At gastroesophageal junction epithelium changes from ____ ____ to simple ___
At gastroesophageal junction epithelium changes from stratified squamous to simple columnar
the esophagus is a tubular structure that stems from ____ to stomach
oropharynx
near the stomach, the esophagus has ____ ____ glands in ____ ___ (mucous layer)
near the stomach, has esophageal cardiac glands in lamina propria (mucuos)
The esophagus has ___ ___ glands in the lamina propria and ___ ___ glands in the submucosa.
esophageal cardiac glands in the lamina propria and esophageal MUCOUS glands in the submucosa.
Any organ that is located below the diaphragm is covered with ____. Any organ covered above the diaphragm, is covered with _____
Any organ that is located below the diaphragm is covered with serosa. Any organ covered ABOVE the diaphragm, is covered with adventitia.
How do you tell apart the upper and lower part of the esophagus
upper: skeletal muscle, ahs adventitia lower: has esophageal cardiac glands, only smooth muscle, covered with serosa.
label

E= esophagus (SS non keratinized)
GP= gastric pits
SM= smooth muscle
CG = cardiac gland
C= cardiac portion of stomach
When not distended, mucosa and submucosa have longitudinal folds called ____. Function?
Rugae. to incrase the surface area for absorption and secretion.
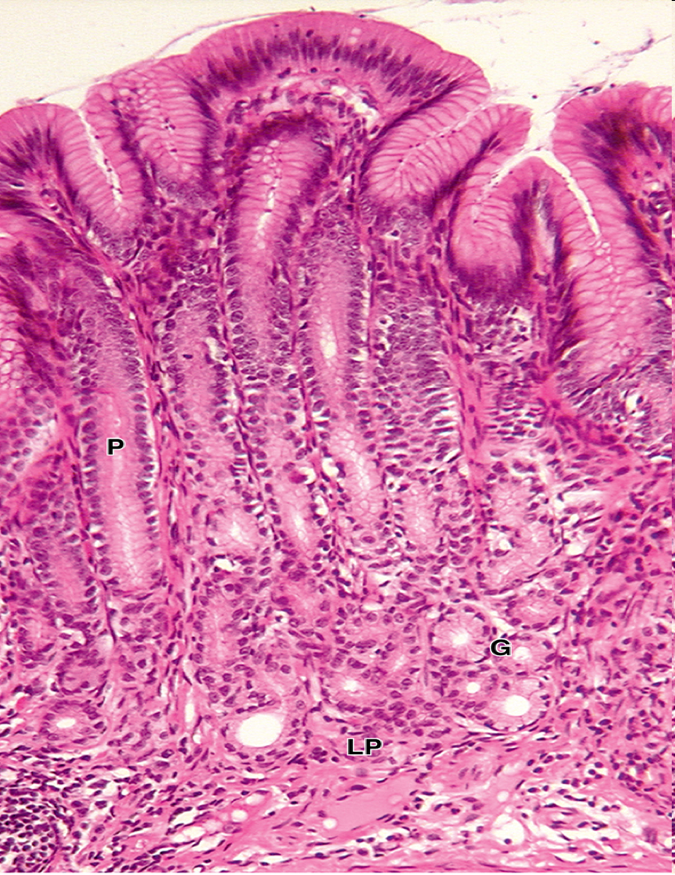
Label

SM= SUBMUCOSA. Made with loose CT (aereolar) and dense irregular fibrous CT with blood vessels.
ME = muscularis externa.
M = mucosa. filled with glands that penetrate through the lamina propria.
S = serosa.
Glands that secrete HCl and pepsin are mainly found inthe ___ and ___ regions of the stomach. Glands of the __ and ___ producive mainly mucous.
. Cells that secrete HCl and pepsin are restricted mainly to the body and fundus regions. Glands of the cardia and pylorus produce primarily mucus.
the muscularis externa of the stomach as ___ layers of muscle. What are they?
3 layers. MIDDLE Circular layer, outer longitudinal, and INNER oblique layer. allows for thorough mixing of the stomach contents.
the 4 regions of a gland in the stomach fundus region
1) pit
2) isthmus
3) neck
4) base
T/F: in the cardiac and pyloric regions, there is more “pit space” than glands space in the mucosa. What do the glands produce in these regions of the stomach?
TRUE: pits are 2/3 and glands are 1/3 of mucosa. glands produce mucous and lysozymes.
What is this?

