Chapter 46 - Image practice diagnosis Flashcards

(55 cards)

1
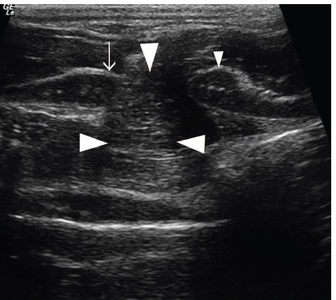
Q
A

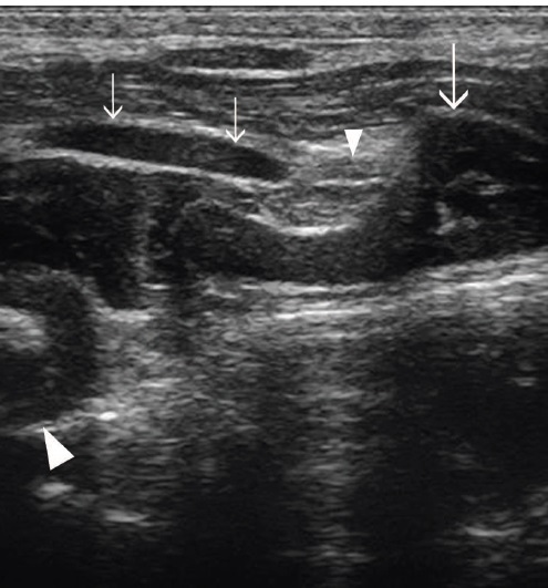
Fig 1: (a) Optimum position for the transducer. (b) Dorsal plane ultrasound image of the lateral aspect of a normal larynx.
Note the position of the cricoarytenoideus lateralis and vocalis muscle (small arrowheads) between the thyroid cartilage
(small arrows) and the arytenoid cartilage (large arrowhead). The cricoid cartilage (large arrow) is caudal to the thyroid
cartilage. Rostral is to the left of the image and caudal to the right

How well did you know this?
1
Not at all
2
3
4
5
Perfectly
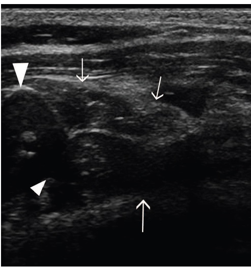
2
Q
A

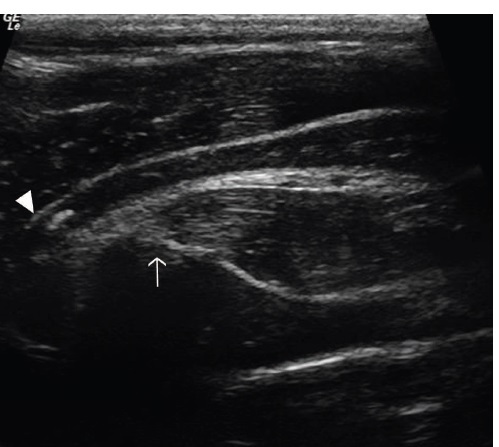
Fig 2: Dorsal plane ultrasound of the lateral
aspect of a normal larynx. This image is slightly dorsal and caudal to that shown
in Fig 1b.
The cricothyroid articulation (small
arrowhead) is formed by the caudal cornu of the thyroid cartilage (small arrows) and the articular process of the cricoid cartilage (large
arrow).
The muscular process of the arytenoid cartilage is also imaged (large arrowhead).
Rostral is to the left of the image and caudal is to the right

How well did you know this?
1
Not at all
2
3
4
5
Perfectly
3
Q
A

Fig 3: (a) Transverse plane ultrasound of the lateral aspect of a normal larynx. Note the position of the cricoarytenoideus lateralis
muscle (CAL) between the thyroid cartilage (arrows) and the arytenoid cartilage
(arrowheads)
.
The vocalis muscle is deep to the CAL, but the distinction between the muscles can often not be seen, as in this case. The arytenoid cartilage has a trumpet bell shape and the cricoarytenoideus lateralis and vocalis muscles have a striated appearance with heterogeneous echogenicity.
Dorsal is to the left of the image and ventral is to the right (b) Position of the transducer

