly
24
Q

What are the surgical treatment options for great tubercle humeral fractures?

A
  1. fragment removal
  2. open reduction and internal fixation (ORIF)
  3. minimally invasive internal fixation
How well did you know this?
1
Not at all
2
3
4
5
Perfectly
25
What are the surgical treatment options for humeral fractures?
Open reduction and internal fixation (ORIF) or minimally invasive internal fixation
26
When is fragment removal considered as a surgical option for humeral fractures?
Only for small fracture fragments not intertubercular groove
27
How is ORIF typically performed for humeral fractures?
In a recumbent patient under general anesthesia
28
How is the fracture fragment stabilized during ORIF?
With at least three 5.5-mm cortex screws in lag fashion through washers
29
Postoperative cranioproximal-craniodistal oblique radiograph of the horse in Figures 97-1 and 97-2. Three 5.5-mm cortex screws with washers were placed in lag fashion by a minimally invasive approach, using standing sedation and local anesthesia.
30
Why is assisted recovery recommended after surgery for humeral fractures?
To reduce the risk of fragment displacement
31
When is surgical treatment essential for humeral fractures?
Only in cases with displaced and unstable fragments
32
Describe the incision and landmarks for the approach to the great tubercle
The fracture is approached through a **lateral curvilinear incision** centered over the **scapulohumeral joint** and **extending distally** to the level of the **deltoid tuberosity.** Dissection is continued between the **brachiocephalicus** and **deltoideus** muscle to expose the greater tubercle. The **biceps brachii muscle** may be reflected medially to expose the fracture line within the **intertubercular groove.** Reduction of the proximally displaced fracture fragment may be facilitated through distal traction on the **4.0-mm drill guide** inserted into the glide hole prepared across the fragment. Following reduction, the fracture fragment is stabilized with at **least three 5.5-mm cortex** screws placed in **lag fashion through washers****
33
In some cases, despite successful surgical treatment, what may remain radiographically evident for months postoperatively?
The fracture line
34
Figure 97-4. Caudolateral-craniomedial oblique radiographic image of an 11-year-old Thoroughbred mare presenting for evaluation of a chronic, nonhealing, traumatic injury to the brachial region. A bone sequestrum is present on the deltoid tuberosity.
35
What is the ideal radiograph for diagnosis?
cranio45ºmedial caudolateral oblique
36
Figure 97-5. (A) Mediolateral radiographic image of the shoulder region demonstrating significant caudoproximal periosteal reaction in a horse affected by a humeral stress fracture in that location. (B) CT scout (left) and sagittal slice (right) at the level of the caudoproximal neck of an isolated humerus (postmortem) in a horse affected by a humeral stress fracture. Note the smooth, periosteal reaction in the region of cortical bone disruption.
37
Figure 97-7. Left and right humeri of a horse bilaterally affected by caudoproximal humeral stress fractures. The left humeral stress fracture has progressed to a complete, displaced humeral fracture resulting in euthanasia. (
38
39
What is the best radiographic view for deltoid tubercle ?
45º craniomedial-caudolateral oblique projection
40
Deltoid tuberosity fractures in horses are considered:
Rare
41
42
What is a common clinical sign associated with deltoid tuberosity fractures in horses?
Lameness with reduced protraction of the affected limb
43
What might hinder the evaluation of deltoid tuberosity fractures using ultrasonography?
Gas accumulation within the soft tissues
44
What is the recommended treatment for associated wounds in deltoid tuberosity fractures?
Appropriate wound management
45
Is deltoid fragment removal advised?
Fragment removal is NOT a recommended step in wound management for deltoid tuberosity fractures
46
How long should horses with deltoid tuberosity fractures be confined to a stall during initial treatment?
6-12 weeks
47
What type of medication may be administered during the initial weeks of stall confinement for deltoid tuberosity fractures?
Nonsteroidal anti-inflammatory drugs (NSAIDs)
48
What complications are horses at risk of if they cannot bear weight on the affected limb during stall confinement?
Laminitis
49
What is the prognosis for horses with deltoid tuberosity fractures treated with local wound care and stall rest?
