Urinary 2 Flashcards

(112 cards)

1
Q

Label the image.

A
How well did you know this?
1
Not at all
2
3
4
5
Perfectly
2
Q

What are medullary rays?

What do they consist of?

A

stripes that radiate from the renal cortex into the medulla

consist of longitudinally arranged tubules and collecting ducts

How well did you know this?
1
Not at all
2
3
4
5
Perfectly
3
Q
  1. Where do medullary rays extend from and to?
  2. Through which structures do medullary rays descend in the kidney?
A
  1. extend from the renal cortex into the renal medulla
  2. through medullary pyramids
How well did you know this?
1
Not at all
2
3
4
5
Perfectly
4
Q

What is shown on the images?

A

medullary rays

How well did you know this?
1
Not at all
2
3
4
5
Perfectly
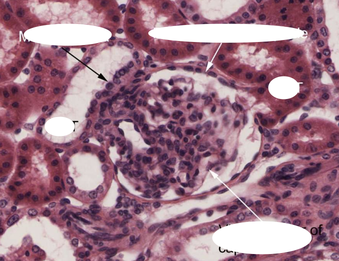
5
Q

What is special about the endothelial cells of the glomerulus?

A
  • fenestrated (have small pores) - allows for filtration of plasma into the bowman’s capsule
How well did you know this?
1
Not at all
2
3
4
5
Perfectly
6
Q

What is the name of the specialised epithelial cells that wrap around the glomerular capillaries?

A

podocytes

How well did you know this?
1
Not at all
2
3
4
5
Perfectly
7
Q

Label the image.

A
How well did you know this?
1
Not at all
2
3
4
5
Perfectly
8
Q
  1. What is the glomerulus?
  2. What is the ‘vascular pole’?
  3. What occurs in the Bowman’s capsule?
A
  1. formed of a tuft of fenestrated capillaries, extrudes a filtrate of plasma into the capsular space
  2. where the afferent and efferent arterioles enter and leave the renal corpuscle
  3. where the glomerular filtrate enters, it has visceral and parietal layers
How well did you know this?
1
Not at all
2
3
4
5
Perfectly
9
Q

What is the Associated Juxtaglomerular Apparatus (JGA) formed of?

What does the JGA do?

A

macula dense, juxtaglomerular cells and mesangial cells

regulates glomerular blood flow

How well did you know this?
1
Not at all
2
3
4
5
Perfectly
10
Q

Where does the filtrate leave the corpuscle and enter the PCT?

A

at the tubular pole

How well did you know this?
1
Not at all
2
3
4
5
Perfectly
11
Q

Label the image.

A
How well did you know this?
1
Not at all
2
3
4
5
Perfectly
12
Q

What is the visceral layer of the Bowman’s capsule comprised of?

A

specialised epithelial cells called podocytes

How well did you know this?
1
Not at all
2
3
4
5
Perfectly
13
Q

Fill in the gaps.

In the __1__ layer of Bowman’s capsule, foot processes known as __2__ extend from the __3__ to completely envelope the __4__ of the capillaries. This forms __5__.

A
  1. visceral
  2. pedicels
  3. podocytes
  4. BM
  5. filtration slit diaphragms
How well did you know this?
1
Not at all
2
3
4
5
Perfectly
14
Q

What are the three levels of filtration in the glomerulus?

A
  1. fenestrated endothelium
    - pores that let fluid and small molecules through but block blood cells and platelets
  2. GBM
    - negatively charged layer which repels large proteins and stops them from passing
  3. podocytes and slit diaphragms
    - podocyte foot processes interlock via proteins like nephrin
    - slit diaphragms form narrow gaps for selective filtration
How well did you know this?
1
Not at all
2
3
4
5
Perfectly
15
Q

Label the image.

A
How well did you know this?
1
Not at all
2
3
4
5
Perfectly
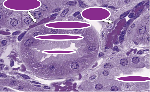
16
Q
  1. What are the roles of the renal epithelia?
  2. What is found at the apical (luminal) surface and what does this do?
A
  • protection
  • absorption
  • secretion
  1. tight junctions: control movement of water and solutes between cells, some are selectively permeable
How well did you know this?
1
Not at all
2
3
4
5
Perfectly
17
Q

What are the two types of renal epithelia?

