How many high-grade luminal stenoses ( >70%) are present?

1

Describe the findings and next step:

Myocardial bridging - Reassurance

What is one CCTA predictor of post-procedural MI in patients undergoing elective PCI?
Plaque Attenuation
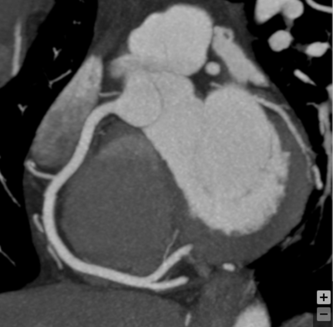
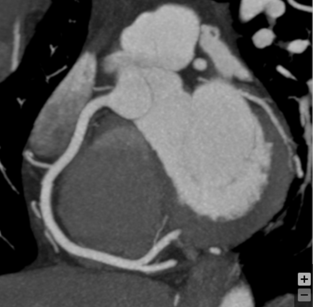
What type of post-processing methods were used to generate the reformatted image shown below?

Multiplanar reformatting and thin slab MIP (5 mm)

What is the best acquisition parameters for CAC?
What is one major limitation of volume rendered images?
degree of stenosis cannot be determined by these images alone
What patient is CAC most appropriate for?
What parameter allows differentiation between the two?

Length

Describe the view and findings:


Why is stent imaging currently not recommended?
What is the only appropriate imaging of coronary stents?
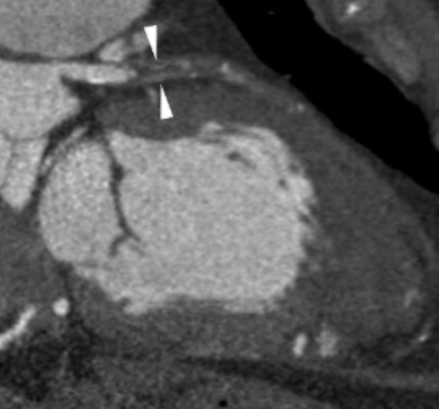
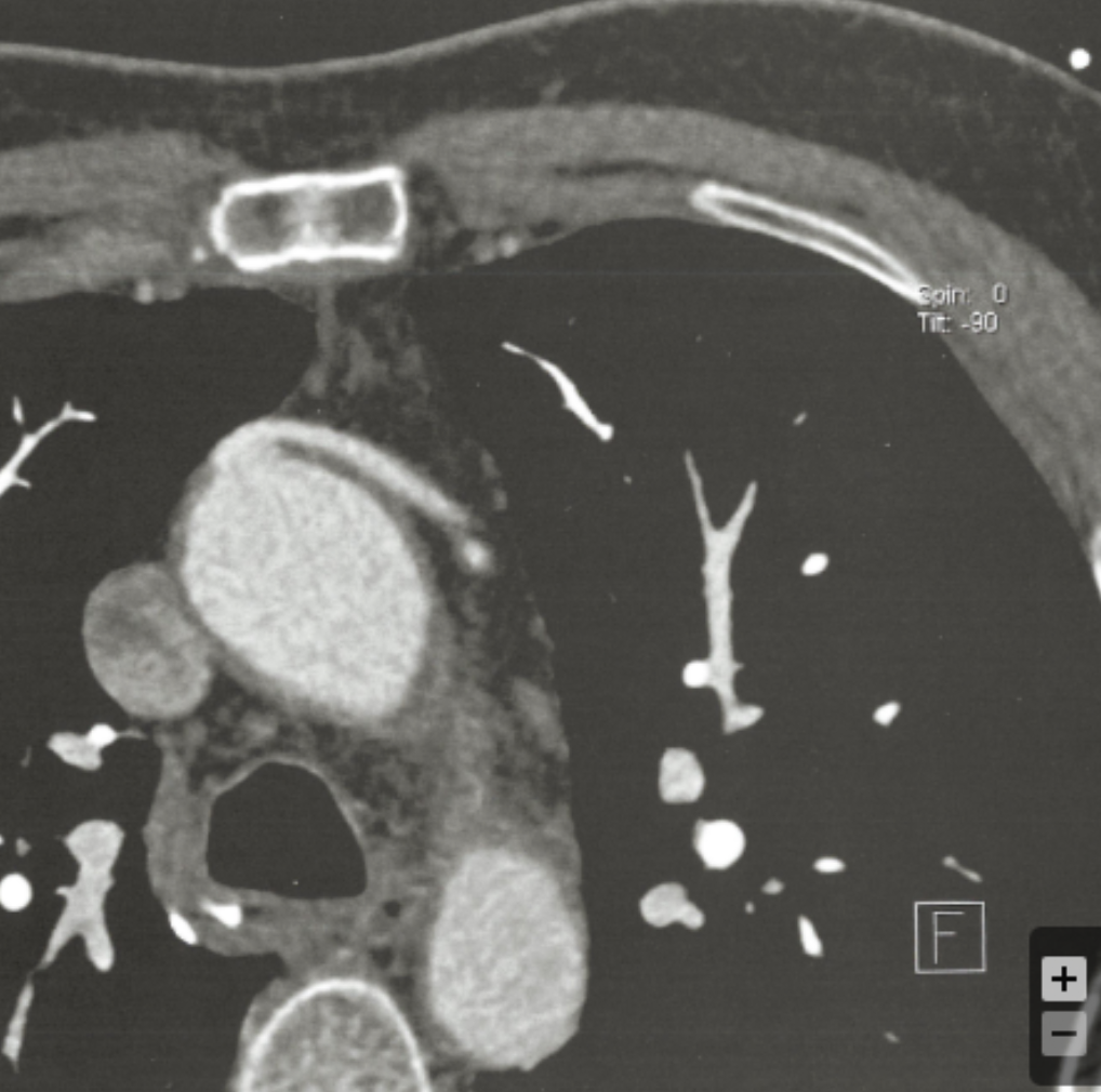
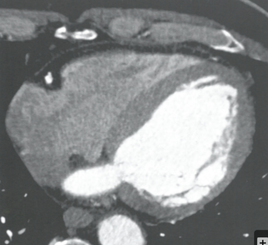
Describe the findings:

Vein Graft (proximal anastomosis)

In the evaluation of a stent for in-stent restenosis, how does the CT density (HU value) within the stent lumen compare to that of the segment proximal to the stent if the stent is occluded?
Lower
Describe the findings:

What is the role of CCTA as it pertains to evaluating for ischemic heart disease in the setting of heart failure?
May offer a valid alternative to invasive angiography in diagnosing ischemic heart failure in patients with reduced EF
What is the best interpretation of the findings:

No conclusion can be drawn from these specific numbers

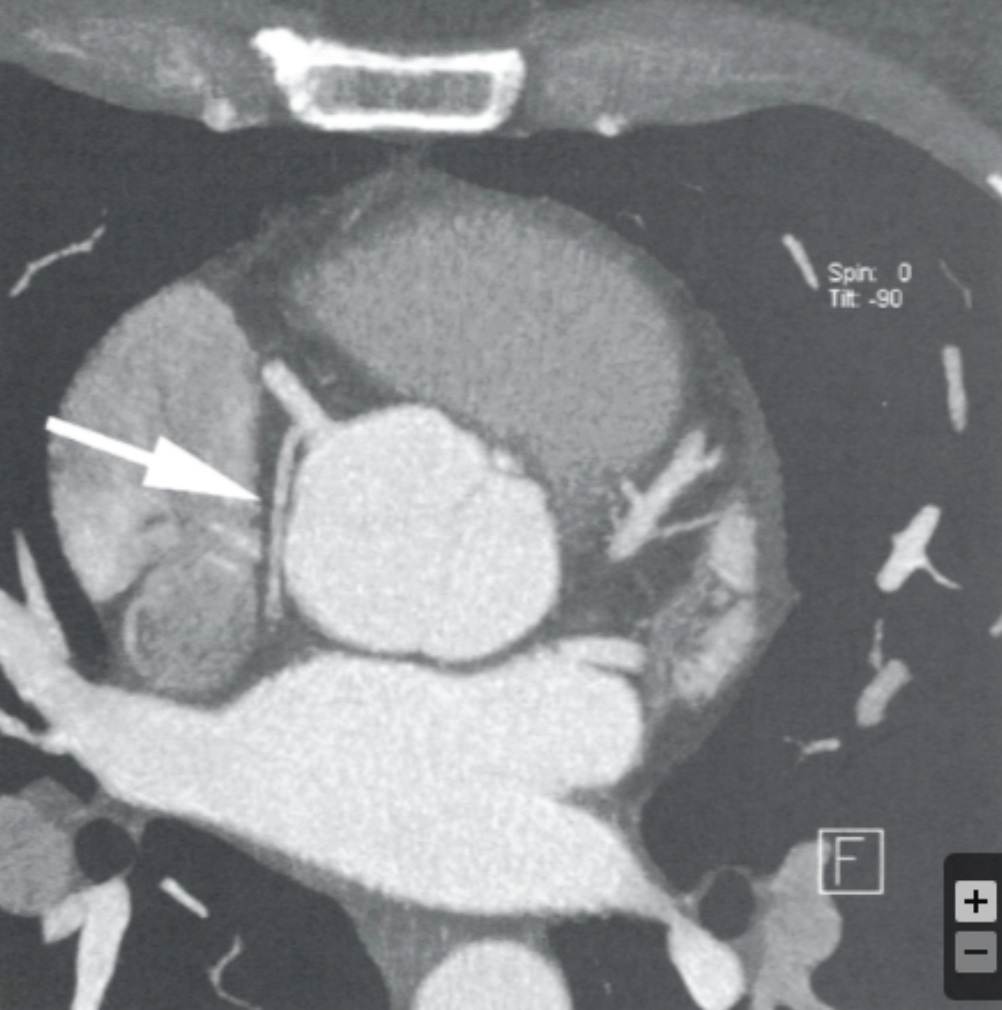
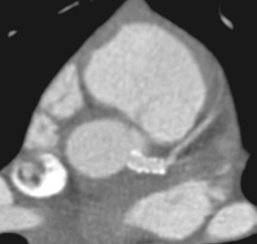
Describe the findings:

Coronary Sinus

What is the overall diagnostic accuracy of cardiac CT for depicting in-stent restenosis in this stent?

98%

Describe the findings and most likely finding on coronary angiorgram

Occlusion in LCFx territory

What are the current recommendations for serial calcium scans?
Not recommended
Describe the findings:

??Conus branch??

Describe the CT scan protocol/view:

Oblique MIP of the RCA

Describe the RCA findings in this image:

Cardiac Motion Artifact

What situation would produce respiratory motion artifact but not necessarily affect the appearance of the chest wall?
Isolated diaphragmatic motion