How well did you know this?
1
Not at all
2
3
4
5
Perfectly
4
Q
A

Fig 4: Dorsal plane
ultrasound of the
dorsolateral aspect of
a normal larynx. This
image is dorsal to that
shown in Fig 1. The
cricoarytenoid articulation
(small arrowhead) is
formed by the muscular
process of the arytenoid
(large arrowhead) and
the dorsolateral cricoid
cartilage (large arrow).
The lateral portion of the
cricoarytenoideus dorsalis
muscle is imaged (small
arrows). Rostral is to the
left of the image and caudal
is to the right

How well did you know this?
1
Not at all
2
3
4
5
Perfectly
5
Q
A

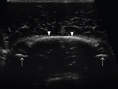
Fig 5: Transverse plane ultrasound of the ventral aspect of
the cricoid cartilage (arrows) of a normal larynx. Left is to
the right of the image and right is to the left

How well did you know this?
1
Not at all
2
3
4
5
Perfectly
6
Q
A

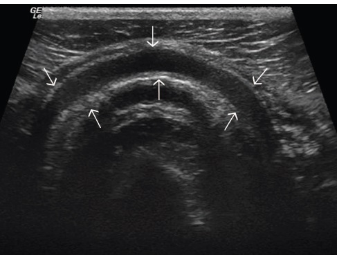
Fig 6: (a) Transverse
plane ultrasound image
of the ventral aspect
of the thyroid cartilage
(arrows) of a normal larynx
at the level of the vocal
folds (arrowheads). The
movement of the vocal folds
can be observed during
respiration. Left is to the
right of the image and right
is to the left of the image.
(b) Transducer position

How well did you know this?
1
Not at all
2
3
4
5
Perfectly
7
Q
A

Fig 7: Transverse plane ultrasound of the basihyoid bone
(arrowheads) and the ceratohyoid bones (arrows) of a
normal larynx, obtained with the transducer positioned
ventrally. Left is to the right of the image and right is to the
left

How well did you know this?
1
Not at all
2
3
4
5
Perfectly
8
Q
A

Fig 9: Transverse plane ultrasound image of the lateral
aspect of the larynx of a horse with arytenoid chondritis.
The arytenoid cartilage (arrows) is severely thickened
with irregular margins and increased echogenicity in its
interior. Dorsal is to the left of the image and ventral is to
the right

How well did you know this?
1
Not at all
2
3
4
5
Perfectly
9
Q
A

Fig 8: Comparison of echogenicity of the cricoarytenoideus lateralis and vocalis (arrows)
and cricoarytenoideus dorsalis (arrowheads) musculature. Horses with recurrent
laryngeal neuropathy have increased echogenicity and more homogeneous echogenicity
of the cricoarytenoideus lateralis and cricoarytenoideus dorsalis muscles. Dorsal plane
ultrasound images of the cricoarytenoideus lateralis muscle of (a) a horse with recurrent
laryngeal neuropathy and (b) a normal horse. Transverse plane ultrasound images of the
cricoarytenoideus lateralis and vocalis muscles of (c) a horse with recurrent laryngeal
neuropathy and (d) a normal horse. Dorsal plane ultrasound images of the cricoarytenoideus
dorsalis muscle of (e) a horse with recurrent laryngeal neuropathy and (f) a normal horse. In
the dorsal plane images, rostral is to the left and caudal is to the right and in the transverse
plane images, dorsal is to the left of the image and ventral is to the right

How well did you know this?
1
Not at all
2
3
4
5
Perfectly
10
Q
A

Fig 8: Comparison of echogenicity of the cricoarytenoideus lateralis and vocalis (arrows)
and cricoarytenoideus dorsalis (arrowheads) musculature. Horses with recurrent
laryngeal neuropathy have increased echogenicity and more homogeneous echogenicity
of the cricoarytenoideus lateralis and cricoarytenoideus dorsalis muscles. Dorsal plane
ultrasound images of the cricoarytenoideus lateralis muscle of (a) a horse with recurrent
laryngeal neuropathy and (b) a normal horse. Transverse plane ultrasound images of the
cricoarytenoideus lateralis and vocalis muscles of (c) a horse with recurrent laryngeal
neuropathy and (d) a normal horse. Dorsal plane ultrasound images of the cricoarytenoideus
dorsalis muscle of (e) a horse with recurrent laryngeal neuropathy and (f) a normal horse. In
the dorsal plane images, rostral is to the left and caudal is to the right and in the transverse
plane images, dorsal is to the left of the image and ventral is to the right

