Functions of large intestine
1) absorb water and salt from feces 2) form and propel feces to rectum 3) produce mucous
components of the large intestine
cecum, appendix, colon (ascending, transverse and descending), rectum, anal canal, and anus.
T/F large intestine has villi
false.
4 cells in the epithelium of large intestine
1) goblet cells ( much more than small intestine, makes it appear very pale) 2) absorptive cells. 3) enteroendocrine cells 4) stem cells.
Where can you find lymph nodules in the large intestine?
in the lamina propria and the submucosa.
what is a characteristic feature of the muscularis externa of the smthe large intstine?
normla inner circular layer, but outer layer forms TAENIAE coli, spaced bands.
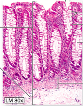
Small or large intestine?

large. ):The mucosa is occupied mostly by tubular intestinal glands extending as deep as the muscularis mucosae and by lamina propria rich in GALT. The submucosa is well vascularized.

T/F: the appendix (part of large intestine) also has taenia coli
false.
How can you characterize the appendix?
©Lumen is small, triangular.
©Mucosa has only a few short crypts.
©Lots of lymph nodules in lamina propria.
©Muscularis externa is thin, no taeniae coli.
What is this?

Appendix. has a very small lumen, fewer glands in its mucosa, and no taeniae coli. The laminar propria and submucosa are generally filled with lymphocytes and lymphoid follicles, making the appendix a significant part of the GALT

Epithelium changes from ___ ___ to ____ _____ at junction of rectum and anus. Becomes ____ closer to surface where it is continuous with epidermis.
Epithelium changes from simple columnar to stratified squamous at junction of rectum and anus. Becomes keretinized closer to surface where it is continuous with epidermis.

What is this?
Mucosa of the recto—anal junction. The simple columnar epithelium with tubular glands that lines the rectum (left side) changes abruptly to stratified squamous epithelium in the anal canal (right side), as seen in this longitudinal section.
Can distinguish between gastroesophageal junction because there are no gardiac glands,
___ is the disease the involves the atrophy of periodontal ligmanets.
Scurvy.
©Caused by protein and vitamin C deficiency
©Teeth become loose; might fall out in extreme cases
what are ulcers
disruption of peithelial tissue.
Outline a disease that is an inflammatory bowel disease.
©CHRONS DISEASE: Inflammatory bowel disease
©May involve small and large intestine (mainly small)
©Symptoms: abdominal pain and diarrhea. Rectal bleeding, weight loss, skin problems
©fever may also occur.
© Bleeding may be serious and persistent, leading to anemia
disease tends to thicken the intestinal wall with swelling and scar tissue, narrowing the passage
HISTOPATHOLOGY: swelling, increased lymphocytes and neutrophils.
purpose of the taniae coli
to propel feces towards the anus.