What is the effect of decreases ATP on the cell?
Multiple downstream effects result from this
What is the effect of mitochondrial damage on the cell?
Leakage of multiple pro-apoptotic proteins
What is the effect of entry of Ca2+ into the cell?
Increased mitochondrial permeability and activation of multiple cellular enzymes
What is the effect of an increase in reactive oxygen species?
Damage to lipids, proteins and DNA
What is the effect of membrane damage on the cell?
Plasma membrane - loss of cellular components Lysosomal membrane - enzymatic digestion of cellular components
What is the effect of protein misfolding and DNA damage?
Activation of proapoptotic proteins (can be inherited or spontaneous diseases leading to the misfolding of proteins)
What are the two main ways that cell death can occur?
Necrosis and apoptosis
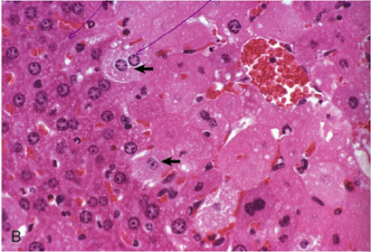
Name the cell change that has taken place in this image (note it is liver) - to the left is normal hepatocytes

hydropic change
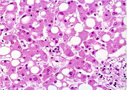
Name the change that has taken place in the image below:

fatty change
What is the one thing that will always lead to irreverable cell injury?
Loss of plasma membrane integrity
What are the two mechanisms of cellular degradation that can occur?
Endogenous enzymes - “autolysis” - post mortem autolysis or necrosis
Exogenous enzymes - “heterolysis” - lysosomes of migrating neutrophils, lysins released by bacteria
How long does it take for necrosis to become visisble and what is the gross appearance?
The tissue will be quite soft. At a cellular level this can be detected in minutes. Light microscopic changes are detectable witihin 8-12 hours. 24-48 hours for gross necrosis.
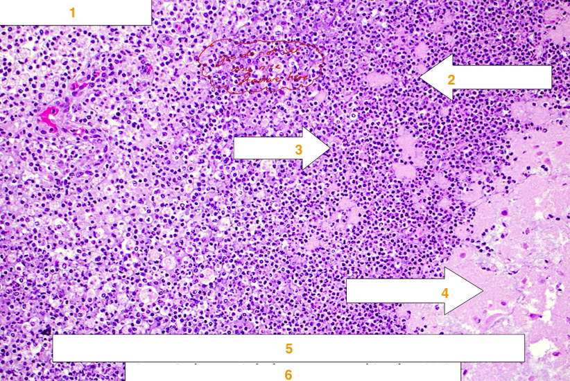
What is the pattern of necrosis shown below and what is the likely cause of it?

Mutlifocal random. Usually an infectious cause
What is the pattern of necrosis that is shown below?

Massive necrosis - usually a toxic or nutritional cause
What is the pattern of necrosis that is shown below?

Regional or zonal -usually toxic, hypoxic or metabolic causes
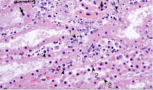
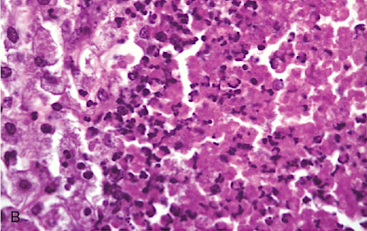
Name and describe the processes that are occuring below:
Arrows:
Arrowhead:
Arrowhead 1:
Arrohead 2:

Arrows: nuclear pyknosis- irreversible condensation of the chromatin
Arrowhead: karyorrhexis - fragmentation of the nucleus
Arrowhead 1: karyolysis - dissolution of the cells nucleus
Arrohead 2: cells eosinophilic, shrunken, lose adherance to the BM
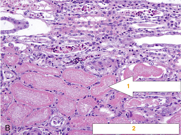
Name the following features in the diagram below, organ location and the type of necrosis:

The architecture still exists however however cells have no nuclei
See histological image below:

Name the type of necrosis that is present on the histological slide below:

caseous necrosis
Name the type of necrosis that is seen in the image below:

Fat Necrosis
Name the following features on the slide of fat necrosis below:

Name the type of gangrene in the image below:

Dry gangrene
Name the process that is shown in the image below:

Wet gangrene
Name the process shown in the image below:

gas gangrene