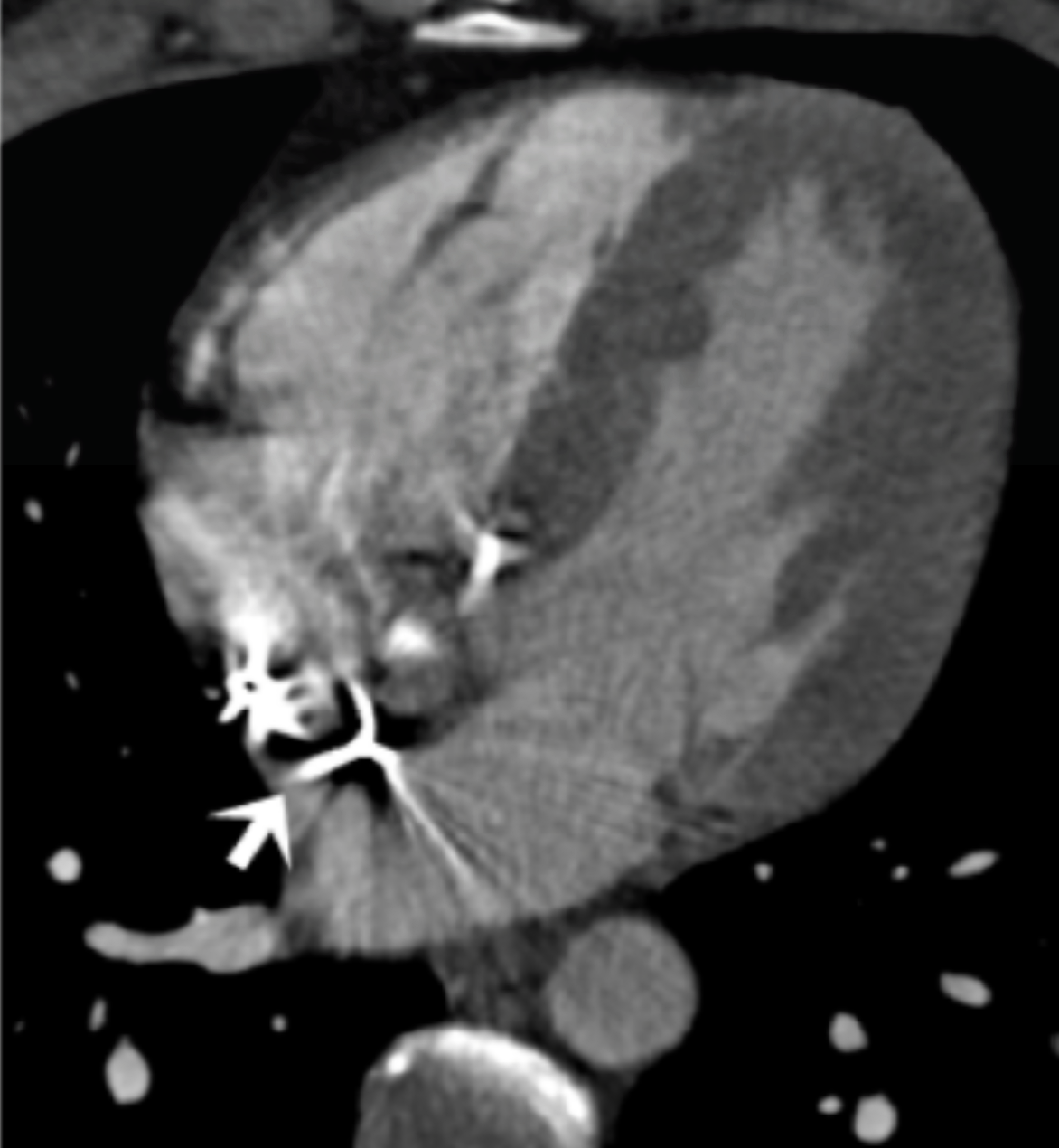
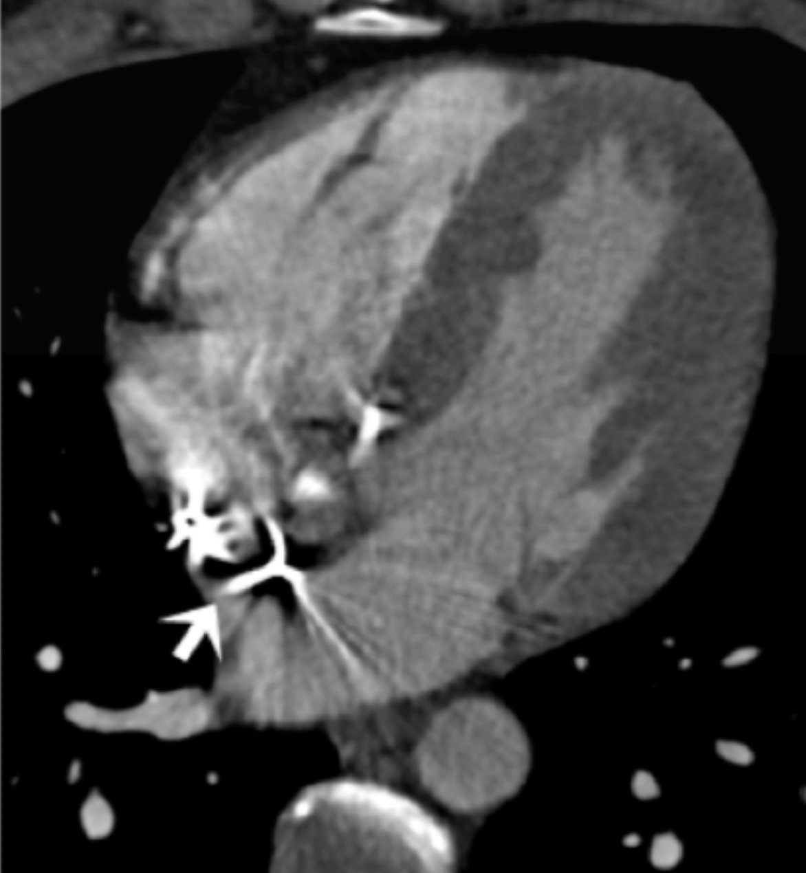
