Chapter 98 - Shoulder Flashcards

(174 cards)

1
Q

Why can treatment of shoulder pathologies be delayed?

A

Shoulder pathologies are difficult to diagnose.

How well did you know this?
1
Not at all
2
3
4
5
Perfectly
2
Q

what is a common consequence of delayed treatment of shoulder injuries?

A

Secondary osteoarthritis.

How well did you know this?
1
Not at all
2
3
4
5
Perfectly
3
Q

What advancements can help with earlier diagnoses of shoulder lameness?

A

Improved radiographic equipment.

How well did you know this?
1
Not at all
2
3
4
5
Perfectly
4
Q

What can help improve outcomes for shoulder lameness in horses?

A

New plating methods for supraglenoid tubercle fractures.

How well did you know this?
1
Not at all
2
3
4
5
Perfectly
5
Q

How can shoulder lameness be localized in some cases?

A

Through swelling or pain on palpation.

How well did you know this?
1
Not at all
2
3
4
5
Perfectly
6
Q

What diagnostic method is used when clinical examination is inconclusive?

A

Intraarticular or bursal anesthesia.

How well did you know this?
1
Not at all
2
3
4
5
Perfectly
7
Q

What are the signs of acute shoulder injury in horses?

A

Severe lameness and localized swelling.

How well did you know this?
1
Not at all
2
3
4
5
Perfectly
8
Q

Why is joint effusion difficult to palpate in shoulder injuries?

A

Due to the overlying musculature.

How well did you know this?
1
Not at all
2
3
4
5
Perfectly
9
Q

What are less specific signs of shoulder lameness?

A

Shoulder muscle atrophy, pain on extension or flexion, and a shortened anterior phase of stride.

How well did you know this?
1
Not at all
2
3
4
5
Perfectly
10
Q

Which imaging technique can help localize shoulder lameness?

A

Nuclear scintigraphy.

How well did you know this?
1
Not at all
2
3
4
5
Perfectly
11
Q

What imaging technique should be used if bicipital bursitis is suspected?

A

Ultrasonography.

How well did you know this?
1
Not at all
2
3
4
5
Perfectly
12
Q

Why is MRI not commonly used for diagnosing shoulder injuries in horses?

A

It is not currently available for imaging equine shoulders.

How well did you know this?
1
Not at all
2
3
4
5
Perfectly
13
Q

How should radiographs of the shoulder joint be taken?

A

The horse’s leg is extended forward for a mediolateral projection.

How well did you know this?
1
Not at all
2
3
4
5
Perfectly
14
Q

What should be done if radiographs do not reveal shoulder pathology but osteochondrosis (OC) is suspected?

A

Perform positive-contrast radiography using iodine-based contrast medium. 7 to 10 mL of 350 mg iodine/
mL iohexol or a similar sterile water-soluble iodinated contrast
medium should be performed

How well did you know this?
1
Not at all
2
3
4
5
Perfectly
15
Q

What is injected to obtain a double-contrast radiograph?

A

30 mL of air following positive-contrast radiography.

How well did you know this?
1
Not at all
2
3
4
5
Perfectly
16
Q

How reliable is ultrasonographic guidance for intrasynovial anesthesia?

A

It is 100% reliable.

How well did you know this?
1
Not at all
2
3
4
5
Perfectly
17
Q

What can happen if the suprascapular nerve is inadvertently blocked during shoulder joint anesthesia?

A

It can cause lateral subluxation, leading to a condition known as sweeney.

How well did you know this?
1
Not at all
2
3
4
5
Perfectly
18
Q

Where is the bicipital bursa located for injection?

A

20 G Approximately 4 cm proximal to the distal aspect of the deltoid tuberosity. Btw the biceps brachii muscle and the humerus directed proximomedial to approximately 4 cm in depth where 5 to 10 mL of LA are injected

How well did you know this?
1
Not at all
2
3
4
5
Perfectly
19
Q

How is the infraspinatus bursa injected?

A

A 20-gauge needle is inserted through the infraspinatus tendon, distal to the caudal border of the greater humeral tubercle. 5 mL of LA is injected

How well did you know this?
1
Not at all
2
3
4
5
Perfectly
20
Q

painful response can often
be elicited following deep palpation of the

A

notch between the
cranial and caudal parts of the greater tubercle of the humerus.

