Chapter 37 - Large Colon Flashcards

(192 cards)

1
Q

What is the first part of the large (ascending) colon that receives contents from the cecum?

A

Right ventral colon.

How well did you know this?
1
Not at all
2
3
4
5
Perfectly
2
Q

How is the large colon divided into four parts based on location within the abdomen?

A

Into the right and left ventral colon, and the left and right dorsal colon.

How well did you know this?
1
Not at all
2
3
4
5
Perfectly
3
Q

What are the three flexures of the large colon mentioned

A

The sternal, diaphragmatic, and pelvic flexures.

How well did you know this?
1
Not at all
2
3
4
5
Perfectly
4
Q

At what level does the ventral colon form the sternal flexure, and where does it bend sharply?

A

At the level of the xiphoid cartilage; it bends sharply toward the left ventral abdomen.

How well did you know this?
1
Not at all
2
3
4
5
Perfectly
5
Q

What is the third part of the colon formed after the pelvic flexure?

A

The left dorsal colon

How well did you know this?
1
Not at all
2
3
4
5
Perfectly
6
Q

Where is the diaphragmatic flexure located in the large colon?

A

At the level of the diaphragm and left lobe of the liver.

How well did you know this?
1
Not at all
2
3
4
5
Perfectly
7
Q

What is the fourth and last part of the large colon?

A

The right dorsal colon.

How well did you know this?
1
Not at all
2
3
4
5
Perfectly
8
Q

Which part of the colon becomes the transverse colon at the level of the diaphragm and left lobe of the liver?

A

At the level of the medial surface of the cecal base, the right dorsal colon crosses the abdomen dorsally to become the short and narrow transverse colon which then becomes the small colon at a level just ventral to the left kidney and cranial to the mesenteric root

How well did you know this?
1
Not at all
2
3
4
5
Perfectly
9
Q

What is the approximate length of the large colon, and what is its average diameter? What capacity?

A

3 to 3.7 m long with an average diameter of 20 to 25 cm.
50 to 60 L

How well did you know this?
1
Not at all
2
3
4
5
Perfectly
10
Q

Where does the colon become narrow (8 to 9 cm) beyond the pelvic flexure?

A

At the ampulla coli it is the maximum 50 cm just before its diameter decreases at the funnel-shaped terminal narrowing, the transverse colon.

How well did you know this?
1
Not at all
2
3
4
5
Perfectly
11
Q

What is the role of the mesocolon in connecting the dorsal and ventral components of the large colon?

A

It connects them with two layers of peritoneum, containing fat and connective tissue, housing lymphatics, nerves, arteries, and veins.
The outer mesothelium secretes a serous peritoneal fluid

How well did you know this?
1
Not at all
2
3
4
5
Perfectly
12
Q

What are the constrictions in the ventral colon called, and what are the bands within it called?

A

Constrictions are plicae semilunares coli, and bands are teniae coli.

How well did you know this?
1
Not at all
2
3
4
5
Perfectly
13
Q

Which component of the large colon has alternating constrictions and sacculations?

A

The ventral colon.

How well did you know this?
1
Not at all
2
3
4
5
Perfectly
14
Q

How are the ventral colon bands primarily characterized, elastic or muscular? dorsal colon bands?

A

Primarily elastic for the ventral.
Primarily muscular for the dorsal

How well did you know this?
1
Not at all
2
3
4
5
Perfectly
15
Q

The transverse colon is attached to what?

A

The transverse colon is attached by mesocolon to the ventral surface of the pancreas dorsally, the cecal base laterally and indirectly to the diaphragm and liver

How well did you know this?
1
Not at all
2
3
4
5
Perfectly
16
Q

The lateral mesenteric band is covered by the ___________ and the medial mesenteric band by the _____________ and _____________

A

The lateral mesenteric band is covered by the mesocolon and the medial mesenteric band by the vessels and lymph nodes

How well did you know this?
1
Not at all
2
3
4
5
Perfectly
17
Q

Name the four tenial bands of the ventral colon

A

four tenial bands (teniae coli): namely lateral and medial free bands, and lateral and medial mesenteric bands.

How well did you know this?
1
Not at all
2
3
4
5
Perfectly
18
Q

does the dorsal colon has teniae and sacculations?

A

yes it has teniae, but it doesn’t have sacculations

How well did you know this?
1
Not at all
2
3
4
5
Perfectly
19
Q

What connects the right ventral colon to the cecum?

A

The cecocolic ligament (lateral band of cecum).

How well did you know this?
1
Not at all
2
3
4
5
Perfectly
20
Q

Which arteries supply blood to the ventral and dorsal colon, respectively?

A

The **colic branch **of the ileocolic artery supplies the ventral colon,
right colic artery supplies the dorsal colon.

How well did you know this?
1
Not at all
2
3
4
5
Perfectly
21
Q

Where do the veins draining the right colic and left colic veins ultimately drain into?

A

The** right colic vein** drains into the caudal mesenteric vein,

and the** left colic vein** drains into the cranial mesenteric vein, both of which drain into the portal veins.

How well did you know this?
1
Not at all
2
3
4
5
Perfectly
22
Q

What is the histological composition of the colon, including its layers and cell types?

A

It consists of a:
1 - luminal mucosa consists columnar epithelium with crypts and glands - no villi
2 - submucosa (nerves, blood vessels, lymphatic)
3 - tunica muscularis (inner circular and outer longitudinal smooth muscle layers),
4 - and a serosal surface,

How well did you know this?
1
Not at all
2
3
4
5
Perfectly
23
Q

Describe the numbers and vessels

A

Figure 37-3. Blood supply to the equine large colon. 1, Stump of cranial mesenteric artery; 2, stump ofjejunal arteries; 3, lateral cecal artery; 4, medial cecal artery; 5, ilial artery; 6, colic branch of ileocolicartery; 7, right colic artery; 8, middle colic artery.

