What is too much blood flow called and what are the two types of it?
Too much blood is called hyperaemia. It can be separated into active where too much blood is being delivered or passive where not enough blood is being taken away
Is hyperaemia localised or generalised and is it pathological or physiological?
Hyperaemia can be both localised or generalised and can be physiological or pathological (part of the acute phase of inflammation to deliver cytokines and cells)
What is the name for too little blood delivery?
ischemia
The two different types of ischemia that occurs are hypovolaemia and anemia, explain the difference between them.
Hypovolaemia- all of them Anaemia- just the red blood cells (note that neither of these are never likely to just be localised)
How would passive hyperaemia appear histologically?
Lower venous drainage causing capillary beds to become engorged with blood
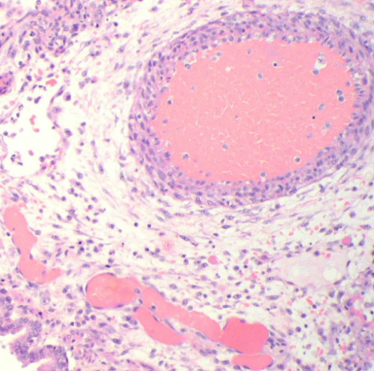
What is the cause of the histological slide seen below?

This is likely caused by active hyperaemia. Notice in the image that there is increased arterial blood supply and that the capillary beds are engorged with blood. However, this is not fool proof as you can get a backing of venous that backs up into the artery
Explain the physiological conditions at play with blood volume expansion:

What are the effects of natriuretic peptides?

How does reduced tissue perfusion (hypoxia) result?
What is the occurs in the first stage of hypovolaemia (residistribution)?
What is involved in stage two (restoration of blood volume) physiological response to hypovolaemia?
What is involved in stage three - replacement of blood cellular components in response to hypovolemia?
What is involved in shock?