Respiratory 9 Flashcards

(112 cards)

1
Q

What are the different types of lung cancer?

List 4 and include which one is the most common.

A

ADENOCARCINOMA - most common

SQUAMOUS CELL CARCINOMA (next most common)

LARGE CELL CARCINOMA

SMALL CELL CARCINOMA

How well did you know this?
1
Not at all
2
3
4
5
Perfectly
2
Q

Which cancer is mostly associated with individuals who have never smoked?

Which cancer is mostly associated with smokers?

A
  • adenocarcinoma (35-40%)- non-smokers
  • small cell carcinoma (10-15% occurrence but >90% of pts have a smoking history)
How well did you know this?
1
Not at all
2
3
4
5
Perfectly
3
Q

Which lung cancer classically causes cavitations?

A

squamous cell carcinoma

How well did you know this?
1
Not at all
2
3
4
5
Perfectly
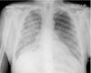
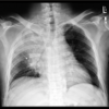
4
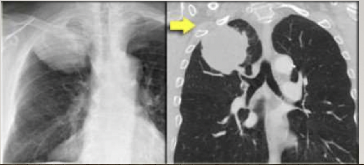
Q

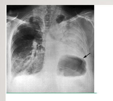
What is shown on the images?

A

cavitation in squamous cell carcinoma

How well did you know this?
1
Not at all
2
3
4
5
Perfectly
5
Q

What percentage of people with lung cancer are asymptomatic?

A

5-15%

How well did you know this?
1
Not at all
2
3
4
5
Perfectly
6
Q
  1. What can lung cancers cause due to LOCAL effects?
  2. What can can lung cancers cause due to blocking of TUBES (trachea and oesophagus)?
A
  1. cough, dyspnoea, haemoptysis, chest pains, post obstructive pneumonitis
  2. trachea: stridor, oesophagus: dysphagia
How well did you know this?
1
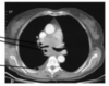
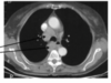
Not at all
2
3
4
5
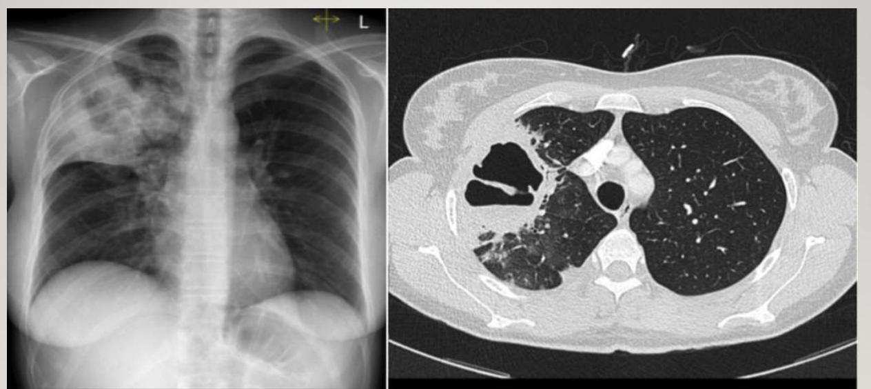
Perfectly
7
Q

Which nerves can get affected in lung cancers and what would this cause?

A

recurrent laryngeal: dysphonia

phrenic nerve: diaphragmatic palsy

How well did you know this?
1
Not at all
2
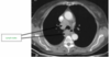
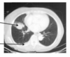
3
4
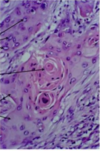
5
Perfectly
8
Q

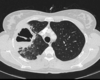
What is a special type of lung cancer and its associated effects?

A

pancoast: apical tumour with chest wall pain, Horners syndrome and brachial plexus involvement

How well did you know this?
1
Not at all
2
3
4
5
Perfectly
9
Q

How can lung cancers cause symptoms like puffiness of face and dilated veins over face and upper extremities?

A

by obstructing the superior vena cava

How well did you know this?
1
Not at all
2
3
4
5
Perfectly
10
Q

Why would a patient with lung cancer experience stridor and/or dysphagia?

