CVS 1 Flashcards

(129 cards)

1
Q

What are the functions of the thorax?

A

breathing

protection of vital organs

conduit

How well did you know this?
1
Not at all
2
3
4
5
Perfectly
2
Q

Label the image.

A
How well did you know this?
1
Not at all
2
3
4
5
Perfectly
3
Q

The thoracic cavity is divided into how many compartments?

What are they?

A

3

right pleural cavity
mediastinum
left pleural cavity

How well did you know this?
1
Not at all
2
3
4
5
Perfectly
4
Q

Label this cross-section image of the thorax.

A
How well did you know this?
1
Not at all
2
3
4
5
Perfectly
5
Q

The mediastinum is divided into how many compartments?

What are they?

A

2: superior and inferior

How well did you know this?
1
Not at all
2
3
4
5
Perfectly
6
Q

What are the parts of the inferior mediastinum?

A

anterior

middle

posterior

How well did you know this?
1
Not at all
2
3
4
5
Perfectly
7
Q

Label the image of the subdivisions of the mediastinum.

A
How well did you know this?
1
Not at all
2
3
4
5
Perfectly
8
Q

The thymus, trachea and oesophagus are in __1__ compartment of the __2__.

A

1: superior

2: mediastinum

How well did you know this?
1
Not at all
2
3
4
5
Perfectly
9
Q

What is the mediastinum?

A

central compartment of the thoracic cavity between the two pleural sacs

How well did you know this?
1
Not at all
2
3
4
5
Perfectly
10
Q

Where is the superior mediastinum located?

A

above the sternal angle at T4/T5

How well did you know this?
1
Not at all
2
3
4
5
Perfectly
11
Q

Where is the anterior inferior mediastinum located?

A

in front of the pericardium

How well did you know this?
1
Not at all
2
3
4
5
Perfectly
12
Q

What does the inferior middle mediastinum contain?

A

the heart (pericardium)

How well did you know this?
1
Not at all
2
3
4
5
Perfectly
13
Q

Where is the inferior posterior mediastinum located?

A

behind the pericardium

How well did you know this?
1
Not at all
2
3
4
5
Perfectly
14
Q

Where is the heart?

A

in the middle compartment of the inferior mediastinum

How well did you know this?
1
Not at all
2
3
4
5
Perfectly
15
Q

What is the thymus?

What is it responsible for?

A

primary lymphoid organ

responsible for
educating T-lymphocytes (immature T cells come from bone marrow and enter the thymus)

How well did you know this?
1
Not at all
2
3
4
5
Perfectly
16
Q

Label the image.

A
How well did you know this?
1
Not at all
2
3
4
5
Perfectly
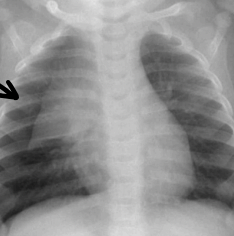
17
Q

What is the arrow pointing to?

A

thymus on CXR in children

(sail sign)

How well did you know this?
1
Not at all
2
3
4
5
Perfectly
18
Q

The thymus is an asymmetrical __1__ structure. It is involved in the __2__ development of the __3__ system.

It is __4__ in children and __5__ after puberty.

A

1: bi-lobed

2: early

3: immune

4: large

5: atrophies

How well did you know this?
1
Not at all
2
3
4
5
Perfectly
19
Q

What is the lymphatic organs that produces mature T-cells?

A

the thymus

How well did you know this?
1
Not at all
2
3
4
5
Perfectly
20
Q

In which compartments of the mediastinum are the nerves?

A
  • middle part of the inferior compartment
  • superior mediastinum
How well did you know this?
1
Not at all
2
3
4
5
Perfectly
21
Q

The vagus nerve is the __1__ cranial nerve and it is a __2__ nerve meaning it carries __3__ and __4__ fibres.

A

1: 10th

2: mixed

3: motor

4: sensory

How well did you know this?
1
Not at all
2
3
4
5
Perfectly
22
Q

Where does the vagus nerve originate from?

Where does it exit the skull via?

A

medulla oblongata

jugular foramen

How well did you know this?
1
Not at all
2
3
4
5
Perfectly
23
Q

Which cranial nerve provides parasympathetic innervation to the heart?

A

vagus nerve (cranial nerve X)

How well did you know this?
1
Not at all
2
3
4
5
Perfectly
24
Q

What is the effect of vagus nerve stimulation on heart rate?