How well did you know this?
1
Not at all
2
3
4
5
Perfectly
11
Q
A

Fig 10: Transverse plane ultrasound image of the lateral
aspect of the larynx of a horse with laryngeal dysplasia.
The thyroid lamina (arrowhead) extends dorsal to the
muscular process of the arytenoid cartilage (arrow).
Dorsal is to the left of the image and ventral is to the right

How well did you know this?
1
Not at all
2
3
4
5
Perfectly
12
Q
A

Fig 11: Dorsal plane ultrasound image of the lateral
aspect of the larynx of a horse with laryngeal
dysplasia. The thyroid cartilage (arrow) and the
cricoid cartilage (small arrowhead) do not articulate.
The cricoarytenoideus lateralis and vocalis muscles
(large arrowheads) are positioned between the thyroid
cartilage and cricoid cartilage in the gap between the two
cartilages. Rostral is to the left of the image and caudal is
to the right

How well did you know this?
1
Not at all
2
3
4
5
Perfectly
13
Q

thickened arytenoid cartilage is a feature of
which disease?
a. Arytenoid chondritis
b. Dorsal displacement of the soft palate
c. Laryngeal dysplasia
d. Recurrent laryngeal neuropathy

A

a. Arytenoid chondritis

How well did you know this?
1
Not at all
2
3
4
5
Perfectly
14
Q

A characteristic finding in laryngeal dysplasia
is:
a. A gap between the thyroid and
cricoid cartilages
b. Thickening of the arytenoid cartilage
c. Abnormal echogenicity of the
cricoarytenoideus lateralis muscle
d. A shallower basihyoid bone depth

A

a. A gap between the thyroid and
cricoid cartilages

How well did you know this?
1
Not at all
2
3
4
5
Perfectly
15
Q
  1. Which of the following ultrasound machine
    settings may not need to be adjusted to optimise
    image quality?
    a. Gain
    b. Frequency
    c. Depth
    d. Marker position
A

d. Marker position

How well did you know this?
1
Not at all
2
3
4
5
Perfectly
16
Q
  1. Hyperechogenicity of which of these intrinsic
    laryngeal muscles is not a feature of recurrent
    laryngeal neuropathy?
    a. Cricoarytenoideus lateralis
    b. Cricoarytenoideus dorsalis
    c. Cricothyroideus
    d. Vocalis
A

c. Cricothyroideus

How well did you know this?
1
Not at all
2
3
4
5
Perfectly
17
Q
A

F I G U R E 1 An external longitudinal image visualising the three
cartilages, as the baseline image. Transducer position is shown in
(A) and the ultrasonographic image is shown in (B). Cranial (Cr) is to
the left and caudal (Cd) is to the right. Ac, arytenoid cartilage; Cc,
cricoid cartilage; Tc, thyroid cartilage

How well did you know this?
1
Not at all
2
3
4
5
Perfectly
18
Q
A

A significant relationship was found between the depth of the basihyoid bone at rest and the occurrence of dorsal displacement of the soft palate at exercise whereby on average a more ventral location of the basihyoid bone is present in horses with dorsal displacement of the soft palate. Chalmers 2009 VRU

How well did you know this?
1
Not at all
2
3
4
5
Perfectly
19
Q

basihyoid bone depth at the level of lingual process

A

basihyoid depth is smaller in horses with DDSP

How well did you know this?
1
Not at all
2
3
4
5
Perfectly
20
Q

Caudolateral window longitudinal plane of larynx postop - diagnosis?