How well did you know this?
1
Not at all
2
3
4
5
Perfectly
21
Q

What are radiographs performed for diagnosis of shoulder disease?

A

cranioproximal–craniodistal oblique view of the proximal portion of the humerus to diagnose long oblique fractures of the greater tubercle (Figure 98-1)

How well did you know this?
1
Not at all
2
3
4
5
Perfectly
22
Q
A

Figure 98-1. The position for obtaining a cranioproximal–craniodistal oblique view of the proximal portion of the humerus, which is best for imaging fractures of the greater tubercle.

How well did you know this?
1
Not at all
2
3
4
5
Perfectly
23
Q

Describe the local intra-articular injection of the shoulder - be specific

A

Local anesthetic (20 mL) is injected into the shoulder joint using an 18-gauge, 8.9-cm (3.5-in) spinal needle inserted in the notch between the cranial and caudal parts of the greater tubercle of the humerus. The needle is directed toward the elbow of the opposite limb, parallel to the ground, and is advanced until bone or cartilage is contacted

How well did you know this?
1
Not at all
2
3
4
5
Perfectly
24
Q

Why you should be careful with anesthesia of the scapulo humeral joint?

A

Extrasynovial deposition or leakage of local anesthetic solution out of the shoulder joint can block the suprascapular nerve, resulting in lateral subluxation of the scapulohumeral joint, thereby producing the clinical appearance of sweeney.