A

stridor: lung tumour compressing the trachea

dysphagia: lung tumour compressing the oesophagus

How well did you know this?
1
Not at all
2
3
4
5
Perfectly
11
Q
  1. What happens if the recurrent laryngeal nerve is involved?
  2. What happens if the phrenic nerve is involved?
A
  1. dysphonia/hoarseness
  2. diaphragmatic palsy
How well did you know this?
1
Not at all
2
3
4
5
Perfectly
12
Q

What is a Pancoast tumour and what symptoms does it cause?

A

an apical lung tumour invading chest wall, brachial plexus and sympathetic chain - causes Horner’s syndrome (ptosis, miosis, anhidrosis) and brachial plexus involvement

How well did you know this?
1
Not at all
2
3
4
5
Perfectly
13
Q

What are the features of SVC obstruction due to lung cancer and why would one get these?

A

puffiness of face, dilated veins over face, neck and upper chest, arm swelling - impaired venous drainage from head, neck and upper limbs

How well did you know this?
1
Not at all
2
3
4
5
Perfectly
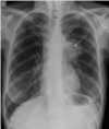
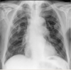
14
Q

What is shown on the images?

A

pancoast tumour

How well did you know this?
1
Not at all
2
3
4
5
Perfectly
15
Q

What would the features on the image result from?

A

lung tumour compressing SVC

How well did you know this?
1
Not at all
2
3
4
5
Perfectly
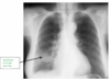
16
Q

What is shown on the image?

A

phrenic nerve paralysis

How well did you know this?
1
Not at all
2
3
4
5
Perfectly
17
Q

Where are lung mets commonly found and what symptoms are associated with each location?

A
How well did you know this?
1
Not at all
2
3
4
5
Perfectly
18
Q

What percentage of SCLC were found to have mets at autopsy?

A

> 95%

How well did you know this?
1
Not at all
2
3
4
5
Perfectly
19
Q

What is the definition of paraneoplastic syndromes?

A

symptoms caused by substances secreted by the tumour not by the local tumour mass itself

How well did you know this?
1
Not at all
2
3
4
5
Perfectly
20
Q

What paraneoplastic endocrine effects can happen with lung tumours?

A

SIADH -> small cell carcinoma secretes ADH = hyponatraemia (confusion, seizures)

Cushing’s Syndrome -> small cell carcinoma secretes ACTH -> cortisol excess (weight gain, muscle weakness, striae)

Hypercalcaemia -> squamous cell carcinoma secretes PTHrP -> “stones, bones, groans, psychiatric overtones”

How well did you know this?
1
Not at all
2
3
4
5
Perfectly
21
Q

What paraneoplastic neurologic effects can happen with lung tumours?

A

LEMS (Lambert-Eaton Myasthenic Syndrome) = antibodies against presynaptic Ca2+ channels -> proximal muscle weakness, improves with exercise (opposite to myasthenia gravis)

myopathies -> e.g dermatomyositis, polymyositis

cerebellar syndromes -> paraneoplastic degeneration (ataxia, dysarthria)

How well did you know this?
1
Not at all
2
3
4
5
Perfectly
22
Q

What paraneoplastic haematologic effects can happen with lung tumours?

A

thrombotic events - some tumours create a hyper-coagulable state -> DVTs, Trousseau’s sign

How well did you know this?
1
Not at all
2
3
4
5
Perfectly
23
Q

John, who has recently been diagnosed with lung cancer, has been admitted following a seizure at home. His blood results showed hyponatraemia.

What do you think has happened?

A

SIADH - small cell carcinoma (classic culprit but not the only one) secretes ADH = kidneys reabsorb water = dilutional hyponatraemia

How well did you know this?
1
Not at all
2
3
4
5
Perfectly
24
Q

Why would a person with lung cancer start to develop muscle weakness, purple striae and weight gain?

A

small cell carcinoma (not always but main culprit) secretes ACTH which leads to cortisol excess = ectopic ACTH

