2 circuits of circulation
1) pulmonary circuit ((RV-pulmonary trunk- 2 pulmonary arteries (left and right) -lungs-pulmonary veins-LA) –> essentially for deoxy blood to lungs and oxy blood to heart from lungs) 2) systemic circuit LV-aorta-arteries-arterioles-capillaries (TISSUES)-venules-veins-superior/inferior vena cava-RA
3 layers of the heart wall
1) endocardium 2) myocardium 3) epicardium
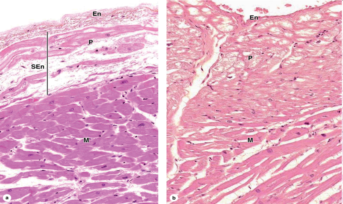
the endocardium contains ____ and _____ layers. What specialized cells make up the second layer?
contains endothelium and SUBENDOCARDIAL lyaer. the Purkinje fibers are located in the subendocardial layer.
the endocardium lining is known as ____. What kind of epithelium?
endithelium. simple squamous epithelum
the subendocardial layer of the endocardium is made of ____ connective tissue. also houses the ___ cells
AREOLAR Ct. also has purkinje cells.
true “cardiac muscle”
myocardium
the epicardium is on the ___ of the heart and covered with a thin layer of ____. What connective tissues are involved with epicardial layer?
on the OUTSIDE. covered with MESOTHELIUM. there is fibrous connective tissue and adipose connective tissue.
which layer of the heart wall forms the valves?
ENDOCARDIUM forms tricuspid and bicuspid valves.
The conduction system consists of modified muscle cells. Outline the spread of conduction
1) sa node 2) av node 3) AV bundle of HIS 4) bundle of HIS branches 5) purkinje fibers.
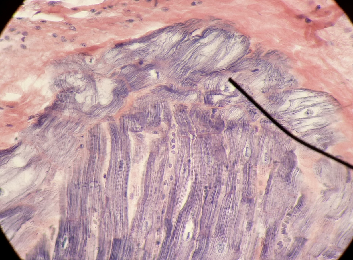
T/F purkinje cells contract
false. they are found in the endocardial region of the heart and INDUCES contraction.
Label

En= endocardial layer (lined with endothelium simple squamous epithelium)
P= purkinje fibers
SEn=subendocardial layer
M= myocardium (contractile fibers)
what is the arrow pointing to?

Purkinje fibers. no striations or intercalated disk. underneath endocardium in the subendocardial layer.
3 layers of a blood vessel
1) tunica intima
2) tunica media
3) tunica externa/adventisia.
what is the innermost layer of a blood vessel wall? What is it comprised of?
tunica intima
–Consists of flattened endothelial cells resting on a basement membrane, some LOOSE CT (AREOLAR) might be present (subendothelial layer)
in major arteries, there is an internal elastic lamina made of elastic fiberes between the:
T. intima and T. media
the tunica media is the intermediate layer of a blood vessel made of ___ muscle, and ___ and ___ fibers. In major arteries, there is an external elastic lamina between the T. ___ and the T. ____.
the tunica media is the intermediate layer of a blood vessel made of SMOOTH muscle, and ELASTIC and COLLAGEN fibers. In major arteries, there is an external elastic lamina between the T. MEDIA and the T. ADVENTITIA.
The tunica adventitia of a blood vessel consists mainly of ___ CT.
Loose. –might have other stuff connected to loose CT. May see thicker fibers, or a lot of fatty tissue.
Does an artery or vein have a thicker tunica media?
artery
what special adaptation does the tunica intima have in veins?
forms the valves
T/F: capillaries have all three layers of a blood vessel wall
false. they only have an endothelium. There is no subendothelial layer or other tunics. Allows for diffusion.
do arteries or veins have bigger lumens
veins have larger lumens.
do veins or arteries have a thicker adventisia?
veins. they are thinner in arteries.
T/F: Veins also have an elastic lamina
true. arteries have both an internal and external lamina but veins only have an external elastic lamina.