How well did you know this?
1
Not at all
2
3
4
5
Perfectly
24
Q

name the venous return in the colon

A

The right colic vein drains into the** caudal mesenteric vein **
the** left colic vein **drains into the cranial mesenteric vein and both drain into the portal veins

How well did you know this?
1
Not at all
2
3
4
5
Perfectly
25
The lymph nodes in the mesocolon drain into...
mesenteric lymph nodes
26
Small parasympathetic ganglia forms submucosal plexus called
Meissner plexus
27
Preganglionic parasympathetic neurons synapse with postganglionic nerve fibers that supply the muscularis mucosae provide supply to...
muscularis mucosae
28
The inner circular muscle layer is consistent throughout the large colon; however,the outer longitudinal smooth muscle layer is thin except where it forms tenial bands. This are innervated by...
**myenteric plexus (Auerbach plexus),** lies between the circular and longitudinal muscle layers and is responsible for **motor innervation** to both muscle layers
29
The myenteric plexus (Auerbach plexus) provides parasympathetic or sympathetic input?
Both sympathetic and parasympathetic
30
What is the primary function of the equine large colon?
Hydrolysis of structural carbohydrates (dietary plant fiber) to soluble sugars leading to anaerobic fermentation that originates short chain fatty acids by colonic microbes
31
How are volatile short-chain fatty acids utilized for the horse's energy needs?
They are absorbed through the colonic mucosa and used to meet the majority of the horse’s energy needs.
32
What is the major respiratory fuel for colonic epithelial cells?
Butyrate that improves mucosal barrier function, maintains homeostasis
33
name the collection of lymph
the lymphatics drain to the **colic lymph nodes** in the **mesocolon** ten into c**ranial mesenteric lymph nodes** and then** cisterna chyli**
34
What is the role of propionate in the large colon?
It is mainly used by the liver as a precursor for gluconeogenesis.
35
How long does cellular digestion and terminal fermentation in the large colon require?
48 to 72 hours.
36
Which part of the colon has the highest capacity for fiber digestion?
The right ventral colon.
37
What is the impact of metabolic disturbances on the colon?
Metabolic disturbances can lead to high lactic acid production and dysbiosis.
38
Which bacterial phylum is predominant in the colon?
Firmicutes.
39
What are the two types of Interstitial cells of Cajal (ICC) observed in the gastrointestinal tract?
Intramuscular (in the longitudinal and circular muscle layers) and myenteric.
40
What is the role of VIP-reactive neurons in the pelvic flexure region of the colon?
VIP-reactive neurons can cause smooth muscle relaxation, contributing to the possible pacemaker function of the pelvic flexure.
41
How does sympathetic hyperactivity affect intestinal motility?
Sympathetic hyperactivity results in splanchnic vasoconstriction and decreased propulsive motility.
42
Which volatile short-chain fatty acids are produced by colonic microbes during fermentation?
Acetic, propionic, iso-butyric, N-butyric, iso-valeric, and N-valeric.
43
What effect does parasympathetic hypoactivity have on intestinal motility?
Parasympathetic hypoactivity causes a reduction in motility and a decrease in intestinal secretion.
44
What is the large colon responsible for in terms of water absorption?
Absorbing large volumes of water (approximately 20%–30% of the body weight daily).
45
What are the nonstrangulating obstructions in colon?
1. Large colon tympany ++ cause of abdo pain 2. Large colon impaction 3. Sand impaction 4. Enterolithiasis 5. Right dorsal displacement 6. Left dorsal displacement 7. Fecalith 8. Congenital: atresia coli, duplications, malformations 9. Neoplasia 10. Inflammatory lesions
46
What percentage of horses with colic in primary care practice is attributed to tympany?
Over 75% to 80%.
47
During which months does tympany in horses appear to peak?
Spring and autumn.
48
What are some management factors associated with simple colonic obstruction and distention?
Crib-biting/windsucking, stabling for 24 hours per day, recent changes in exercise or diet, and absence of anthelmintic administration.
49
Which drug may be used as an anticholinergic spasmolytic in horses with colonic tympany?
N-butylscopolammonium bromide (Buscopan) 25 mg/kg IV
50
What is the most common location for large colon impaction in horses?
Left ventral colon at the pelvic flexure or right dorsal colon at the transverse colon
51
80% of horses respond to medical treatment what is it?
*Fluid therapy:10-12 ml/kg every 0.5-2hrs, either per NGT or IVFT Analgesics (NSAIDS, α2-agonists, butorphanol) MgSO4 at 0.5-1mg/kg
52
What season shows a peak incidence of large colon impaction?
Autumn and winter months.
53
What neurotransmitters are used by the enteric nervous system?
Neuropeptides including vasoactive intestinal peptide (VIP), methionine-Enkephalin, calcitonin gene-related peptide, substance P, and other neurokinins, as well as nitric oxide.
54
Which factors have been associated with sand colic in horses?
Grazing on sandy soils, eating off the ground, and living in sandy geographical areas.
55
What clinical signs may be observed in horses with sand accumulations in the gastrointestinal tract?
Nonspecific chronic poor performance, weight loss, diarrhea, and recurrent colic.
56
How is sand identified in the feces of horses?
By placing fresh feces in a rectal sleeve with water, observing sand sediment after 20 minutes.
57
Grade sand
58
Figure 37-7. Radiographic images of colonic sand accumulation. (A) Sand accumulation in the cranioventral abdomen (arrows) in a horse with chronic diarrhea. Based on the cranioventral location, number of accumulations, density, thickness, and length, a score of approximately 10/12 (Table 37-2) or a score of 375,76 would be given indicating that the accumulation may be clinically relevant. (B) Larger sand accumulation with a score of at least 10/12 (Table 37-2)
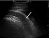
59
Figure 37-8. Sand identified in the right (A) and left (B) ventral colon with transabdominal ultrasonographic evaluation. Note the flattening of the sacculations, and large amount of hyperechoic, homogenous shadowing material within its lumen (black arrow). (
60
Spherical =solitary (top) and polytetrahedral (bottom) = multiple enterolith.