How well did you know this?
1
Not at all
2
3
4
5
Perfectly
25
Why would a person with lung cancer sudden develop hypercalcaemia?
squamous cell carcinoma secretes PTHrP, this mimics PTH at PTH receptor in bone and kidney but does NOT activate vitamin D production so does not increase gut absorption - bone resorption = calcium release - high renal calcium reabsorption, low phosphate reabsorption
26
Which type of lung cancer is classically the most common culprit for the following paraneoplastic syndromes and what do they secrete: 1. SIADH 2. Cushing's 3. LEMS 4. Hypercalcaemia
1. small cell carcinoma - secretes ADH 2. small cell carcinoma - secretes ACTH 3. small cell carcinoma - cross-reacting antibodies against presynaptic voltage-gated calcium channels 4. squamous cell carcinoma - secretes PTHrP
27
What investigations would you do if suspecting lung cancer? (list 5).
CXR and chest CT bronchoscopy CT guided biopsy PET scan Surgical biopsy
28
What are the treatment options for the following stages?: 1. Early stage 2. Later stage/Metastatic disease 3. Palliative stage
1. early stage: - surgery: lobectomy/pneumonectomy - radical radiotherapy 2. later stage: - chemo/radiation 3. palliative: - symptom control and supportive care
29
List 4 contraindications to curative lung cancer surgery.
1. EXTRATHORACIC METS - if cancer has already spread outside the chest, removing the lung tumour wont cure the patient 2. MALIGNANT PLEURAL/PERICARDIAL EFFUSIONS - if this fluid contains malignant cells it means the disease has spread to those spaces and it is not curable by surgery 3. VOCAL CORD OR PHRENIC NERVE INVOLVEMENT - tumour invading the recurrent laryngeal nerve or phrenic nerve indicates it is locally advanced which would make the patient a poor surgical candidate 4. SVC OBSTRUCTION - suggests bulky mediastinal disease encasing/obstructing SVC which would be too extensive for surgery
30
Most patients with which type of lung cancer would not be candidates for surgery and why?
small cell lung cancer - generally unresectable because it is very aggressive and usually disseminated at diagnosis UNLESS it is a rare small, peripheral nodule with no mets - then it may be considered
31
SCLC may be considered for surgery if what?
if it is a rare small peripheral nodule with no mets
32
Once decided that lung cancer is resectable, what do you need to check next?
OPERABILITY - checking if the patient can actually tolerate the surgery
33
What does "operability" mean and what factors are included in this? (5)
ensuring that the patient can actually tolerate the surgery 1. performance status: general fitness/frailty of patient, poor performance = higher surgical risk 2. whether patient has had a recent MI - recent MIs make surgery very dangerous due to perioperative cardiac complications 3. spirometry - FEV1 <1L = contraindication to major lung resection - lungs will not be strong enough post-op 4. gas transfer - measures how well gases cross alveolar membrane = predicts post-op resp function 5. cardiopulmonary exercise testing - stress test to see if heart and lungs can cope with the extra load of surgery
34
What spirometry result would be a contraindication to lung surgery?
FEV1 <1L
35
What operability check is done for borderline candidates?
cardiopulmonary exercise testing (stress test to see if heart and lungs can cope with the extra load of surgery)
36
What is the difference between resectability and operability?
resectability: - how removable the cancer technically is operability: - if the patient is fit enough to survive the surgery
37
In regards to operability, how you would rate performance status?
38
What is ECOG performance status used for?
to assess a cancer patient's functional status and ability to tolerate treatment
39
What does ECOG 0 mean?
fully active, no performance restrictions
40
What does ECOG 1 mean?
strenuous physical activity restricted but fully ambulatory and able to carry out light work
41
What does ECOG 2 mean?
capable of all self-care but unable to carry out work activities; up and about >50% of waking hour
42
What does ECOG 3 mean?
capable of only limited self-care; confined to bed or chair >50% of waking hours
43
What does ECOG 4 mean?
completely disabled, cannot carry out any self care; totally confined to bed or chair
44
What ECOG performance status must be required for a patient to be considered for surgery?
0-2 (3-4 indicates a level of functional impairment that would typically make major surgery too risky)
45
What is the Lung Cancer Pathway of the NHS?