cardiac portion of the stomach. Note that the gastric pits take up more space than the glands in the lamina propria.
T/f: in body and fundus, pits take up less space than glands in the mucosa layer. What do these glands secrete? what shape are the glands?
TRUE. there are more glands than pit depth in the body and fundus. glands secrete gastric juice. specific cells secrete dif molecules (parietal cells = Hcl, chief cells = lipases and zymogens, etc).
Glands are simple branched tubular that consist of an isthmus, neck and base.
5 typs of cells of the glands found in the fundic poriton of the stomach
1) stem cells. divide by mitosis to replace all cell types. found in upper neck and isthmus.
2) mucous neck cells. low columnar with basal nucleus. found in the neck region
3) parietal cells. more abundant in the upper parts of the gland. Produce Hcl and Intrinsic factor, a glycoprotein required for the absorption of vitmain B12
4) cheif cells; found at the base of the galnd. produce pepsinogen.
5) enteroendocrine cells; release hormones. Ex/ G cells = gastrin, increases HCl secretion. D cells= somatostatin, inhibits activity of other cells.
how does pepsinogen get activated?
gets activated to pepsin by Hcl that was produced by the parietal cells.
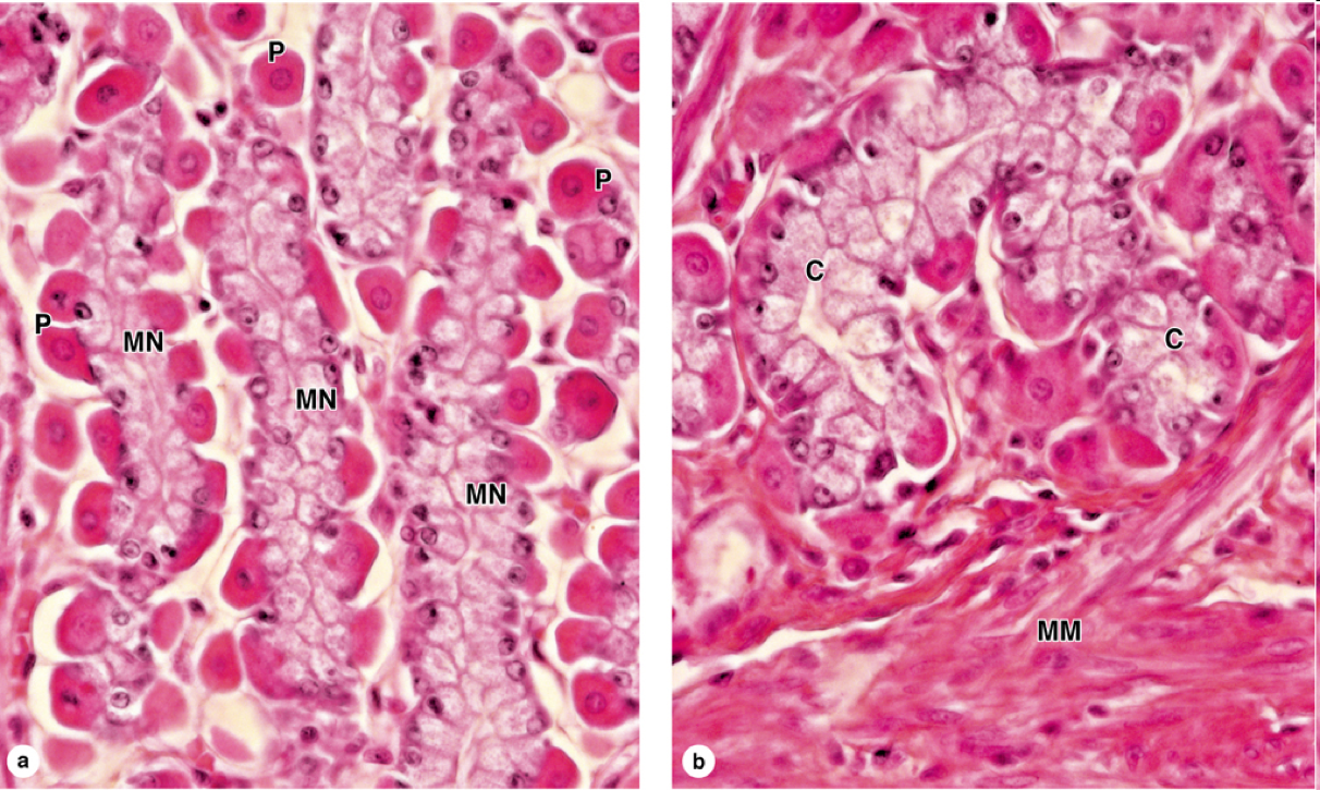
What is this? label

MN= mucous neck cells. don’t pick up stain because they are mucous
P = parietal cells .looks like boobs, and are more abundant on the top
MM = muscularis mucosae ( most bottom layer of the mucous layer)
C = chief cells. hard to distinguish from mucous neck cells but if you notice that that the MM layer is near by, you know they are chief cells because cheif cells are found more basally in the mucous layer.
3 types of enteroendocrine cells.
3 Types of Enteroendocrine cells that we will cover:
1) EC Cells: produces serotonin and substance P. Increases motility/ mechanically help with digestion.
2) G Cells: Gastrin release. Increases the activity of HCl/ secretion of HCl, especially in the presence of food.
3) D Cells: produces somatostasin. Inhibits the activity of the other cells.
which connective tissue comprises the submucosa of the stomach
1) loose CT (areolar)
2) dense irregular CT
is the stomach lined with serosa or adventitia?
serosa.
3 stomach functions
1) mix ingested food with gastric juiec
2) store food
3) begin protein digestion by pepsin.