Chapter 34 - Instestinal viability Flashcards

(59 cards)

1
Q

How is intestinal injury associated with obstructive intestinal diseases?

A

Intestinal injury is associated with obstructive intestinal diseases due to a critical reduction in oxygen and nutrient supply, leading to** cellular injury and necrosis.**

How well did you know this?
1
Not at all
2
3
4
5
Perfectly
2
Q

```

what is the classifation of intestinal obstructive lesions?

A

Intestinal obstructive lesions are classified as either simple or strangulating obstructions.

How well did you know this?
1
Not at all
2
3
4
5
Perfectly
3
Q

What is a simple obstruction, and what can it lead to as distention progresses?

A

A simple obstruction, commonly caused by intraluminal impaction, may lead to mucosal lesions similar to those encountered during ischemic injury as distention progresses.

How well did you know this?
1
Not at all
2
3
4
5
Perfectly
4
Q

What characterizes strangulating obstruction, and what are the examples given in the text?

A

Strangulating obstruction results from simultaneous occlusion of the intestinal lumen and its blood supply. Examples include large colon volvulus and strangulation of the small intestine within an internal hernia.

How well did you know this?
1
Not at all
2
3
4
5
Perfectly
5
Q

```

What determines the degree of injury in strangulating obstruction?

A

The degree of injury in strangulating obstruction depends on the nature of vascular occlusion, with veins being occluded earlier than arteries in most instances.

How well did you know this?
1
Not at all
2
3
4
5
Perfectly
6
Q

What is a nonstrangulating infarction, and what can interrupt mesenteric blood flow in this case?

A

Nonstrangulating infarction occurs when mesenteric blood flow to a section of the intestine is interrupted due to a thrombus, embolus, or generalized “low-flow” states.

How well did you know this?
1
Not at all
2
3
4
5
Perfectly
7
Q

What are some potential causes of nonstrangulating infarctions?

A

Causes of nonstrangulating infarctions may include verminous arteritis, Salmonella, dental disease, or thromboembolic disorders.

How well did you know this?
1
Not at all
2
3
4
5
Perfectly
8
Q

When is a horse susceptible to low-flow intestinal injury?

A

A horse with profound hypovolemia, such as after acute hemorrhage, is susceptible to low-flow intestinal injury.

How well did you know this?
1
Not at all
2
3
4
5
Perfectly
9
Q

What is the role of luminal distention in intestinal injury, and which layer is more severely affected?

A

Luminal distention, especially in the small intestine, can lead to seromuscular injury, and the seromuscular layer appears to be more severely affected.