REFERRAL AND FIRST STEPS 1. 2week referral (2ww cancer pathway 2. call centre = app booked 3. MDT = case discussed at MDT meeting INITIAL ASSESSMENT 4. CT scan and discussion 5. lung cancer OPD (outpatient clinic) 6. bronchoscopy (if needed for tissue diagnosis) TISSUE DIAGNOSIS 7. CT guided biopsy 8. MDT with results STAGING 9. PET scan (check for spread) 10. MDT reviews result 11. TREATMENT AND PATHWAYS (after staging and discussion, patients directed to:) - surgery (if early stage and operable) - oncology (if needs chemo, radiotherapy or immunotherapy) - palliative care (if advanced disease and not suitable for curative tx) FOLLOW-UP 12. lung cancer OPD (patient comes back to clinic to discuss rx)
46
What MDT members are involved in the management of lung cancer?
47
List the recent development which have been made in regards to lung cancer management (at least 4).
48
What is SABR and how does it contribute to the treatment of lung cancer? List 1 advantage and 1 limitation.
49
How are Tyrosine Kinase Inhibitors used in the treatment of lung cancer? List 1 limitation of using this.
50
How does immunotherapy work in the treatment/management of lung cancer? List 1 advantage and 1 disadvantage.
51
How does CT screening using low-dose CT contribute to the management/treatment of lung cancer? List 1 advantage and 1 limitation.
52
What is Segmentectomy and how does it contribute to the management/treatment of lung cancer? What are the indications for the use of this treatment?
53
List 5 occupational agents which have been categorised by IARC as known carcinogens.
radon asbestos (naturally occurring silicate mineral once used in construction, insulation, shipbuilding, brake linings) arsenic nickel chromium
54
What type of cancer is asbetos exposure associated with?
mesothelioma - malignant tumour of the serosal surface of the pleura and peritoneum
55
Mesothelioma is associated with exposure to what?
asbestos
56
What are the symptoms of mesothelioma?
57
What do the following classifications mean:
58
What is being shown on the image?
first pic: T1a N0 M0 - parietal pleura only, no nodes or invasion stage 2: T2 N0 M0 - pleura plus lung or diaphragm muscle invasion, still on one side and no nodes stage 3: T3, any N1 or N2 - deeper local invasion and or regional lymph nodes stage 4: T4, any N3 or M1 - spread to other side of the chest/pleura, or distant spread
59
What is the difference between epithelioid and sarcomatoid mesothelioma?
they're both histopathological subtypes (appearance of mesothelioma)
60
What is biphasic mesothelioma?
61
Which mesothelioma cells have a cuboidal/columnar shape?
epithelioid mesothelioma
62
Which mesothelioma cells resemble connective tissue/sarcoma?
sarcomatoid mesothelioma
63
What investigations would you do for suspected mesothelioma?
(video-assisted thoracoscopic surgery)
64
List 4 possible treatment options for mesothelioma.
65
Which compensation scheme can one claim if they have mesothelioma as a result of being exposed to asbestos at work? What is the criteria?
industrial injuries disablement benefit - disease must have developed after 4 july 1948 - claimant worked in a job where there was asbestos exposure
66
What is the extra compensation called if one can't claim damages from a former employer (e.g if the company has closed down)? What would this compensation allow/do?
The Pneumoconiosis etc (Workers' Compensation) Act 1979 UK law that provides lump-sum payments to people with certain dust-related lung diseases who can not claim damages from former employers that have ceased trading
67
What are the two main mesothelioma payment schemes? What are they based on?
68
What are the methods of prevention for mesothelioma?
69
What is the name for the classic public health principles for screening programmes? What is the purpose of this and what is the criteria?
Wilson and Jungner Criteria - before implementing screening test to the whole population, need to make sure it is worthwhile, safe, effective and cost-effective
70
List the Wilson & Jungner Criterias.
71
What is the measure of how much an intervention changes the risk of an outcome happening over time?
hazard ratio
72
Explain what Hazard Ratio is, when it is reported and how it differs from Relative Risk.
hazard ratio measures how much an intervention changes the risk of an outcome happening over time reported when interested in knowing how long it takes for a particular event to occur
73
When is Hazard Ratio used? What could the outcome be?
when we care about the time until an event happens event/outcome could be: - POSITIVE: time to recovery, discharge, or disease-free survival - NEGATIVE: death, relapse, or complication
74
How is Hazard Ratio measured? What do the following results indicate: 1. HR = 1 2. HR < 1 3. HR >1
75
Bronchogenic carcinoma is a proliferative neoplasm that arises where?
in the primary respiratory epithelium
76
What is the definition of bronchogenic carcinoma?
a proliferative neoplasm that arise in the primary respiratory epithelium
77
What is being shown on the images?
different types of lung cancer
78
