Chapter 99 - Tarsus developmental disorders Flashcards

(31 cards)

1
Q

What are the most common sites affected by OCD in the tarsus?

A

distal intermediate ridge of the tibia (DIRT) (Figure 99-24, A),
followed by the lateral trochlear ridge of the talus (see Figure 99-24, B),
the medial malleolus of the distal tibia, the medial trochlear ridge of the talus,
and the lateral malleolus of the distal tibia.

How well did you know this?
1
Not at all
2
3
4
5
Perfectly
2
Q
A

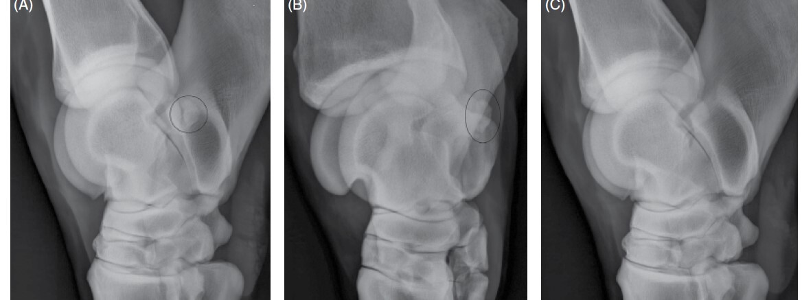
Figure 99-24. (A) DMPLO radiographic view of the tarsus showing a distal intermediate ridge of the tibia OCD lesion. (B) DMPLO radiographic view of the tarsus showing a large lateral trochlear ridge OCD lesion.

How well did you know this?
1
Not at all
2
3
4
5
Perfectly
3
Q

what are the causes of OCD

A

multifactorial: exercise, hormone imbalances, nutrition, heredity, and conformation (see Chapter 89).112–117 Heritability estimates suggest that 25% to 52% of the variation in occurrence of OC in the hock can be attributed to genetic factors

How well did you know this?
1
Not at all
2
3
4
5
Perfectly
4
Q

what is the most common clinical sign of OCD in the tarsus?

A

synovial distension
pain on flexion is mild

How well did you know this?
1
Not at all
2
3
4
5
Perfectly
5
Q

how many radiographs should be taken to the TC

A

At least 4 projections

How well did you know this?
1
Not at all
2
3
4
5
Perfectly
6
Q

what is the % of lesions that are bilateral?

A

Bilateral lesions involve the distal tibia 20% to 45% of the time

How well did you know this?
1
Not at all
2
3
4
5
Perfectly
7
Q

Describe the surgical intervention for fragments of DIRT arthrocopic retrieval

A

DR 90º
Arthro portal made on the dorso medial pouch just distal to the distal end of medial malleolus of tibia
The location of the instrument portal can be identified by passing the arthroscope laterally over the proximal aspect of the exposed lateral trochlear ridge into the dorsolateral pouch and palpating the tip through the skin or a needle to decide the local

How well did you know this?
1
Not at all
2
3
4
5
Perfectly
8
Q
A

Figure 99-27. Arthroscopic view of a distal intermediate ridge OCD lesion using gas distension (A). The OCD fragment is removed from the distal tibia with the help of an Ethmoid rongeur (B). These OCD fragments are attached in most cases to the tibia by fibrous connective tissue. (C) Graphic illustration of the left tarsus showing the insertion of the arthroscope medially and instrument portal laterally in the dorsal pouch.

How well did you know this?
1
Not at all
2
3
4
5
Perfectly
9
Q

What if you have ti remove a fragment from the medial malleolus of the tibia?

A

Dorsomedial portal as DIRT but mademore distal

▫To minimize risk of pulling the arthroscope out of the joint during visualisationInstrument portal slightly axial and distal

How well did you know this?
1
Not at all
2
3
4
5
Perfectly
10
Q

What is the prognosis for arthroscopy of hock in case of OCD?