A

squamous: thin and flat, allows filtration and diffusion

cuboidal: more cytoplasm, supports active transport of substances

How well did you know this?
1
Not at all
2
3
4
5
Perfectly
18
Q
  1. What type of epithelium lines the PCT?
  2. What does the PCT have many of and why?
  3. What surface specialisation is found in the PCT?
A
  1. large simple cuboidal
  2. mitochondria - provides energy for active transport
  3. luminal microvilli and basolateral interdigitations
How well did you know this?
1
Not at all
2
3
4
5
Perfectly
19
Q

How does the epithelium in the DCT differ from the epithelium in the PCT?

A

the epithelium in the DCT has smaller simple cuboidal cells with fewer mitochondria, it also has no microvilli

How well did you know this?
1
Not at all
2
3
4
5
Perfectly
20
Q
  1. What type of cells are found in the loop of Henle? Which transport mechanism is this for?
  2. What type of cells are in the collecting duct?
A
  1. simple squamous cells - passive flux
  2. simple cuboidal with few mitochondria and no microvilli
How well did you know this?
1
Not at all
2
3
4
5
Perfectly
21
Q

What are the arrows pointing to?

A
How well did you know this?
1
Not at all
2
3
4
5
Perfectly
22
Q

Label the image.

A
How well did you know this?
1
Not at all
2
3
4
5
Perfectly
23
Q
  1. Fill in the gaps:
    The __1__ __2__has the same osmolarity as __3__, the fluid therefore remains __4__ in the __5__.
  2. Explain why.
A
  1. glomerular filtrate, plasma, isotonic, PCT
  2. PCT reabsorbs water and solutes proportionally, osmolarity remains isotonic despite large volume reabsorption

(water and solutes are reabsorbed together, PCT has leaky tight junctions and transporters that let sodium, glucose etc out of the tubule and into the blood, water follows by osmosis so both removed in proportion - water and solutes leave together to concentration stays the same)

How well did you know this?
1
Not at all
2
3
4
5
Perfectly
24
Q

The PCT is comprised of what type of epithelium? What feature does it have and why is this?