What is this called?

A

slows the heart rate

negative chronotropic effect

How well did you know this?
1
Not at all
2
3
4
5
Perfectly
25
How is vagus nerve stimulation clinically used in arrhythmias?
it can help treat supraventricular tachycardias by slowing conduction through the AV node
26
What can trigger the vagus nerve? What would this lead to?
pain or emotional shock bradycardia and peripheral vasodilation leading to vasovagal syncope
27
What nerve contributes to cardiac, pulmonary and oesophageal plexi?
vagus nerve
28
The vagus nerve branches off into what nerve?
recurrent laryngeal nerve
29
Label the image.
30
Label the nerve of the cardiac plexus.
31
1. What is the primary motor function of the recurrent laryngeal nerves? 2. What is the primary sensory function of the recurrent laryngeal nerves?
1. intrinsic muscles of larynx 2. larynx, trachea and oesophagus
32
What provides motor supply to intrinsic muscles of the larynx?
recurrent laryngeal nerves
33
What provides sensory supply to the larynx, trachea and oesophagus?
recurrent laryngeal nerves
34
The aortic arch is vulnerable to what? Why? Which reason is linked to connective tissue disorders and list which ones.
aortic aneurysm - it is under high pressure (its right after the heart where blood flow is most turbulent) and it experiences shear stress at the curve, these stresses weaken the wall over time leading to increased risk of aneurysm or dissection - MARFAN'S and EDS make this worse mediastinal masses - aortic arch lives in the superior mediastinum surrounded by nerves, veins and airways - any nass in this area can compress the arch or nearby structures lymphadenopathy - theres lots of mediastinal lymph nodes around the aortic arch, infections or malignancies enlarge these nodes -> compression or inflammation near the arch
35
What symptom might occur from unilateral recurrent laryngeal nerve injury?
hoarse voice due to one vocal cord being paralysed
36
What is the danger of bilateral recurrent laryngeal nerve injury?
airway obstruction due to unopposed adduction (closing) of the vocal chords
37
What surgical procedure commonly risks damaging the recurrent laryngeal nerve?
thyroidectomy
38
Which side’s recurrent laryngeal nerve loops around the aortic arch?
left recurrent laryngeal nerve
39
Which side’s recurrent laryngeal nerve loops around the subclavian artery?
right recurrent laryngeal nerve
40
The sympathetic trunk is part of which nervous system? What does this nervous system do?
autonomic regulates involuntary physiological process including heart rate, blood pressure, respiration and digestion
41
The sympathetic trunk runs __1__ along the vertebral column, from __2__ to __3__.
1: bilaterally 2: skull 3: coccyx
42
Where does the sympathetic trunk run in the body?
runs bilaterally along the vertebral column - from skull to coccyx
43
What is the primary role of the sympathetic trunk?
to regulate involuntary physiologic processes like heart rate, blood pressure, respiration and digestion
44
What is the effect of sympathetic stimulation on heart rate? What is this called?
increased heart rate - called positive chronotropy
45
What is positive inotropy?
increase in the force of cardiac contraction due to sympathetic stimulation
46
What is positive dromotropy?
increase in conduction velocity through the AV node (faster signal transmission)
47
Which receptors mediate coronary vasodilation under sympathetic control?
b2-adrenergic receptors
48
How does the sympathetic trunk influence blood pressure?
by vasoconstricting peripheral vessels (a1-receptors) and increasing cardiac output
49
How does the sympathetic nervous system affect respiration?
bronchodilation via b2-receptors - improves airflow
50
What cardiac effects are mediated by b-adrenergic receptors in the myocardium?
1 - positive chronotropy - increased heart rate (SA node fires faster) 2 - positive inotropy - increased force of contraction (stronger ventricular contractions = ++ cardiac output) 3 - positive dromotropy - increased conduction velocity (faster impulse conduction through the AV node) 4 - increased lusitropy - faster relaxation of the myocardium (heart can fill again more quickly between beats)
51
How do b1-adrenergic receptors mediate cardiac effects?
1. binding of noradrenaline to b1 receptors 2. activates Gs protein -> stimulates adenylyl cyclase 3. increased cAMP 4. activates PKA 5. phosphorylates calcium channels and contractile proteins = faster and stronger contractions
52
B1-adrenergic receptors in the myocardium mediate:
↑ HR (chronotropy) ↑ contractility (inotropy) ↑ conduction (dromotropy) ↑ relaxation speed (lusitropy)
53