A

66-77% of horses with OC of tarsus raced successfully or performed theirintended function following arthroscopy

*Prognosis decreases when articular cartilage degeneration or erosion isnoted at time of sx *McIlwraith 1991 EVJ -resolution of synovial effusion after arthroscopy was higher in racehorses (83%) vs. nonracehorses(74%) - more likely with lesions of distal tibia vs. other locations

*Nosignificant relationship between resolution of effusion & successful performance outcome
*Reports on effects of OC on racing performance are contradictory

How well did you know this?
1
Not at all
2
3
4
5
Perfectly
11
Q

Describe the arhtroscopy access to lateral trochlear ridge

A

Scope portal - either dorsomedial or dorsolateral *Dorsolateral portal offers better visualisation of the distal aspect of the LTR

*Dorsomedial portal offers better triangulation

How well did you know this?
1
Not at all
2
3
4
5
Perfectly
12
Q

Describe the arthroscopic access to PIT

A

*Instrument is blindly inserted into the pouch to blindly grasp the fragment or manipulate it into the TC joint for removal

*New technique describes third portal direclty into the joint, but removal is visualised throught dorsomedial portal.

How well did you know this?
1
Not at all
2
3
4
5
Perfectly
13
Q

What is the after care after arthroscopy of the tarsus?

A

Sutures are removed 10 days aftersurgery
*Exercise is restricted to handwalking for 4-8 weeks, and trainingcan be resumed in 8-16 weeks,depending on severity of lesion & amount of synovial distention before& after surgery

*Postsurgical administration ofphenylbutazone, hyaluronan, or PSGAG is useful to help resolve effusion,particularly in horses with prolonged synovial distention before surgery

*Synovial effusion of tarsocruraljoint can recur within a few days after turnout, and this can be resolved byreturning the horse to stall rest under bandage and administering NSAIDs for 10days

How well did you know this?
1
Not at all
2
3
4
5
Perfectly
14
Q

Diagnosis and what is the treatment?

A

Comminuted fractures of the talus canalso occur however these tend to be inoperable unless there is an intact largerfragment onto which the smaller pieces can be rebuilt however this is a salvageprocedure and euthanasia is most often recommended.

How well did you know this?
1
Not at all
2
3
4
5
Perfectly
15
Q
A

An extensive chronic fracture of the proximal plantar aspect of the medial trochlear ridge (MTR)

Fracture of the tarsus causes and regions

*Traumatic

External impact

  1. Tibial malleoli
  2. Trochlea rridges
  3. Tubercalcaneus
  4. Fourth tarsal bone

Rotatory twisting

  1. Talu body
  2. Distal tibia
  3. Luxations
How well did you know this?
1
Not at all
2
3
4
5
Perfectly
16
Q

How would you approach the fragment from previous image (extensive chronic fracture of the proximal plantar aspect of the medial trochlear ridge (MTR))?

A

Extensive fractures of the proximal plantar aspect ofthe MTR have significant synovial and joint capsuleattachment (Figure 34.7). Dissection of the soft tissuesmay require arthroscopic scissors, curved fixed‐bladescalpels, periosteal elevators, and synovial resectors. Removal of the free fracture fragmentmay require forceps with aggressive teeth, includinginsertion of Ochsner forceps or towel clamps.Rarely, large fractures will need to be divided using anosteotome, prior to removal in pieces.

17
Q

Fragmentation of the proximal tubercle of the talus (FPTT) is accidental radiographic finding - no lameness. Can you access by arthroscopy?

A

Anatomic studies and CT-examination suggested that FPTT are extraarticular and cannot be visualized using plantar tarsocrural arthroscopy. Affected horses remained clinically and radiographically stable over time

18
Q
A

Figure 99-28. Lateromedial radiographic view of a tarsal region showing a loose fragment at the distal aspect of the joint cavity (white arrow). It is most likely located in the PIT. The origin of the fragment is the distal intermediate ridge of the tibia (black arrow

19
Q
A

Figure 99-29. Arthroscopic view of the lateral trochlear ridge OCD lesion before (A) and after (B) removal of the large osteochondral fragment (see radiographic view in Figure 99-24, B). The DMPLO radiographic view shows the successful removal of the fragment (C).