A

FIGURE 11 Caudolateral window – longitudinal plane: Seroma
formation – note the anechoic and hyperechoic loculated appearance.
The seroma in this area is approximately 4 × 4.5 cmin size. Cranial to
the left and skin surface at top of image
indicated

How well did you know this?
1
Not at all
2
3
4
5
Perfectly
21
Q

diagnosis

A

FIGURE 13 B, The corresponding right Plica vocalis at 30-50 days postsurgery on endoscopy. The Plica vocalis abscess clearly seen as a yellowish-greenish
mass covered in mucoid material (white arrow). Right to the left of the image

How well did you know this?
1
Not at all
2
3
4
5
Perfectly
22
Q
A

FIGURE 15 Caudoventral window – transverse plane: A, The left Plica vocalis at 6-12 months postsurgery. Plica vocalis base (white arrow) is
hyperechoic compared to the right Plica vocalis. This is consistent with thickening of the tissue in this area, attributed to a granuloma. There is a
luminal ringdown artifact created by this mass. Right to the left of image and the skin/ventral at the top. B, The corresponding right Plica vocalis at
6-12 months postsurgery on endoscopy. The Plica vocalis granuloma can be clearly seen (white arrow). Right to the left of the image [Color figure
can be viewed at wileyonlinelibrary.com]

How well did you know this?
1
Not at all
2
3
4
5
Perfectly
23
Q

diagnosis

A

Medial deviation of aryepiglottic folds despite the extensive bilateral resection

24
Q

treatment

A

Medial deviation of the aryepiglottic folds is most commonly identified in racehorses, and severely affected horses benefit from surgical resection. Laser resection in the standing, sedated horse is the treatment of choice

