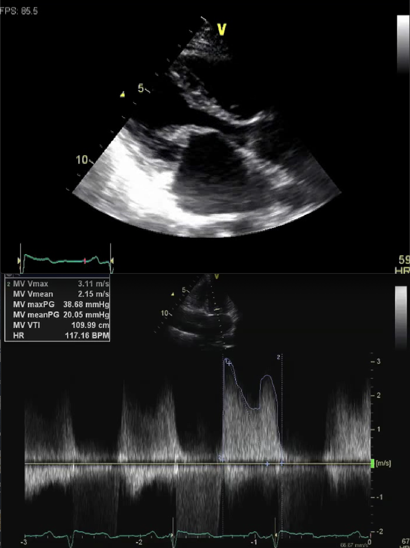
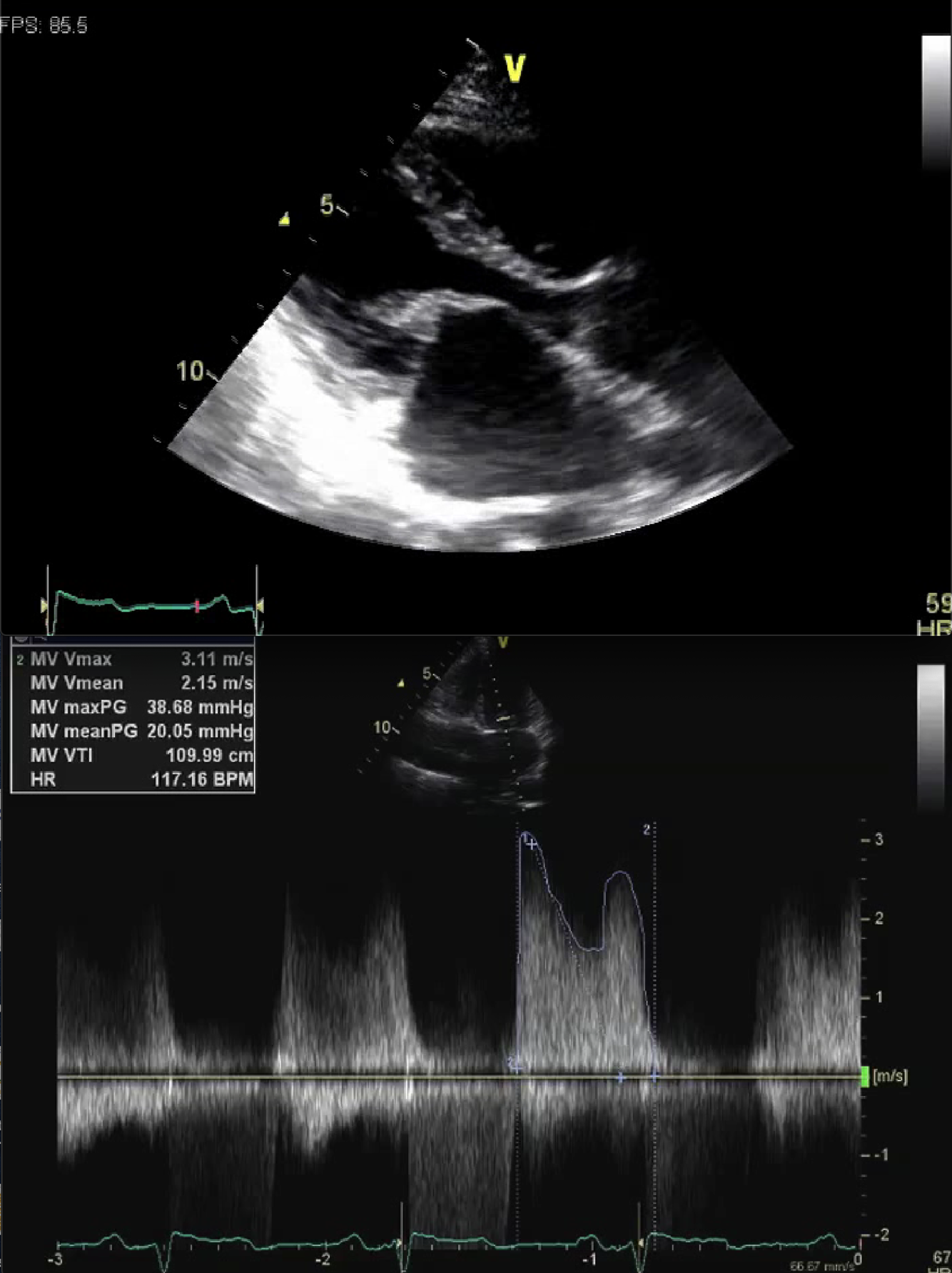
Describe the findings