1. Which lung cancer is most commonly seen as ground-glass opacities on imaging? 2. Which lung cancer is most associated with cavitations? 3. Which lung cancer is most associated with a hilar/central bulky mass and paraneoplastic syndromes?
1. lung adenocarcinoma 2. squamous cell carcinoma 3. small cell carcinoma
79
Which cancer of the lung is associated with keratinisation and/or intracellular bridges?
squamous cell carcinoma of the lung
80
In regards to squamous cell carcinoma of the lung, what are the following: 1. The origin 2. Progression 3. What is it characterised by?
81
Which lung cancer originates from the bronchial epithelium?
squamous cell carcinoma (apparently small cell carcinoma too but that is not included in the university lecture slides)
82
What is shown on the CXR?
cavitation in squamous cell cancer
83
What is shown on the CT?
cavitation in squamous cell cancer
84
Which malignant epithelial tumour can only be diagnosed in surgically resected specimen? What is this cancer associated with?
large cell carcinoma cigarette smoking
85
Where are Pancoast tumours located?
located at apical pleuropulmonary groove near subclavian vessels
86
What is SVC obstruction caused by? What can it lead to? What findings would you find?
by extrinsic compression or internal thrombosis of the SVC can lead to impaired venous drainage from head, neck and upper extremities physical findings: - dilated neck veins and subcut chest veins - facial oedema, plethoric appearance
87
Describe what is shown on the CXR.
left hilar dense opacity
88
Describe what is shown on the CXR.
extensive opacities or consolidation
89
Describe what is seen on the CXR.
90
Presence or absence of mediastinal nodal metastases is critical for what (so therefore accurate diagnostic characterisation of lung cancer)?
- prognosis - assessing resectability - guiding treatment strategy
91
Why are biopsies required? List 3 things.
- confirm diagnosis of lung cancer - determine histological subtypes - guide surgical and treatment decisions
92
Aside from asbestos exposure, list 3 other risk factors for Malignant Pleural Mesothelioma.
1. prior radiation 2. possible SV40 exposure 3. genetic predisposition
93
What is shown on the CXR?
asbestos plaques
94
What are the usual radiographic findings of mesothelioma?
- unilateral pleural effusion - pleural thickening - masses
95
How do mesotheliomas get diagnosed?
thoracentesis is often the first step pleuroscopy/thoracoscopy + biopsy
96
- mitral valve stenosis, LVF - coagulopathy, thrombocytopenia, DIC
97
1. What signs on clinical examination may indicate lung cancer? 2. How you would manage this patient if it was suspected lung cancer?
1. clubbing, enlarged cervical lymph nodes, signs due to involvement of other structures e.g SVC obstruction, recurrent laryngeal nerve damage - hoarse voice, apical lung tumours - Horner's 2. refer patient using suspected cancer pathway referral (2ww) but admit if clinically unwell - acutely unwell due to cancer
98
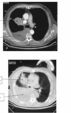
Label this normal CT.
99
Label these CT scans of the patient.
100
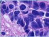
Label and describe the appearance of these cells and mention which cancer you think it is most associated with.
101
Describe how the risks of developing lung cancer change after stopping smoking.
it falls after stopping smoking CDC found that the added risk of developing lung cancer 10-15 years after quitting smoking can fall by 50%
102
You are examining someone with suspected lung cancer. There is a stony dullness to percussion in the right lower zone associated with reduction in breath sounds. What might these indicate?
fluid in the pleural space
103
Identify the abnormalities on the CXR labelled A and B.
104
If you aspirated pleural fluid from someone with suspected lung cancer, what information could the fluid provide about the underlying cause of the patient's symptoms?
estimate protein: exudate or transudate infection via microscopy and culture malignancy via cytology
105
What is shown on the CT scans?
106
Describe the appearances and discuss the diagnosis (results of pleural fluid).
- LARGE cells with PROMINENT NUCLEI - ABUNDANT CYTOPLASMIC VACUOLES (often vacuolated due to mucin) - poorly differentiated malignant cells from a non-small cell carcinoma ADENOCARCINOMA
107
List 4 treatment options for man with non-small cell carcinoma.
- surgery - radiotherapy - chemotherapy - systemic anti-cancer therapy
108
a. If you were her GP, what would you do next?
a. 2 week wait referral to investigate underlying cause for symptoms and CXR findings
109
What abnormalities can you see?
110
What abnormalities can you see?
111
What abnormalities can be seen?
112
Describe the appearances and the pathological diagnosis.
- sheets of small darkly staining cells with very little cytoplasm diagnosis: small cell carcinoma