25
Diagnosis and grade
Fig 1. HST photographs of larynges illustrating 3 grades of ADAF. (A) Mild ADAF: axial collapse of both aryepiglottic folds remains abaxial to the vocal cords. (B) Moderate ADAF: the aryepiglottic folds have collapsed to a point less than halfway between the vocal cords and the midline. (C) Severe ADAF: both aryepiglottic folds have collapsed more than halfway between the vocal cords and the midline.
26
Diagnosis and tx
FIGURE 2 Laryngeal grades at exercise (Robinson et al., 2004; Rossignol et al., 2018). (a) full abduction of the arytenoid cartilages during inspiration; (b) partial abduction of the affected arytenoid cartilages (between full and the resting position); (c) abduction held at the resting position; (d) collapse into the contralateral half of the rima glottidis during inspiration Laryngoplasty and ventriculocordectomy also re-innervation of the cricoarytenoid dorsalis muscle via direct nerve transplantation
27
diagnosis
FIGURE 3 Incomplete bilateral VeCs (performed surgically via laryngotomy)—horse at exercise showing ongoing collapse of both fold remnants during inspiration.
28
Barakzai 2019 reported that for horses with grade __(1 letter) preoperative laryngeal function and vocal fold collapse, unilateral VeC was effective in abolishing airway obstruction caused by the vocal fold collapse and reducing abnormal respiratory noise.
reported that for horses with **grade B** preoperative laryngeal function and vocal fold collapse, **unilateral VeC was effective** in abolishing airway obstruction caused by the vocal fold collapse and reducing abnormal respiratory noise.
29
Barakzai 2019 mentions that horses with grade C and D preop laryngeal function usually have concurrent pre-existing dynamic abnormalities that continue present postop and contribute to respiratory noise. name the cocncurrent problems (3)
1) right vocal fold collapse, 2) medial deviation of the right aryepiglottic fold 3) arytenoid instability
30
diagnosis
FIGURE 4 Ventral laryngeal web formation after bilateral VeC.
31
F I G U R E 5 Post-laryngoplasty grades of arytenoid abduction 1–5 as described by Dixon et al. (2003). Grade 1: excessive abduction; Grade 2: (50–80°) of arytenoid abduction; Grade 3: a moderate (circa 45°) degree of arytenoid abduction; Grade 4: a slight degree of arytenoid abduction—slightly more abducted than the normal resting position; and Grade 5: no detectable arytenoid abduction (hanging in the midline).
32
diagnosis
Horse after laryngoplasty with severe bilateral medial deviation of aryepiglottic folds MDAF
33
diagnosis
F I G U R E 7 DDSP post-laryngoplasty and left VeC. Note small green particles of food material on the walls of the nasopharynx
34
FIGURE 8 Post-laryngoplasty at rest, with grade 3 abduction (left) and during a fast gallop (right). Ventromedial luxation of the left corniculate process is present at fast work (red arrow). Note the lateral part of the corniculate remains abducted. Mild right MDAF is also present.
35
Diagnosis and possible tx
F I G U R E 9 Oesophageal reflux of saliva after laryngoplasty can be seen at rest (left) and sometimes only during exercise (right). **Vocal fold augmentation** as described by Luedke with diluted polymethylmethacrylate (PMMA) cement
36
FIGURE 10 Horse after standard partial arytenoidectomy during expiration (left) and inspiration (right). There is collapse of mucosal fold from the area of the corniculectomy and the left aryepiglottic fold during exercising endoscopy.
37
Luedke 2020 VS Management of postoperative dysphagia after prosthetic laryngoplasty or arytenoidectomy 1. What percentage of horses with prior prosthetic laryngoplasty (PLP) exhibited persistent resting dorsal displacement of the soft palate (DDSP)? A) 22% B) 44% C) 80% D) 94%
B) 44%
38
Luedke 2020 VS Management of postoperative dysphagia after prosthetic laryngoplasty or arytenoidectomy 2. Which treatment was most commonly performed as a single intervention for horses with dysphagia? A) Laryngoplasty removal (LPR) B) Laryngeal tie-forward (LTF) C) Vocal fold augmentation (VFA) D) Esophageal release
C) Vocal fold augmentation (VFA)
39
Luedke 2020 VS Management of postoperative dysphagia after prosthetic laryngoplasty or arytenoidectomy. In the long-term follow-up, what percentage of horses treated for dysphagia returned to some level of work? A) 80% B) 86% C) 94% D) 100%
C) 94%
40
FIGURE 11 Left-sided RDPA (arrows) seen at rest after modified partial arytenoidectomy.
41
diagnosis and tx
Arytenoid chondropathy bilateral with abnormal enlargement (chondritis with severe edema)
42
diagnosis and treatment
FIGURE 1 Exercising overground endoscopic image from case 1, illustrating epiglottic retroversion **Epiglotttopexy** (Curtis
43
Epiglottopexy consists in passing the suture where?
**hyoepiglotticus muscle** A No. 5 braided polyester suture (5 Ethibond) is passed through the thyroid cartilage in dorsal to ventral direction 0.5 cm to the right side of midline and 1 cm caudal to the most rostral aspect of the ventral wing of the thyroid. This suture was then passed in a horizontal plane from right to left, dorsal to the hyoepiglotticus muscle within the fascia between the muscle bellies and the epiglottic cartilage (Figures 3–4) just rostral to the rostral edge of the thyroid cartilage. The suture was then passed in a dorsal to ventral direction through the rostral aspect of the left wing of the thyroid cartilage and again through the fascia ventral to the epiglottis
44