Describe the findings


Describe the findings


Describe the findings


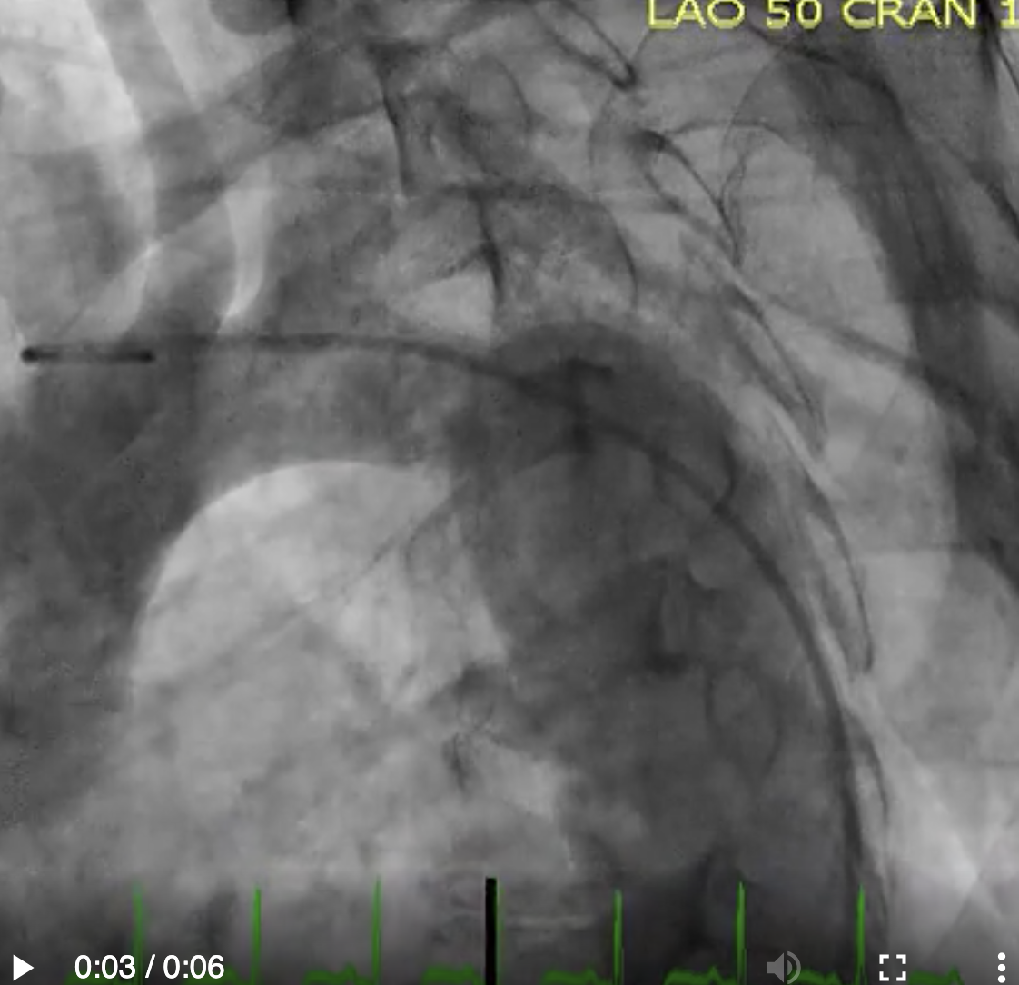
Describe the findings:

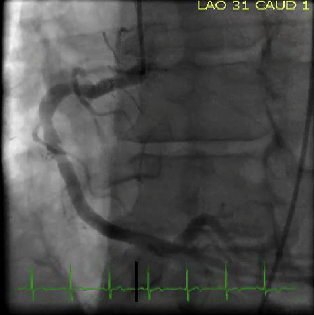
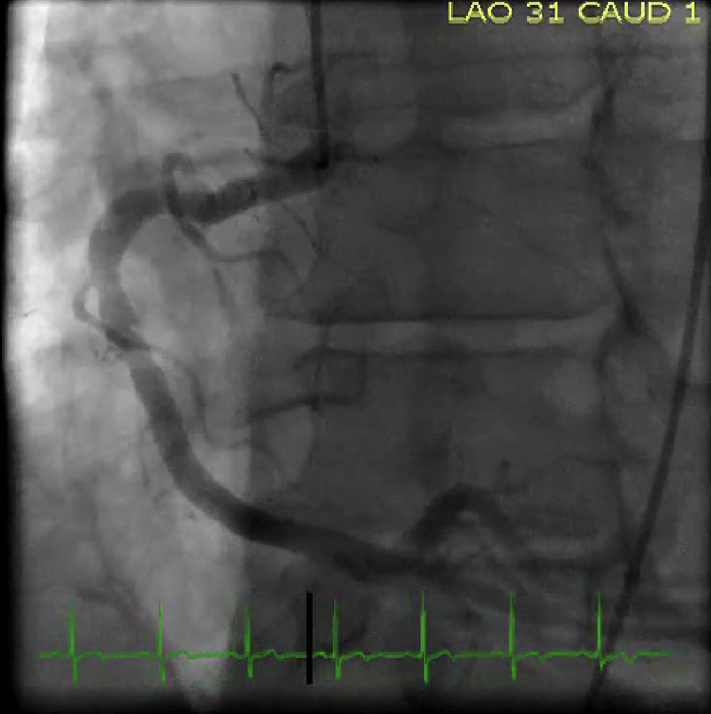
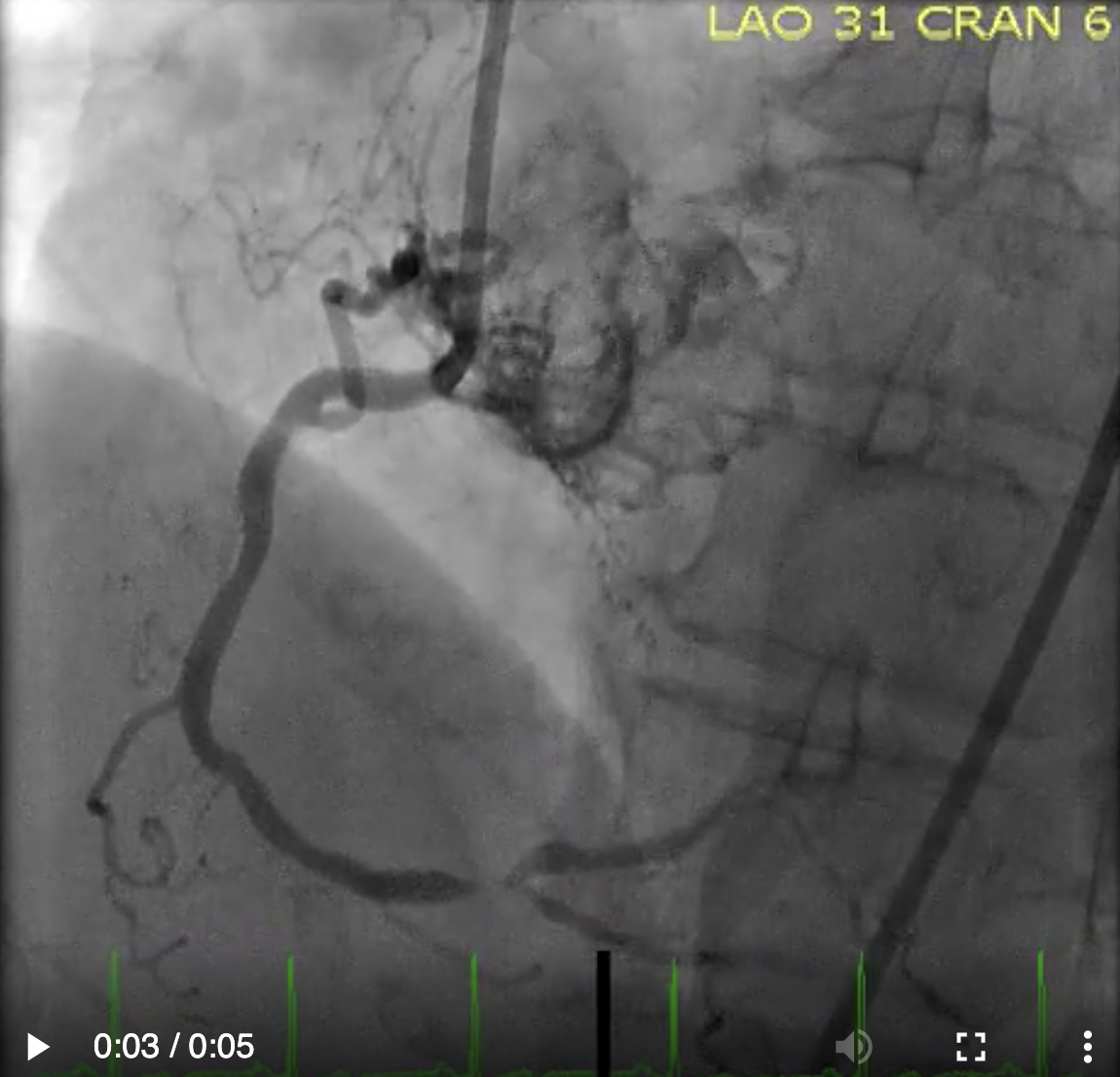