The sympathetic trunk is part of the __1__ division of the __2__ nervous system.
1: sympathetic 2: autonomic
54
In simple terms, what would happen if a person experienced something that scared/stressed them? (relating to the sympathetic trunk)
1. hypothalamus sends signals to activate sympathetic system 2. signals enter sympathetic trunk 3. sympathetic trunk sends fibres to heart via cardiac nerves which release noradrenaline 4. noradrenaline binds to b1-adrenergic receptors in the myocardium 5. causes increased HR, increased contraction force, increased AV conduction speed, increased relaxation rate
55
Where do sympathetic signals leave the spinal cord?
from spinal levels T1 to L2
56
Which neurotransmitter is released by sympathetic nerves at the heart?
noradrenaline (norepinephrine)
57
Which receptor does noradrenaline bind to in the heart?
b1-adrenergic receptors
58
1. What is positive chronotropy? 2. What is positive inotropy? 3. What is positive dromotropy? 4. What is positive lusitropy?
1. increased HR via SA node stimulation 2. increase in force of cardiac muscle contraction 3. increase in the force of cardiac muscle contraction 4. faster myocardial relaxation
59
Give one clinical use of blocking β₁-receptors.
beta-blockers are used to treat heart failure and tachycardias by reducing heart rate and workload
60
What syndrome involves damage to the sympathetic trunk, causing ptosis, miosis, and anhidrosis?
Horner's syndrome
61
Label the anterior surface of the heart.
62
Describe the passage of blood in the heart.
63
What is the anterior surface of the heart mainly made of?
right ventricle (sternocostal)
64
What is the posterior surface of the heart made of?
left atrium (base)
65
What is the inferior surface of the heart made of?
left and right ventricle (diaphragmatic)
66
What is the right pulmonary surface of the heart made of? What is the left pulmonary surface of the heart made of?
right atrium left ventricle
67
Label the 5 surfaces of the heart.
anterior (sternocostal) - right ventricle posterior (base) - left atrium inferior (diaphragmatic) - right and left ventricle right pulmonary - right atrium left pulmonary - left ventricle
68
What are the great vessels of the heart?
superior vena cava inferior vena cava pulmonary arteries pulmonary veins aorta
69
What does the aorta do?
carries oxygenated blood from left ventricle to systemic circulation
70
Label the branches of the aorta.
71
What structure returns deoxygenated blood from the head, neck, upper limbs and upper thorax to the right atrium?
superior vena cava
72
What is SVC syndrome?
obstruction of the SVC which causes venous congestion of face, neck and arms
73
What does the inferior vena cava do?
returns deoxygenated blood from lower body to right atrium
74
What can IVC obstruction cause?
bilateral leg swelling and varicosities
75
Fill in the gaps. IVC _1_ are placed below the _2_ veins to catch lower limb _3_.
1: filters 2: renal 3: DVTs
76
What is the pericardium?
fibro-serous sac surrounding the heart and the roots of the great vessels fibrous pericardium serous pericardium
77
What is the fibrous pericardium?
tough (dense) connective tissue outer layer of the pericardial sac which surrounds the heart
78
What is the serous pericardium? What is it made of? What layers does it have?
inner layer of the pericardial sac - made of mesothelium (simple squamous epithelium) 1. parietal layer - lines inside of fibrous pericardium 2. visceral layer - adheres directly to heart surface
79
Label the image.
80
What is the space between the parietal and visceral layers? What does it contain and what does this do?
pericardial cavity fluid that lubricates the heart, reduces friction as it expands and contracts
81
Label the image.
82
What is pericarditis? What does it cause?
inflammation of the pericardium sharp chest pain that worsens with inspiration of lying flat
83
What is pericardial effusion? What can this cause?
fluid accumulation in the pericardial space that can cause shortness of breath
84
What is cardiac tamponade? What does this cause?
compression of heart due to rapid fluid build-up chest pain, SOB, tachycardia
85
What is the term for needle insertion to drain fluid from the pericardium?
pericardiocentesis
86
What is most of the CVS derived from?
lateral plate (splanchnic) mesoderm
87
How soon does the heart begin beating in development?
21st day
88
The heart is an __1__ organ whose __2__ patterning is established during __3__.
1. asymmetrical 2. left-right 3. gastrulation
89
The first heart field is initially what shaped? What does this shape represent? What is it surrounded by? What does it eventually give rise to?