Excellent
50
How many horses in a case series with deltoid tuberosity fractures returned to athletic function without lameness after treatment?
13 out of 14
51
What is the recommended course of treatment for deltoid tuberosity fractures associated with a fracture of the greater tubercle?
Surgery, same approach as discussed before for GT
52
In cases where the deltoid tuberosity is fractured alone, what is the recommended treatment?
Wound care and stall rest
53
What complication was experienced by one horse in the case series with deltoid tuberosity fractures who did not return to athletic function?
Bone sequestration
54
What is the success rate of surgical intervention in horses with deltoid tuberosity fractures?
Good
55
What is the primary factor influencing the prognosis for horses with deltoid tuberosity fractures? a) Age of the horse b) Breed of the horse c) Type of fracture d) Timeliness of treatment
c) Type of fracture
56
What is the main cause of stress remodeling in the humerus of racehorses?
Intense exercise
57
Which locations in the humerus are susceptible to stress-related injury in racing and training horses?
Caudoproximal, cranioproximal, caudodistal, and craniodistal cortex
58
What is a consequence of intense exercise in horses regarding humeral stress remodeling?
Stress fractures
59
In one case series, when were Thoroughbred racehorses at greater risk of complete humeral fracture? a) After a 1-month rest period b) After an increase in exercise following a 2-month or longer rest period c) After a winter break d) After a decrease in exercise
b) After an increase in exercise following a 2-month or longer rest period
60
What is the typical timing of complete humeral fractures in Thoroughbred racehorses after returning to race training? a) Within 6 months b) Within 1 year c) Within 10 days d) Within 30 days
c) Within 10 days
61
# [](http://)[](http://) How does intense exercise contribute to the risk of complete humeral fractures in horses?
It temporarily weakens the bone during the healing process.
62
What is the primary clinical sign of humeral stress fractures in horses?
Lameness - Stress fractures result in acute, moderate to severe lameness that may be exacerbated by manipulation of the upper limb. Clinical signs improve quickly with rest
63
In contrast to tibial stress fractures, which horses are more likely to experience humeral stress fractures?
Horses with more extensive race histories in 3 years old vs tibia that is younger (>2yo) and without any or few race records
64
What was the most commonly fractured bone among 129 instances of proximal limb and pelvic fractures in Hong Kong racehorses?
Humerus
65
What percentage of horses with proximal limb and pelvic fractures in Hong Kong returned to racing? a) 40% b) 60% c) 71.2% d) 90%
c) 71.2%
66
What is the diagnostic modality of choice when localizing clinical signs are present for humeral stress fractures? a) Nuclear scintigraphy b) Ultrasonography c) Computed tomography (CT) d) Radiography
d) Radiography
67
What radiographic findings suggest a humeral stress fracture?
c) Periosteal bone formation and medullary sclerosis
68
For humeral stress fractures there is sex, limb or seasonal predisposition?
No there is no prediposition
69
Which zone of the bone is associated with more severe and complete fractures of the humerus?
**Caudoproximal humeral stress** remodeling lesions are **more severe** and are associated with most of the complete fractures (Figure 97-7).
70
What is the recommended diagnostic modality when significant radiographic abnormalities are not identified? a) Ultrasonography b) Computed tomography (CT) c) Magnetic resonance imaging (MRI) d) Nuclear scintigraphy
d) Nuclear scintigraphy
71
Figure 97-6. Lateral nuclear scintigraphic image of the shoulder region demonstrating increased radiopharmaceutical uptake in the caudoproximal humeral region in a horse affected by a humeral stress fracture.
72
What is the primary treatment for humeral stress fractures in horses?
Rest for 1 month
73
When can a horse with a humeral stress fracture be allowed hand walking?
When no lameness is evident
74
What percentage of horses with humeral stress fractures developed complete humeral fractures in two case series? a) 0% b) 5% c) 10% d) 15%
a) 0%
75
What is the prevalence of humeral stress fracture recurrence in horses after rest and rehabilitation?
c) 15%
76
In cases of humeral stress fracture recurrence, where does the recurrence often involve? a) Contralateral limb b) Proximal limb c) Pelvic region d) Head and neck
a) Contralateral limb
77
Henderson VS 2020 Postinjury performance for differing humeral stress fracture locations in the racing thoroughbred - Which stress fracture location resulted in significantly greater postfracture earnings per start? a) Caudodistal b) Craniodistal
a) Caudodistal it happened in older horses that returned more quick and better to racing career with better earnings
78
What was the median time it took for horses to return to racing post humeral stress fracture?