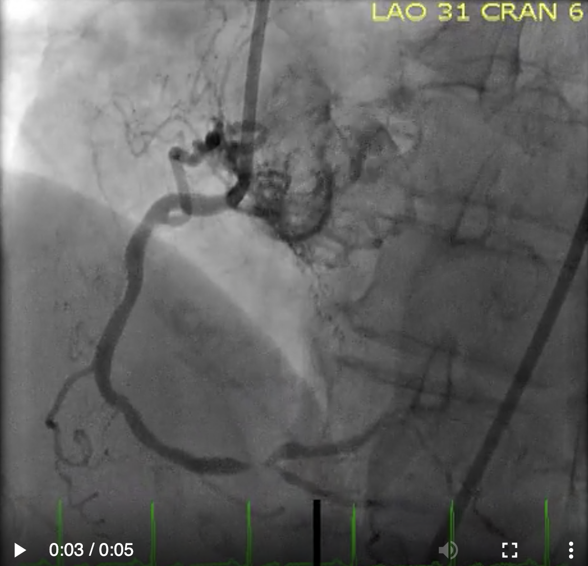
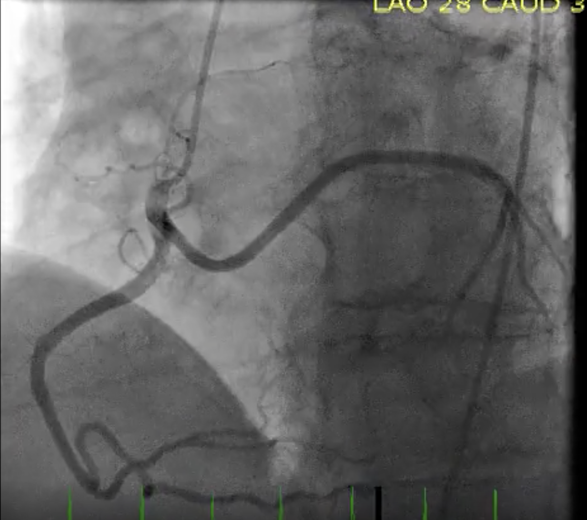
RCA dissection

