What factors affect cells and tissues ability to adapt?
What are adaptive changes:
Reversible changes in mature cells and tissues after growth has occurred.
Define the term atrophy:
A reduction in the size or amount of the organ, tissue or cell. This is due to a decrease in the size and/or number of specialized cells or organelles. This can be physiological or pathological
Describe the mechanism behind atrophy occurring:
Increase in apoptosis is responsible for decrease in number of cells. The remaining cells survive at a small size - fewer mitochondria, myofilaments and ER. The reduction in cell size is associated with catabolism > anabolism
What are the causes of atrophy (provide one pathological and one physiological)?
Pathological: inadequate nutrition and decreased blood supply Physiological: decreased workload (disuse)
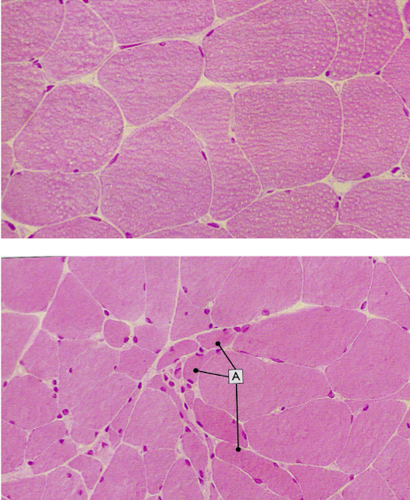
What process has occured in this histological slide and how can you tell?

Muscle atrophy - nuclei look more concentrates and each nuclei will also look a little bit more plump
Define the term hypertrophy:
Increase in the size of an organ or tissue due to an increase in the size of its specialised cells
What types of cells will hypertrophy typically occur in?
Cells with an increased workload that cannot divide e.g. muscle
What is the appearance of hypertrophic cells on a histological slide?
General increase in the number of organelles which increases the size of the cell (limited by SA: vol ratio)
Provide an example of compensatory and hormonal hypertrophy:
Compensatory: removal of a kidney, increased workload - striated and cardiac muscle
Hormonal: pregnancy causing uterine hypertrophy
What are the mechanisms of hypertrophy?
Trophic triggers: growth factors, hormones, cytokines. May be produced endogenously or exogenously causing increased gene expression
OR
physical triggers - e.g. pressure stretching on the cell membrane
Name the two processes occuring in the image below:

What is meant by the term hyperplasia?
An increase in the size of an organ or tissue due to an increase in the number of specialised cells. May be due to physiological or pathological causes.
Provide an example of physiological hyperplasia and an example of pathological hyperplasia:
Physiological hyperplasia: haematopoetic system after blood loss, mesentric lymph nodes
Compensatory/reactive: cyclical changes in mammary gland or endometrium
Pathological hyperplasia: hormonal excess - XS erythropoietin, XS estrogen, reparatory - to restore architecture or function, infectious organisms
Define the term metaplasia:
change from one type of specialised fully differentiated adult cell to another adult cell type (often less specialised)
Why does metaplasia normally occur?
generally metaplasia is a protective response - often a response to a chronic irritant
How does metaplasia generally occur?
reprogramming of stem cell by cytokines, growth factors (TGF-B), ECM components
Define the term dysplasia:
It is disordered growth that generally occurs in the epithelium. It often occurs in metaplastic/hyperplastic epithelium. This results in a loss in uniformity of individual cells plus losses in architectural organisation. It may progress to neoplasia.