How well did you know this?
1
Not at all
2
3
4
5
Perfectly
10
Q

```

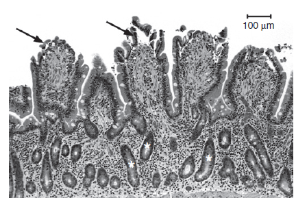
What anatomical feature makes the villus tip in the equine small intestine susceptible to ischemia?

A

The countercurrent exchange mechanism of blood flow in the small intestinal villus makes the villus tip susceptible to ischemia

How well did you know this?
1
Not at all
2
3
4
5
Perfectly
11
Q

Why the SI mucosa is more susceptible?

A

The small intestinal mucosa is more susceptible due to the countercurrent exchange mechanism and the higher energy requirement of the mucosal epithelium

How well did you know this?
1
Not at all
2
3
4
5
Perfectly
12
Q

What happens to the mucosal epithelium during hypoxic injury, and what is the first biochemical event during hypoxia?

A

The mucosal epithelium undergoes injury, and the first biochemical event is a loss of oxidative phosphorylation, leading to diminished ATP concentration.

How well did you know this?
1
Not at all
2
3
4
5
Perfectly
13
Q
A

The pH of the cytosol drops as lactic acid and inorganic phosphates accumulate from anerobic glycolysis, which damages cell membranes and results in their detachment
from the basement membrane. As epithelium separates from the underlying basement membrane in the small
intestine, a fluid-filled space termed Grünhagen space forms at the tip of the villus. The fluid accumulation
exacerbates epithelial separation from the basement membrane. Subsequently, epithelium progressively sloughs
from the tip of the villus toward the crypts, which are the last component of the intestinal mucosa to become
injured.

How well did you know this?
1
Not at all
2
3
4
5
Perfectly
14
Q

which part of the intestine is prone to ischemia?

A

in equine SI villus tip is the region most susceptible to ischemia this is why SI is more susceptible to ischemic injury than the colon which has no villi

How well did you know this?
1
Not at all
2
3
4
5
Perfectly
15
Q

Mucosal epithelium is particularly susceptible to hypoxic injury why?

A

because of the relatively high level of energy required to fuel the Na+/K+–ATPase mechanism that regulates epithelial ion and nutrient transport.

How well did you know this?
1
Not at all
2
3
4
5
Perfectly
16
Q

What is becoming apparent regarding the consequences of reperfusion injury in addition to the intestinal mucosa?

A

The consequences of reperfusion injury are widespread and involve tissues other than the intestinal mucosa, such as neutrophil infiltration into the seromuscular layers.

How well did you know this?
1
Not at all
2
3
4
5
Perfectly
17
Q

What is reperfusion injury, and what role does xanthine oxidase play in this process?

A

Reperfusion injury occurs when tissues are reoxygenated after ischemia. Xanthine oxidase converts hypoxanthine to superoxide during reperfusion, contributing to oxidative tissue damage.

How well did you know this?
1
Not at all
2
3
4
5
Perfectly
18
Q

Why is the treatment of mucosal reperfusion injury challenging in cases of strangulating obstruction?

A

Strangulating obstruction induces maximal mucosal injury during the ischemic phase, leaving little potential for further injury during reperfusion.

How well did you know this?
1
Not at all
2
3
4
5
Perfectly
19
Q

remarkly injury occur 3 hours after ischemia or 1 hour of reperfusion?

A

under conditions of low-flow ischemia, very little injury is demonstrated during 3 hours of ischemia, but
remarkable injury occurs during 1 hour of reperfusion

How well did you know this?
1
Not at all
2
3
4
5
Perfectly
20
Q

What is the suggested concept of a therapeutic window in the context of reperfusion injury treatment?

A

The concept suggests that there are conditions under which ischemic injury is minimal, and tissues are severely damaged during reperfusion, offering a potential therapeutic window for treatment.

How well did you know this?
1
Not at all
2
3
4
5
Perfectly
21
Q

What are some treatments mentioned for reperfusion injury in the horse, and why may they be challenging in cases of strangulating obstruction?

A

Treatments include antioxidants, intestinal nutrients, and vasodilators. These treatments may be challenging in strangulating obstruction due to rapid-onset mucosal injury during ischemia.

How well did you know this?
1
Not at all
2
3
4
5
Perfectly
22
Q

Superoxide interacts with

A

lipid membranes triggering arachidonic acid metabolism
and the generation of lipid neutrophilic chemoattractants such as leukotriene B4

How well did you know this?
1
Not at all
2
3
4
5
Perfectly
23
Q

Explain the mucosal epithelium hypoxic injury process with diagram starting with hypoxia/anaerobic glycolysis/formation of Grunhagen space

A
How well did you know this?
1
Not at all
2
3
4
5
Perfectly
24
Q

why crypts are the last affected in hypoxia procesS?

A

The relative resistance of the crypts to injury probably relates to their vascular architecture, since crypts receive a blood
supply that is separate from the vasculature involved in the villus countercurrent exchange mechanism.

25
Figure 34-2. Diagram of the events that lead to reperfusion injury. Note that as reperfusion progresses (shaded bar), the concentration of reactive oxygen metabolites amplifies as neutrophils are attracted to the site of injury. Points of experimental therapeutic intervention to block critical stages of reperfusion injury are underlined. Ab, Antibodies; ATP, adenosine triphosphate; DMSO, dimethyl sulfoxide; SOD, superoxide dismutase
26
