Describe the findings and cause of the patients symptoms

Pulmonary Hypertension

What is the cause of increased lung uptake when using Tl201 with stress?
Based on the stress and rest projection images, which radioisotope imaging protocols was most likely use

1-day rest / stress Tc99m

Desribe the findings and most likely cause of SOB:

COPD

Describe the findings:

Scaling artifact

Describe the findings and next step:

Discharge for outpatient follow-up

Describe the findings:

coronary angiography

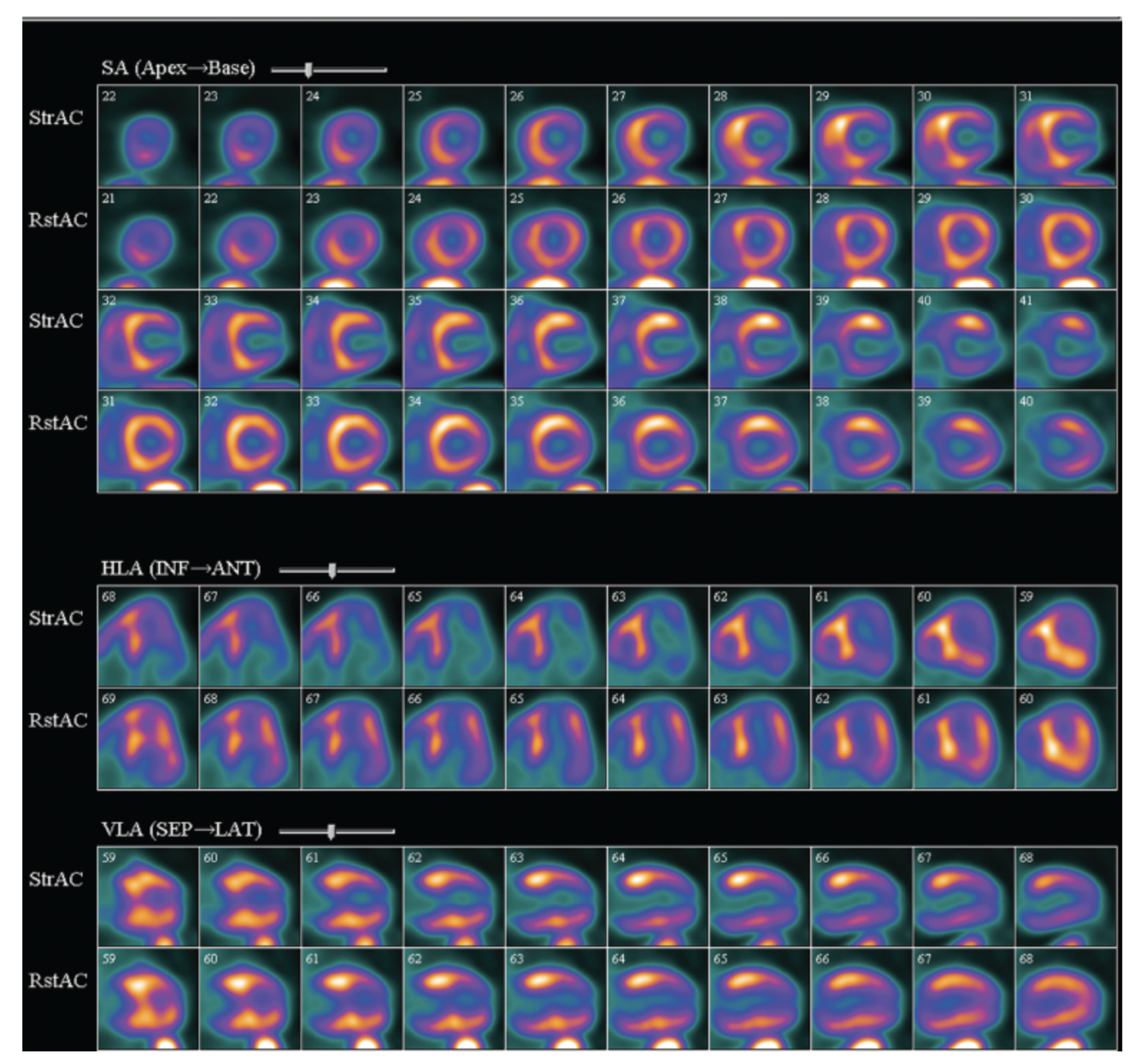
Describe the findings:

severe lateral wall ischemia and apical infarction

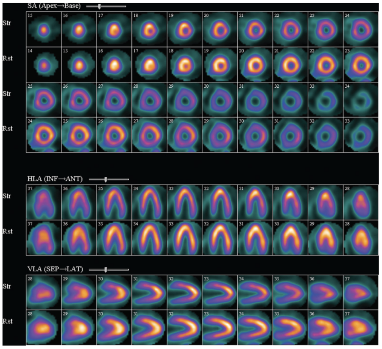
Describe the findings, which artery is likely to be causing the symptoms in this patient?

