CVS 8 Flashcards

(106 cards)

1
Q

What is the definition of HF?

A
How well did you know this?
1
Not at all
2
3
4
5
Perfectly
2
Q

how is HF classified and according to what?

A

subjectively according to symptoms using NYHA classication

objectively according to EF, according to timing as either acute or chronic

How well did you know this?
1
Not at all
2
3
4
5
Perfectly
3
Q

What are some causes of HF?

A
How well did you know this?
1
Not at all
2
3
4
5
Perfectly
4
Q

What is the epidemiology of HF?

A
How well did you know this?
1
Not at all
2
3
4
5
Perfectly
5
Q

What is stroke volume?

How is stroke volume calculated?

A
How well did you know this?
1
Not at all
2
3
4
5
Perfectly
6
Q

What is ejection fraction and how is it measured?

A
How well did you know this?
1
Not at all
2
3
4
5
Perfectly
7
Q

What are the two main types of HF and what occurs in each? What happens to the EF?

(mechanics)

A

systolic HF = heart muscle is weak and can’t pump hard enough -> reduced EF

diastolic HF = heart muscle is stiff and can’t fill properly -> preserved EF

How well did you know this?
1
Not at all
2
3
4
5
Perfectly
8
Q

What type of EF can occur in diastolic HF and why?

A

preserved EF

stiff ventricle - ventricle cant relax properly and there is reduced filling = low EDV

when heart contracts, it still squeezes out a normal proportion of what little blood it received

even though EF looks fine, total cardiac output is reduced because STROKE VOLUME IS SMALLER

How well did you know this?
1
Not at all
2
3
4
5
Perfectly
9
Q

What is reduced in diastolic HF?

A

total cardiac output

ventricles stiff and cant relax properly - reduced EDV

stroke volume = EDV - EDS and cardiac output = stroke volume x HR

therefore stroke volume is smaller so cardiac output is reduced

How well did you know this?
1
Not at all
2
3
4
5
Perfectly
10
Q

What can cause systolic and diastolic HF?

A
How well did you know this?
1
Not at all
2
3
4
5
Perfectly
11
Q

How can coronary atherosclerosis lead to HF?

(which type of HF specifically)

A

myocardial ischaemia = reduced blood flow to the myocardium (supply<demand), it is reversible if blood flow is restored

myocardial infarction = prolonged ischaemia = irreversible injury to the myocardium, necrosis occurs

How well did you know this?
1
Not at all
2
3
4
5
Perfectly
12
Q

How can dilated cardiomyopathy lead to HF (and which type)?

A

dilated cardiomyopathy = dilated ventricular walls

How well did you know this?
1
Not at all
2
3
4
5
Perfectly
13
Q

How can restrictive cardiomyopathy lead to HF (and which type)?

A

restrictive cardiomyopathy = stiffened ventricular walls

How well did you know this?
1
Not at all
2
3
4
5
Perfectly
14
Q

How can hypertrophic cardiomyopathy lead to HF (and which type)?

What else can it put one at risk of?

A

hypertrophic cardiomyopathy = hypertrophic ventricular walls

How well did you know this?
1
Not at all
2
3
4
5
Perfectly
15
Q

How can HTN lead to HF (and which type)?

A

increase in systemic arterial blood = increase in LV AFTER-LOAD = concentric LV hypertrophy

LV hypertrophy leads to:
- reduced contractility (SYSTOLIC HF)
- reduced SV (SYSTOLIC HF)
- reduced EDV (DIASTOLIC HF)

How well did you know this?
1
Not at all
2
3
4
5
Perfectly
16
Q

How can aortic stenosis lead to HF, and which type of HF?

A
How well did you know this?
1
Not at all
2
3
4
5
Perfectly
17
Q

Why are MIs associated with systolic HF?

A

scar tissue reduces contractility = reduced stroke volume -> reduced EF

How well did you know this?
1
Not at all
2
3
4
5
Perfectly
18
Q

What structural change occurs in dilated cardiomyopathy and why does it cause the type of HF it causes?