244 days ~8 months
79
What is essential for horses returning to training after rest and rehabilitation to prevent stress fracture recurrence? a) Increased exercise intensity b) Continued clinical observation and appropriate management c) Medication d) Dietary supplements
b) Continued clinical observation and appropriate management
80
Henderson VS 2020 What conclusion can be drawn from the study regarding the prognosis for return to racing for thoroughbred racehorses? a) Age significantly affects the prognosis. b) Fracture location has no impact on the prognosis. c) Return-to-race time varies significantly by location. d) Prognosis for return to racing is good regardless of fracture location.
d) Prognosis for return to racing is good regardless of fracture location.
81
Johnston et al 2021 EVJ The effect of stress fracture occurring within the first 12 months of training on subsequent race performance in Thoroughbreds in Hong Kong What were the most common sites for stress fractures among the horses in the study? a) Femur and radius b) Tibia and metacarpus c) Humerus and tibia d) Pelvis and spine
c) Humerus and tibia
82
How did the race performance of horses with stress fractures compare to matched controls within the 12 months following diagnosis? a) They had more race starts and higher earnings. b) They had fewer race starts and lower earnings. c) There was no significant difference in race performance. d) They had fewer race starts but higher earnings.
They had fewer race starts and lower earnings.
83
What was the effect of stress fractures on the overall career length of racehorses in the study?
It had no impact on their career length.
84
Which type of humeral fracture is considered rare, involving the proximal humeral physis? a) Type I fracture b) Type II fracture c) Type III fracture d) Type IV fracture
d) Type IV fracture
85
86
How many reported cases of type IV fracture of the distal humerus have involved the lateral condyle?
d) Three
87
What is the prognosis for distal physeal humeral fractures?
Grave
88
How many of the reported cases of distal physeal humeral fractures survived, whether treated with stall confinement or internal fixation? a) None b) All c) Some d) Only one
a) None
89
The radial nerve runs with a certain artery that can have significant hemorrhage in case of humeral fracture. Which artery?
Brachial artery
90
What is a common cause of humeral fractures in foals? a) Accumulated stress remodeling b) Traumatic events c) Age-related degeneration d) Genetic predisposition
Traumatic events
91
Figure 97-11. Medial to lateral oblique radiograph of a complete, middiaphyseal, displaced, and overriding humeral fracture.
92
A 6-month-old Quarter Horse filly presented for left diaphyseal humeral fracture demonstrating a dropped elbow appearance and the limb held in flexion.
left diaphyseal humeral fracture demonstrating characteristic marked swelling of the left humeral and shoulder region.
93
How can humeral fractures be differentiated from ulnar fractures?
By the location of swelling
94
Figure 97-12. (A) Medial to lateral postoperative radiograph demonstrating fixation of a diaphyseal humeral fracture with an intramedullary, interlocking nail with cerclage wire. (B) Caudolateral-craniomedial oblique radiographic postoperative image. Antibiotic-impregnated beads are present adjacent to the fracture line, and skin staples can be seen.
95
Why is splinting the carpus in extension contraindicated for humeral fractures?
It encourages weight bearing on the affected limb.
96
What is the prognosis for physeal fracture of the humerus?
GRAVE prognosis proximal physeal fractures (rare and can be conservaitve or fixation) distal humeral physis (++ common 65%, poor prognosis)
97
in what type of fracture configurations may conservative management of humeral fractures be considered?
Non displaced GT fractures Deltoid fractures Stress fracutures Physeal and diaphyseal contra indicated
98
Which type of humeral fractures are typically poor candidates for conservative management?
