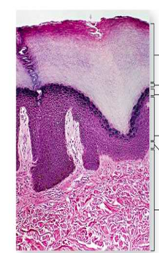
3 major layers of the skin and what’re they made of?

1) epidermis: stratified squamous epithelium 2) dermis: connective tissues 3). hypodermis of subcutaneous layer. composed of areolar and adipose CT.
T/F: epidermis is avascular
true
5 dif layers of epidermis from base to top
1) stratus basale 2) stratum spinosum 3) stratum granulosum 4) stratum lucidum 5) stratum corneum
4 types of epidermal cells and locations
1) keratinocyte, found in all cll layers
2) melanocytes; found in stratum basale
3) tactile merkel cells; found on the stratum basale basically on basement membrane. raeches down into dermis by sensory nerve ending
4) epiderma dendritic cell/langerhaan cell: involved in immunity and found in stratum basale

Where is the stratum lucidum present?
only found in the epidermis of THICK SKIN - palms of hands
the stratum basale is a SINGLE LAYER of epidermis made of ___ ___ cells. How are these cells attached to the basement membrane? Function of stratum basale?
made of cuboidal/columnar cells. the keratinocytes are attached to each other and to the basement mebmrane by desmosomes and hemidesmosomes. Major function:
1) to attach the skin to the basement membrane
2) to reproduce by mitosis.
thickest layer of the epidermis. function? How are these cells held together?
stratum spinosum is the thickest layer and provides strength and flexibility to the epidermis. 8-10 layesr are held together by demosomes. You can find langerhans and melanocytes in the spinosum layer.
What layer of the epidermis is nuclear degeneration apparent in? What do these cells in this layer contain?
in the stratum granulosum, nuclear degeneration is apparant. the cells contain lamellar granules AND dark-staining keratohyaline granules. Both granule types promote dehydration of cells.
in the stratum spinosum, keratin filamnets form bundles known as:
tonofibrils
purpose of the stratum corneum. what is its purpose?
its 15ish layers of flat dead squamous cells. Its composed of keratin and surrounded by lipids. it acts as a barrier to light, heat, water, chemicals and bacteria
keratinocytes produce ___ and ___ granules
lamellar and keratohyaline granules
two major regions of the dermis
1) papillary region
2) reticular region
the top 20% of the dermis is the ___ region. What is it made of? What is it’s function? What specialized cells/structures does it contain
PAPILLARY REGION. it is made of loose connective tissue and contains TYPE 7 COLLAGEN to anchor the epidermis to the dermis. It contains:
1) capillaries that feed the epidermis
2) meissner’s touch corpsucles and free nerve endings for senations of heat, cold, pain and tickle.
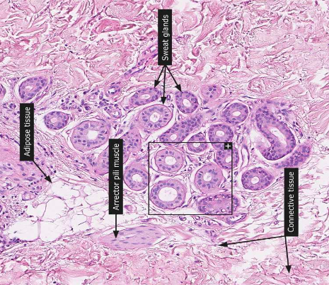
the majority of the dermis is the ___ region. It contains ___ ___ ___ CT with collagen, elastic and reticular fibers. What specialized structures are located in this region? What is the purpose of this region?
RETICULAR REGION because it contains reticular fibers. made of DENSE IRREGULAR FIBROUS CONNECTIVE TISSUE. Purpose is to provide strength, extensibility and elasticity to skin. Contains:
1) oil glands
2) sweat gland
3) fat
4) hair follicles
5) cells and bloodvessels
6) pacinian corpuscles,
7) nerves.
stretch marks are dermal tears to the ___ region
tears in the reticular region
3 accessory structures of the ksin that are dervied from the epidermis
1) hair
2) oil and sweat glands
3) nails
two portions of the hair. Also, what type of muscle surrounds the hair?
the hair consists of the shaft and root, and they are surrounded by arrector pili muscle, which is smooth muscle. the hair is also associated with sebaceous oil glands.
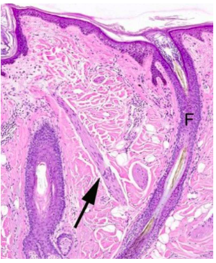
label


what is the arrow pointing to?

arrector pili muscle surrounding a hair follicle
type of secretory system of sebaceous oil glands. What does it produce? Function?
HOLOCRINE. produces sebum that moistens hair and waterproofs and softens skin
type of gland

sebaceous holocrine gland
sweat glands can either be ___ or____
eccrine(merocine) or apocrine
where can you find ceruminous glands?
produces a waxy substance, found in the external AUDITORY MEATUS
epithelium of sweat glands
simple cuboidal. Eccrine or merocrine