How well did you know this?
1
Not at all
2
3
4
5
Perfectly
25
Is osteochondrosis (OC) common in the shoulder joint?
No, it is less common compared to other joints.
26
At what age do clinical signs of shoulder OC usually appear in horses?
Between 4 to 12 months old.
27
What are typical radiographic signs of OC in the shoulder joint?
Irregular subchondral bone with radiolucent areas surrounded by sclerosis.
28
How can the extent of cartilage flaps be more clearly delineated?
Through contrast radiography.
29
What diagnostic tool should be used if subtle cartilage lesions are not detected with radiography?
Diagnostic arthroscopy.
30
What develops rapidly in cases of shoulder osteochondritis dissecans (OCD)?
Secondary osteoarthritis (OA).
31
What is a radiographic sign of shoulder OA?
Flattening of the humeral head and glenoid cavity.
32
What is the treatment of choice for shoulder OCD lesions?
Arthroscopic surgery with débridement.
33
What material has been used to repair cartilage flaps in select OCD cases?
Polydioxanone pins.
34
Why is shoulder arthroscopy more technically challenging than other joints?
Due to the complex anatomy and limited accessibility.
35
What approach is most commonly used for shoulder arthroscopy?
The craniolateral approach.
36
Where is the cranial portal site located for shoulder arthroscopy?
Between the cranial and caudal parts of the greater tubercle of the humerus.
37
Which approach is preferred for lesions on the caudal or medial aspect of the humeral head?
The lateral approach.
38
What is used to distend the joint during shoulder arthroscopy?
60 mL of lactated Ringer’s solution.
39
What instruments are used for subchondral bone débridement?
Ferris-Smith rongeurs, motorized resectors, periosteal elevators, and curettes.
40
What is done after cartilage and bone débridement is complete?
The joint is lavaged to remove debris.
41
What medications are administered perioperatively?
Antimicrobials and phenylbutazone.
42
How long should stall rest be maintained postoperatively?
30 days.
43
When does hand walking begin after shoulder arthroscopy?
After 14 days of stall rest.
44
How long should horses be turned out before resuming exercise?
For 4 to 6 months.
45
What are the 2 arthroscopic approach described for the shoulder?
Lateral and craniolateral approach
46
The lateral approach provides maximal visualization of the medial aspect of the humeral head and leaves the cranial portal where do you place the second portal for insertion of an egress cannula?
cranial to the infraspinatus tendon and proximal tothe notch between teh cranial and caudal parts of the greater tubercle of the humerus
47
describe the position of the horse for arthroscopy of the shoulder
lateral recumbency with the affected limb uppermost
48
Joint is distended previous to surgery with how much fluid?
60 mL of lactate Ringer's solution using 18G needle
49
where do you insert the needle to distend the shoulder joint previous to the surgery?
inserted in the notch between the cranial and caudal parts of the greater tubercle of the humerus (this site becomes the cranial portal)
50
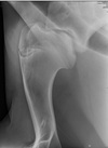
Figure 98-2. (A) Mediolateral radiograph of the shoulder joint. A subchondral lucent region is present in the caudal humeral head (arrows). The humeral head in this region also appears mildly flattened. (B) A positive contrast arthrogram of the same shoulder joint depicted in (A) Contrast material outlines the shoulder joint and further delineates the extent of subchondral bone lysis (arrows).
51
Figure 98-3. (A) Mediolateral radiograph of the shoulder joint. A subchondral bone lucency is present in the glenoid cavity. (B) A positive contrast arthrogram of the same shoulder joint as depicted in (A) shows that the subchondral bone lucency most likely does not communicate with the articular environment.
52
Figure 98-4. Mediolateral radiograph of the shoulder joint. Severe OCD of the humeral head and opposing glenoid cavity resulting in the development of osteoarthritis with sclerosis of the humeral head and glenoid cavity, remodeling of the caudal glenoid, and severe flattening of the caudal humeral head.
53
describe the insertion of the athroscope in the craniolateral approach
the arthroscope is inserted immediately cranial to the infraspinatus tendon and proximal to the notch between the cranial and caudal parts of the greater tubercle The arthroscope is angled 25 degrees distal and caudal to enter the shoulder joint
54
describe the lateral approach for athroscopy of shoulder?
the arthroscope is inserted 1 to 2 cm caudal to the caudal border of the infraspinatus tendon and inserted in the same direction as for the craniolateral approach. The optimal site for instrument portal entry is determined using an 18-gauge spinal needle.
55
what is the posoperative care of shoulder arthroscopy for OCD?
AB + PBZ PBZ is continued for the next 5 to 10 days. Horses are restricted to stall rest for 14 days, at which time hand walking begins for 5 minutes per day. After 30 days of stall rest with hand walking, horses are turned out for 4 to 6 months before exercise is resumed.
56
The most recent reports indicates a prognosis for soundness of how much?
25% = poor
57
Figure 98-6. Mediolateral radiograph of the shoulder joint. A displaced fracture of the supraglenoid tubercle is seen. The fracture fragment is displaced craniad and dorsad.
58