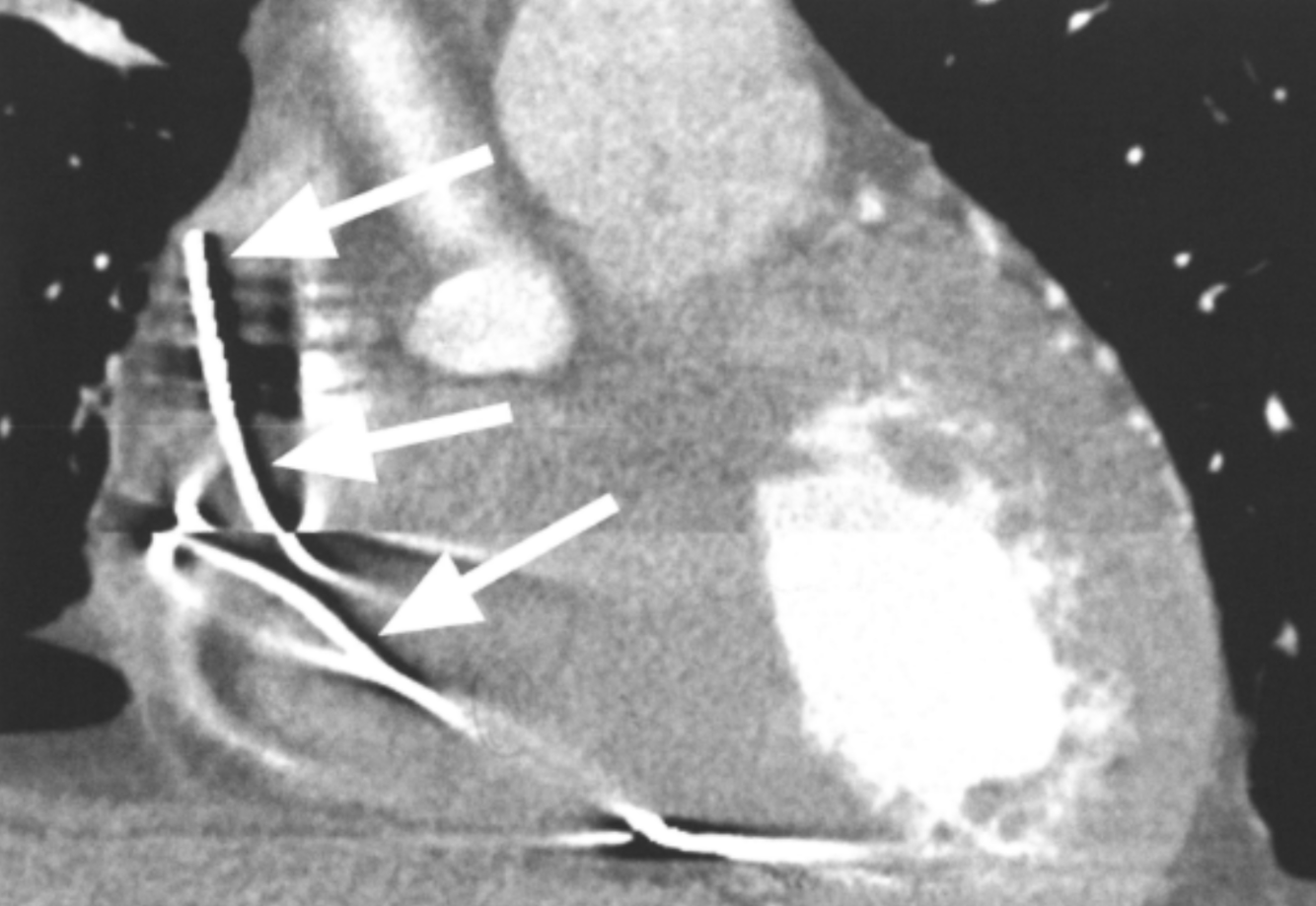
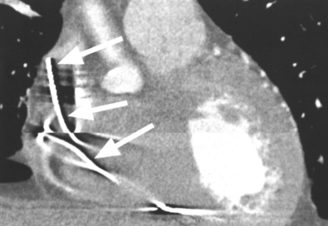
What is the arrow pointing at?

