Echo Flashcards

(66 cards)

1
Q

echo?

A

A non-invasive imaging modality that evaluates cardiac structure, function, and blood flow

How well did you know this?
1
Not at all
2
3
4
5
Perfectly
2
Q

High frequency =

A

greater resolution, less depth penetration

How well did you know this?
1
Not at all
2
3
4
5
Perfectly
3
Q

Low frequency =

A

less rsolution
greater depth penetration

How well did you know this?
1
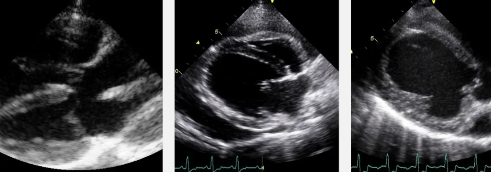
Not at all
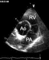
2
3
4
5
Perfectly
4
Q

What structural features can echo evaluate?

A

Wall thickness

Chamber size

Vessel size

Valve morphology and motion

How well did you know this?
1
Not at all
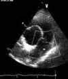
2
3
4
5
Perfectly
5
Q

Can echo assess pericardial and pleural spaces

A

Yes — for fluid and masses

How well did you know this?
1
Not at all
2
3
4
5
Perfectly
6
Q

What aspects of blood flow can echo assess?

A

Direction

Velocity

Turbulence

How well did you know this?
1
Not at all
2
3
4
5
Perfectly
7
Q

What measurements assess systolic function?

A

Fractional shortening

Fractional area change

Ejection fraction

How well did you know this?
1
Not at all
2
3
4
5
Perfectly
8
Q

Can echo determine if a patient is in congestive heart failure

A

no

How well did you know this?
1
Not at all
2
3
4
5
Perfectly
9
Q

How is left-sided CHF identified?

A

Pulmonary vein distension on thoracic radiographs

How well did you know this?
1
Not at all
2
3
4
5
Perfectly
10
Q

How is right-sided CHF assessed?

A

Measurement of central venous pressure

How well did you know this?
1
Not at all
2
3
4
5
Perfectly
11
Q

Limitations of Echo

A

cannot determine if a patient is in congestive heart failure

cannot provide accurate long-term prognosis

cannot predict anesthetic safety

How well did you know this?
1
Not at all
2
3
4
5
Perfectly
12
Q

How does fluid appear on echo

A

Black

How well did you know this?
1
Not at all
2
3
4
5
Perfectly
13
Q

How does fluid appear on radiographs?

A

White or hazy

How well did you know this?
1
Not at all
2
3
4
5
Perfectly
14
Q

How does air appear on echo?

A

White

How well did you know this?
1
Not at all
2
3
4
5
Perfectly
15
Q

How does air appear on radiographs?

A

black

How well did you know this?
1
Not at all
2
3
4
5
Perfectly
16
Q

How does soft tissue appear on echo and radiographs?

A

Intermediate shades on both

How well did you know this?
1
Not at all
2
3
4
5
Perfectly
17
Q

How is the animal positioned for a standard echo?

A

Lateral recumbency

How well did you know this?
1
Not at all
2
3
4
5
Perfectly
18
Q

Where is the probe placed?

A

Under the animal against the thoracic wall

How well did you know this?
1
Not at all
2
3
4
5
Perfectly
19
Q

Where should you begin scanning?

A

At the point of maximal precordial impulse

How well did you know this?
1
Not at all
2
3
4
5
Perfectly
20
Q

Are right-sided images easy or difficult to obtain?

A

Generally easier to collect

How well did you know this?
1
Not at all
2
3
4
5
Perfectly
21
Q

What structures are well visualized from the right side?

A

Left heart (long and short axis)

Tricuspid valve

Pulmonic valve

How well did you know this?
1
Not at all
2
3
4
5
Perfectly
22
Q

What structure is best visualized from the left side?

A

Left ventricular outflow tract (LVOT) and aortic valve

How well did you know this?
1
Not at all
2
3
4
5
Perfectly
23
Q

What chambers can be well visualized from the left side?

A

Both left and right heart chambers

How well did you know this?
1
Not at all
2
3
4
5
Perfectly
24
Q

B-mode?

A

2D - can see the actual stuctures and motion of the heart using soundwaves

How well did you know this?
1
Not at all
2
3
4
5
Perfectly
25
M-mode?
1D - showing changes in chamber structures over time
26
M-mode is used to measure
cardiac dimensions of the LV and LA and motion patterns and systolic function (%FS)
27
28
pulsed wave?
detected by doppler echo useful for low velocity flow at a specific location
29
Continuous wave?
detected by doppler echo useful for high velocity flow across a line
30
color flow?
detected by doppler echo diff colors are used to assess the directions of blood flow +weak estimation of the velocity
31
for color flow doppler, blue indicates
blood flow away from the probe
32
for color flow doppler, red indicates
blood flow towards the probe
33
for long-axis view of right side, transducer must be at
right side about where you feel the heart beat the strongest
34
for long-axis view of right side, marker dot direction must be at
toward the top of the right scapula
35
from long-axis view of right side, you can evalute
LA, mitral valve, LV
36
this is long-axis view of the right sige
37
for short axis view of R side, transducer position has be on the
right side
38
for short axis view of R side, marker dot position should be
toward R elbow - 90' CCW from long axis
39
this is short axis view of the right side
40
papillary m.
41
T/F the ultrasound beam is parallel to the direction of blood flow.
true
42
At what level are LV segments commonly evaluated?
At the papillary muscle level (short-axis view)
43
at papilllary m. level, you can assess
LV wall segments Wall motion Wall thickness
44
How can LV wall thickness be assessed?
M-mode 2-D imaging
45
What two walls are commonly measured?
Interventricular septum Left ventricular free wall
46
How is LV systolic function evaluated using M-mode?
Percent fractional shortening (%FS)
47
How is LV systolic function evaluated using 2-D imaging?
Percent fractional area change (%FA)
48
What does fractional shortening measure?
Change in linear LV internal diameter from diastole to systole
49
What does decreased %FS suggest?
Reduced systolic function
50
What does fractional area change measure?
Change in LV chamber area between diastole and systole
51
What does M-mode show?
LV chamber size and wall motion over time
52
When is the LV chamber largest?
Diastole
53
for L 4-chamber view, transducer position is on the
left side
54
for L 4-chamber view, marker dot position ..
toward back hip
55
L 4-chamber view can evaluate
LV function aortic outflow velocity valve function (AV, MV, TV) look for mass (RA)
56
what view? and ID them
left 4 chamber view
57
LV is measured by which mode
m mode and 2D
58
LA is measured by which mode?
m mode and 2D to measure LA/Ao ratio
59
How is systolic function evaluated on echo?
By comparing LV size in diastole vs systole
60
to estimate contractile function, you measure
fractional shortening fractional area ejection fraction
61
what does ejection fraction measure?
change in the volume of the LV from diastole to systole
62
ejection phase indices?
most common evaluation of systolic fxn change in size of LV from diastole to systole expressed as a %
63
this view is short-axis
64
T/F Fractional shortening (%FS) is a one dimensional method of assessing systolic function looking at points along a line "through" the heart using m-mode technique
true
65
On an echo exam, turbulent blood flow is coded by Color Doppler as green flow. This green flow...
Often shows us the anatomic location for the genesis of an audible heart murmur
66