in the trachea, below the mucosa and submucosa, there is a
ring of cartilage.
what type of epithelium lines the mucosal layer facing the lumen in the trachea?
pseudostratified ciliated columnar epitheliu,.
____(type) glands are often found above the perichondrum
mucous (often has serous demilunes)
what are the conducting portions of the respiratory system? the respiratory portions?
a conducting portion – nose, pharynx, larynx, trachea, bronchi (4 types), bronchioles and terminal bronchioles a respiratory portion – respiratory bronchioles, alveolar ducts and alveoli
4 types of bronchi
All parts are histologically differnet. 4 types of bronchi. 1) primary 2) secondary 3) Tertiary bronchi 4) Smaller/ terminal bronchioles
the conducting portion of the system ____ air, and the respiratory portion is involved in ___ ____.
Channels air, but the respiratory portion is involved in gas exchange.
the larynx is made primarily of ____ cartilage, except the epiglottis, which is made of ___
, all hyaline cartilages except for epiglottis, which is made for elastic hyaline cartliage.
the vocal chords are made of ___ ___ ___ ___
dense elastic fibrous tissue.
which types of cartilages are “sex linked”
thyroid and cricoid cardilage portions are larger in men.
label

larynx

which hormone influences the cartilage growth in larynx?
Growth of cartilage is influenced by testosterone. Allows for adams apple to grow. Vocal chords are attached to the thyroid cartilage and thus deepens as the adams apple grows.
the trachea extends from the ___ to where it divides to ___ bronchii
larynx to primary bronchii
three layers of trachea
1) mucosa
2) submucosa + cartilage rings
3) adventitia
2 components of mucosa of trachea
1) epithelium of pseudostratified ciliated columnar epithelium
2) lamina propria of loose areolar CT
2 components of submucosa of trachea
1) mucous glands with serous demilunes
2) hyaline cartilage (c shaped)
hyaline cartilage in the respiratory system is C shaped with gaps. the gap is bridgedby ___ muscle
trachea muscle.
function of the hyaline cartilage in hte trachea
ucartilage supports wall and prevents collapse of airway
the adventitia of the trachea consists of:
loose connective tissue, blood vessels and nerves
Label

Probs trachea
E= epithelium (pseudostratified ciliated columnar epithelium)
CT= Connective tissue in lamina propria
G= seromucous glands in submucosa
P= perichondrium
C= hyaline cartilage.
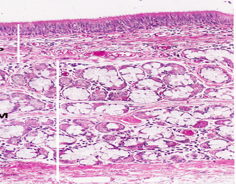
what is this?

probs trachea.
mucosa with epithelium and lamina propria; submucosa with sero-mucus glands andfibrous tissue of perichondrium
Fibrous tissue at the end of the slide, part of submucosa. its the perichondrium. cartilage not shown.
the trachea divides to form 2 ___ ___. these divide to form ___ ___> What is the dispersion?
these bronchi divide to form ___ __, which divide to __ __.
2 primary bronchi. they form secondary bronchi (3 on right, 2 on left)
Secondary divide to form tertiary bronchi which divide to smaller bronchi
difference in cartilage structure between primary and secondary bronchii.
do tertiary and smaller bronchii have cartilage?
yes, but just very small plates.