61
What are sand sounds, and where are they auscultated in horses?What is the complementary exam better than US?
Sounds produced by sand particle friction during intestinal motility; auscultated in the ventral abdomen just caudal to the xiphoid process. Radiography
62
What is the medical tx of sand impaction? % of success? surgical tx?
*Psyllium at 1g/kg daily, +/- MgSO4, mineral oil 1-3L SID NSG, IV fluids, analgesia *Medical treatment successful in 76% Surgery = Pelvic flexure enterotomy
63
What grading system is used for assessing sand accumulations based on radiography?
The grading system considers: - the number, - opacity, - homogeneity, - rib width to length ratio, - and rib width to height ratio.
64
What is the prognosis for horses that are managed medically or recover from surgery due to colonic impaction?
Excellent
65
What is the main intraoperative complication when managing a horse with an unresponsive impaction?
Colonic rupture.
66
What is the most common location for sand impaction in the gastrointestinal tract?
**1. Right dorsal colon 2. Transverse colon 3. or PFlexure** concurrent **large colon displacements** or volvulus were found in **25% to 54%** of horses with sand impactions.
67
How is sand identified in the feces of horses during treatment?
when the feces are removed from the rectum prior to abdominal palpation per rectum or can be identified by placing **fresh feces (200 g)** from the rectum in a rectal sleeve, **mixing in water (1 L l)** and observing sand sediment in the fingertips of the sleeve after 20 minutes (Table 37-1) The appearance of sand in the feces is indicative of sand clearance. more than **95% of the fecal sand and over 5 mm **of sand sediment was considered to be clinically relevant
68
What is the reported sensitivity and specificity of ultrasonography for detecting sand accumulations?
Radiography is reported to be better than ultrasonography for evaluating sand accumulations. The specificity of ultrasonography for detecting sand accumulations was 87.5% and the sensitivity 87.5%, with small and dorsally located sand accumulations being more difficult to identify.
69
Diagnosis
Figure 37-10. Radiographic image of a 20-cm-diameter enterolith (black arrows) in the right dorsal colon.
70
What are enteroliths?
Enteroliths are intestinal calculi or "stones" that form in the **ampulla coli **of the **right dorsal colon.**
71
How would you describe the surface of enteroliths?
Enteroliths have a smooth-surfaced spherical or polytetrahedral appearance.
72
What is the predominant component of enteroliths?
**Struvite (NH4MgPO4⋅6H2O)** is the predominant component of enteroliths and osme have magnesium vivianite
73
What are their ions composition?
Enteroliths contain variable quantities of Na, S, K, and Ca with variation being attributable to concentrations in the soil, water supply, or feed
74
What is the central nidus in enteroliths commonly composed of?
The central nidus is commonly composed of rock fragments, disaggregated mineral grains, and may include feed material, plastic rope, horse hair, cloth, and metallic objects.
75
What is the association between struvite precipitation and the environment in the colon?
Struvite precipitation is associated with **Mg2+** **supersaturation** in the presence of NH4+ and PO4^3− in an **alkaline environment.**
76
What factors contribute to the formation of enteroliths in horses?
Risk factors include** feeding alfalfa hay** or more than 50% of the diet as alfalfa hay, feeding less than 50% of the diet as oat hay or grass hay, and spending less time (≤50%) at pasture.
77
Which horse breeds appear to be predisposed to enterolithiasis?
**Arabians, Arabian-crosses, Morgans, American Saddlebreds, miniature horses**, and **donkeys** appear to be predisposed.
78
Where is the prevalence of enterolithiasis particularly high?
The prevalence of enterolithiasis is particularly high in some geographic areas, including California.
79
What is the high magnesium content in alfalfa hay associated with?
The **high magnesium **content in **alfalfa hay** can contribute to struvite precipitation, especially due to its **alkalinizing effects on colonic contents.**
80
How can a tentative diagnosis of enterolithiasis be made?
A tentative diagnosis can be made based on history, physical examination findings, and geographic region. Radiograph excllent specificity of >90% for dianosis - gas can decrease specificity
81
What is the recommended treatment for horses with enterolithiasis? What are the sites of obstruction?
Surgical intervention with multiple enterotomy sometimes WHY? to prevent complications such as gastrointestinal necrosis and rupture. ***Obstruction in RDC 32%, transverse colon 23%, small colon 45%**
82
What postoperative complications are commonly observed in horses after surgery for enterolithiasis?
Common postoperative complications include diarrhea (12%–23%), anorexia (21%), incisional infection (8%–17%), fever (9%), incisional hernia (5%), phlebitis (4%), salmonellosis (4%), laminitis (1%–3%), septic peritonitis (1%–3%), and adhesions (2%
83
How does right dorsal displacement occur anatomically?
Answer: Right dorsal displacement occurs when a section of the colon moves around the cecal base, lying between the cecum and the right body wall.
84
What are the proposed directions for counterclockwise and clockwise right dorsal displacements?
Counterclockwise displacement involves retroflexion and movement towards the cranial abdomen, while clockwise displacement occurs when the left colon migrates medially towards the right side of the abdomen
85
What breeds are often affected by large colon displacement, including right dorsal displacement?
Large colon displacements, including right dorsal displacement, often affect mature horses, especially large breeds such as Quarter Horses, Thoroughbreds, and Warmbloods.
86
Is there a seasonal pattern observed in the occurrence of large colon displacement?
Yes, there appears to be a seasonal pattern, with peaks in spring and autumn.
87
What are potential factors contributing to right dorsal displacement?
Limited attachment of the large colon to the body wall or other abdominal structures, along with alterations in diet, exercise, and management similar to those predisposing horses to impaction and gas colic, are likely contributors.