RV pacemaker leads - metal artifacts

What is one method of reducing image noise?
Increasing reconstructed slice thickness
What does the gantry rotation time define?
What artifacts does it affect?
How is tube current related to image noise?
increasing tube current –>
increases the photons per voxel –>
decreases image noise
How are image reconstruction kernels (filters) related to image noise?
smoother kernel/filter –> reduces image noise
sharper “edge-enhancing” kernels –> increase image noise
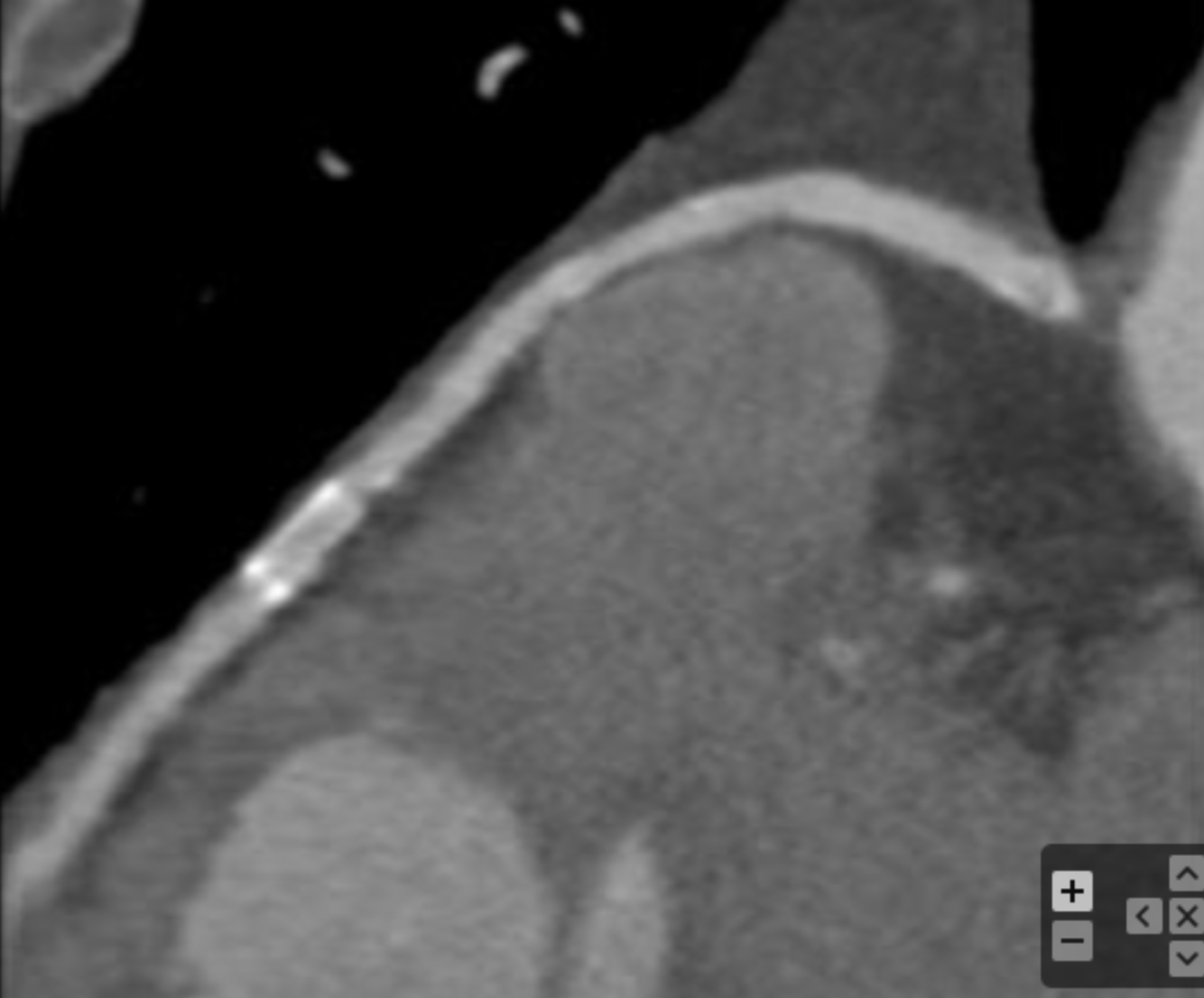
Describe the findings:

Beam Hardening Artifact

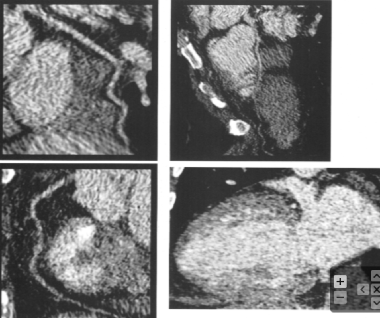
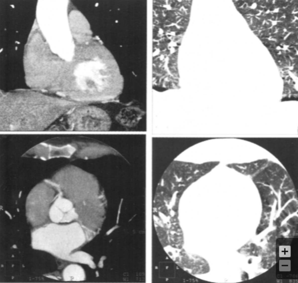
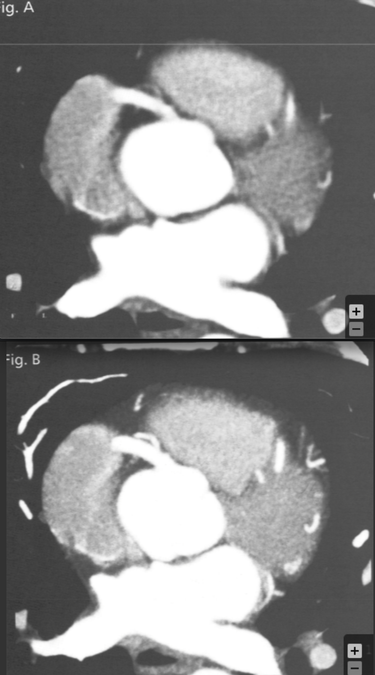
Describe the findings and diagnosis:

LV apical thrombus

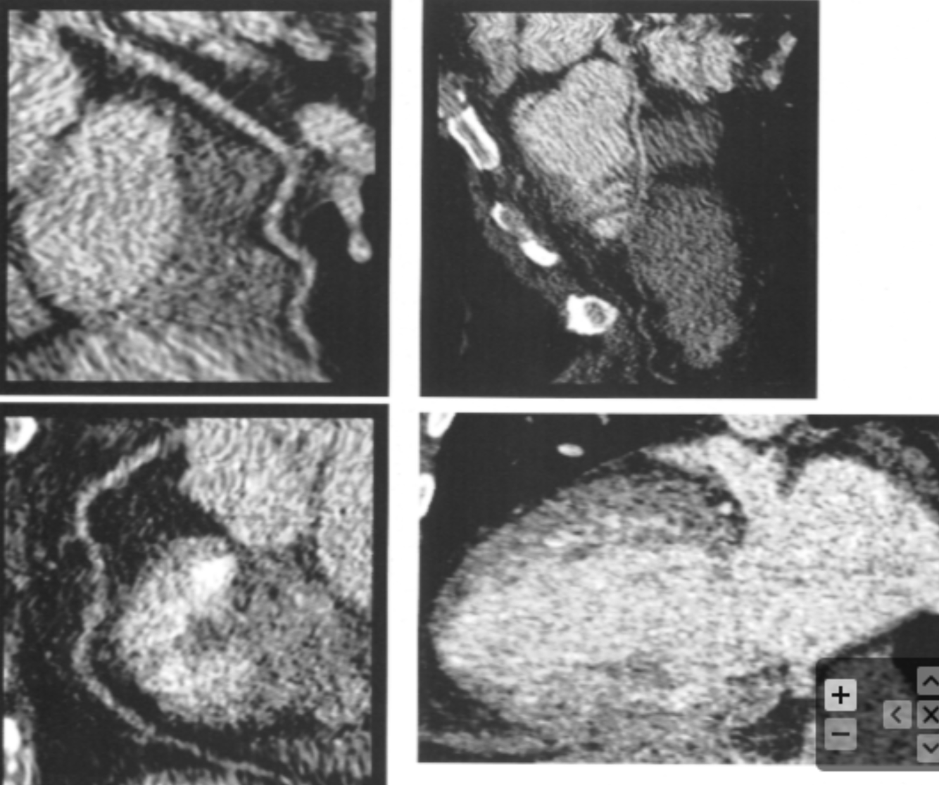
Describe the findings:

Blood-contrast mixture

What artifacts typically degrade the quality of stent imaging?
What is one artifact not typically associated with stent imaging?
Ring artifact
What patient factor will always produce a non-diagnostic scan, and should always warrant pursuing an alternate testing modality?
inability to hold breath for the duration of the scan
Describe the findings related to reduced image quality:

Body habitus –> noise artifact

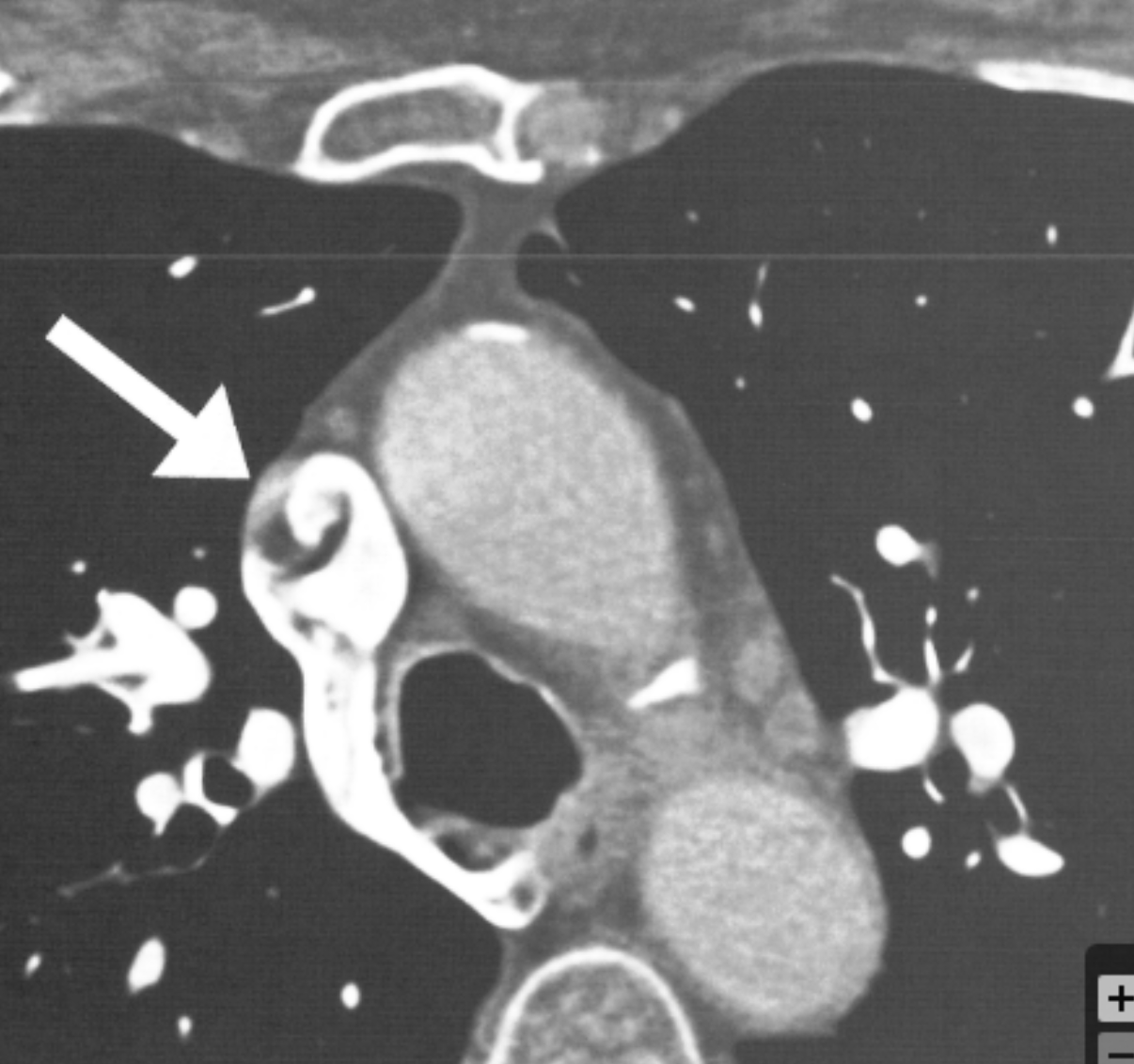
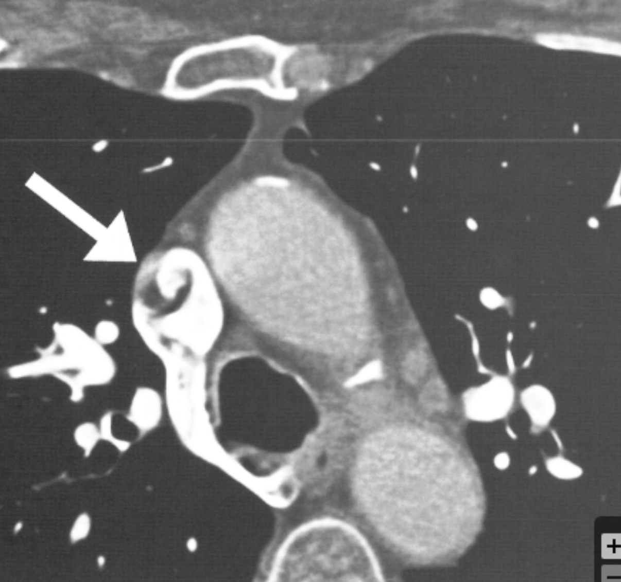
Artifacts from dual chamber pacemaker leads MOST likely affect the image quality of the:
RCA
Artifacts from Bi-V pacemaker leads MOST likely affect the image quality of the:
CFx
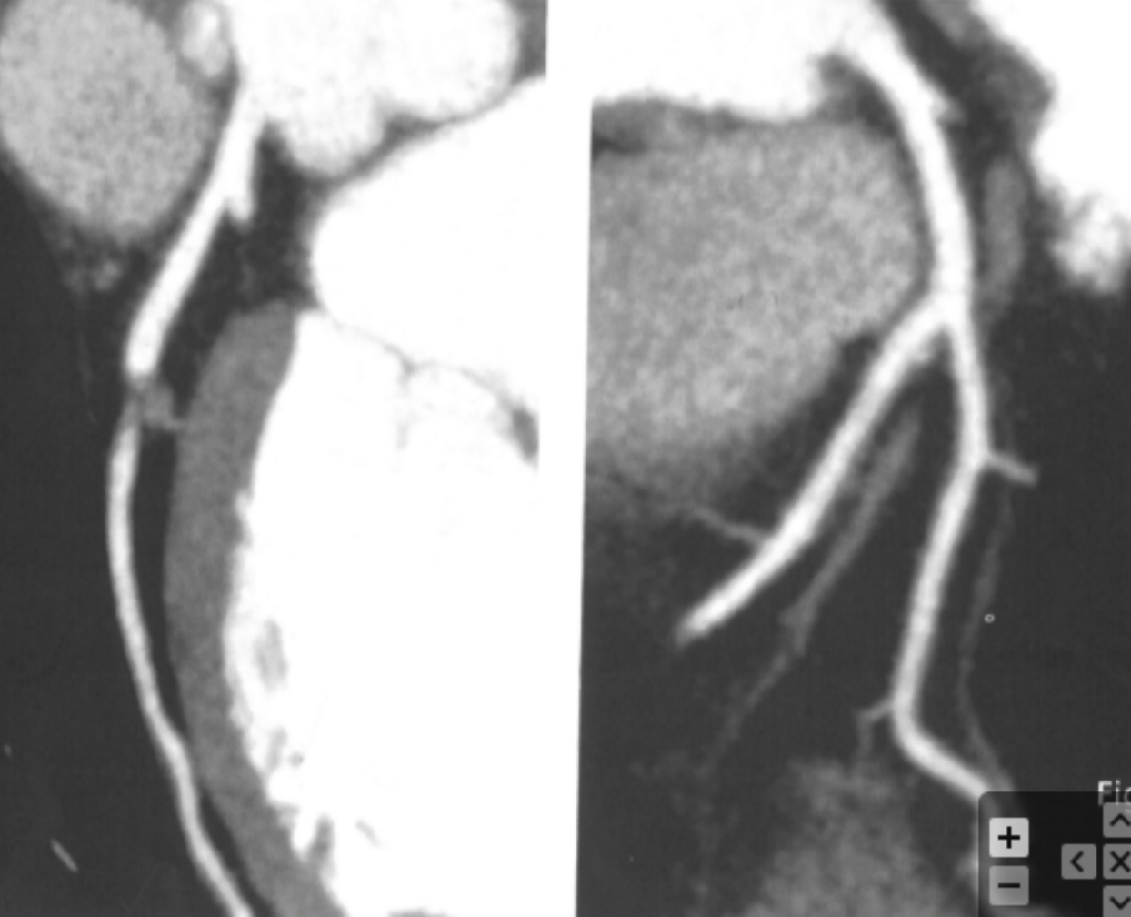
Describe the findings and most likely explanation for the discrepancy

The vessel line is incorrect

Describe the findings:

Respiratory motion artifact

Describe the findings:

Beam Hardening Artifact

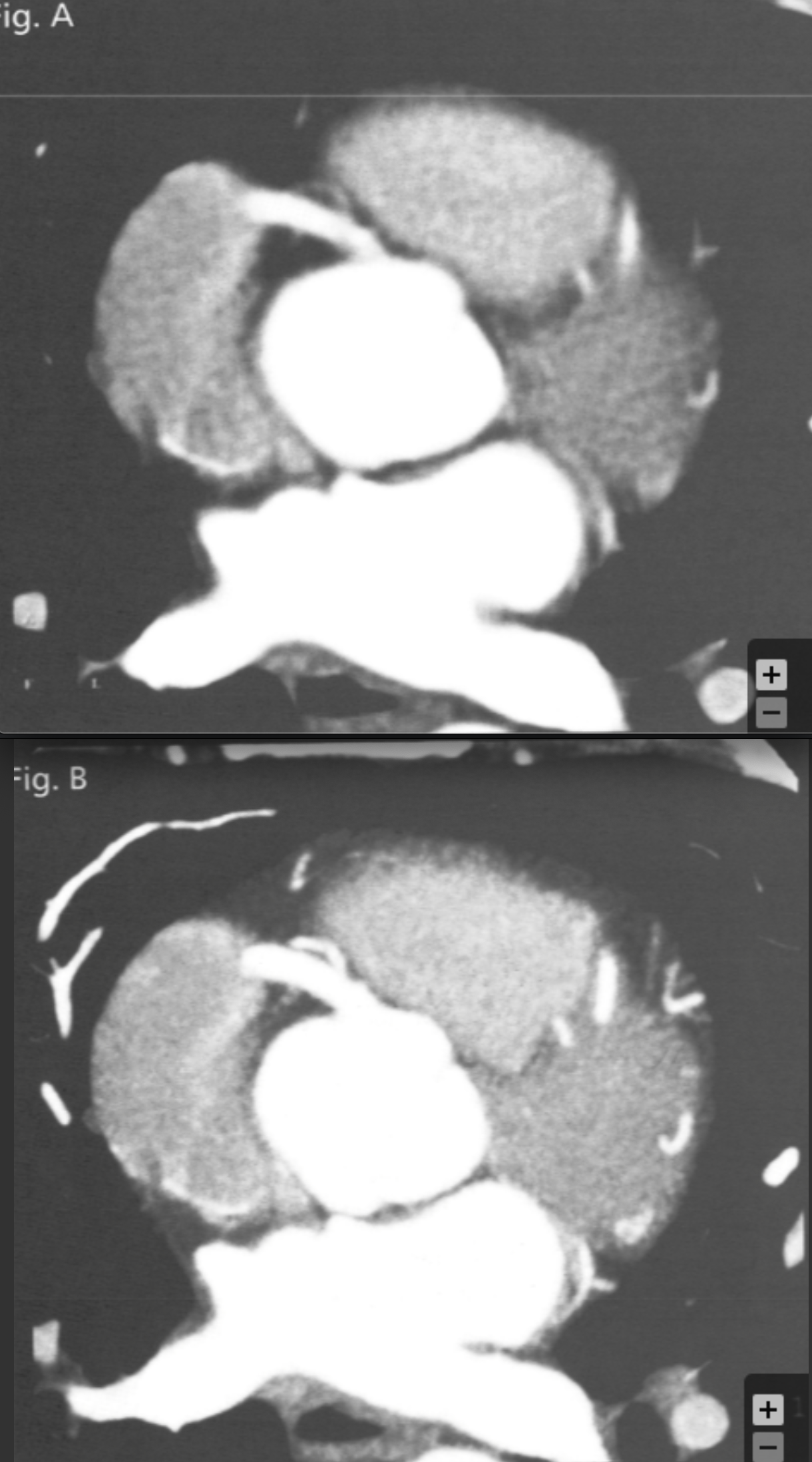
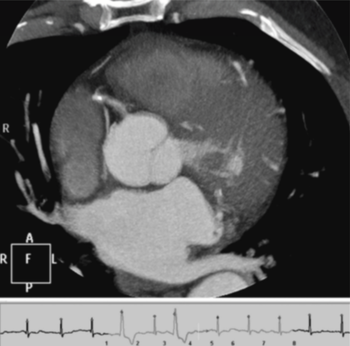
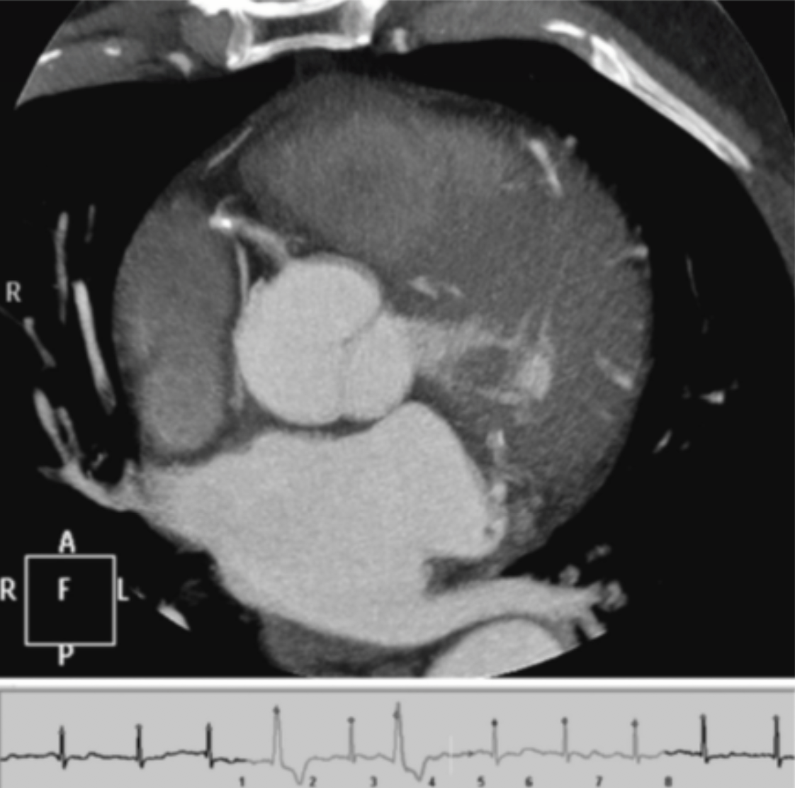
Based on the comparative appearance of these two images, what element of the reconstruction was modified during the second reconstruction?