during reperfusion injury the ischemia the enzyme xanthine dehydrogenase is converted into (name the new enzyme and substrate)
**xanthine oxidase** and its substrate **hypoxanthine** that accumulate as result of ATP use
27
What is the recent study of lidocaine's role in treating intestinal ischemic injury, and what were the findings?
The study examined the effect of a continuous-rate infusion of lidocaine on the mucosal barrier in the equine jejunum during recovery from strangulating obstruction, finding potential benefits in preventing barrier function reduction and neutrophil infiltration.
28
what are the 2 medications ideal to help in barrier function and permeability to LPS?
The administration of **flunixin meglumine** **alone ***inhibits the recovery of the mucosal barrier* following injury and increases *permeability to lipopolysaccharide (LPS).* In contrast, when a c**ontinuous-rate infusion of lidocaine** is **combined with flunixin meglumine,** this **reduced barrier function **and **increased permeability to LPS is prevented** + prevents i**nfiltration of mucosa with neutrophils**
29
what is the likely cause of adhesions and postop ileus?
neutrophil infiltration into the seromuscular layers likely contribute to important complications such as adhesions and postoperative ileus
30
During the reperfusion and oxygen presenc what happens to xanthine oxidase?
**Xanthine oxidase** degrades **hyoxanthine** in presence of oxygen and produces **superoxide** that contributes to oxidative tissue damage
31
What may antioxidant-based therapies potentially reduce in layers other than the mucosa?
Antioxidant-based therapies may potentially reduce neutrophil infiltration in layers other than the mucosa, such as the seromuscular layers.
32
How is the viability of intestinal tissue most commonly assessed in clinical practice?
The viability of intestinal tissue is most commonly assessed by clinical observation, including the color of the serosa and mucosa
33
# [](http://) What color changes in the serosa and mucosa were observed in a study on large colon volvulus in horses?
In the study on large colon volvulus, the serosa was noted to turn from various shades of purple to pink during reperfusion, while the mucosa consistently remained black.
34
What is the potential drawback of relying on clinical determination of viability in assessing intestinal injury?
Clinical determination of viability, while noninvasive and rapid, is inaccurate for fully determining the level of injury.
35
# [](http://) What are the methods to evaluate the intestinal viability?
1. **Clinical assessment** of bowel 2. **Fluorescein dy IV 6.6-15 mg/kg** and assesment 60 sec after inject 3. **Surface oximetry** indicate measure of tissue oxygenation 4. **Doppler US** 5. **Intraluminal pressure** 6. **Histopathology is gold standard** biopsy from pelvic flexure 7. **Dark field microscopy** FISCHDD
36
In what situations is euthanasia advised based on clinical judgment of nonviability of the intestine?
Euthanasia is advised when the intestine appears completely nonviable, characterized by dark coloration, a dull serosal appearance, and an inability to rehydrate the surface with lavage solutions.
37
# [](http://) What was the accuracy of clinical assessment in predicting viability in a study of ponies with small intestinal strangulation obstruction?
Clinical assessment was only 53% accurate in predicting viability in the study of ponies with small intestinal strangulation obstruction.
38
What grading system was developed to improve clinical judgment of viability in cases of strangulated small intestine?
The authors developed a **grading system based on: - **color**, _ **edema** - **motility,** - **constriction of the intestine** at the site of strangulation. CIC
39
# [](http://)[](http://) Indicate the grading system to assess 15 minutes after correction lesion
Grade I Color: similar to healthy adjacent intestine,Constrictions at the point of strangulation: NoEdema and mild ecchymoses: yes Motility: spontaneous or induced by inger snapping Grade II Color: similar to grade I, darker pink to red Constrictions: mild (less than half the intestinal circumference) Edema and ecchymoses: more severe Motility: spontaneous or induced by finger snapping Grade III Similar to grade II in all respects BUT black strips or patches against a redbackground Constrictions: yes, half the intestinal circumference or less Grade IV Color: Little or no improvement, dark, red, purple, or blueBlack striations and constrictions of half the intestinal circumference or less Thickness: variable, normal to thick Motillity: little or no (after finger snapping) Grade V Diffusely gray, black or green, with or without a necrotic odor. Motility: none
40
Fig 1: Typical classification of grade I from a horse in this study caused by strangulation with a Meckel’s diverticulum. Changes are characterised by oedema and scattered ecchymoses. This horse was alive at last follow-up 24 months after surgery, with no history of post operative colic.
41
# [](http://)[](http://)
Fig 3: Segment of intestine with grade III changes after strangulation in an inguinal hernia, characterised by red discolouration and a black patch attributed to a haematoma. This horse was alive at last follow-up 150 months after surgery, with no history of post operative colic.
42
Fig 2: Grade III changes from a horse in this study caused by strangulation with a lipoma. In the absence of the scattered black patches, this would be classified as grade II. This horse was alive at last follow-up 54 months after surgery, with no history of post operative colic.