what is being performed?
FIGURE 4 Surgical approach for epiglottopexy on a cadaver specimen. Basihyoid bone (solid white arrowhead), hyopepiglotticus muscle (dashed white arrowhead), and rostral aspect of the thyroid cartilage (black arrow
45
diagnosis and treatment
marked central epiglottic entrapment with marked tissue thickening and marked ulceration Treatment: transendoscopic correction with a silicone-covered laser guide and diode laser. Surgical options AUER: - -transendoscopic diode laser midline division, transnasal or transoral midline division with a curved bistoury, transendoscopic electrosurgical midline division, and surgical excision through a laryngotomy or a pharyngotomy.
46
Embertson scissors
47
Diagnosis and treatment
Bilateral mucosal ulcerations on the medial surface of arytenoid cartilage Management of arytenoid chondropathy depends on the stage of the disease (acute or chronic), the degree of airway dysfunction, and whether athletic activity is required. **ACUTE - Medical therapy** with broad-spectrum antibiotics, NSAIDs, and/or steroids and throat sprays often resolves the condition, but occasionally an emergency tracheotomy is required. A 7- to 10-day course of treatment followed by reaccess ABCESS/Granuloma - rima glottidis size is reduced because of granulation tissue or cartilage abscessation but arytenoid function is acceptable, local excision and drainage using endoscopic scissors laser therapy or local curettage, either in the standing horse or under general anesthesia via laryngotomy, CHRONIC - partial or complete arytenidectomy (bilateral is salvage procedure)
48
diagnosis and treatment
Figure 4. Large granuloma on the axial surface of the right arytenoid cartilage in the picture to the left and after a partial arytenoidectomy in the picture on the right. Treatment: Transendoscopic resection with diode laser or more direct 5-mm by 6.5-cm trocar inserted through a stab incision through the cricothyroid membrane. Using a diode laser, a 400 to 600 μm fiber is introduced through the endoscope biopsy channel. The mass is completely freed up except for small remaining tags of attachment, and it is retrieved with 600-mm-long equine laryngeal grasping forceps
49
Fig. 6. Bronchoscopic image of purulent material draining from the nasomaxillary aperture. Green arrow, nasomaxillary aperture. Red arrow, purulent material
50
Fig. 20. Maxillary flap showing the 210 and 211 tooth roots in the caudal maxillary sinus (CMS).
51
Fig. 3. (A) Transverse computed tomography (CT) image showing a normal and abnormal middle conchal sinus. The right middle conchal sinus (left side of CT image) is filled with air and seems to be normal. The left middle conchal sinus (right side of CT image) is filled with a fluid or soft tissue density material secondary to middle conchal sinusitis. (B) Nasal endoscopic image showing the middle conchus where laser fenestration is possible to gain access to the middle conchal sinus. *Middle conchal sinus. MC, middle conchus. ([A] Courtesy of Dr. Jonathan Cheetham, Ithaca, NY.)
52
Fig. 4. (A) Sinoscopic image through a sinonasal communication after surgery showing the palatine sinus opening under the ethmoid turbinates. (B) Transverse computed tomography image showing the palatine sinus relative to the infraorbital canal. CMS, caudal maxillary sinus; ET, ethmoid turbinates; FS, frontal sinus; *IOC, infraorbital canal; PS, palatine sinus.
53
Fig. 25. (A) Right frontonasal sinus flap showing exposure of the infraorbital nerve (yellow arrows) secondary to pressure necrosis from an ethmoid hematoma. Poor drainage from chronic sinusitis required removal of the floor of the dorsal conchal sinus, with sinonasal drainage established through the medial wall of the ventral conchal sinus (white arrow). (B) Endoscopic image 1 year later showing mucosal covering previously exposed infraorbital nerve (yellow arrow) and a persistent sinonasal communication (red arrows).
54
Fig. 5. Diastema widening (dentoplasty) is done using a diamond-coated burr such as this or high-speed handpiece placed in the interproximal space, parallel with the space. Good restraint and careful, accurate, controlled placement are needed to avoid inadvertent pulp penetration
55
Fig. 4. Passage of the endoscope around the ventral conchae of the right nostril to visualize the right VCB. (A) The endoscope is passed 10 to 15 cm caudal to the nares where the middle meatus is clearly visible. The nasal septum is on the right (starred) and the ventral concha is visible on the bottom (arrowhead). The arrow indicates the path of the endoscope to pass around the ventral conchal scroll. (B) The scope has been passed around the ventral concha and is now in the ventral conchal recess. The rostral mucosa fold extending from the VCB is visible (starred). (C) The endoscope has been advanced caudally within the ventral conchal recess until the VCB is visible (starred). The thin septum separating the ventral conchal recess from the ventral conchal sinus is visible (arrowhead). (D) A sagittal CT image taken rostral to the VCB. The arrow indicates the path taken by the endoscope around the ventral concha into the ventral conchal recess. This is at the level of the maxillary 06 teeth.