Diaphyseal fractures short oblique to spiral fractures with marked overriding
99
What is the preferred surgical approach for ORIF of diaphyseal humeral fractures in foals, according to the authors? describe tx
Modified lateral approach consisting of an incision beginning approximately 4 cm proximal to greater tubercle & extending distally to level of lateral epicondyle - Brachiocephalicus muscle is incised along its fibers in proximal part of incision to expose craniolateral surface of greater tubercle & proximal humeral metaphysis - Tendon of biceps brachii muscle may be retracted medially to expose cranial aspect of proximal humerus - Deltoideus muscle is transected from its insertion on deltoid tuberosity - Distally, origin of ECR muscle is elevated from craniolateral aspect of lateral epicondyle - If the brachialis muscle appears severely damaged, the radial nerve should be identified along its caudal border & its integrity confirmed prior to completing fixation **- If nerve is severed, patient should be euthanized**
100
Describe the modified lateral incision/approach
**modified lateral approach** LR - limb uppermost - incision beginning approximately** 4 cm proximal to the greater tubercle and extending distally **to the level of the** lateral epicondyle.** The **brachiocephalicus muscle** is incised along its fibers in the proximal part of the incision to expose the** craniolateral surface of the greater tubercle** and **proximal humeral metaphysis.** The** tendon of the biceps brachii muscle** may be retracted medially to expose the cranial aspect of the proximal humerus. The **deltoideus muscle** is **transected** from its insertion on the deltoid tuberosity. Distally, the origin of the** extensor carpi radialis muscle is elevated** from the craniolateral aspect of the **lateral epicondyle.** If the **brachialis muscle appears severely damaged, the radial nerve should be identified along its caudal borde**r and its integrity confirmed prior to completing the fixation. **If the nerve is severed, the patient should be euthanized.**
101
Which fixation method provides resistance to bending but offers limited axial or rotational stability? a) Stacked pin fixation b) Rush pin fixation c) Plate fixation d) Intramedullary interlocking nail (IIN) fixation
a) Stacked pin fixation Stacked pin fixation fills the medullary canal with multiple IM pins. wright book: Repair using an IIN provides additional purchase in the distal fracture segment by engagement of the medial epicondyle, and using screws to lock the proximal and distal fracture segments to the intramedullary nail prevents implant migration and provides axial and rotational stability.
102
* Foals with diaphyseal fractures that go to conservative tx support limb complications are most commonly manifested as - name the problem
varus angular deformity
103
What advantages are associated with intramedullary interlocking nail (IIN) fixation for diaphyseal humeral fractures in small foals?
Close proximity to the neutral axis of the bone reduced disruption of soft tissues decreased potential for postop infection
104
Which of the factors dictates the choice of fixation method for diaphyseal humeral fractures in foals?
The age and weight of the foal
105
What type of plate fixation has been successfully reported as the primary method of repair for humeral fractures in equine patients?
Cranial plate fixation * Simple fx in very small foals could potentially benefit from single plate fixation * Large foals, and those with more complex fx, would require double plate fixation, which is technically challenging because of complex surface topography of lateral humerus & inability to engage adequate bone stock in distal bone segment
106
What is the main advantage of intramedullary interlocking nail (IIN) fixation in treating humeral fractures?
**INN fixation is the chosen tx for diaphyseal humeral fractures** in foals - advantages: It allows for a less invasive surgical approach - modified lateral approach Less implant infection compared to cortical implants additional purchase of the proximal and distal fracture segments to the intramedullary nail prevents implant migration and provides axial and rotational stability
107
What is the recommended number of interlocking screws in both the proximal and distal fracture fragments in ideal IIN fixation?
Three screws in each fragment 5.5 cortex screws placed transcortically using targeting device (no need intraop imaging)
108
What is the complicating factor associated with open fractures of the humerus?
They are a negative prognostic indicator along wit animal weighing over 250 kgs
109
What is the most common complication in the support limb associated with conservative management of humeral fractures in adults? a) MCP joint hyperextension b) Tendon contracture c) Radial nerve injury d) Laminitis
d) Laminitis
110
In foals, what type of angular deformity may result from support limb complications during conservative management of humeral fracutre? a) Valgus deformity b) Varus deformity c) Hyperextension deformity d) Flexural deformity
b) Varus deformity
111
Figure 97-13. Medial to lateral postoperative radiograph of a diaphyseal humeral fracture repaired with an intramedullary, interlocking nail, cranially applied LCP, and cerclage cable. Antibiotic-impregnated beads are present adjacent to the fracture line, and skin staples can be seen.