A

ventricles become dilated and walls become thin/floppy = overstretched fibres cant contract effectively -> reduced contractility -> reduced SV

SYSTOLIC HF because it is a PUMPING issue not a FILLING issue

How well did you know this?
1
Not at all
2
3
4
5
Perfectly
19
Q

What happens to the ventricular walls in restrictive cardiomyopathy?

How does this then cause HF (mention which type it causes)?

A

they become stiff due to infiltration or fibrosis

stiff walls impair relaxation and filling = reduced EDV but preserved EF because still able to pump what little blood they have

DIASTOLIC HF = FILLING ISSUE

(reduced EDV means reduced SV and reduced cardiac output)

How well did you know this?
1
Not at all
2
3
4
5
Perfectly
20
Q

What structural abnormality occurs in hypertrophic cardiomyopathy?

How does this cause HF (and which HF)?

A

ventricular walls are abnormally thickened but hypertrophied ventricles have small cavity and poor relaxation = reduced EDV, impaired filling, preserved EF

DIASTOLIC = FILLING ISSUE

How well did you know this?
1
Not at all
2
3
4
5
Perfectly
21
Q

How does long standing HTN affect the heart early on? What HF does HTN initially cause and why?

What happens later on?

A

causes LV hypertrophy -> stiff ventricles -> impaired filling so DIASTOLIC HF

chronic pressure overload weakens myocardium = reduced CONTRACTILITY AND STROKE VOLUME so SYSTOLIC HF

(early hypertrophy causes diastolic dysfunction; later decompensation causes systolic dysfunction)

How well did you know this?
1
Not at all
2
3
4
5
Perfectly
22
Q

In which cardiac pathologies do you get the following, and what HF does it cause:

  1. Reduced contractility and reduced SV (mention 2)
  2. Reduced EDV (mention 2)
  3. Reduced contractility, SV and EDV
A
  1. MIs - scarred myocardium AND dilated cardiomyopathy = systolic HF
  2. restrictive cardiomyopathy - STIFFENED ventricular walls AND hypertrophic cardiomyopathy - THICKENED ventricular walls = diastolic HF
  3. HTN, aortic stenosis
How well did you know this?
1
Not at all
2
3
4
5
Perfectly
23
Q

Why do people with HTN and aortic stenosis both develop a hypertrophied LV?

(different reason for each)

A

HTN
- increase in systemic arterial blood pressure = increased LV AFTER-LOAD (resistance which LV must overcome to pump blood systemically)

AORTIC STENOSIS
- increase pressure after aortic valve = increased LV AFTER-LOAD

How well did you know this?
1
Not at all
2
3
4
5
Perfectly
24
Q

Which cardiac pathology puts people at risk of arrhythmias?

