What are the mechanisms of intracellular accumulations?
What are some examples of exogenous pigment disorders?
Breifly explain how this defect occurs:

Tyrosine is converted to melanin via the enzyme tyrosinase. This process also require copper in the tissue, hence excess copper causes accumulations of melanin (as above)
Briefly describe how a congenital melanin deficiency occurs (for example in an albino animal)?
Tyrosinase mutation (even though the precursor tyrosine is present it cannot be converted melanin)
Provide an example of an acquired melanin deficiency:
What causes the lipid peroxidation into lipofuscin?
Aging - “wear and tear” pigment
What types of cell does lipofuscin accumulate in?
accumulates in non-dividing cell (neurons, cardiac muscle) and in hepatocytes
Is the accumulation of ceroid in tissues physiological or pathological?
ceroid is generally pathological
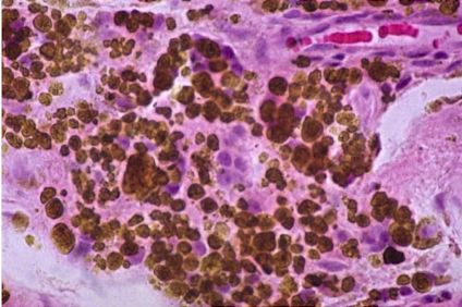
Briefly describe the slide below and describe the process that is occuring:

Coarse, granular, golden-brown pigment. Haemoglobin in RBC breaks down into haemosiderin (an accumulation in tissues)

Provide an example of a localised cause of haemosiderin accumulation and a generalised cause of haemosiderin accumulation:
Localised: haemorrhage/brusing, chronic congestion e.g. lungs - heart failure cells
Generalised: haemochromatosis, red blood cell transfusions, iron supplements, haemolysis
What is the jaundice and what is the cause of it?
Yellow tissue discolouration. Caused by hyperbilirubinaemia
What are the three causes of hyperbilirubinaemia? (provide and example of each)
What are the four different types of photosensitivity?
Type 1 (primary) - photodynamic agent ingested, injected or absorbed
Type 2 (aberrant metabolism) - inherited defects in enzymes involving haeme synthesis (resulting in porphyrin accumulation)
Type 3 (secondary/ hepatogenous) - liver disease resulting in build up of phylloerythrin (a porphyrin) normally derived fro breakdown of chlorophyll by GIT microflora - normally abosrbed into the circulation and effectively excreted by liver into bile
Type 4 - idiopathic
What are the four different types of amyloidosis?
Immune/primary amyloid: plasma cell tumours > Ig light chains produced by monoclonal cells > AL amyloid (systemic)
Endocrine/inherited amyloid: Oritental cat breeds - pancreatic islet localised > islet polypeptide (localised)
Prions: prion protein (localised to CNS)
Reactive/secondary amyloid: chronic inflammation (TB, osteomyletitis, glomerulonephritis) > Macs activated > Macs release IL1 and Il2 > serum amyloid A protein made in the liver > AA amyloid
How does amyloidosis cause pathology?
Extracellular eosinophillic deposit > compress tissue > cell atrophy/death > loss of function
Name the process that is occuring in the tissue below:

AA Amyloidosis
Relate the causes of lysosomal storage conditions to the pathology that is commonly observed:
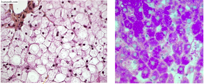
Name the condition that is shown below:

Lysosomal storage disease - abundant foamy cytoplasm
What is the cause of glycogen accumulation within tissues?
Abnormalities in either glucose or glycogen metabolism are generally caused by metabolic diseases e.g. diabetes mellitus, hyperadrenocorticism, glucorticoid adminisitration, alcoholism, liver diseases, genetic glycogen storage diseases
What is the condition below?

Glycogen accumulation within tissues
What is the cause of lipid accumulation within tissues?
Common causes include toxins, protein malnutrition, diabeties mellitus, obesity, alcohol abuse, late term pregnancy and liver disease
What is the name of the condition within the liver below?

Lipidosis
Briefly describe the pathogensis of gout:
How does renal failure result from crystal depostion (provide the pathogenesis)?