2 main glial cells of the PNS
1) schwann cells: produces myelin
2) satellite glia: associated with and support neurons. Surrounds them in ganglia.
The schwann cells make myelin in layers surrouding the PNS neuron. Sometimes, the schwann cell cytoplasm gets stuck between the layers of myelin, forming ___ ___ ___.
Schmidt Lanterman Lines.
T/F: one oligodendrocte (myelin producing in CNS) myelinates multiple fibers
TRUE. therefore, they do not surround each individual fiber with their cell membrane (neurillemma)
What are the grey matter areas of the spinal cord? What do they contain?
gray matter is located in the posterior, lateral and anterior horns. They are filled with neuron cell bodies and astrocytes.
what are the white matter areas of the spinal cord? What do they contain
white matter (myelin) is found in the dorsal, lateral and ventral columns. They contain fiber tracts and oligodendroctytes.
a ___ ___ and ___ ___ join to form a spinal nerve
posterior root and anterior root
___ ___ is internal, forming a roughly H—shaped structure that consists of two ____ horns and two ____ horns all joined by the gray commissure around the central canal
GREY MATTER. Two posterior and two anterior horns.
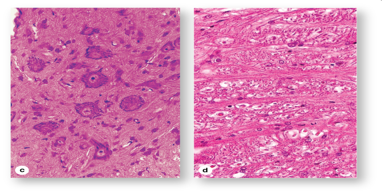
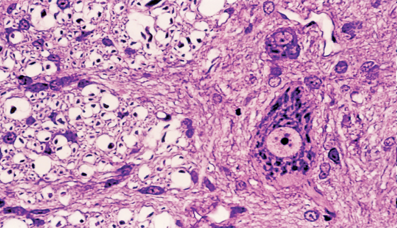
which image is grey matter? white matter?

(c): Micrograph of the gray matter showing large nuclei, prominent nucleoli, and cytoplasm rich in chromatophilic substances (Nissl substance) (d): white matter showing fiber tracts seen here in cross—section with empty myelin sheaths surrounding axons. Also seen tracts running from one side of the cord to the other, seen here as several longitudinally sectioned tracts. H&E.

White versus gray matter, stained. A cross section of spinal cord shows the transition between white matter (left) and gray matter (right). The white matter consists mainly of nerve fibers whose myelin sheaths were dissolved in the preparation procedure, leaving the round empty spaces shown. Each such space surrounds a dark—stained spot which is the axon. Neuronal cell bodies predominate in the gray matter
dorsal gray horns of the spinal cord contains ___ ___ ___ and ___ ___ that carry impulses to the thalamus.
dorsal gray horns of the spinal cord contains INTERNEURON CELL BODIES and SENSORY NEURONS that carry impulses to the thalamus.
Ventral gray horn contains ___ ___ ___ cell vodies
somatic motor neuron
Lateral gray horns are involved in the ___ ___ __
autonomic nervous system
purpose of CSf
1) shock absorber
2) maintains chemical homeostasis in brain
3) provides buoyancy
3 layers of the meninges. Where do blood vessels and CSF flow thorugh?
1) dura
2) arachnoid
3) pia.
CSF and blood vessels are in the subarachnoid space between arachnoid and pia mater.
Nerves in the PNS can either be ___ or ___
sensory or mixed
T/F : fiber bundles in the CNS are associated with connective tissue and can be sensory or mixed
FALSE. Fibers form tracts in the CNS and are not associated with connective tissue. They can be ascending or descending, but they cannot be mixed, unlike PNS nerves.
Nerves in the PNS are associated with ____ connective tissue. What’re the three connective tissue associations?
COLLAGENOUS (kind of like muscle bundles)
1- epineurium: ON SURFACE. fibrous covering that wraps and supports the nerve, separating it from fascia
2) perineurium: derived from epineurium, enters the nerve and forms nerve fiber bundles called fascicles.
3) endoneurium: delicate connective tissue layer derived from perineurium that surrounds each fiber and Schwann cell.
neuron cell bodies in the PNS are found in structures called ____
ganglia
dorsal root ganglia are located on the spinal cords at the dorsal root and are ___polar. They are ____ neuron cell bodies and are surrounded by ___ cells.
dorsal root ganglia are located on the spinal cords at the dorsal root and are UNIpolar. They are SENSORY neuron cell bodies and are surrounded by SATELLITE cells.
Sympathetic ganglia enter the ___ side of the vertebral column. The are ___polar with ____ granules. Do they contain satellite cells?
Sympathetic ganglia enter the VENTRAL side of the vertebral column. The are MULTIpolar with LIPOFUSCHIN granules. They do not have as many satellite cells as dorsal root ganglia
group of functionally related neurons in the CNS is called a ____
nucleus
each spinal nerve is connected to the spinal cord by two roots these are the ___ root and the ___ root.
each spinal nerve is connected to the spinal cord by two roots these are the DORSAL root and the VENTRAL root.
the cerebrum consists of 2 ____ connected by the ___ ___
2 hemispheres connected by the corpus callosum