RCA

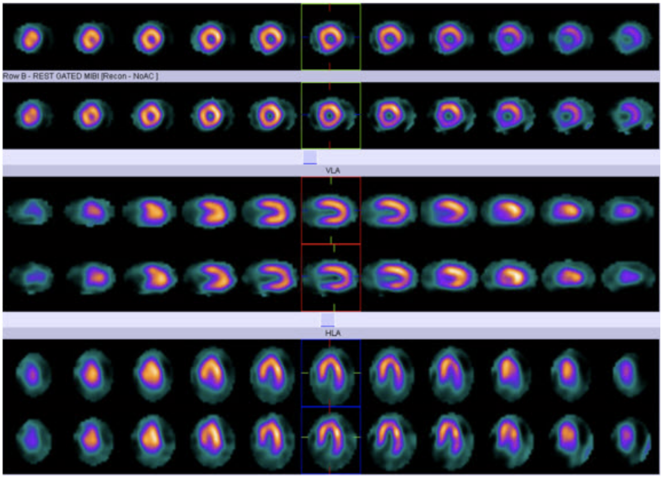
Describe the findings:

uniform breast attenuation

Describe the findings and next step:

PET assessment of hibernation

Describe the findings:

Normal study

What does a I-mIBG 123 study evaluate?
When is this study utilized?
myocardial sympathetic innervation
abnormal in heart failure syndromes and may be a marker of future cardiac events (including life-threatening arrhythmia and cardiac death)
What I-mIBG 123 finding is associated with the highest risk of cardiac events in heart failure patients?
mIBG heart-to-mediastinum ratio
What are quantiative parameters obtained from I-mIBG 123 imaging studies?
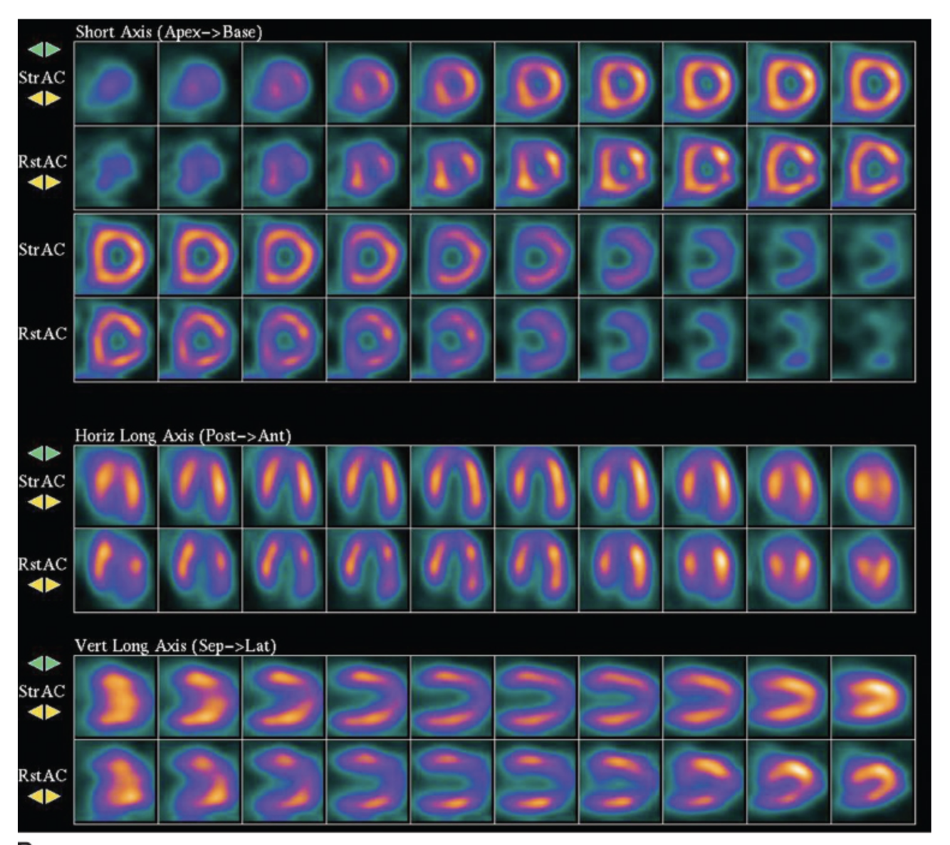
Describe the findings and next step:

Low-risk abnormal SPECT MPI

Describe the findings:

Severely abnormal study
***MVCAD –> CABG

What is the benefit of rest-only imaging studies
When can it be utilized effectively?
In what patient’s is rest-only imaging not-applicable?
prior MI
What are limitations of rest-only imaging protocols?
What is the timing cut-off for rest-only imaging?
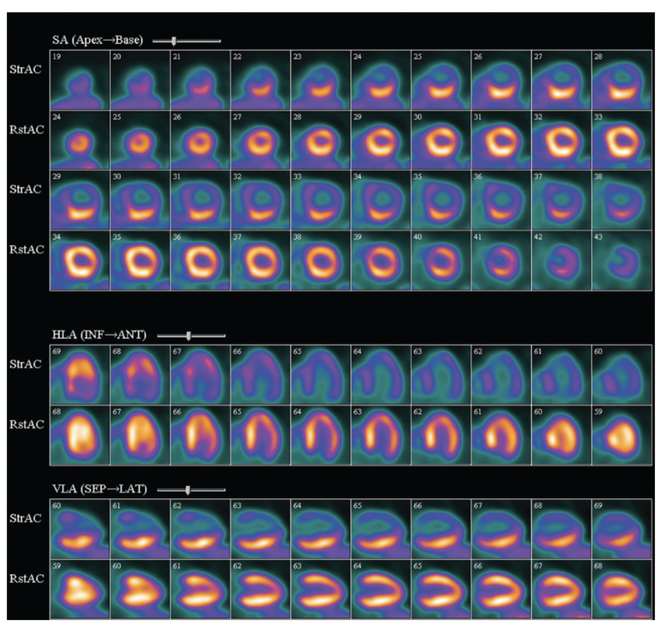
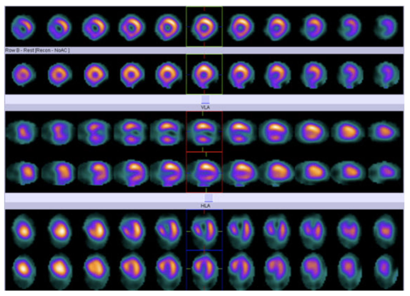
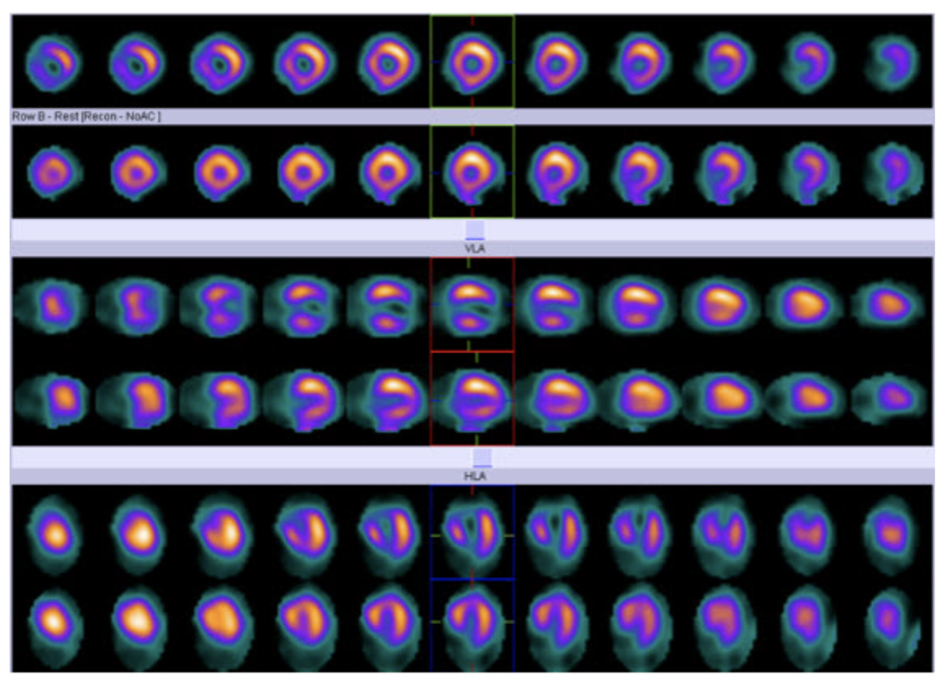
Describe the findings:

Mismatch of the anteroseptum

What is the sarcoidosis spectrum of disease on PET/CT?
Describe the findings/diagnosis:

ATTR Amyloidosis
