Endocrine functions of the kidney
1) erythropoietin 2) reni
components of the urinary system
1) kidney 2) ureters 3) urinary bladder 4) urethra
are kidneys covered in serosa or adventitia
adventitia because it is in a retroperitoneal position
the kidneys are surrounded by a capsule made of ____ ___
connective tissue (dense CT)
the ureter, renal artery, and veins enter the kidney through the ____
hilum
The ureter divides and subdivides into several major and minor ____, around which is located the ___ ____ containing adipose tissue.
The ureter divides and subdivides into several major and minor CALYCES, around which is located the RENAL SINUS containing adipose tissue.
Attached to each minor calyx is a renal ____, a conical region of medulla delimited by extensions of cortex. A renal _____ with associated cortex constitutes a renal ___-.
Attached to each minor calyx is a renal PYRAMID, a conical region of medulla delimited by extensions of cortex. A renal PYRAMID with associated cortex constitutes a renal ____
outline the blood supply to the kidney (starting from entering the kidney and then flowing out of the kidney)
1) renal artery 2) segmental artery 3) interlobar arteries 4) arcuate arteries 5) INTERLOBULAR ARTERIES 6) afferent arterioles 7) glomeruli 8) EFFERENT ARTERIOLES 9) peritubular capillaries and vasa recta 10) interlobular veins 11) arcuate veins 12) interlobar veins 13) renal vein then out

functional unit of the kidney
nephron
two components of the renal corpuscle
1) bowman’s capsule
2) glomerulus
Components of the nephron
1) renal corpuscle
2) proximal convoluted tubule
3) loop of henle
4) distal convoluted tubule
5) collecting tubule
6) collecting duct (stemming from collecting tubules from several nephrons)

What are the juxtamedullary and cortical nephrons? Which one is longer.
Juxtamedullary nephrons have their glomeruli closer to the border between the cortex and the medulla, whereas cortical nephrons have their glomeruli closer to the upper portion of the cortex.
Juxtamedullary nephrons usually have much longer loops than cortical nephrons.
2 layers of the bowmans capsule. What are their components?
1) visceral layer: podocytes (cell body) with processes or pedicels
2) parietal layer: simple squamous epithelium, thin layer of reticular fibers. the parietal layer is continous with the wall of the proximal convoluted tubule.
the glomerulus portion of the renal corpuscle is made of ____ with ___ cells located between them
made of capillaries with MESANGIAL cells located between the capillaries.
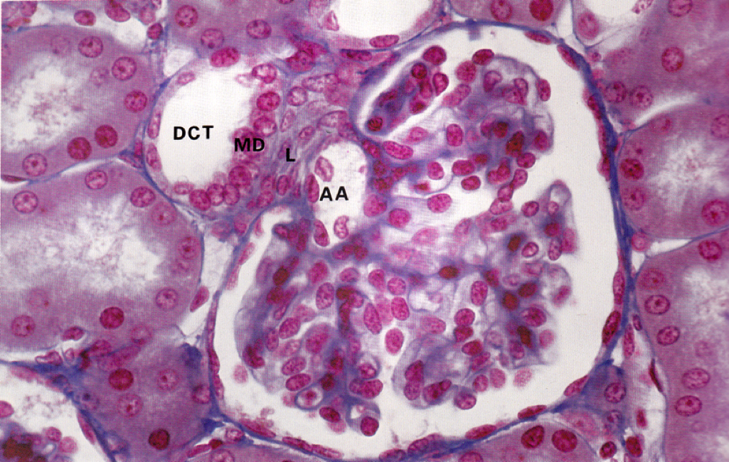
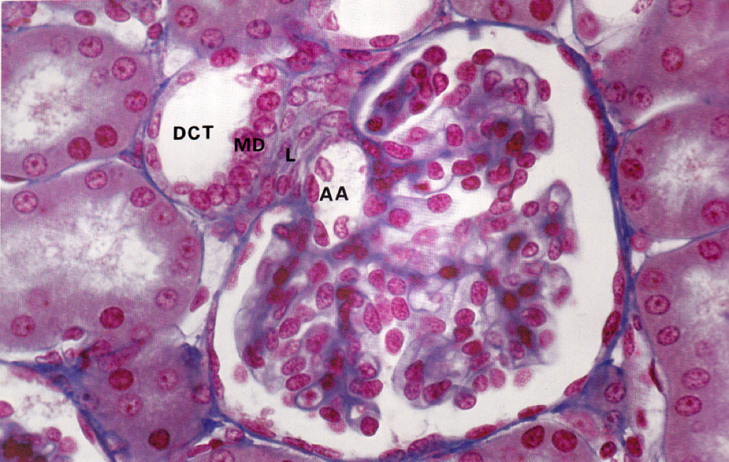
the ____ pole is the site of the renal corpsucle that contains the afferent arterioles and efferent arterioles, where as the tubular pole connects to the ___ ___ ___ What is the white portion between the parietal layer and the glomeruus? What are the big cells standing out in the glomerulus?

the VASCULAR pole is the site of the renal corpsucle that contains the afferent arterioles and efferent arterioles, where as the tubular pole connects to the PROXIMAL CONVOLUTED TUBULE.
white portion= urinary space
large cells = podocytes
on a cross section slide, how can you tell the difference between proximal and distal convoluted tubules?
both look nice and cuboidal like, but the distal convoluted tubule has a very empty lumen.
How is filtrate produced at the level of the renal corpuscles?
Filtrate is produced in the corpuscle when blood plasma is forced under pressure across the filtration membrane of the glomerular capillary wall and through the filtration slits between the pedicels of podocyte processes.
Function of a podocyte
located in the glomerulus as darker dots with a characteristic elongated nucleus. Also has large cytoplasmic major processes known as PEDICELs. the podocytes are involved in the filtration of blood. they contain filtration slits in between the pedecels.

Filtration of plasma occurs across ___ ____ of glomerular capillaries and BM and _____ of the visceral layer of Bowman’s capsule.
Note: cell bodies of two podocytes and the series of pedicels on the glomerular basement membrane is separated by the filtration slits. On the other side of the membrane is the thin lining of a capillary (C) endothelial cell, with fenestrations. Together these openings allow filtration of liquid from plasma into the urinary space (US) of Bowman’s capsule
Filtration of plasma occurs across fenestrated endothelium of glomerular capillaries and BM and podocytes of the visceral layer of Bowman’s capsule
3 functions of mesangial cells found in the renal corpuscles
1) structural support to the glomerulues
2) phagocytosis of protein components and removal of nitrogenous products
3) secretion of substances needed for defense and repair in the glomulus, such as enzymes.
How to tell between DCT and macula densa
the DCT has cells that look a little larger than cells within the wall of the capsule (cuboidal in shape), whereas the macula densa beside it is super densely arranged and look very similar.