A

simple cuboidal epithelium

long microvilli - maximise surface area for reabsorption and secretion

How well did you know this?
1
Not at all
2
3
4
5
Perfectly
25
In the Loop of Henle, what is the function of the descending thick limb and the descending thin limb? What epithelium are they lined with?
descending thick limb: - simple cuboidal - active Na+ reabsorption - begins ion transport into the interstitium descending thin limb: - simple squamous - highly permeable to water via AQP1 channels - water exits and tubular fluid becomes more concentrated
26
The descending thin limb of the Loop of Henle is highly permeable to water via what channels?
AQP1 (aquaporin)
27
What is the function of the ascending thin limb and the ascending thick limb? What type of epithelium are they both lined with?
ascending thin limb: - simple squamous - impermeable to water - passive ion reabsorption (Na+, Cl-) - helps create hyperosmotic medulla (counter-current multiplication) ascending thick limb: - simple cuboidal - active reabsorption of Na+ and Cl- via Na+, K+, 2Cl- co transporters - impermeable to water - produce dilute tubular fluid
28
What type of epithelium lines both the descending thick limb and ascending thick limb?
simple cuboidal
29
What type of epithelium lines both the descending thin and ascending thin limb?
simple squamous
30
What structure PASSIVELY allows Na+ and Cl- to diffuse out into the medulla? What structure ACTIVELY pumps out Na+, K+ and Cl-? Using what?
ascending thin limb of loop of henle (down their concentration gradient) ascending thick limb of loop of henle, uses Na+-K+-2Cl- co transporter
31
Why is the salt gradient in the medulla important?
for kidneys to be able to concentrate urine and therefore for the body to be able to retain water 1. filtrate reaches collecting duct by passing through salty medulla 2. if body needs to save water, ADH makes collecting duct walls permeable to water 3. because medulla is so salty, water flows out of the collecting duct into medulla by osmosis, then into blood - concentrates urine
32
What epithelium is in the thick ascending limb and DCT? What do they not have?
simple cuboidal epithelium no 'brush border' of microvilli
33
Thick ascending limb (TAL) epithelial cells produce what? What does this do?
tamm-horsfall protein - glycoprotein binds to bacteria to prevent the formation of renal calculi
34
Aldosterone stimulates reabsorption of __1__ from the __2__. PTH stimulates __3__ reabsorption in the __4__.
1. Na+ 2. DCT 3. Ca2+ 4. DCT
35
Where does aldosterone stimulate sodium reabsorption from?
from the DCT
36
Where does PTH stimulate calcium reabsorption?
in DCT
37
What is the Juxtaglomerular Apparatus (JGA)?
special structure in the kidney that helps control blood pressure and how much blood is filtered by the glomerulus (GFR)
38
What are the key parts of the JGA and what do they do?
1. macula dense cells - sense how much sodium is in the fluid flowing through tubule via OSMORECEPTORS - high sodium usually means high GFR 2. extraglomerular mesangial cells - flat elongated cells which help pass signals between macula dense and juxtaglomerular cells - coordinate response by sending calcium signals 3. JG cells - specialised smooth muscle cells which produce renin and store it in the granules - contain BARORECEPTORS, low BP stimulate release of renin from JG cells
39
Where are JG cells located?
in the afferent arteriole of the glomerulus
40
1. What monitors sodium levels in the tubule and how? 2. What monitors blood pressure in the arteriole?
1. macula densa via osmoreceptors 2. JG cells via their baroreceptors
41
What do JG cells do?
if blood pressure is low or macula densa sends signal, JG cells release renin
42
Briefly summarise the JGA.
- Macula densa = sodium sensor (osmoreceptor) → detects GFR changes. - Extraglomerular mesangial cells = messengers → pass signals. - JG cells = blood pressure sensors (baroreceptors) + renin producers → fix low BP/GFR.
43
What releases vasoactive compounds (e.g adenosine)? What does this do?
macula densa cells - stimulates contraction of JG cells surrounding the afferent arterioles = decreases blood flow and GFR - results in decrease in Na+ in DCT - shuts-off the MD vasoconstriction signal (negative-feedback loop)
44
What does aldosterone do in the DCT?
regulates Na+ reabsorption and K+ secretion in the principal cells of the DCT
45
What cells does the collecting tubules consist of, and what do they do?
principal cells (pale cytoplasm) - involved in Na+ reabsorption and K+ secretion intercalated cells (type A and B) - have a role in acid-base balance by secreting either H+ or HCO3- (both are simple cuboidal epithelial cells)
46
What are the two main cell types in the collecting tubule?
principal cells and intercalated cells (types A and B)
47
What role do intercalated cells play?
acid-base balance by secreting either hydrogen ions (H+) or bicarbonate ions (HCO3-)
48
How does ADH affect principal cells in the medullary region?
stimulates type 2 aquaporins to move to cell membranes - increases water reabsorption
49
What are the arrows pointing to?
50
List 6 facts about the urothelium in the bladder.
- transitional epithelium: facilitates distension - forms highly impermeable barrier: protecting tissues from urine toxins - found in the renal pelvis, ureters, bladder and proximal parts of the urethra - composed of 6 layers of epithelial cells: allows durability and stretchability - superficial layer of urothelium has 90% urothelial plaques - contain UROPLAKINS - uroplakins within fusiform vesicles can increase SA to maintain impermeability even when fully distended
51