88
Diagnosis of RCDisplacement?
Dx made based on signalment, history, physical examination findings, and palpation per rectum. On palpation per rectum, a horizontally oriented gas distended colon is identified coursing across the abdomen cranial to the pelvic inlet. It is usually not possible to palpate the cecum because of the colonic displacement
89
What is the proposed pathophysiology linking a high-grain diet to right dorsal displacement?
Rapidly fermentable carbohydrates in a high-grain diet can lead to gas formation, increased viscosity, and stabilization of froth, potentially causing malposition of the colon and displacement or volvulus.
90
What clinical finding can be associated with right dorsal displacement based on gamma glutamyl transferase (GGT) levels?
Horses with right dorsal displacement may have a higher GGT, with about half of them having elevated GGT levels. High GGT can differentiate right dorsal displacement from left dorsal displacement.
91
What imaging modality can be used to support the diagnosis of right dorsal displacement?
Transabdominal ultrasonographic examination can be used to support the diagnosis. Colonic mesenteric vessels adjacent to the right body wall are strongly associated with right dorsal displacement.
92
What are the sensitivity and specificity of US for RCD? where do you do US?
sensitivity of 68%, specificity of 98%, positive predictive value of 96% Identification of colonic mesenteric vessels coursing horizontally along the right body wall between the 12th and 17th intercostal spaces at the level of the costochondral junction with the probe oriented transversely to the spine was strongly associated with either a right dorsal displacement or 180-degree large colon volvulu
93
Figure 37-12. Ultrasonographic identification of dilated colonic mesenteric vessels (white arrow) on the right side of the abdomen dorsal to the costochondral junction at the 13th intercostal space.
94
Figure 37-11. Right dorsal displacement of the ascending colon. The normal anatomic relationship of the ascending colon (shown in A; ventral view). The most common direction for a right dorsal displacement is migration of the pelvic flexure in a counterclockwise direction when viewed from the caudal and ventral aspect of the horse at the time of surgery (shown in B; ventral view). Although less common, the ascending colon may develop a right dorsal displacement characterized by a clockwise migration of the pelvic flexure when viewed from the caudal and ventral aspect of the horse at the time of surgery (shown in C; ventral view).
95
What is the primary method of treatment for horses with a presumed right dorsal displacement?
Medical management involves with holding feed, administering IV fluids, analgesia, and light exercise. Medical management was successful in 64% of cases.
96
What is the prognosis for surgical correction of right dorsal displacement?
the prognosis for surgical correction is excellent (>90%), with recurrence reported in 15% of cases undergoing exploratory laparotomy.
97
In what cases should colon resection or colopexy be considered?
Colon resection: 1. prevention of recurrent displacement; 2. removal of compromised bowel; 3. masses, strictures, adhesions Colopexy should be considered in horses where recurrence is a problem.--> contra-indicated if severe colon oedema and evacuation of the colon previously advised
98
What should be considered in horses with recurrent colic to determine underlying pathology?
Colon biopsy should be considered in horses with recurrent colic to determine if there is underlying pathology leading to dysmotility and pain.
99
What liver enzyme may be increased in horses with right dorsal displacement, and what is its significance?
Gamma glutamyl transferase (GGT) may be increased in horses with right dorsal displacement, and its increase is attributed to transient extrahepatic bile duct obstruction, resolving with surgical correction. High GGT can support the diagnosis in conjunction with other clinical findings.
100
What is left dorsal displacement in the context of the large colon?
Left dorsal displacement occurs when the left colon becomes displaced between the spleen and the left body wall.
101
In which direction is the colon usually displaced in left dorsal displacement?
The colon is most often displaced in a cranial to caudal direction, with the pelvic flexure directed toward the caudal abdomen.
102
What breeds are reported to be predisposed to left dorsal displacement?
Geldings and Warmbloods are reported to be predisposed to left dorsal displacement.
103
What percentage of horses referred for colic were diagnosed with nephrosplenic entrapment?
Nephrosplenic entrapment was diagnosed in 9% of horses referred for colic
104
What is the recommended treatment for left dorsal displacement without entrapment?
Left dorsal displacement without entrapment is managed medically by withholding feed and providing enteral or intravenous fluids (20mL/kg =10L hypertonic followed by 2-4 mL/kg/hr isotonic) and analgesic drugs.
105
What is the reported success rate of medical management for nephrosplenic entrapment?
Success with medical management of nephrosplenic entrapment varies and is reported to be approximately 75%.
106
How is phenylephrine used in the management of nephrosplenic entrapment?
Phenylephrine, an α1-adrenergic agonist, can be used to induce splenic contraction. The dose rate is 3 μg/kg/min for 15 minutes or 20 mg for an adult horse given over 15 minutes.
107
What molecule is phenylephrine?
α1-adrenergic agonist
108
what are the adversal effects of phenylephrine?
profound bradycardia and HR should be monitored also associated to fatal hemorrhage in horses older than 15 years old
109
What does consist the exercise following phenylaphrine?
20 m circle for 20 min (10 min counterclockwise and clockwise) and rolling
110
What is the dosage of phenylaphrine?
IV fluidotherapy 20mg diluted in 1 L of Nacl 0,9% over 10 minutes immediately prior to exercise
111
What technique involves rocking the abdomen of a horse to replace the colon in cases of nephrosplenic entrapment? what is the success rate?
Rolling is a technique involving positioning the horse in** left lateral recumbency**, **hoisting into dorsal recumbency**, rocking the abdomen, and positioning in** right lateral recumbency.** 84% success rate when used with hoist and people feet
