organs that constitute lymphatic organs
1) lymph nodes 2) thymus 3) spleen 4) tonsils 5) bone marrow
lymphatic organs and diffused lymphatic tissues produce, store and carry cells which are involved iN;
defense against invading microorganisms, antigens and cancer.
2 types of diffused lymphatic tissuse (MALT)
1) GALT: gut associated lymphaitc tissue 2) BALT: bronchi associated lymphatic tissue.
In addition to GALT, what other MALT components can be found in the intestine?
MALT components are also isolated lymphocytes and other cells scattered throughout intestines. typically dark staining.
lymphatic vessels carry ___
lymph
lymphatic organs are composed of lymphatic tissues, which are made from ___ CT
specialized reticular connective tissue. (COLLAGEN 3)
various cell types of lymphatic tissues. where do these cells originate?
1) lymphocytes 2) plasma cells 3) monocytes – differentiate to tissue macrophages 4) dendritic cells (langerhans) of skin. cells orgiinate in the red bone marrow and then are carried in the blood to lymphatic organs.
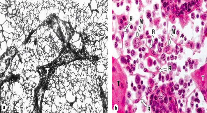
label

this is lymphatic tissue. R= reticular fibers
M= macrophages
T= trabeculae– tight fiber mesh is tight.
lymph nodes house
lymphocytes and antibodies
where is thymus located?
its made of two lobes that are further divided into lobules. located on the trachea just above the heart.
what type of capillary is seen in spleen

sinusoids.
tonsils are lined with:
stratified squamous epithelium and a capsule
3 types of tonsils
1) pharyngeal tonsils
2) palatine tonsils
3) lingual tonsils
Function of tonsisl
provides protection against harmful substances and pathogens that may enter the body through the mouth
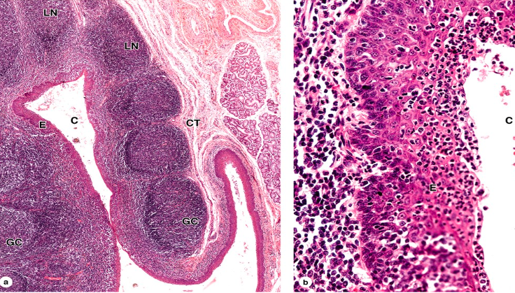
What is this? label

Tonsil. Lymphatic nodules covered by stratified squamous epithelium
some nodules show light staining germinal centers (GC). Infoldings of nodules form CRYPTS (C)
E= epithelium SS