What are the possible outcomes of an acute inflammation response?
What is acute inflammation of the skin called?
Dermatitis
What is acute inflammation of the pancreas called?
Pancreatitis
What is acute inflammation of the stomach called?
Gastritis
For the image below:
a. Name the condition
b.

a. Actopic dermatitis (Eczema)
b.
State what the mechanism behind atopic dermatitis is and breifly describe it:
The mechanism is Type 1 Hypersensitivity. Invovles the binding of IgE proteins to the mast cell then responding to the allergen and degranulating.
Below is a diseased stomach.
a. Name the condition
b.

a. Acute gastritis
b.
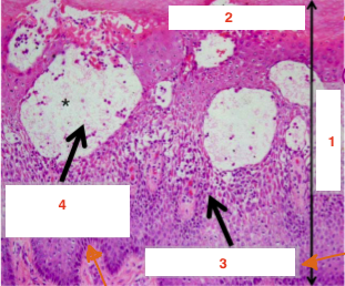
Below is a normal stomach- name parts:

a. Name the condition shown on the right
b.

a. Acute pancreatisis
b.
Define the term transudate:
Non-inflammatory increase in interstitual fluid (ISF)
Define the term “modified transudate”:
A transudate that is high in protein but low in cells (e.g. congestive heart failure)
What is meant by the term Oedema?
Non-inflammatory increase in interstitiual fluid (ie. transudate)
What is meant by the term exudate?
Inflammatory increase in interstitual fluid
What is meant by the term effusion?
Exudate into the body cavity (e.g. peritonial, pericardial, pleural)
a. ) Name the type of exudate below
b. ) What is it’s function

a. ) Serous Exudate/Effusion
b. ) Functions to dilute the pathogen and facilitates cell migration
a. ) Name the type of effusion shown below
b. ) Name the components of the effusion
c. ) What could cause this condition in the lungs

a. Sero-sanguineous exudate/effusion
b. The components = serous fluid + blood
c. In the lungs this is often the result of primary or metastatic pleural tumours
a. Name the type of exudate/effusion shown below
b. What is the cause of this?
c. What types of conditions cause this?

a. Fibrinous exudates/ effusions
b. Much extensive vascular leakage and clotting. There is an increase in extravascular fibrinogen
c. Characteristic of infectious inflamation of body cavities
a. Name the type of exudate/effusion shown below
b. What type of infection will cause this?

a. Sero-fibrinous exudate/effusion
b. A feline viral infection e.g. Feline Coronavirus
a. Name the type of edudate that is shown below
b. What is the composition of the exudate that is shown below?
c. What was the likely cause of the exudate that is shown below?

a. Purulent Exudates/Effusions
b. dead and dying neutrophils and necrotic tissue debris
c. bacterial infection
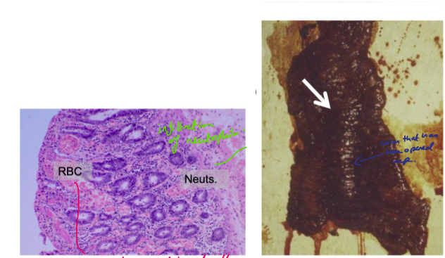
a. What is the name of the effusion/exudate that is shown below?
b. Compare the colour of the effusion to a sero-anginous effusion
c. What would cause the type of effusion that is shown below?

a. Haemorrhagic exudate/effusion is shown below
b. Dark red in comparison to a sero-sanguinous effusion
c. Inflammation associated with extesnive damage to blood vessels
What is an abscess and what is the cause of one?
Localised purulent infection caused by the seeding to pyogenic bacteria into a small space. For example the inhalation of bacteria (bronchopneumonia).
What is ulceration? What is the cause?
Full thickness loss of mucosal surface or epidermis. Caused by the inflammation and shedding of necrotic tissue.