A

hypertrophic cardiomyopathy

How well did you know this?
1
Not at all
2
3
4
5
Perfectly
25
How does HF affect the kidneys and what does this lead to?
HF = reduced systemic blood flow = REDUCED RENAL BLOOD FLOW reduced renal blood flow -> activation of RAS (because kidneys sense low renal perfusion even if the body is overloaded - gets interpreted as dehydration/shock) Renin -> angiotensin II -> aldosterone = vasoconstriction and sodium and water retention more fluid is retained in an attempt to boost circulation but in HF, pump cant handle the extra pre-load HIGH VENOUS PRESSURE force fluid out of capillaries = PERIPHERAL OEDEMA, PULMONARY OEDEMA, ASCITES
26
How does HF affect the lungs?
pulmonary oedema/congestion 1. LV fails - cant eject blood properly 2. blood backs up in atrium = left atrial pressure rises 3. higher LA pressure = higher pulmonary venous pressure (because pulmonary veins drain into the left atrium) 4. pulmonary capillary hydrostatic pressure rises = when this exceeds plasma oncotic pressure, fluid is pushed into the lung interstitium/alveoli - poor gas exchange -> DYSPNOEA, ORTHOPNOEA, PAROXYSMAL NOCTURNAL DYSPNOEA, BASAL CRACKLES
27
What are some causes of right sided HF?
28
On how does left ventricular failure lead to right ventricular failure?
(left ventricle cant pump blood, blood backs up in left atria, increases pulmonary venous pressure and leads to pulmonary congestion - this eventually leads to pulmonary hypertension = increased strain on right ventricle because RV pumps blood to pulmonary circulation = RV failure)
29
List 5 symptoms and 5 signs of HF.
30
1. What is HF with preserved EF? 2. What is HF with improved EF? 3. What is HF with reduced EF? 4. What is HF with mildly reduced EF?
1. LVEF ≥ 50% (pumping is 'normal' but filling still impaired, diastolic HF) 2. pt previously had reduced EF EF ≤ 40% but with treatment EF improved by ≥10 points to now ≥40% 3. LVEF ≤ 40% - classic systolic HF, ventricle cant contract effectively 4. EF 41-49%, in between preserved and reduced - grey zone
31
HF with a LVEF of ≥ 50% means what?
HF with a preserved EF pumping ability is 'normal' but filling is impaired = diastolic HF still get reduced cardiac output because EDV is lower therefore SV is lower (stroke volume = EDS - ESV)
32
Patient with EF of <40% who now has EF of >40% - what is this known as?
HF with improved EF
33
HF with a LVEF ≤ 40% - this is known as what?
HF with reduced EF - classic systolic HF because ventricles cant contract effectively
34
Patient who a EF of 41-49% - what is this known as?
HF with mildly reduced EF in between preserved and reduced -> grey zones
35
What is used to grade HF symptoms by severity?
NYHA classification
36
What is the NYHA classification of HF? (what falls under each class)
37
A patient has cardiac disease but no limitation of physical activity. Ordinary activity does not cause undue fatigue, palpitations, or dyspnoea. What NYHA class is this?
class I
38
A patient is comfortable at rest, but ordinary physical activity causes fatigue, palpitations, or dyspnoea. What NYHA class is this?
class II
39
A patient is comfortable at rest, but less-than-ordinary physical activity causes fatigue, palpitations, or dyspnoea. What NYHA class is this?
class III
40
A patient is unable to carry out any physical activity without discomfort, and has symptoms of heart failure even at rest. What NYHA class is this?
class IV
41
What bloods should be done when investigating HF? Which one is the most important?
BNP = most important U&Es FBC
42
What do the following BNPs mean: 1. <35 ng/L (non-acute setting) 2. <100 ng/L (acute setting) 3. 100-400 ng/L (acute setting) 4. >400 ng/L (acute setting)
1. HF unlikely 2. HF unlikely 3. HF possible - arrange echo 4. HF likely
43
What BNP result would require an ECHO?
100-400 ng/L in acute setting
44
What BNP result would be indicative of HF?
>400 ng/L in acute setting
45
What is BNP and where is it mainly released from? What causes the release of BNP?
B-type natriuretic peptide - mainly released from ventricles of the heart volume/pressure overload which causes stretching of ventricles - BNP levels used as a marker of ventricular stress and HF severity
46
How does BNP try to reduce strain on the heart?
47
What other conditions can cause elevated BNP levels other than a primary diagnosis of HF? List 4 cardiovascular causes and 4 other causes.
cardiovascular causes - PEs - hypertrophic cardiomyopathy - myocarditis - pulmonary HTN other causes - kidney disease - sepsis - liver disease - thyrotoxicosis
48
What is seen/measured with an echocardiogram? What can echos be used to diagnose?
49
What are the 3 goals of treatment of CHF?
