Describe pros/cons of iterative reconstruction
What are advantages of sequential (prospectively triggered) scan mode compared to conventional retrospective gating?
****** Does not improve temporal resolution
Describe the relationship between:
Inversely proportional
What will be the result of increasing peak tube voltage on a MDCT?
Describe the effects of increasing tube voltage
Decrease in image noise
What does the “p” stand for?
“Peak”
What material has a Hounsfield unit of zero?
Water
How can the quality of the image be improved?


What adjustments to acquisition or reconstruction will result in reduced image noise?
What adjustments to acquisition or reconstruction will result in increased image noise?
What is the temporal resolution of the scan?
280 ms / 4 = 70 ms

Describe how to calculate temporal resolution

After reviewing the images of a CCTA, you decide to reconstruct the images using a smoother filter. Where can this be done?
At the scanner
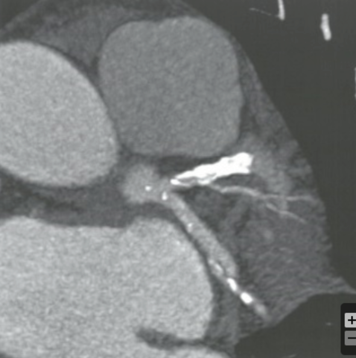
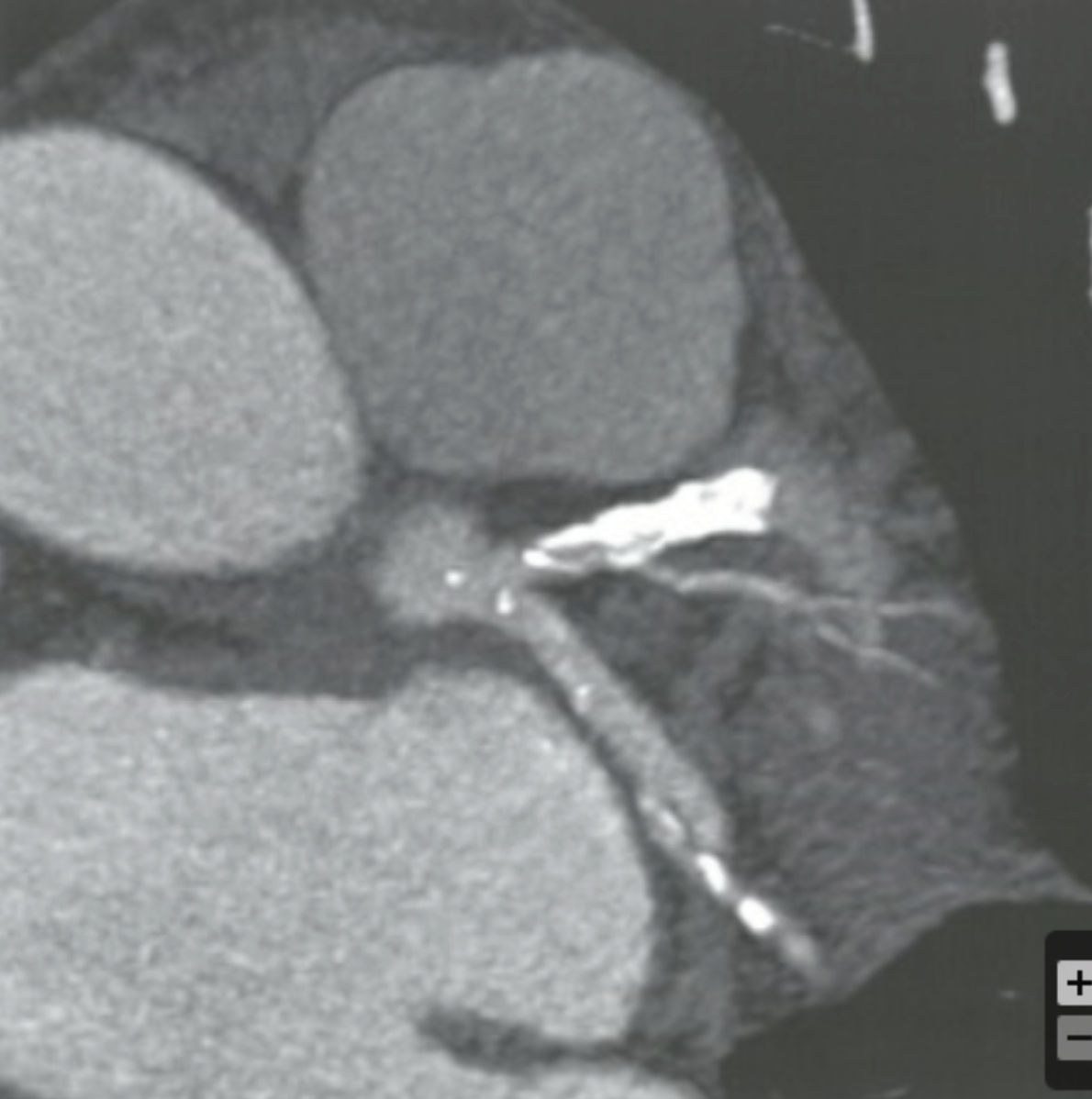
CCTA requires using thin detector collimation to avoid partial volume averaging, but the use of thin collimation comes at what cost?
Increased image noise
What matrix size would make full use of the spatial resolution of the scanner at this field of view?