horseshoe-shaped - represents the crescent of mesodermal cells in the cardiac crescent, these cells become: (below) cardiac myoblasts (muscle precursors that will contract later) left ventricle and atria
90
What does the second heart field give rise to?
right ventricle and outflow tract
91
The __1__ __2__ cells that have been identified in pharyngeal mesoderm have been name the __3__.
1 and 2: multipotent progenitor 3: SHF (second heart field)
92
What does the sinus venosus develop into?
posterior portion of the right atrium, the SA node and the coronary sinus
93
What part of the heart is derived from the primitive atrium?
trabeculated right and left atria
94
The trabeculated right and left atria are derived from what?
primitive atrium
95
What does the primitive ventricle form?
trabeculated left ventricle
96
What is the trabeculated left ventricle formed from?
primitive ventricle
97
What does the bulbus cordis develop into?
trabeculated right ventricle
98
What does the truncus arteriosus give rise to?
The ascending aorta and the pulmonary trunk (i.e. the outflow tracts of both ventricles).
99
Which structure gives rise to the sinoatrial (SA) node?
sinus venosus
100
What embryological structure contributes to the formation of the coronary sinus?
sinus venosus
101
Which part of the heart tube contributes to the outflow tracts?
truncus arteriosus and conus cordis (from bulbus cordis)
102
The primary heart tube begins to elongate and simultaneously bends and twists into a C-shaped structure on which day?
day 23
103
On what day does the primary heart tube begin looping?
Day 23, during week 4 of development
104
What shape does the heart tube form during early looping?
C-shaped loop
105
In which direction does the heart tube loop?
bends and twists to the right
106
What part of the heart tube forms the outer right curvature of the C-loop?
ventral surface of the primary heart tube
107
What is the significance of the C-shaped looping?
sets the stage for correct spatial orientation of future heart chambers (atria and ventricles)
108
What is the name of the process where the heart tube bends into a C-shape?
cardiac looping
109
What happens if heart looping is abnormal?
can result in congenital heart defects e.g dextrocardia
110
What does heart looping achieve?
brings the four presumptive chambers of the future heart into their correct spatial relationship to each other
111
Name 3 abnormalities associated with cardiac looping.
ventricular inversion heterotaxy visceroatrial heterotaxy syndromes
112
What is ventricular inversion?
condition where the looping of the heart tube is reversed (from normal leftward/sinistral to rightward/dextral) - results in the heart's apex pointing to right instead of left
113
What is the normal looping direction of the heart tube?
rightward (dextral) looping
114
In ventricular inversion, which direction does the heart apex point?
inferior and to the right
115
What is heterotaxy?
defect in left-right axis formation causing abnormal arrangements of organs, which can be partial (situ ambiguous) or total (situs inversus totalis)
116
What is situs inversus totalis?
complete mirror-image reversal of all visceral organs, often with few or no symptoms
117
What is situs ambiguous (partial heterotaxy)?
condition where some organs are reversed or abnormally positioned, often associated with congenital heart defects
118
What are visceroatrial heterotaxy syndromes?
Conditions where the abdominal organs and atrial poles are on opposite sides, often leading to complex cardiac malformations
119
What causes heterotaxy syndromes?
abnormal development of the left-right body axis during early embryogenesis
120
Label the image.
121
Label the LM and EM of cardiac muscle sectioned longitudinally.
122
What condition is described?
hypertrophic cardiomyopathy
123
What condition is being described?
dilated cardiomyopathy
124
What condition is being described?
ventricular tachycardia
125
What does structure A show?
calcification
126
Fill in the blanks in regards to atherosclerosis. A major risk factor is high cholesterol: high circulating levels of __1__ damage arterial endothelium leading to formation of __2__. Blood monocytes migrate across the endothelium to become __3__, which accumulate lipids. Smooth muscle cells in the media also migrate to affected intimal sites and become cholesterol-laden __4__.
1: LDL 2: atherosclerotic plaque 3: macrophages 4: foam cells
127
What do the following sections give rise to?
sinus venosus: right horn: smooth part of right atrium and SA node and vena cava openings left horn: coronary sinus and oblique vein of left atrium
128
Fill in the adult derivatives.
129
Fill in the structures.