- alleviate symptoms - delay progression - reduce mortality
50
What are the 4 pillars of treatment of symptomatic HF with LVEF <40%?
beta-blockers - reduce sympathetic drive = decrease HR, decrease arrhythmias = improves survival aldosterone antagonist (spiranolactone) - blocks aldosterone = reduced sodium/water retention ras inhibitor (ACEi, ARNi) - blocks renin-angiotensin system = reduced afterload, reduced preload = improves mortality SGLT2 inhibitor (e.g dapagliflozin) - improves outcome independent of diabetes - helps with diuresis and cardiac protection (SGLT2 cotransporter 2 found in PCT reabsorbs glucose and sodium back in blood - blocking it = more glucose and sodium stay in the urine = osmotic diuresis)
51
What is the stepwise management for HF with reduced EF?
step 1 - ACEi + beta-blockers - diuretics if overloaded step 2 (if symptoms persists) - in addition to meds in step 1, add aldosterone antagonist (spiranolactone) step 3 - ACEi + beta-blockers (ACEi can be swapped for ARNI e.g sacubitiril/valsartan) - aldosterone antagonist - SGLT2 inhibitor - diuretic for symptom control/if overloaded
52
What is the stepwise management of HF with preserved EF?
53
What do ACE inhibitors do? What do aldosterone antagonist?
ACE = blocks RAS - reduced vasoconstriction and reduced fluid retention = reduce afterload, preload and mortality aldosterone antagonist = block aldosterone's effects - reduced sodium/water retention and limit cardiac remodelling -> improve survival in HF
54
What do beta-blockers do?
block beta-adrenergic receptors - mainly B1 receptors in the heart
55
What is the difference between primary and secondary HTN?
56
How is arterial blood pressure calculated? How is cardiac output calculated? BP can rise if what is affected?
arterial blood pressure (BP) = cardiac output x TPR cardiac output = HR x SV BP can rise if: - heart pumps more blood (increased HR or SV) - vessels are tighter (increased TPR)
57
What is primary HTN? What factors can contribute to this?
high BP with no single identifiable cause (90% of cases) thought to come from a mix of genetic predisposition + lifestyle factors - FAMILY HISTORY IS COMMON
58
List 5 modifiable and 4 non-modifiable risk factors for HTN.
59
How can increased sympathetic nervous system activity lead to HTN?
increased adrenaline release increased vasoconstriction increased renin release
60
How can increased RAAS activation lead to HTN?
increased renin release = increased angiotensin II = increased BP
61
How can increased sodium increase BP and decrease renin release?
62
How can age contribute to increased BP?
63
What are some causes of secondary HTN? List 10.
RENAL - renal artery stenosis - CKD ENDOCRINE - hyperaldosteronism - phaeochromocytoma OBSTETRIC - gestational hypertension - pre-eclampsia AUTO-IMMUNE - lupus - scleroderma VASCULAR - coarctation of aorta NEUROLOGY - autonomic dysfunction DRUGS - contraceptive pills - steroids - NSAIDs - venlafaxine - cocaine - amphetamine
64
How does renal artery stenosis cause HTN?
renal artery stenosis = caused by atherosclerosis or fibromuscular dysplasia reduced renal perfusion due to stenosis = increased renin -> increased angiotensin II -> increased BP
65
What is phaeochromocytoma, what are its symptoms, signs, and how does it cause HTN? Where is this located?
neuroendocrine tumour of the adrenal medulla symptoms: - headache - palpitations - sweating - anxiety signs: - htn - tachycardia - diaphoresis increased adrenaline production -> increased sympathetic activity -> increased HR, SV and TPR, increased CO -> HTN REMEMBERING TRICK: - "phaeo" = dusky, grey brown -> describes the colour the tumour stains with - "chromocytoma" = tumour of chromaffin cells chromaffin cells = catecholamine-secreting neuroendocrine cells of the adrenal medulla (they make adrenaline and noradrenaline and they are derived from neural crest cells)
66
What is shown on the MRI? What investigations should be done?
phaeochromocytoma - adrenal tumour investigations - urine catecholamines - serum metanephrines
67
What is hyperaldosteronism? What is it caused by? What are the signs and how does it cause HTN?
increased aldosterone production - primary hyperaldosteronism: - adrenal hyperplasia - adrenal adenoma (conn's syndrome) signs: - hypertension - hypokalaemia - alkalosis CONN'S SYNDROME ARISES FROM AN ADENOMA OR HYPERPLASIA OF ZONA GLOMERULOSA IN ADRENAL CORTEX = DERIVED FROM MESODERM PHAEOCHROMOCYTOMA = MEDULLA = NEURAL CREST
68
What are the signs and symptoms of HTN?
69
What are complications of HTN? (renal, neurological, cardiovascular)
70
What are the BP ranges? (optimal, normal, high normal, stage 1 HTN, stage 2 HTN, stage 3 HTN)