1024 x 1024
What is the utility of multi-cycle reconstruction (multi-segment reconstruction)?
Improve temporal resolution
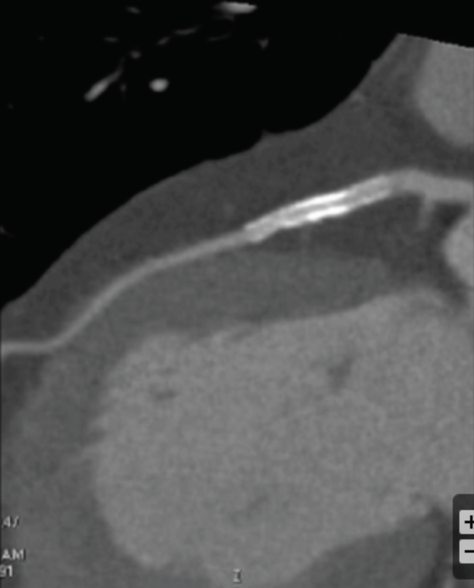
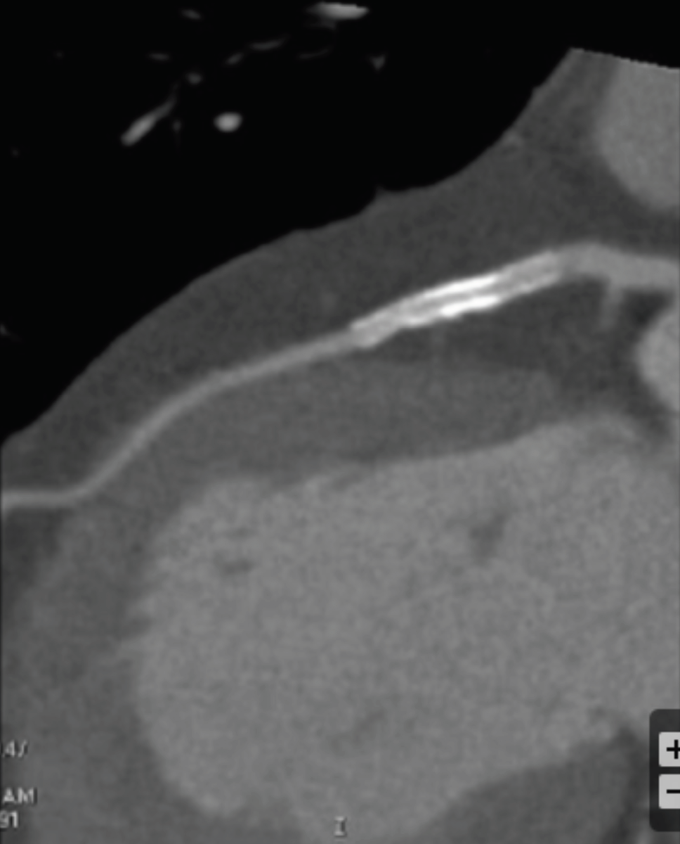
What can be done to improve visualization of the proximal LAD?

Increase Peak Tube Voltage

What are the two ways in which dual-energy CT is performed?
Two raw datasets are collected for each scan –>
representing attenuation data from two different photon energies –>
differential attenuation (calcium and iodine) will allow for new differential (subtracted) images to be created
Describe the difference in regards to photons for each:
*****Lowering both –> reduced radiation exposure
What is the definition / formula for pitch?
table feed (mm) per 360 degree gantry rotation
collimated beam width (mm) (or coverage)
What is the principle determinant of spatial resolution in CT?
Gantry rotation time
What do scintillation crystals in photodetectors convert?
X-ray photons to light photons
What is the size, in the z-dimension, of the voxels in the resultant reconstructed data set?
0.625 mm
What are negative aspects of utilizing high resolution setting on CT scanners?
Higher heat load to the X-ray tube