Figure 98-5. (A) An arthroscopic image demonstrating elevation of an OCD lesion of the humeral head (H). (B) A probe is inserted into a cystic defect in the glenoid cavity (G). (C) Use of a motorized burr to débride a lesion in the glenoid cavity.
59
C) Use of a motorized burr to débride a lesion in the glenoid cavity.Figure 98-5. (A) An arthroscopic image demonstrating elevation of an OCD lesion of the humeral head (H). (B) A probe is inserted into a cystic defect in the glenoid cavity (G). (C) Use of a motorized burr to débride a lesion in the glenoid cavity.
60
Lesions in arthroscopy are more extensive or less extensive than suggested by radio?
more
61
Pouyet et al 2021 VSWhat was the primary objective of the study described in the abstract? A) To develop a new surgical technique for horses B) To compare different types of arthroscopes C) To describe the technique for performing diagnostic standing scapulohumeral joint needle arthroscopy in horses D) To study postoperative complications in horses
C) To describe the technique for performing diagnostic standing
62
In phase 1, what was the focus of the evaluation in the study? A) Comparing the recovery time of horses B) Evaluating the visible structures of the scapulohumeral joint using two types of arthroscopes C) Testing a new type of sedation for horses D) Measuring postoperative pain levels in horses
B) Evaluating the visible structures of the scapulohumeral joint using two types of arthroscopes
63
What was one limitation of the standing needle arthroscopy technique mentioned in the conclusion? A) The procedure caused significant postoperative complications B) The technique was too complex for routine use C) It prevented evaluation of the medial aspect of the humeral head and most of the glenoid cavity D) Horses required general anesthesia for the procedure
C) It prevented evaluation of the medial aspect of the humeral head and most of the glenoid cavity
64
Pouyet concluded that the centrolateral aspect of the joint was visible in all joints byt the other craniolateral and caudolateral were what?
were complete in half of the cases and partial in other half medial side is NOT visible standing approach
65
Pouyet et al 2021 VS describes the surgical approach of craniolateral how?
3-mm skin incision was made with a No. 11 scalpel blade proximal to the greater tubercle of the humerus but slightly toward the cranial part of the tubercle to facilitate exploration of the cranial aspect of the joint. Then, an instrument portal was created approximately 6 cm caudal to the infraspinatus tendon and 4 cm distal to the arthroscopic portal to assess the lateral to medial visibility of the humeral head during arthroscopy
66
Fractures in the supraglenoid tubercle are usually what type?
are usually simple, intraarticular epiphyseal fractures.
67
At what age are horses most commonly affected by supraglenoid tubercle fractures?
younger than 2 years old
68
What are two potential causes of supraglenoid tubercle fractures?
Direct trauma or avulsion fractures caused by tension from the biceps tendon.
69
Can horses with supraglenoid tubercle fractures bear weight?
Yes, but they are variably lame and reluctant to fully extend the affected limb.
70
What physical sign may suggest a supraglenoid tubercle fracture in a chronic case?
Shoulder muscle atrophy.
71
What imaging technique is diagnostic for supraglenoid tubercle fractures?
radiography
72
In what direction is the fracture fragment typically displaced?
In a cranioventral direction.
73
What radiographic view is most reliable for diagnosing long oblique fractures of the greater tubercle?
A cranioproximal–craniodistal oblique view of the proximal portion of the humerus.
74
What condition decreases the prognosis for athletic function after a supraglenoid tubercle fracture?
OA
75
What is the goal of surgical repair for supraglenoid tubercle fractures?
To restore articular congruity of the glenoid cavity and prevent the development of OA.
76
When is internal fixation considered for supraglenoid tubercle fractures?
When the fracture involves one-third or greater of the glenoid cavity.
77
Can small fracture fragments be removed without affecting future athletic performance?
Yes, if the fragments involve only a small portion of the glenoid cavity.
78
What type of surgical approach is used for fragment removal in supraglenoid tubercle fractures?
A lateral recumbency approach with a 20-cm skin incision.
79
What muscles are retracted during the surgical procedure for fragment removal?
The brachiocephalicus and supraspinatus muscles.
80
What anatomical structures should be preserved during fragment removal surgery?
The suprascapular nerve, artery, and vein.
81
What indicates a poor prognosis for athletic function during surgery?
Cartilage damage on the humeral head and glenoid cavity.
82
How is the fracture fragment excised during surgery?
Blunt and sharp dissection
83
What is done after removing the fragment to prevent a postoperative seroma?
The area is lavaged, and a closed suction device may be used if substantial dead space remains.
84
How long should horses be restricted to stall rest after surgery?
60 days
85
Why is a carefully controlled rehabilitation program important after surgery?
To help the horse regain strength and coordination in the shoulder joint.
86
When can horses typically return to training or turnout after surgery?
6 to 12 months
87
What are the treatment options for supraglenoid fractures?
several tx options - conservative managemn for all small fractures but results in OA and residual lamness Surgical for repair of the fracture or removal of fragment