112
How is surgical correction performed in cases of nephrosplenic entrapment, and what is the prognosis?
Surgical correction involves reaching across the abdomen, **pushing the spleen ventrally** and **medially to free the colon**, and exploring the abdomen. The prognosis is** excellent (>90%)**
113
What is the reported recurrence rate of nephrosplenic entrapment?
Nephrosplenic entrapment is reported to recur in up to 8% to 23% of horses.
114
Describe the laparoscopic portals for nephrosplenic space closure
Feed is withheld for 12 hours prior to surgery three portals are created: **(1) 17th intercostal space or caudal to 18th rib**, level with the tuber coxae (**laparoscope/instrument portal**), (2) **paralumbar fossa midway between the 18th rib and mid tuber coxae** (laparoscope/instrument portal), and (3) **paralumbar fossa 3 to 5 cm ventral to portal (2) (instrument portal)**. The abdomen is insufflated with CO2 (**4–15 mm Hg).** simple continuous pattern beginning at the cranial aspect and extending caudally. Suturing is completed in a dorsal to ventral direction through the nephrosplenic ligament opposite the dorsal border of the spleen and in a ventral to dorsal direction through the dorsomedial splenic capsule. The first suture is placed between the perirenal fascia and dorsomedial splenic capsule with the needle being retrieved and passed through a small loop in the suture end to secure the suture line cranially. At the caudal extent of the nephrosplenic ligament, the suture pattern is reversed and extended three throws cranially prior to tying the extracorporeal knot or a modified Roeder knot or a **barbed knotless suture** or **polypropylene mesh** atrached to the dorsal aspect of nephrosplenic ligament with laparoscopic **tacking device**
115
which size is the laparoscope for closure of nephrosplenic space?
a 10-mm-diameter, 50- to 57-cm-long laparoscope with a 30-degree viewing angle
116
What is the common location for fecalith-induced large colon obstruction?
Typically at the **pelvic flexure**, in the** left dorsal colon** adjacent to the pelvic flexure, or in the **right dorsal colon.**
117
How can a fecalith causing obstruction be managed?
It may be hydrated with liquid colonic contents proximal to the obstruction and then broken down with massage through the colon wall or removed through a pelvic flexure enterotomy
118
Name three congenital abnormalities of the colon mentioned in the text.
**Atresia coli, duplications, **and **malformations.**
119
What are the clinical signs of atresia coli in neonates?
Signs of colic occurring within a few hours of birth, abdominal distention, and a lack of meconium staining.
120
How are horses with colonic duplications classified, and what age can they present?
Classified as simple cysts, diverticula, or tubular colonic duplications. They can present at any age.
121
What is the management approach for a congenital colonic diverticulum?
It may involve successful resection, but outcomes can vary based on associated congenital abnormalities.
122
Name two malformations associated with mesocolon abnormalities, as mentioned in the text.
Stellate and T-shaped malformations.
123
What is a reported association with colonic neoplasia in horses?
Uncommon in horses, but they may present acutely with or without a history of recurrent colic; weight loss; lethargy; exercise intolerance; or diarrhea.
124
What types of colonic neoplastic conditions are mentioned in the text?
Adenocarcinoma, lymphoma, gastrointestinal stromal tumors (GIST), and leimyoma.
125
What may be associated with adenocarcinoma in horses?
Enteric clostridiosis and osseous metaplasia of the tumor.
126
How are most colonic neoplasias diagnosed in horses?
Most are diagnosed during exploratory celiotomy or at necropsy.
127
What inflammatory lesions in horses may necessitate surgery?
Colitis, right dorsal colitis, and occasionally inflammatory or infiltrative bowel disease.
128
What is right dorsal colitis associated with, and how can it be managed medically?
Associated with **NSAID toxicity**. It can be managed medically by discontinuing NSAID administration and treatment with specific measures, including diet adjustments.
129
Describe a diagnostic method for confirming right dorsal colitis.
Transabdominal ultrasonographic evaluation of the right dorsal colon, with increased thickness being a diagnostic indicator.
130
If you do exploratory celiotomy in colitis what can you give as treatment intra op?
Performing a pelvic flexure enterotomy with evacuation of the colonic contents and intraluminal administration of **di-tri-octahedral (DTO) smectite **may be beneficial
131
What are the clinical signs of colitis and lab values?
fever, dull demeanor, and diarrhea, occasionally horses can present with acute severe colic signs and abdominal distention. Laboratory data including leukopenia/neutropenia, (relative) hypoalbuminemia, and hyponatremia may be suggestive of colitis
132
what is the aspect of the colon following colitis when you do exploratory celiotomy?
The colon is often edematous with petechiation of the serosal surface, a hemorrhagic mesocolon, and fluid contents
133
what is the normal wall thickness of the right colon on US?
**Normal = 0.22–0.59 cm** thick Right dorsal colon thick is 0.72 to 1.59 cm
134
What are the surgical procedures described for managing right dorsal colitis?
1. Bypass of the right dorsal colon, 2. resection of the affected right dorsal colon, 3. combination of resection and bypass.
135
What types of inflammatory or infiltrative bowel diseases are mentioned in the text?
1. Eosinophilic, 2. lymphocytic/plasmacytic, 3. granulomatous colitis.
136
What is the size of biopsy and where should you place it? are eosinophils normally present?
8 mm biopsy punch or full thickness biopsy during PF enterotomy. Close site with 2-0 or 3-0 polyglactin 910 or polydioxanone in a cruciate. Place it in 10% neutral buffered formalin volume 10 x the piece and highest nºs of eosinophils are normally present in the cecum and large colon.
137
Inflammatory lesions are more common in SI or colon?
SI but segmental eosinophilic colitis adjacent ot the PF primarily in LDC with LVC impaction can happen
138
What is large colon volvulus, and what are the risk factors associated with it?