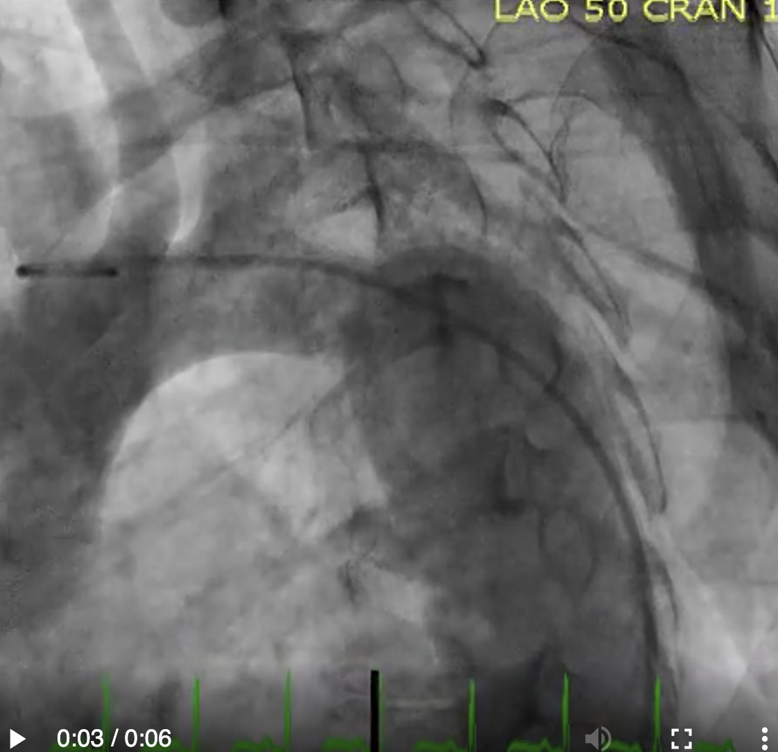
Describe the findings:

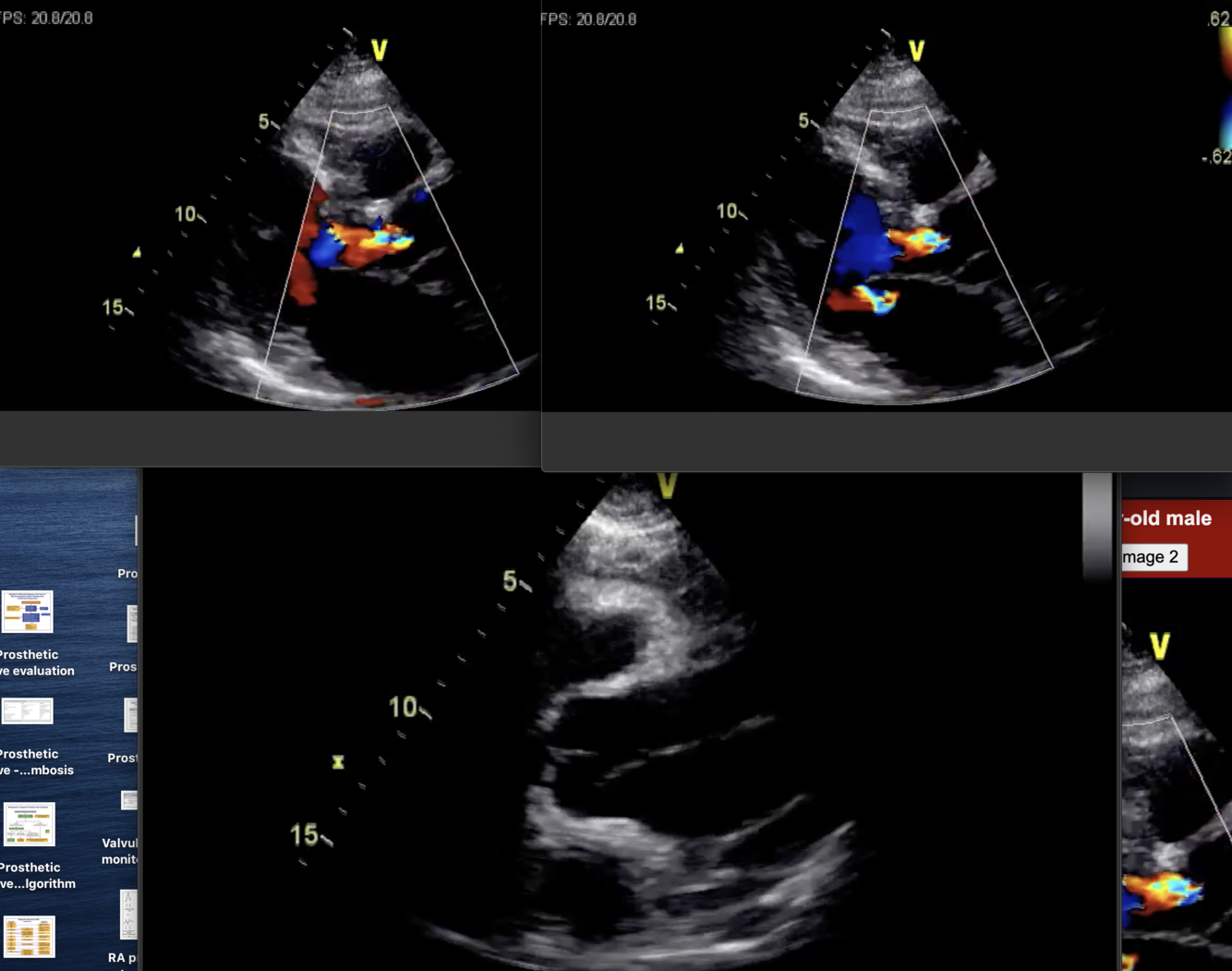
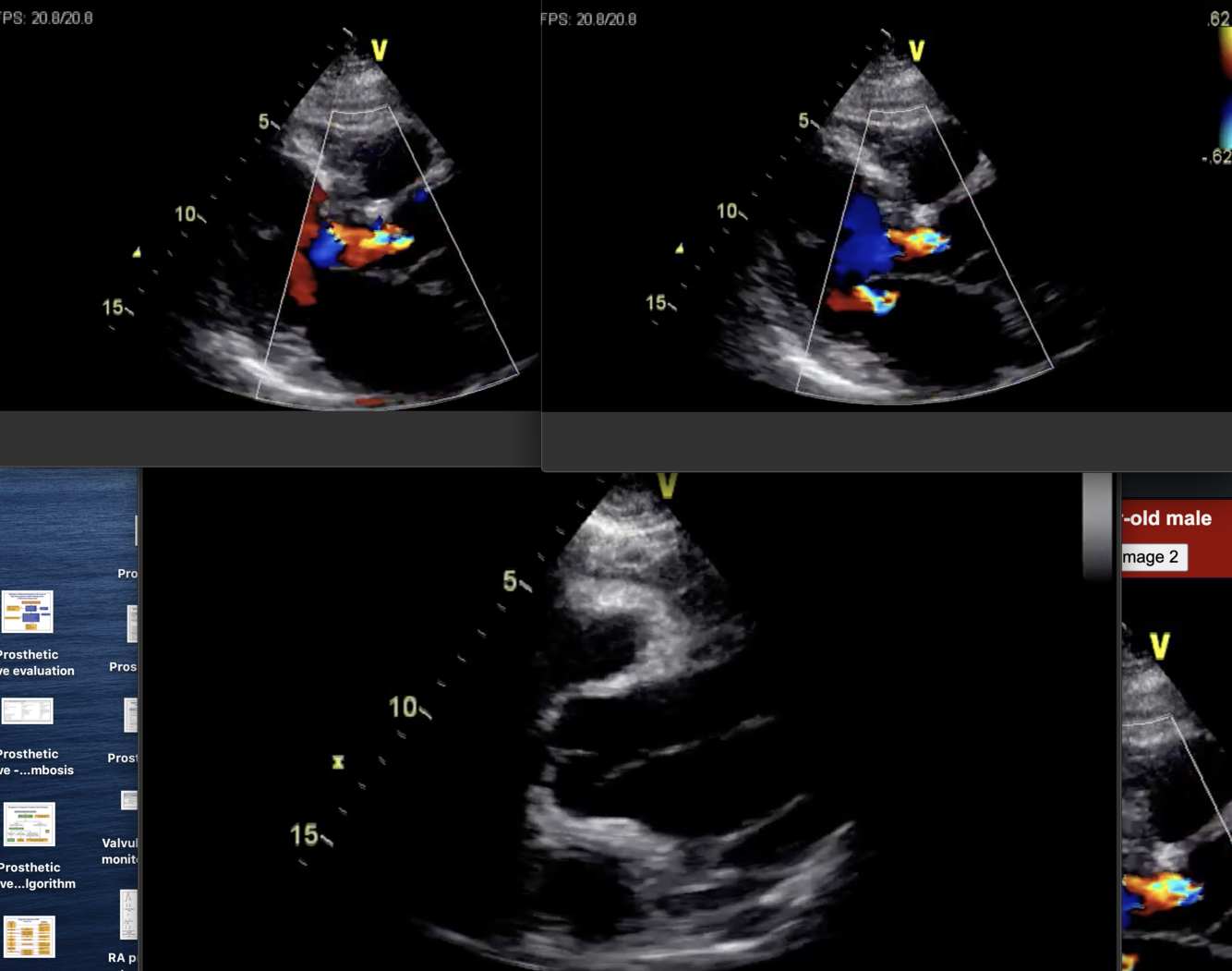
*****Dx: HCM with prior apical MI –> LV apical aneurysm
******mid-cavity obliteration during systole –> LVOTO
*******mechanism of MR in this setting –> systolic anterior motion of anterior MV