88
In which cases the supra glenoid cavity is submitted to internal fixation?
when there is involvement of a substantia one third or greater. Fracture fragments that involve only a small portion of the glenoid cavity can be removed with no apparent impact on future athletic performance (Figure 98-7, A and B).
89
Figure 98-7. (A) Mediolateral radiographic projection of a supraglenoid tubercle fracture. The fracture involved minimal articular surface of the glenoid cavity making surgical removal of the fragment an option. (B) Six years after removal of the fracture fragment, the horse remained sound with no signs of shoulder osteoarthritis.
90
How do you remove a fragment from the supreglenoid?
LR under GA affected limb uppermost 20 cm skin incision beginning at the distal extent of the scapular spine centering over the cranial aspect of the point of the shoulder brachiocephalicus and supraspinatus are incised and retracted identify and preserve the suprascapular nerve, artery, and vein as they course across the neck of the scapula The fracture fragment is grasped with a large bone-holding forceps and excised using a combination of blunt and sharp dissection to detach the muscular and tendinous attachments. Lavage
91
Placing the plate caudal to the scapular spine to avoid the suprascapular nerve, or cranial to the scapular spine and under the suprascapular nerve both resulted in significant muscle atrophy and unsatisfactory results. Positioning an overbent plate cranial to the scapular spine and over the suprascapular nerve resulted in satisfactory healing.23 These results prompted an extensive computed tomography and gross anatomic dissection study, which revealed that the ideal site for a plate is cranial to the scapular spine.24
92
what is the ideal fixation of supraglenoid fracture in the shoulder of the horse?
the ideal site for a plate is cranial to the scapular spine.
93
Presently, the most successful method of fracture fixation is use of
LCPs (Figure 98-8)
94
Figure 98-8. Mediolateral radiograph of the same shoulder joint depicted in Figure 98-6 after internal fixation of the fracture using two 4-hole, 4.5-mm narrow locking compression plates with 5.0-mm locking head screws.
95
If only one LCP is used, a 1.5-mm stainless-steel wire can serve as an additional tension band. how do you place the wire?
For this purpose, a 2.5-mm drill bit is used to drill a tunnel laterally to medially through the cranial scapular neck proximal to the supraglenoid tubercle, and another tunnel through the nonthreaded portion of the second LCP combi-hole into the fragment. The wire is then implanted in a figure-of-eight fashion and tightened. If a second plate is required for heavy patients or unsatisfactory fracture site reduction after application of the first plate, a second plate can be applied cranial and proximal to the first plate. The transverse orientation of the plates in this approach is technically less challenging than insertion of screws as described later, and eliminates any need for tenotomy of the biceps brachii.
96
describe the surgery of 2 narrow LCP oreinted transversly in the supraglenoid suture that resulted in soudness
two narrow LCPs oriented transversely resulted in bone union and return to soundness in all four horses, even when the fracture was 6 weeks old. The fracture site is approached as described previously for fragment removal. The fractured bone ends are débrided and the fracture is reduced using large pointed bone-reduction forceps. A loop of wire passed through the cranial scapular neck and the cranial aspect of the bone fragment can be used to aid in fracture reduction if needed. One or two, 4- or 5-hole LCPs are used, depending on patient size and fracture duration. After fracture reduction, two locking head screws are plated in the combi holes in the supraglenoid tubercle followed by one (in a 4-hole plate) or two (in a 5-hole plate) loaded cortical bone screws in the parent scapula, closest to the fracture site, and a final locking head screw in the most caudal plate hole.
97
Beside the LCP placement what other tx plate is described for superaglenoid issues?
An alternate technique involves the application of a human distal femur LCP
97
Figure 98-9. Mediolateral (left) and craniocaudal radiographic views of supraglenoid tubercle fracture repaired with the help of a human distal femoral LCP.
98
Internal fixation using LCPs is so superior to lag screw fixation of supreglenoid fractures?
yes, that lag screw fixation should be reserved for those instances when internal fixation equipment is not available
99
describe the surgical approach with cortex screw fixation
using two or three 5.5-mm cortex bone screws placed in a craniocaudal direction in lag fashion. Care is taken to implant the screws in a somewhat diverging pattern to increase resistance against the axial tension on the implants. Additional support is provided by applying a figure-of-eight tension band between the supraglenoid tubercle and the cranial edge of the scapula using large-diameter (1.5-mm) wire or a 1-mm cable.3,18,19 Wound closure and immediate postoperative care are similar to that described for fracture fragment removal. Following internal fixation, horses are confined to a box stall for at least 8 weeks, until postoperative radiographs indicate sufficient fracture healing. An intense rehabilitation program involving physical therapy and a controlled exercise protocol should be prescribed
100