What two main functions does the urothelium serve?
allows stretch (distension) and forms a highly impermeable barrier
52
What protects underlying tissues from urine toxicity?
the impermeable barrier formed by the urothelium
53
How do umbrella cells maintain impermeability during bladder distension?
by adding membrane from fusiform vesicles containing uroplakins to increase surface area
54
What is the arrow pointing?
uroplakin
55
1. What are the ureters? 2. Each ureter is comprised of what? 3. What conveys urine to the bladder?
1. pair of muscular tubes that deliver urine from the renal pelvis to the urinary bladder 2. mucosa (lined by transitional epithelium), circular and longitudinal layers of smooth muscle (muscularis), adventitia 3. muscular contraction (peristalsis) of the wall
56
Label this image of a ureter.
57
1. In a relaxed state, how is the transitional epithelium of the bladder arranged? 2. How many layers is the detrusor arranged in and what are they?
1. multiple folds 2. 3 layers: - inner longitudinal - middle circular - outermost longitudinal
58
How does emptying of the bladder occur? What is this known as?
contraction of detrusor muscle combined with relaxation of the internal urethral sphincter - involuntary control
59
What prevents the bladder from emptying?
contraction of the external urethral sphincter - voluntary control
60
Fill in the gaps: The superior surface of the bladder is covered by a __1__, while the remainder of the urinary bladder is covered with an __2__.
1. serosa (thin layer of simple squamous epithelium and connective tissue, covers organs inside a body cavity) 2. adventitia (layer of loose connective tissue only, covers organs outside body cavities, anchoring them to surrounding tissues)
61
Label what the lines are pointing to.
62
Label the image.
63
Label the image.
64
Fill in the gaps: The layers of the detrusor are poorly __1__, meaning they are not __2__. The connective tissue of the bladder is highly __3__.
1. delineated 2. clear/well-defined 3. vascularised
65
Label the image.
66
1. What lines the prostatic urethra? 2. What lines the membranous urethra? 3. What lines the spongy urethra?
1. transitional epithelium 2. stratified columnar and pseudostratified columnar epithelium 3. stratified squamous epithelium
67
Label the image.
68
What is the green arrow pointing to?
stratified squamous non-keratinised epithelium (proximal region is lined with transitional epithelium)
69
Label the image.
70
Where does most of the urogenital system arise from? Label the image.
intermediate mesoderm
71
When does the development of the Uro-Genital system begin? What does it begin with?
week 4 urogenital ridge
72
What does the urogenital ridge differentiates into?
1. medial genital ridge 2. lateral nephrogenic ridge or cord
73
What gives rise to most of the urinary system? What does this develop into?
nephrogenic cord/ridge 3 sets of tubular nephric structures which represent the 3 stages of kidney development: - pronephros - mesonephros - metanephros
74
What does the nephrogenic cord develop into and what does this represent?
3 sets of tubular nephric structures - 3 stages of kidney development: - pronephros - mesonephros - metanephros
75
What is this image showing?
76
Label the image.
77
What are pronephros and when do they develop?
first most primitive kidney structures that develop during embryogenesis, they are rudimentary (basic) and transitory (temporary) during week 4
78
What happens to pronephros during week 5?
they atrophy
79
1. What is the metanephros? 2. How is the metanephric blastema formed? 3. What is the metanephric blastema?
1. definitive (permanent) kidney in humans 2. develops from cells in the intermediate mesoderm of the pelvic region during embryogenesis 3. group of cells that will form the nephrons and release signals to induce ureteric bud development
80
What is the role of the metanephric blastema?
- ultimately becomes cells that make up nephrons - release growth factors that stimulate the development of the ureteric bud
81
What releases growth factors that stimulate the development of the ureteric bud? From where does the ureteric bud grow?
metanephric blastema caudal portion of the mesonephric duct
82
The development of the kidneys is an example of what?
a sequential and reciprocal induction between epithelial tissue of the ureteric bud and mesodermal metanephric blastema ureteric bud induces metanephric blastema to differentiate into the metanephric vesicle that will ultimately give rise to renal tubules and nephrons (kidney develops through a back-and-forth conversation between the two tissues - each one sends signals to the other telling it how to grow and develop)
83
When does the development of the kidney begin?
when signals from the metanephric mesenchyme elicit outgrowth of ureteric bud from caudal region of nephric duct as well as branching of the ureteric bud
84
What is shown on the image? What will this eventually form?
ureteric bud elongating and branching, initially forming T-shaped bifurcation subsequently undergoing repetitive cycles of branching and elongation to form collecting system of kidney
85
Growth, elongation and division of the ureteric buds give rise to which structure?
- ureters - renal pelvis - major and minor calyces - collecting tubules
86
What are the 4 stages of differentiation of the metanephric blastema (formation of the nephron)?
1. vesicle (V) stage: week 13-19 2. S-shaped body (S) stage: week 20-24 3. capillary loop (C) stage: week 25-29 4. maturation (M) stage: infants 1-6 months, neonatal and postnatal
87
Fill in the gaps.
88
Fill in the gaps.
89
What is Renal Agenesis?