Large colon volvulus is the rotation or twisting of the colon, with risk factors including increasing height, multiple colic episodes, quidding behavior, and mares, particularly those that have previously foaled
139
What are the resection proposed accordingly to short segment, moderate segment or long segment affected?
(1) a **wedge resection,** whereby only the segmental vessels were ligated leaving the colic artery and vein intact and an **end-to-end anastomosis** was performed (short segment of affected colon); (2) a s**egmental resection and end-to-end anastomosis with ligation of the adjacent segment of the colic artery and vein (**moderate segment of affected colon); or (3) **colon resection and side-to-side anastomosis**
140
What is the prognosis for horses with a large colon volvulus, and what factors are associated with lower short-term survival?
Generally considered guarded to favorable (50%–70%). Factors associated with lower short-term survival include: - higher admission heart rate - surgery duration - intraoperative variables like serosal color, tachycardia, and hypotension.
141
Horse when makes torsion most of the times is to which side? How should you turn the colon to correct?
Degas if needed and enlarge the incision because the gas can lead to rupture during manipulation. Stand on the left side of the horse because colon always twists the same way (dorsomedial) so you turn clockwise and you de-torse it. Note: horses can twist the colon at its base (involving cecum and colon) which can trick you because the cecocolic ligament will still be straight. Must also confirm that dorsal colon runs into the transverse colon and ileum runs straight to the cecum to be sure that torsion is correct
142
What are the indications for pelvic flexure enterotomy?
Pelvic flexure enterotomy include: - impaction of the pelvic flexure or right dorsal colon, - sand impaction, - enterolithiasis, - or foreign body removal.
143
What technique is described for colonic evacuation during pelvic flexure enterotomy?
Colonic evacuation during pelvic flexure enterotomy involves making a ~10-cm enterotomy and using warm tap water through two hoses—one for lavaging the bowel and the other fed through the enterotomy into the colon lumen.
144
What suture material and pattern are typically used for closing the enterotomy site during pelvic flexure enterotomy?
closed using 2-0 synthetic, absorbable suture material in a full-thickness simple continuous pattern, followed by oversewing with a Cushing pattern during pelvic flexure enterotomy.
145
Describe an alternative technique for enterotomy closure mentioned in the text.
An alternative technique for enterotomy closure involves using a Thoracoabdominal (TA-90) Premium stapling device. The enterotomy site is occluded, and the stapler is applied across the enterotomy, firing it twice if the incision is longer than ~8 cm.
146
What is the prognosis for horses undergoing pelvic flexure enterotomy?
excellent, with a success rate of over 90%, and it is dependent on the primary lesion.
147
What vessels are ligated during large colon resection, and what methods can be used for vessel occlusion?
The** right colic** and **colic branch of the ileocolic arteries** and veins are ligated during large colon resection. Vessel occlusion can be achieved using either **absorbable suture with a distal transfixing and proximal encircling ligature** or a **TA-90 stapling device.**
148
What complications are associated with pelvic flexure enterotomy?
Rare. They may include diarrhea, surgical site infection, life-threatening hemorrhage, omental adhesions to the enterotomy site, and the possibility of reimpaction.
149
What are the common indications for large colon resection?
1. Large colon resection is commonly performed to prevent recurrent colonic displacements or volvulus, 2. remove compromised large colon following correction of a large colon volvulus, 3. and address conditions such as adhesions, masses, colonic stricture, fecaliths, enterolithiasis, and Richter hernia.
150
What are the two main techniques for large colon resection, and how is the choice between them determined?
Large colon resection can be performed using a: 1. stapled or hand-sewn side-to-side 2. hand-sewn end-to-end technique. The choice between them is often based on surgeon preference.
151
Figure 37-20. A hand-sutured, side-to-side anastomosis of the ascendingcolon. (A) Placement of stay sutures at either end of the proposedanastomosis. The seromuscular layers of the ventral and dorsal colonsare apposed using a simple continuous pattern with an absorbable suturematerial. (B) After incision of the intestine, the two sides of the stomaare closed in a full-thickness simple continuous pattern (C). (D) Thecompleted stoma is oversewn to complete the anastomosis. Describe the technique step by step
152
Colon resection can be performed using (name the tx
- stapled or hand-sewn side-to-side - or hand-sewn end-to-end technique.
153
Short term survival for large colon resection
Colon resection, however, did not significantly improve outcome in horses with a large colon volvulus in one retrospective study. Short-term survival for horses with a hemorrhage score of less than 3 was 82% (18/22) without resection and 100% (12/12) with resection, and with a hemorrhage score of 3 or above only one horse (33%) without resection survived whereas 5/10 (50%) of horses with resection survived (see Table 37-3).
154
Indications for large colon resection
indications for large colon resection are adhesions of viscera to the large colon, masses, colonic stricture, fecaliths, enterolithiasis, and Richter hernia
155
where is the resection of colon is performed at what level?
cecocolic ligament
156
What is the preparation steps for colon resection?
1 - **Moistened laparotomy sponges** are positioned to protect the body wall and peritoneal cavity from contamination 2 - **Enterotomy of PF** and do not leave excessive fluid on right colons (risk of contamination) 3 - ligate **right colic** and **colic branch of ileocolic** arteries with absorbable suture or TA-90
157
Figure 37-19. The ascending colon is placed on a colon tray with the vessels facing uppermost. The colonic vessels are isolated from within the mesentery and double or triple ligated before transection (insert).
158