What is the prognosis of fracture repair of supraglenoid fracture?
Fractures of the supraglenoid tubercle are rare and therefore there are few reports regarding surgical outcome. Poor outcome for conservative
101
Figure 98-10. Illustration of a repair of a neck fracture of the scapula with the help of two 6-hole LCPs (A) and a 5-hole human distal femur LCP (B).
102
racture of the neck or body of the scapula are common or rare?
rare
103
what is the cause of scapula fracures?
result of trauma and horses are variably lame In THO cathastrophic transverse scapular neck fractures are evident as result of chronic stress remodeling of the distal scapular spine
104
how do you diagnose a fracture of scapula?
A standing mediolateral radiograph with the affected limb pulled forward will reveal the fracture site.
105
what type of fracture of scapula the horse is unable to bear weight?
Horses with complete fractures of the body of the scapula or scapular neck are unable to bear weight.
106
What is the treatment for incomplete and complete fractures of the scapula?
Incomplete fractures can be managed conservatively. Application of a LCP cranial and caudal to the spine is the preferred technique (Figure 98-11).
107
Figure 98-11. Cross-sectional view across the body of the scapula distant to the fracture of the scapular body or neck. One LCP is applied cranial and another one caudal to the scapular spine. A, Cranial edge; B, spine; C, caudal edge.
108
Deltoid tuberosity fractures can occur as a result of
external kick from another horse
108
what are the symptoms of deltoid tuberosity fracture?
swelling lame
109
Deltoid tuberosity fracture ideal treatment
is concervative maangement
110
What is the ideal radiographic view to obtain conclusions about deltoid tuberosity fracture?
A 45-degree craniomedial–caudolateral oblique radiographic projection will reveal the fragment more consistently than a mediolateral projection or ultrasonography
111
What can happen if the entire greater tubercle of the proximal humerus fractures transversely?
The scapulohumeral joint can luxate.
112
What is the advisable radiograph to be taken when nuclear scintigraphy suggests involvement of the greater tubercle?
a caudal proximolateral to cranial distomedial oblique (skyline) radiograph of the proximal humerus
113
what is the treatment for great tubercle fracture?
conversvative removal repaired using cortex screws in lag fashion
114
Scapulohumeral joint luxation
115
Which types of horses are prone to catastrophic transverse scapular neck fractures?
Quarter Horses and less commonly Thoroughbred racehorses.
116
Are scapulohumeral joint luxations common in horses?
No, they are rare.
117
What are the usual causes of scapulohumeral joint luxations?
Trauma.
118
What is the recommended treatment for scapulohumeral joint luxation within 24 hours?
Closed reduction followed by arthroscopy to evaluate the joint and remove cartilage debris.
119
What is the likely outcome for most horses with scapulohumeral luxation?
They develop shoulder osteoarthritis (OA) and severe lameness, often leading to euthanasia.
120
What surgical procedure has been successful in some horses with scapulohumeral luxation?
Arthrodesis of the scapulohumeral joint using a narrow LCP contoured to the scapula and humerus.
121
What concurrent injuries may occur with scapulohumeral joint luxation?
Fractures of the scapula or proximal humerus.
122
How does chronic scapulohumeral joint luxation present in horses?
Non-weight bearing with possible shoulder atrophy.
123
What radiographic view is best to diagnose scapulohumeral joint luxation?
Caudolateral to craniomedial oblique view.
124
What is the prognosis for horses with scapulohumeral joint luxation?
Poor, due to development of shoulder osteoarthritis (OA).
124
What is the recommended treatment for scapulohumeral joint luxation within 24 hours?
Closed reduction followed by arthroscopy.
125
What surgical procedure can be performed in some horses with scapulohumeral luxation?
Arthrodesis.
126
What muscle originates on the supraglenoid tubercle?
Biceps brachii muscle.
127
What diagnostic tool is required for a definitive diagnosis of bicipital bursitis or biceps tendinitis?
Intrasynovial anesthesia.
128
What radiographic view helps identify lesions in the biceps region?
Caudolateral to craniomedial oblique radiographs.
129
What pathologies are commonly associated with the biceps tendon or bicipital bursa?
Bursitis, tendinitis, ossifying tendinitis, medial displacement, and infectious bursitis.
130
How is simple biceps tendinitis managed?
Conservatively.
131
What surgical intervention may be required for chronic bicipital bursitis?
Surgical intervention or endoscopy.
132
Where does the infraspinatus tendon insert?
On the craniolateral humerus.
133
What is the treatment for septic infraspinatus bursa?
Lavage, removal of fracture fragments, and administration of antimicrobials.
134
What imaging modality is more sensitive for detecting osseous and soft tissue injuries of the infraspinatus tendon?
Ultrasonography.
135
How is infection of the bicipital or infraspinatus bursa treated?
Endoscopy and systemic antimicrobials.
135
What does endoscopy of the bicipital bursa allow for?
Exploration, lavage, and removal of adhesions.
136
What is used to distend the bursa during endoscopy?
Lactated Ringer’s solution.
137
the horse with bursitis is painful when you
Horses with bicipital bursitis or biceps tendinitis exhibit pain when the biceps is grasped and pulled laterally
