What are the 6 stages in the systematic approach to looking at X-rays?
How can this be remembered?
_P_eople _a_re _s_illy - _c_an _b_reak stuff
What is meant by checking the patient and image data?
why is it important?
check the patient’s name and date of birth
check you have the X-ray from the correct date as patients may have many chest X-rays
What is meant by checking the cortical outline?
trace the outline of all the bones which are visible
look for breaks or disturbances within the cortex
What are the 3 main viewing principles when it comes to X-rays?
Why should you compare a current X-ray with previous images?
if an abnormality is identified, you need to see if this has been present in previous X-rays
the problem may not be new
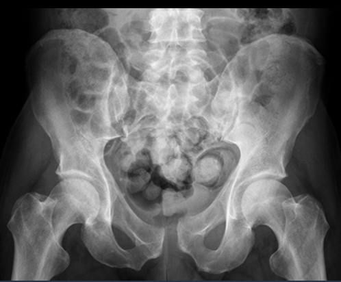
What is represented by 1 and 2 in the AP pelvic radiograph?

1. sacrum
a. ala
b. foraminae
2. sacroiliac joint
What is represented by 3 and 4 in the AP pelvic radiograph?

3. ilium
a. crest
b. ASIS
c. AIIS
4. ischium
a. spine
b. tuberosity
What is represented by 5 in the AP pelvic radiograph?

5. pubis
a. body
b. superior ramus
c. inferior ramus
d. symphysis
What is represented by 1 in the AP left hip radiograph?

1. femur
a. head
b. neck
c. greater trochanter
d. lesser trochanter
e. shaft
What is shown by 2, 3, 4 and 5 in this AP left hip radiofraph?

What is shown by the arrows on the lateral hip radiograph?

1. femur
a. head
b. neck
c. greater trochanter
d. lesser trochanter
e. proximal shaft
2. acetabulum
3. ischial tuberosity
What is shown by 1 on the AP right knee radiograph?

1. femur
a. distal shaft
b. lateral condyle
c. medial condyle
What is shown by 2 on the AP right knee radiograph?

2. tibia
a. proximal shaft
b. spines/intercondylar eminence
c. lateral plateau
d. medial plateau
What is shown by 3 and 4 on the AP right knee radiograph?

3. patella
4. fibula
a. head
b. proximal shaft
What is shown in the lateral knee radiograph?

What is shown in the AP right ankle radiograph?

1. tibia
a. distal shaft
b. plafond
c. medial malleolus
2. fibula
a. distal shaft
b. lateral malleolus
3. talus
What is the name for the articulation between the tibia and fibula?
syndesmosis fibrous joint
it is maintained by the interosseous membrane and the ligaments around the 2 bones
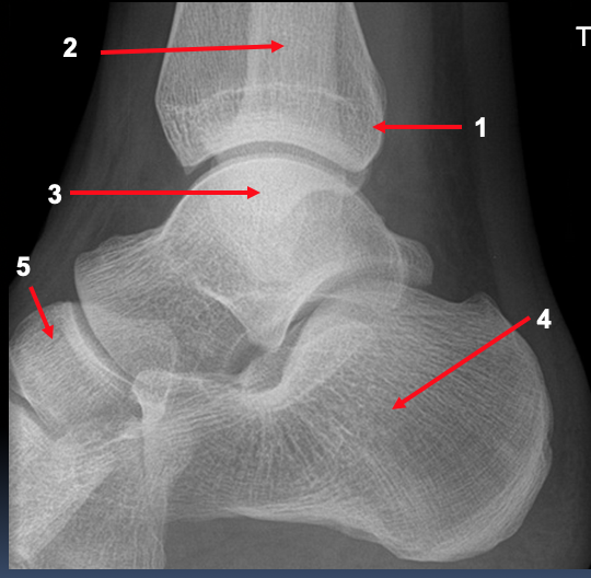
What features are shown on the lateral ankle radiograph?

Why may ankle fractures sometimes be called ‘tri-malleolar’?
if there is involvement of the posterior malleolus
this is the region of the tibia which projects distally
What is shown here?
Which age group is usually affected?

fracture of the superior and inferior pubic rami on the right-hand side
common in elderly patients through trips, low-energy falls
What condition is shown here?

diastasis of the pubic symphysis
this is where the pubic symphysis is wider than it should be
What condition is shown here?

neck of femur fracture
this is common in elderly people following a fall
Why does the neck of femur fracture appear different to most other fractures?
the fracture looks white rather than black
this is due to the impaction where the bones are driven into each other, leading to increased bone density at the site of the fracture
usually a fracture looks black as the bones are separated and air is present
Why is the lesser trochanter more visible in a neck of femur fracture?
the leg is pulled into external rotation when the neck of femur is fractured
this makes the lesser trochanter more visible anteriorly