71
In what range do these BPs fall?
high normal
72
In what stage are these BPs?
stage 2 HTN
73
In what stage are these BPs in?
stage 3 htn
74
How is HTN managed?
75
What would be the 4 medication steps of treating HTN in a patient with T2D? Which other group of people who would get the same treatment?
step 1 - ACEi or ARB step 2 - ACEi or ARB + - CCB or thiazide-like diuretic step 3 - ACEi/ARB + CCB + thiazide-like diuretic step 4 - consider seeking expert advice or adding low dose spironolactone, alpha-blocker or beta-blocker (same applies to people with HTN WITHOUT T2D but who are under 55 years old and not of black-african or african-caribbean family origin)
76
What HTN patients are prescribed ARB/ACEi in step 1 and why?
HTN patients with T2D or HTN patients under 55 who dont come from black-african/african-caribbean lineages T2D patients are at risk of diabetic nephropathy (kidney damage from high blood sugar and high pressure inside the glomeruli) ACEi and ARB blocks RAAS system - dilates efferent arteriole = reduces intraglomerular pressure = slows kidney damage - reduce albuminuria ACEi/ARB = actively protect kidneys
77
Why are ACEi and ARB first line in <55s and non-black patients?
<55 and non-black = usually high renin -> ACEi/ARB work best >55 or black african/caribbean = usually low renin -> CCBs work better
78
What is the difference in first-line medication between: 1. HTN patients with T2D/HTN without T2D who are <55 and non-black AND 2. HTN patients without T2D who are 55 or over, or who are of black african or african/caribbean family origin?
1. ACEi or ARB 2. CCB
79
What is the target BP for people >80 years old? (in clinic and at home)
<150/90 in clinic <145/85 at home
80
What is the target BP for people <80 years old? (in clinic or at home)
<140/90 in clinic <135/85 at home
81
What else would you ask?
82
What examinations would you like to conduct after taking history? What factors regulate the movement of fluid between capillaries and tissues?
- pulse - BP - JVP - apex - lung auscultation - oedema - urine dipstick - hydrostatic pressure = pushes fluid out of capillaries - oncotic pressure from plasma protein = draws fluid back in - capillary permeability and lymphatic drainage also involved
83
Why might someone with HF experience ankle swelling in the evening but less in the morning?
84
What does raised JVP tell you about the pressures in her CVS?
85
Explain why someone with HF feel more SOB when lying down flat.
86
What is the difference between COPD and HF when lying down?
87
Why would someone with HF have a forceful and displaced apex beat?
88
What investigations would you order when investigating HF?
89
Maria - who has HF, has occasional wheeze. What mechanisms might be contributing to this?
90
Why is Maria (who has HF) breathless on exertion?
91
Define "congestive" HF. How does it differ from left or right-sided HF?
92
If Maria (who has HF) is ambivalent about changing her lifestyle, which psychological communication approach might be effective?
93
94
Why is gain weight in a short amount of time relevant in the context of HF? On examination, what clinical signs would you specifically look for to assess the answer to the above question?
fluid retention is a sign of decompensation elevated JVP, ankle oedema, lung crackles, hepatomegaly, ascites
95
96
97
Why might someone with HF have dullness and reduced breath sounds at his lung base?
small pleural effusions due to raised hydrostatic pressure in pulmonary circulation
98
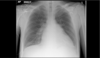
Interpret this CXR.
pulmonary oedema, kerley b lines, cardiomegaly, pleural effusions
99
John (who has HF) has his bloods taken and they show the following. What do these results suggest about his cardiorenal status?
worsening renal function electrolyte disturbance from diuretic use and reduced perfusion
100
101
Which classification is based on symptoms and exercise tolerance in patients with heart failure?
NYHA classification
102
What is the first-line blood test for suspected HF in primary care?
BNP
103
104
A patient presents with symptoms including headache, palpitations, sweating, and anxiety. Their blood pressure is high and they have a fast heart rate. What is the most likely diagnosis?
phaeochromocytoma (rare catecholamine-secreting tumour of the adrenal medulla (chromaffin cells)).
105
What is phaechromocytoma? What is the classic triad of symptoms?
106
Increased sympathetic nervous system activity raises blood pressure by causing vasoconstriction, increased heart rate, and enhanced renin release, which together elevate cardiac output and systemic vascular resistance