138
Describe in detail the surgical access of endoscopy to the bicipital bursa
The horse is positioned in LR, with the affected limb uppermost. The bursa is distended with 100 mL lactated Ringer’s solution as described earlier. The arthroscope is inserted into the distal aspect of the bursa through a skin incision placed 2 to 3 cm proximal to the deltoid tuberosity on the craniolateral aspect of the humerus. The arthroscope is advanced proximomedially through the brachiocephalicus muscle, beneath the biceps brachii muscle, and along the cranial surface of the humerus. When the distended bursa is entered, and fluid escapes from the cannula, the obturator is removed and replaced with the arthroscope. The instrument portal site is predetermined by placement of a spinal needle in the proximal aspect of the bursa, lateral to the biceps tendon. The bursa is explored and any foreign debris and adhesions are removed
139
Describe in detail the endoscopy of the infraspinatus bursa
The horse is placed in LR and US is used to ID the cranial aspect of the bursa, where needles are inserted cranial to the infraspinatus tendon and 1 cm distal to the greater tubercle. The bursa is distended and an arthroscope is inserted into this region. Following placement of the arthroscope and further distention of the bursa, an instrument portal is identified with needle placement and established in the caudal bursa. Minimal manipulations, other than thorough exploration and extensive lavage, are possible in the bursa, and the incisions may need to be converted to an open approach for removal of fragments of the greater tubercle
140
Figure 98-12. (A) Lateral view of marked atrophy of the infraspinatus and supraspinatus muscles. Note the well-defined spina scapulae. (B) Frontal (left) and side view (right) of a horse, A showing the marked atrophy of shoulder muscles. The dots on the left picture at the respective points of the shoulder on the left and right side of the horse show difference in posture.
141
What conditions are associated with biceps tendon disease in horses?
Bicipital bursitis, biceps tendinitis, and humeral osteitis.
142
What is a typical cause of the biceps tendon disease complex?
Chronic bursitis or tendinitis, which can be infectious or traumatic in origin.
143
What clinical sign is common in horses with biceps tendon disease?
Severe lameness.
144
What imaging findings are typical of biceps bursitis?
Ultrasonography shows bursitis, and radiographs reveal osteolytic changes in the proximal humerus.
145
What is the prognosis for soundness after complete biceps tendon transection?
Fair prognosis for return to soundness.
146
When should a tenectomy of the biceps brachii tendon be considered?
If purulent material is found within the tendon.
147
What is the surgical approach for biceps tendon transection similar to?
Removal of supraglenoid tubercle fractures.
148
What is the prognosis for tendon or bursa problems in general?
Ranges from guarded to good, depending on structures involved and duration of clinical signs.
149
What is the common cause of suprascapular nerve injury?
Trauma.
150
What muscle atrophy is diagnostic for suprascapular nerve neuropathy?
Atrophy of the infraspinatus muscle.
151
What is the colloquial name for suprascapular nerve injury with infraspinatus atrophy?
"Sweeney."
152
What gait abnormality occurs with suprascapular nerve injury?
Lateral shoulder slip when bearing weight.
153
How is the role of the suprascapular nerve in joint stability confirmed?
By selective anesthesia of the nerve.
154
When do clinical signs of nerve injury typically appear?
A few days to weeks after injury.
155
What muscles atrophy with axillary nerve injury?
Deltoideus and cleidobrachialis muscles.
156
What is a characteristic sign of radial nerve injury?
Dropped elbow and inability to extend the carpus.
157
What diagnostic tool can confirm nerve injury?
Electromyography.
158
How soon after injury is electromyography useful?
7 days after injury.
159
What is the recommended nonsurgical treatment for suprascapular nerve injury?
Box stall rest.
160
What is the average recovery time for shoulder stability with nonsurgical management?
7 months.
161
How is the horse positioned for surgical scapular nerve decompression?
The horse is placed in lateral recumbency with the affected limb uppermost.
162
What is the length of the skin incision made during the procedure of scapular nerve decompression?
A 25-cm (10-in) incision.
163
Which muscle is elevated from the spine of the scapula during surgery?
The brachiocephalicus muscle.
164
What structure must be preserved to protect the suprascapular neurovascular bundle?
The fascia deep to the supraspinatus muscle.
165
What is done to the cranial margin of the scapula to aid in nerve decompression?
A small amount of bone is rasped off.
166
Why should smooth edges of the bone be maintained post-surgery?
To decrease the potential for postoperative nerve injury.
167
What should be incised to maximize nerve decompression from scar tissue?
A tendinous band on the medial side of the scapula covering the nerve.
168
How long is the risk of postoperative fracture through the notch in the scapula?
For 6 weeks postoperatively.
169
How long is the horse confined to a box stall following the procedure?
Until shoulder stability returns, typically 2 to 3 months.
170
What is the prognosis for return to sound riding after scapular nerve decompression?
The prognosis is good, although muscle atrophy may not fully resolve.