Slice Thickness

Describe why slice thickness is so important in regards to coronary imaging
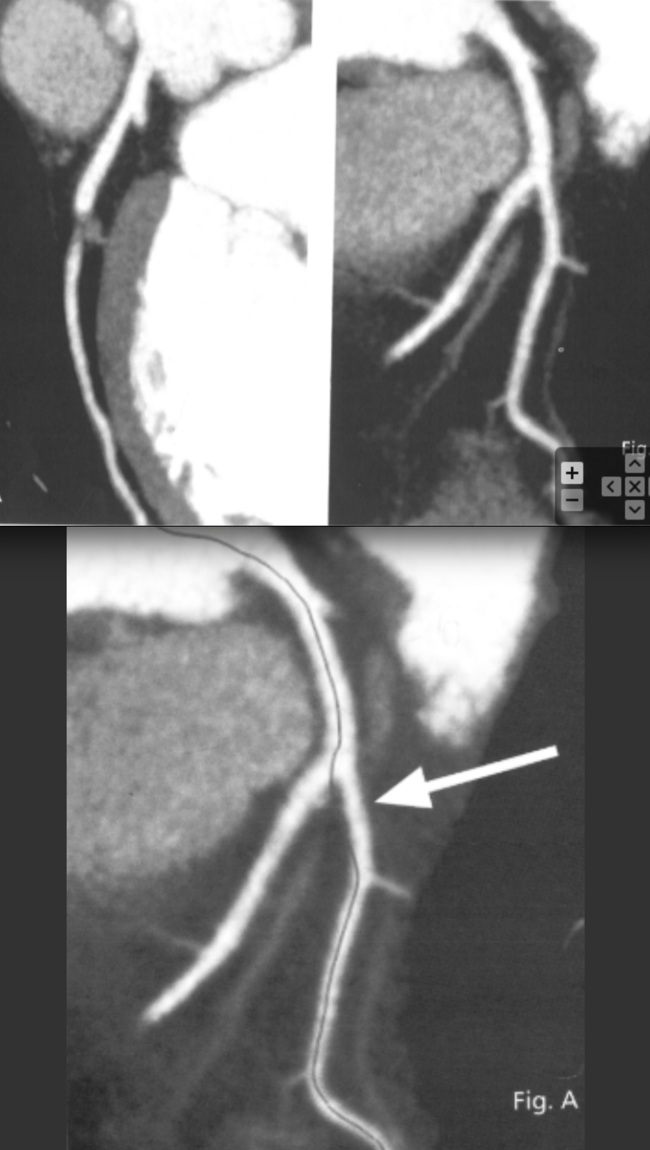
Describe the most likely finding:

Subtotal occlusion

Define partial volume averaging
What is one way to minimize partial volume averaging?
sharp reconstruction kernal/filter
Describe the findings and best way to prevent this from occuring

Misalignment or Step artifacts (respiratory motion)
Ensure patient understands and follows the breath hold command

Describe the findings

Cardiac motion artifact due to ectopy
*****Usually not necessary to rescan patient –> EKG editing to correct for these arrhythmias and errors