20
Q
A

Figure 99-27. Arthroscopic view of a distal intermediate ridge OCD lesion using gas distension (A). The OCD fragment is removed from the distal tibia with the help of an Ethmoid rongeur (B). These OCD fragments are attached in most cases to the tibia by fibrous connective tissue. (C) Graphic illustration of the left tarsus showing the insertion of the arthroscope medially and instrument portal laterally in the dorsal pouch.

21
Q

what is the after care for OCD fragment removal in TC in terms of exercise?

A

Sutures are removed 10 days after surgery. Exercise is restricted to hand walking for 4 to 8 weeks, and training can be resumed in 8 to 16 weeks, depending on the severity of the lesion and the amount of synovial distention before and after surgery.

22
Q

Client calls to say the horse has synovial effusion after being turnout following the rest of surgery, is it normal?

A

Synovial effusion of the tarsocrural joint can recur within a few days after turnout, and this can be resolved by returning the horse to stall rest under bandage and administering NSAIDs
for 10 days.

23
Q

Angular deformities of the tarsus, name them

A

Tarsus valgus ++ common due to ligamentous laxity or incomplete ossification of cuboidal bones, phseal dyspalsia or uneven growth of the distal tibial physis

24
Q

when are all bones of the fetus seen radiographically?

25
Figure 87-3. Normal ossification of the carpus and tarsus at the time of birth. (A) DP radiograph of the carpus. All the bones are ossified adequately, and the ulnar styloid process (a) is visible. The rough surface at the medial distal metaphysis of the radius (b) represents active endochondral ossification and is normal at that age. (B) LM radiograph of the tarsus showing adequate ossification of the central and third tarsal bones (arrows). It is important that the ossification process proceed to the level of the proximal aspect of MTIII. These two radiographic views are the most relevant to evaluate ossification at the time of birth.
26
Figure 87-4. (A) DP radiograph of a carpal region and LM radiograph of a tarsal region of a 2-day-old premature foal. The DP view of the carpus shows incomplete ossification of the carpal bones. (B) The LM view of the tarsus shows inadequate ossification especially of the third and the central tarsal bones. RF, Right front; RH, right hind.
27
Name the grading of ossification of the tarsus
Grade 1: Some cuboidal bones of the carpus and tarsus have no evidence of ossification. Grade 2: All cuboidal bones (carpus and tarsus) have some evidence of ossification. The proximal physes of the MCIII/MTIII are open. Grade 3: All cuboidal bones (carpus and tarsus) are ossified, but small and rounded edges are present. Joint spaces are wide and the lateral styloid process and malleoli are distinctly visible. Proximal physes of MCIII/MTIII are closed. Grade 4: All criteria of grade 3 are met. Cuboidal bones are shaped like corresponding adult bones and joint spaces have the expected width.
28
what is a typical clinical sign of dysmaturity of the tarsus in foals?
Clinically affected foals then “bunny hop” with their hind limbs rather than trot.
29
what is the prognosis for foals with incomplete ossification of the tarsal bones?
Foals with incomplete ossification of the tarsal bones and greater than 30% collapse of the third and central tarsal bones have been shown to have a poorer outcome than similar foals with less than 30% collapse, thereby stressing the importance of early recognition and treatment.
30
what is the tx for foals with sttraight limbs and incomplete ossification?
managed with stall rest and exercise restriction until complete ossification has occurred. Under no circumstances should these animals be turned out in a field. Use of casts - When using splints or casts in foals it is of paramount importance that splints or casts end at the fetlock whenever possible. The limb should be well padded before splint or cast application and care must be taken to prevent development of pressure sores over the accessory carpal bone. Splints should be changed every 3 to 4 days and casts every 10 to 14 days after application. REpeat radiographs every 2 week intervals
31
Figure 87-6. (A) Image of a 1-week-old foal with a marked valgus deformity of the right tarsus (white arrow) and a varus deformity of the left tarsal region (black arrow). The degree of ossification was normal. (B) After 2 weeks of light hand-walking and no treatment, the deviations had corrected.