112
What is the recommended duration of stall rest for horses following diaphyseal humeral fracture repair? a) 30 days b) 60 days c) 90 days d) 120 days
b) 60 days
113
When may horses begin a controlled daily hand walking regimen after diaphyseal humeral fracture repair?
After 90 days of stall rest
114
In cases of carpal contracture resulting from radial nerve paresis or pain, what corrective procedure may be required?
Tenotomy of ulnaris lateralis and flexor carpis ulnaris insertions
115
What is the primary reason for radial nerve paresis or paralysis in cases of diaphyseal humeral fractures?
Proximity to the humeral diaphysis
116
What type of fixation method has documented a good prognosis for survival and an excellent prognosis for athletic performance among patients surviving to discharge? a) Intramedullary interlocking nail (IIN) alone b) Cranially applied dynamic compression plate (DCP) alone c) Rush pins alone d) Stacked pinning
a) Intramedullary interlocking nail (IIN) aloneor in conjunction with cranial bone plate
117
most humeral fractures are open or closed?
Fortunately, the vast majority of humeral fractures are closed at presentation because the humerus lies deep within the soft tissue and muscular envelope, which prevents the fracture fragments from penetrating the overlying skin.
118
what is particular in case of humeral fracture regarding immobilization?
There are no techniques that support or limit instability for humerus neither scapula - attempts to encourage weight bearing prior to fracture stabilization may compound injury to these structures and should be avoided.
119
In diaphyseal fractures the method of fixation is dictated by
Weight of ofal Age Aavailable implants Fracture configuration Experience fo surgeon
120
which types of humeral fractures exist?
1) Proximal humeral head (epiphysis and metaphysis in foals) 2) Greater tubercle 3) Deltoid tuberosity 4) Mid‐diaphysis 5) Distal metaphysis 6) Distal condyle and epicondyle.
121
describe the surgical tx for proximal humeral head epiphysis and metaphysis surgical tx in foals
LR - affected limb uppermost **10-15 cm skin incision** is made from the **distal end of the scapula spine**, parallel to the cranial edge of the deltoid muscle, to expose a tissue plane between the **brachiocephalic muscle and the deltoid muscle **border overlying the** infraspinatus tendon** attachment on the **greater tubercle.** **Elevation and retraction** of portions of** deltoid and brachiocephalic muscle**s expose the lateral surfaces of the proximal diaphysis of the humerus. Manipulation of the humeral shaft is used to align the humeral head.** Secure fixation of complete fractures** of the proximal humerus is achieved by **dynamic compression plate (DCP) fixation** on the craniolateral border of the humerus. A **narrow 4.5 mm DCP **is applied to the **humerus**, extending from the cranial portion of the greater tubercle to the distal end of the deltoid tuberosity (Figure 31.9). **The sheath of the biceps tendon should not be opened**. C**ortical screws** are used to s**ecure the plate to the humeral head** and humeral shaft, similar to plate repair of deltoid tuberosity fractures described in the next section. Additional cortical or lag screws can also be utilized to add better stabilization.
122
what does literature say about middle and distal diaphyseal fractures?
series describing repair of humeral fractures in horses. Most diaphyseal fractures in horses and foals are short to long oblique spiral fractures, with some fracture end overriding (Figure 31.12).
123
what is the treatment for displaced middle or distal diaphyseal humeral fractures?
Displaced fractures in adults are difficult to treat by internal fixation and the principal decision has to be between euthanasia, extended stall rest, or an attempt at internal fixation Generally, smaller adults, and younger horses less than a year of age, are better treated by open reduction and double plating.