43
# [](http://)[](http://)[](http://)[](http://)
Fig 4: Segment of intestine with grade III after strangulation by a lipoma, characterised by red discolouration and an antimesenteric constriction with blanching at the point of strangulation. This horse survived for 10 years after surgery and died at age 30 years from colitis, with no history of post operative colic. Note an incidental mesodiverticular band under the surgeon’s right hand. The intestine to the right would be classified as grade II in the absence of the constriction.
44
Fig 5: Short segment of ileum with grade IV after strangulation in an inguinal hernia. This segment was predominantly light purple with normal wall thickness, with most changes on the antimesenteric side of the intestine. The distal end (to the left) has a circumferential constriction. This horse was alive at follow-up at 33 months, with no history of post operative colic.
45
How does surface oximetry assess intestinal viability, and what are its limitations?
**Surface oximetry** measures intestinal serosal **surface oxygen partial pressure** Its limitations include **measuring focal areas, ** lack of indication for the viability of an **entire region**, and **variability in sensitivity and specificity.**
46
# [](http://)[](http://) What is the purpose of administering fluorescein dye intravenously, and what are the challenges associated with its clinical use?
**Fluorescein dye** is administered to assess **perfusion,** but challenges include **inconsistencies** in enhancing **accuracy**, especially in **cases of hemorrhagic strangulating obstruction.**
47
What is the normal range of surface oxygen partial pressure (PSO2) values for the jejunum, ileum, and pelvic flexure in healthy anesthetized horses?
Normal PSO2 values are **71±20 mm Hg **for the jejunum, **61±8 mm Hg **for the **ileum,** and ** 55±13 mm Hg **for the **pelvic flexure.**
48
Doppler ultrasonography detects flow through the____________(1w), and it was shown to be more accurate than clinical judgment and fluorescein in poststrangulated small intestine, especially in cases of hemorrhagic strangulating obstruction.
**Doppler ultrasonography detects flow** through the** microvasculature**, and it was shown to be **more accurate than clinical judgment and fluorescein** in post strangulated SI especially in cases of **hemorrhagic strangulating obstruction.**
49
# [](http://)[](http://)[](http://)[](http://) What correlation was found between intraluminal pressure and nonsurvival in horses with small intestinal obstruction?
**Increased intraluminal pressure** is **correlated with nonsurvival in horses** with small intestinal obstruction, likely due to mucosal injury from compression of the intramural blood supply.
50
What parameters were recorded on histologic evaluation to predict survival in horses with large colon volvulus?
Parameters included the percentage loss of surface and glandular epithelium, crypt widths, interstitial-to-crypt width ratio, degree of hemorrhage, and degree of edema. T**he latter measurements were expressed as an interstitial-to-crypt width (I:C) ratio. Normal values for this ratio are 1 or less.** higher than IC:3 is dead/nonviable and the loss of glandular more than 50%
51
**Dark-field microscopy** uses orthogonal polarized ___________ ___________ (2w) to visualize small vessels in real time, aiming to assess microvascular perfusion indices as an accurate technique for determining colon viability.
**Dark-field microscopy uses** **orthogonal polarized spectral imaging** to visualize small vessels in real time, aiming to assess microvascular perfusion indices as an accurate technique for determining colon viability.
52
How does intraluminal pressure correlate with nonsurvival in horses with large colon volvulus?
Increased intraluminal pressure is correlated with nonsurvival in horses - **15 cm H2O,** large colon volvulus increasing pressure correlated with nonsurvival
53
what is evaluated in histopathology in specific?
1. the % **loss of surface epithelium**, 2. % loss of **glandular epithelium** 3. **widths of the crypts** and 4. of the **interstitial space between the crypts**
54
**Surface oxymetry** is useful to detect survival or nonsurvival cases?
The technique is very useful for detecting **horses that will survive,** but predicting nonsurvival in horses with low PSO2 values is very inaccurate
55
what is the I:C ratio in histopathology evaluation that is the landmark?
Colonic tissue was considered to be nonviable when the I:C ratio was greater than 3 and the loss of glandular epithelium was greater than 50%
56
hemorragic strangulating obstruction - why veins are occluded earlier?
In most instances, the veins are occluded earlier in the course of strangulating obstruction than the arteries because of their thinner and more compliant walls
57
what causes hemorragic obstruction?
strangulating obstruction, with continued pumping of arterial blood into the intestinal wall, which, in the absence of patent outflow, causes a hemorrhagic lesion termed hemorrhagic strangulating obstruction.
58
what is a nonstrangulating obstruction?
Nonstrangulating Infarction * **Mesenteric blood flow** to a section of intestine can be interrupted because of a **thrombus, embolus** or during generalized “low-flow” states, which can result in a nonstrangulating infarction. or **2ary to migration Strongylus vulgaris** due to vasospasm
59
which artery is more prone to nonstrangulative obstruction?
cranial mesenteric artery