Describe the findings


Describe the findings


Describe the findings


Describe the findings


Describe the findings


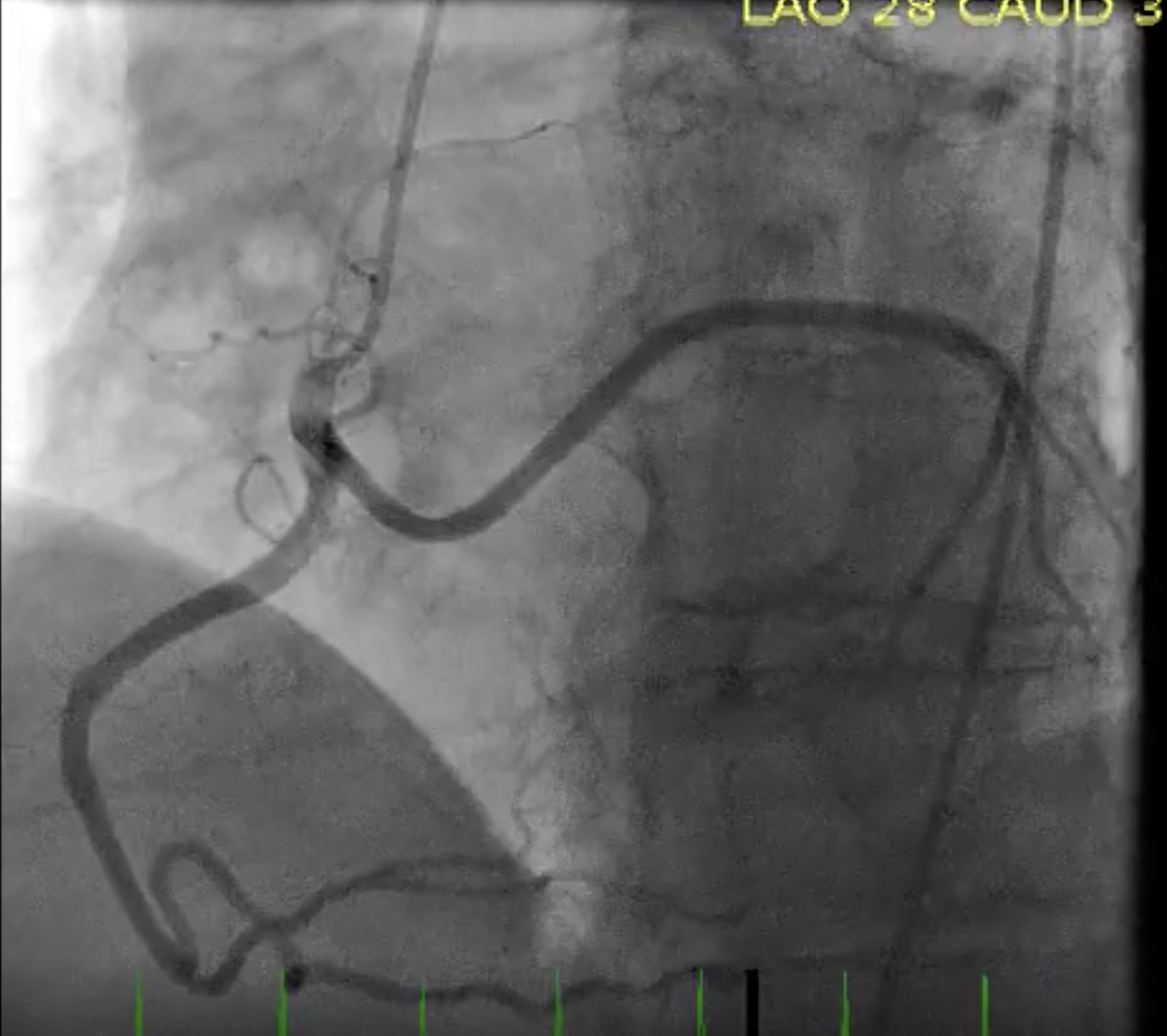
Describe the findings:


Describe the findings


Describe the findings


Describe the findings


Describe the findings:


Describe the findings


Describe the findings


Describe the findings


Describe the findings


Describe the findings
Describe the findings of M mode:
Describe the findings:
Describe the findings