124
describe surgical intervention for middle or distal diaphyseal humeral fracture
LR - limb uppermost Skin incision is made over the **cranial surface of the humerus**, extending **distally** from the c**ranial eminence of the greater tubercle to the cranial border of the radius, over the extensor carpi radialis muscle**. The subcutaneous tissues are divided, and the **superficial branch of the cephalic vein is ligated and severed**. Proximally, the **brachiocephalic muscle is divided parallel** to the fibers of its fleshy belly to expose the deltoid tuberosity. Distally, the brachiocephalic muscle can be divided from the brachial fascia and retracted craniomedially. The attachments of the **brachiocephalic muscle are severed** from the humeral crest. If a **second plate** is to be applied **laterally**, the insertion of the **deltoid muscle **is partially or completely severed from the tuberosity. The **biceps brachii on the cranial surface of the humerus** is easily separated and retracted medially. The **brachialis muscle** in the **musculospiral groove** of the humerus is isolated from the humerus, with care taken to **avoid the radial nerv**e adjacent to the** caudal border of the muscle.** The brachialis muscle is not divided. The origins of the extensor carpi radialis muscle on the humerus are gently severed; this muscle is retracted laterally, and the biceps and brachialis muscles are retracted medially (see Figure 31.17). Large self‐retaining retractors are placed. The radial nerve, coursing with the deep surface of the extensor carpi radialis muscle, must be identified and preserved. The** brachialis muscle** is alternately retracted craniomedially or caudolaterally during the placement of implants. The fracture is reduced and aligned using **axial traction applied by a femoral distractor attached to the greater tubercle** and d**istal humeral condyles**, or **obstetric chains applied to the distal limb** and a**ttached to a winch**. Fracture reduction is maintained by separate lag screws, cerclage wires, or bone‐holding forceps, and the cranial 4.5 mm broad DCP is contoured and applied (Figure 31.18). The LCP provides a more stable fixation and is preferred for most plate repairs of humeral fractures. Initial stabilization using a **push–pull device in either end of the cranially applied LCP** also assists in maintenance of fracture reduction during the initial application of the plate (see Figure 31.18). Where an LCP is being used, the initial screws are 5.5 mm cortical screws, to assist in compressing the plate onto the cranial surface of the humerus. The distal extremity of the cranial plate needs a marked concavity to approximate the cranial metaphyseal and epicondylar region of the distal humerus. The distal screws are directed into the medial epicondyle of the caudodistal humerus, to avoid the olecranon fossa. Application of a **locked screw in the distalmost hole** of the cranial LCP is possible (Figure 31.19), although use of a cortical screw allows better targeting of the medial epicondyle. Use of **5.5 mm cortical screws is recommended;** 6.5 mm cancellous screws are also utilized in the soft metaphyseal bone of the proximal humerus, where the trans cortex is not engaged. If the fo**al is heavier than 150 kg**, a **second plate is applied on the lateral aspec**t of the humerus, immediately caudal to the deltoid tuberosity (see Figures 31.18 and 31.19). This plate can be an LCP, or a narrow or broad 4.5 cm DCP,or a limited‐contact dynamic compression plate (LC‐DCP), depending on the age and size of the animal. The lateral plate is generally shorter than the cranial implant and is applied so that the screws alternate with those of the cranial plate (see Figure 31.19). Insertion of the distal‐most screws in the lateral plate may require separate stab incisions in heavily muscled horses. Use of a laterally applied LCP introduces difficulty in inserting the locked drill guides and locking head screws through the extensive triceps musculature and into the appropriate threaded portion of the combi hole. To facilitate this, locked screws are often applied in the central regions of the LCP, where the drill guide can be visually aligned with the threaded portion of the plate hole (see Figure 31.18). Direct visualization becomes more difficult toward the ends of the LCP, due to the limited dissection available through the lateral approach to the humerus.
125
Figure 31.17 Cranial approach to the humerus for diaphyseal and some distal humeral fractures. A broad 4.5 mm plate has been applied to the cranial aspect of the humerus, and a second plate over the lateral surface.
126
what is the treatment for small fractures of the distal condyles and epicondylar region that occasionally occur in adults?
Fragments from these types of fractures can be removed by arthroscopic means and the contamination and sepsis from the wound treated appropriately. More extensive fractures of the distal portions of the condyle and epicondyle often involve the medial portion of the humerus, and may need lag screw repair using the open approaches described for access to the medial regions of the elbow