characterised by complete absence of development of one or both kidneys results from a failure of ureteric bud to interact with intermediate mesoderm or due to the absence of ureteric bud
90
What is PKD? What are the 2 main types?
genetic disorder characterised by formation of fluid-filled cysts on the kidneys that progressively compromise renal function - autosomal dominant (ADPKD): most common hereditary kidney disease - autosomal recessive (ARPKD)
91
1. ADPKD is caused by a mutation in what? 2. ARPKD is caused by a mutation in what?
1. PKD1 (80%) or PKD2 (15%) 2. PKHD1 and DZIP1L
92
What is shown on the images? Why does this occur?
pelvic kidney aka ectopic kidney normal kidney located in the pelvis instead of abdomen occurs when kidney does not ascend from its original location in the pelvis to its final location during embryonic development
93
What is shown on the image? What can this cause?
supernumerary arteries backup of fluid into the renal pelvis and kidney tubules - hydronephrosis
94
What is shown on the images?
horseshoe kidney - occurs when two developing kidneys fuse ventrally into a single, horseshoe shape that gets trapped in the abdomen by the IMA
95
The urinary bladder is derived from three sources. What are they?
96
1. When does the bladder move from the abdomen to the greater pelvis area? 2. When does it enter the lesser pelvis and become a pelvic organ?
1. around 6 years 2. puberty
97
Label the letters.
A: renal artery (or branch of renal artery) B: renal vein (or branch of renal vein) C: renal cortex D: renal medulla E: minor calyx
98
Label the image.
99
How did you discriminate the PCT from the DCT at the histological level?
PCT: dark staining cuboidal cells with brush border DCT: thinner, lighter staining cuboidal cells with no brush border
100
Why do the cells of the PCT have abundant mitochondria?
to energise active transport of sodium ions (Na+) primarily via 3Na-2K ATPase transporters
101
What would the implications be for renal function if a child was born with a mutation in the gene encoding nephrin?
nephrin is normally expressed at the tips of the podocytes - forms important part of 'filtration slit diaphragm' loss of function mutation in the gene that encodes the protein nephrin is associated with congenital nephrotic syndrome and considerable leakage of protein into the filtrate
102
What simple clinical observation would indicate damage to the glomerular filtration apparatus?
haematuria
103
What is the site of release for the following hormones, and what is their site of action and mechanism of action: 1. ADH / AVP 2. EPO 3. Renin 4. Aldosterone
ADH - posterior pituitary - increases permeability of collecting duct tubules to water by inserting type 2 AQP in the apical membranes of collecting duct epithelial cells EPO - peritubular cells of kidney - stimulates RBC production in bone marrow Renin - juxtaglomerular granular cells - vasoconstriction via RAAS, stimulates release of vasopressin and aldosterone Aldosterone - zona glomerulosa of adrenal cortext - stimulates Na+ uptake in DCT to increase plasma volume and so BP
104
Name the three constituent parts of the glomerular filtration apparatus, and to explain how this filter works by describing what component(s) of the blood each part of this ‘three-part filter’ prevents from entering the ‘filtrate’ in the nephron.
1. The fenestrations (pores approx. 90 nm dia.) of the endothelium : prevent passage of blood cells and platelets 2. The glomerular basement membrane (GBM) is negatively charged, and prevents passage of proteins >70 kDa 3. Podocytes - including their foot processes (pedicels), and the interdigitating specialised proteins e.g. nephrin that extend from the foot processes to form slit diaphragms (30 nm gaps). These collectively prevent the loss of smaller proteins (i.e. those that were too large to be stopped by the GBM).
105
Name the cells that help to maintain the glomerular filter by removing debris (e.g. denatured proteins).
mesangial cells
106
107
What criterion/criteria is/are used for a diagnosis of chronic kidney disease (CKD)?
3 month history of an eGFR of less than 60ml/min/1.73m2
108
List the two principal causes of chronic renal disease.
diabetes mellitus hypertension
109
Label the image.
110
Why does the relaxed ureter have a stellate appearance?
to allow for distension when filled with urine shape of the ureter and its mechanical properties also allows for it to act as a powerful sphincter to prevent urine from exiting the urinary bladder
111
For what functions are umbrella cells specialised? List 2 membrane adaptations that facilitate these functions.
distension - to accommodate an increasing volume of urine and protection of underlying tissues from the toxins contained in urine 1. Membrane folds (‘hinged’ lipid rafts/concertina-like regions): Allow the cell surface to expand as the bladder fills. 2. Uroplakins forming urothelial plaques: Make the membrane highly water-resistant to protect underlying tissues from urine.
112
1. What is the medical term for (i) blood in the urine and (ii) painful urination? 2. Where do renal calculi most commonly form? 3. Of what specific substances are renal calculi most commonly comprised? 4. List two risk factors for the formation of renal calculi.
1. (i) haematuria, (ii) dysuria 2. renal pelvis or renal calyces 3. 'calcium stones' - calcium oxalate, calcium phosphate or both / 'urate stones' - sodium urate 4. prior history of urinary tract stones / family history of urinary tract stones / insufficient water consumption / diet: too much protein/salt/sugar/calcium / excessive consumption of purine rich foods