What is the purpose of creating a pelvic flexure enterotomy before large colon resection?
Before large colon resection, a pelvic flexure enterotomy is performed to evacuate the colonic digesta and prevent excessive fluid in the right colons, which can cause contamination during resection and anastomosis.
159
Describe side to side technique
*Evacute the colon first - Anastomosis prior to resection - WHY? it prevents the right dorsal and ventral to be dragged back ***Stay sutures** are placed in the R ventral and R dorsal **30 to 35 cm apart** proximal to vessel ligation site ***25-30 cm simple continuous between right dorsal and ventral colon** ***15-25 cm stoma **blade or GIA90 above and bellow the continuous suture previously performed After incision of the intestine the** two sides of the stoma are closed in a full-thickness simple continuous pattern monofilament** *Before resection*** occlude lumen with Doyen or Scullins-Scudder ***intestinal clamps before cutting *Then resection the lumen of right dorsal and close in 2 layers (use cushing or lembert) or Parker-kerr
160
name the tx
Figure 37-21. A hand-sutured, side-to-side anastomosis of the ascending colon. The transected extremity of the ventral colon is being sutured with the intestinal clamp in place, while the transected dorsal colon closure is being completed in two layers.
161
describe end to end technique in colon resection
Used for focal resection of PFlexure or resection and anastomosis of small segment of dorsal or ventral colon * Prepare before empty PF, ligature vessels, prepare surgical site **Resect right ventral *transverse to long axis** ***Resect right dorsal 30° obliquely** to long axis → match up different lumen sizes and so antimesenteric border is shorter *End to end technique with N0 synthetic absorbable suture in a Connell or simple continuous pattern oversewn using cushing or lembert **START with mesenteric borders** Suture wider in RVC to obtain adequate alignment with the RDC. Final stoma size is 12 to 14 cm
162
What complications are associated with large colon resection?
diarrhea, colic, tachycardia, severe hypoproteinemia, pyrexia, jugular vein thrombophlebitis, incisional infection, laminitis, ileus, endotoxemia, abortion, adhesions, hemorrhage from the mesenteric stump, septic peritonitis, and long bone fractures during recovery from anesthesia (tibia/femur in old broodmares)
163
What is the purpose of performing a colopexy in horses?
Colopexy is performed to prevent large colon displacement and volvulus, especially in cases of recurrent colon displacement. It can be done during repeat laparotomy or as an initial procedure in young broodmares at high risk for recurrence.
164
What are the different techniques for performing colopexy?
Colopexy techniques (lateral free tenial band of the left ventral colon to the body wall, ) include: 1. recumbent parallel to the laparotomy incision 2. recumbent and dissect skin and subcut tissue from EXTERNAL sheath of rectus abdominis muscle 3. recumbent incorporating the left ventral colon into the ventral midline body wall closure 4. performing laparoscopic colopexy.
165
Describe the colipexy technique
One colopexy technique involves suturing a **20- to 35-cm section of the lateral free tenial band of the left ventral colon** to the body wall approximately 6 to 10 cm to the left of the midline and parallel to the laparotomy incision. The left body wall is elevated with towel clamps and an incision is made through the parietal peritoneum and retroperitoneal fat to expose the internal sheath of the rectus abdominis muscle. An incision is made through the skin and subcutaneous tissue directly ventral to the incision to expose the external sheath of the rectus abdominis muscle to facilitate suture placement through the body wall including the external rectus sheath. The colopexy is performed midway between the **sternal and pelvic flexure** using** No. 2 polypropylene or nylon in a simple continuou**s or** preferably an interrupted cruciate pattern.** Eachs suture bite should span the entire width of the tenial band and **be 10 to 15 mm apar**t, without penetrating the lumen. The ventral midline incision and the subcutaneous tissue and skin at the colopexy site are closed routinely.
166
Name the size, which band, which colon which muscle incised which suture, pattern and size of bite apart in colopexy
involves suturing a **20- to 35-cm section of the lateral free tenial band of the left ventral colon** to the **body wall** approximately **6 to 10 cm to the left of the midline **and parallel to the laparotomy incision. Incision inside the abdomen and outside the abdomen to exxpose the internal sheath and external sheath of the rectus abdominis muscle ** Midway PF and sternal flexure** ** N2 polypropylene or nylon** ** Cruciate pattern** each suture bite should be** 10 to 15 mm apart**
167
How is laparoscopic colopexy performed, and what are its advantages?
**Laparoscopic colopexy** is performed with the horse under general anesthesia using insufflation (**15 mmHg**) and instrument portals. It involves suturing the lateral free tenial band of the left ventral colon to the body wall. Surgeon on right side and video on L side -**1st laparo portal ** is placed just c**ranial to the umbilicus** -**2 instrument portals LEFT CAUDAL 5cm and 15 cm to the of the midline) 10-12 mm obturator** -**skin incision of 25 cm** starting **5 caudal to the** **1st portal **parallel to the ventral midline and extend 20 cm cranial **3rd portal instrument**: **8 cm caudal **to the xiophoid and **2 cm to the left of the midline** **25 cm long incision of the skin and subcut 15 cm to the left of the midline** this will expose the rectus abdominis muscle the cranial extent of the incision is **20 cm cranial to the umbilicus** Use babcock forceps throught the cranial instrument portal Start extraabdominally suturing using **No2 nylon** through body wall into peritoneal cavity - place in the lateral free tenial band of LVC using inline laparoscopic needle holders and than through the entire body wall once again Sutures placed** 2 cm apart** **Knots are tied in the subcutaneous tissue** **Continuous pattern** **No2 nylon with a swaged **on **large reverse cutting needle**
168
What was the foaling rate reported after colopexy in mares that were pregnant at the time of surgery?
80%
169
you can do colopexy by incorporating the ventral midline
Using a cranial ventral midline laparotomy approach when there is a tentative diagnosis of large colon volvulus. The cranial ventral midline laparotomy incision is created** 5 cm caudal to the xiphoid cartilage** and extending in a **caudal direction for 15 to 25 cm. ** At the time of body wall closure, the colopexy is performed by **incorporating the lateral free tenial** band of the** left ventral colon** into the laparotomy closure beginning **40 cm from the cecocolic ligament** just beyond the sternal flexure. The **colopexy is 10 to 15 cm long** and performed using No. 2 polyglycolic acid or polyglactin 910 in a simple continuous or interrupted cruciate pattern. The lateral free tenial band was positioned level with the laparotomy incision using Allis tissue forceps. **Tissue bites in the tenia are 1 to 1.5 cm.**
170
Could you use chromic gut for the colopexy?
No it is not advised because it causes dissapearnce of the colopexy by 12 months after surgery
171
What potential fetal-related complication is associated with colopexy, and why?
Performing a colopexy lateral to the ventral midline incision may be associated with the development of fetal musculoskeletal deformities due to intrauterine malposition of the fetus.
172
advantages of laparoscopic colopexy
The advantages include a shorter convalescence period compared to laparotomy.
173
Sinovich et al. VS 2019 did a sturdy EX vivo comparision of barbed sutures for pelvic flexure enterotomy. What were the conclusions?
*Bursting strengths of both unidirectional and bidirectional barbed sutures were LOWER than single and double layer closures – possibly less secure … *Double layer closure HIGHEST BURSTING STRENGTH *Unidirectional barbed REDUCTION IN LUMEN DIAMETER compared to bidirectional and single layerclosures *Unidirectional barbed – single continuous cushing pattern Construction time did not differ between groups
174
prognosis for horses undergoing colopexy
good
175
Complications of colopexy
**Mild intermittent colic **can occur during the first **4 weeks after surgery **and may be associated with tension on the colon Colic signs appeared to occur more often if the colopexy site was **too close to the cecocolic ligament** **Weight loss may occur** **Catastrophic rupture 4-12weeks after colopexy** 1-6% **Subcutaneous fistulous tracts **or enterocutaneous fistula in less than 2% - if you remve the sutures 2 to 3 weekes after surgery may resolve the drainage
176
Decreasedapparent digestion of phosphorus and a negative phosphorusbalance are persistent features of large colon resection in horses, is it true?
Ponies undergoing resection of 75% of the large colon histologically did not have adaptive mucosal hypertrophy or hypoplasia at 6 months;however, some of the ponies were persistently hypophosphatemic. Horses, however, generally do well following colonresection and maintain their body weight with the diet being adapted to the individual horse.
177
Schoster et al 2020 JAVMA presents the outcome and complications following transrectal and trasnabdominal large intestinal trocaterization in equids with colic: 228 cases (2004-2018) what was the main complication? what was the percentage of survival to discharge?
Peritonitis - >10000cells abdo tap 73% survived to hospital discharge None euthanasied due to peritonitis caused by trocarisation
178
Pezzanite et al 2018 VS studied the tx associated outcomes in horses following large colon resection
Short and long term survival outcomes are not different between sutured end-to-end or stapled function end-to-end anastomoses in horses undergoing colectomy
179
De Souza and Mair 2021refer which % of horse go back to work after nonstrangulating large intestinal displacement surgery?
61-90%
180
What are the reasons for colonic dysfunction that could explain lack of performance?
Reduction in intestinal cells of Cajal density within pelvic flexure
181
What are the factors that negatively affect return to athletic function after surgical correction?
Stall rest for ortho reasons prior surgery, incisional complications, hernia formation
182
What is the prevalence of nephrosplenic space entrapment?
2,5-9%
183
Gandini et al 2021 describes the presence of a fibrous band originating from nephrosplenic ligament. What was the suspected cause?
Gandini et al 2021 describes the presence of a fibrous band originating from nephrosplenic ligament. What was the suspected cause?
184
Giusti et al 2022 EVE mentions that several cases of adhesions can happen without previous laparotomy, what are the risk factors?
Broodmares or geldings that were submitted to castrations
185
Gillen et al Javma 2019 what is the % of horses that were tx successfuly with medical tx for nephrosplenic?
53% of horse were treated with phenylephrine hydrochloride that is a alfa1 adrenergic receptor agonist that with rolling or exercise facilitates medical resolution.
186
Colonic viability assessment what does the surgeon evaluate?
serosal color, bleeding from enterotomy site mesocolonic and colonic edema arterial pulses peristalsis mucosal color clinical variables arterial pressurm PCV, lactate concentration, plasma proten
187
Colonic blood flow can be evaluated how?
Colonic blood flow has been evaluated using fluorescein dye,1 Doppler flow, intraluminal pressures, and surface oxygen tension
188
Intraluminal pressure greater than ____ cm H2O is associated with nonsurvival
38 cm H2O
189
Pelvic flexure biopsy where I:C is greater than 1 the odds ratio for death are _____ times greater. Hemorrhage score greater than or equal to ___
ratio for death 13 times greater Horses with mucosal hemorrhage score greater than or equal to 3 had an odds ratio for death 8.8 times greater (1.9–39.6)
190
What are the variables associated with lower short-term survival?
higher admission PCV higher admission HR surgery duratioon intraop serosal coloar Tachycardia 24-48 post + colic+diarrhea or hemorrhagic diarrhea less favorable outcom Posop lactte below 1mmol/L = survivors and nonsurvivors 3.24 mmol/L
191
it is normal to have eosinophils in the equine intestine?
It is important to keep in mind that eosinophils are normally present within the equine intestine with highest numbers in the cecum and large colon (~400–500 eosinophils/mm2)
192
name the instrument
Scullins scudder