Stroke Flashcards

(37 cards)

1
Q

What are the 4 things that must be present in the clinical diagnosis of stroke?

A
  1. Sudden onset
  2. Focal neurological deficit
  3. Of presumed vascular origin
  4. Symptoms lasting more than 24 hours or leading to death

excludes lesions associated with trauma, infection or tumour, retinal infarction and most cases of SAH

How well did you know this?
1
Not at all
2
3
4
5
Perfectly
2
Q

What is the main difference between stroke and TIA?

A

In a TIA, symptoms are lasting less than 24 hours

How well did you know this?
1
Not at all
2
3
4
5
Perfectly
3
Q

What aspect of stroke care is the most expensive?

A

Community care

this is looking after the disabled following a stroke

this is the largest proportion of the cost of caring for a stroke patient

How well did you know this?
1
Not at all
2
3
4
5
Perfectly
4
Q

How is the number of strokes likely to change in the future?

A

There has been progress in primary prevention, although the number of strokes is likely to increase in the future

this is due to the ageing population and greater proportion of the population being elderly

there is an exponential increase in stroke incidence in the elderly

How well did you know this?
1
Not at all
2
3
4
5
Perfectly
5
Q

What are the 2 different types of stroke?

A

Haemorrhagic or infarction

How well did you know this?
1
Not at all
2
3
4
5
Perfectly
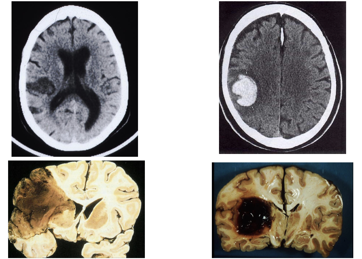
6
Q

What types of stroke are shown in the images?

A
How well did you know this?
1
Not at all
2
3
4
5
Perfectly
7
Q

What are the two different causes of ischaemic stroke?

A

Thrombosis:

  • large arteries (mainly extra-cranial e.g. vertebral, carotid)
  • small arteries (mainly intra-cranial)

Embolism:

  • a clot travels to the brain from elsewhere in the body
  • from the heart - cardiogenic embolism
  • from proximal arteries - artery to artery embolism
How well did you know this?
1
Not at all
2
3
4
5
Perfectly
8
Q

What are the stages involved in atheromatous-thrombo-embolism?

A
  1. Atheromatous plaque forms as the result of stenosis

This occurs due to sheer stresses on the artery wall at the point of bifurcation

  1. This leads to mural thrombus
  2. Part of the thrombus may break off and form an embolus

or

the artery can be occluded entirely by an occlusive thrombus

How well did you know this?
1
Not at all
2
3
4
5
Perfectly
9
Q

What arteries are most commonly implicated in ischaemic stroke?

A

Large arteries in the neck

e.g. Internal carotid artery

How well did you know this?
1
Not at all
2
3
4
5
Perfectly
10
Q

How do emboli form from a cardiac source?

A
  • Atrial fibrillation is the main source of blood clots
  • the atria contract at a different rate to the ventricles, leading to stasis of blood in the left atrium and clot formation
  • clots dislodge, leading to ischaemic stroke
How well did you know this?
1
Not at all
2
3
4
5
Perfectly
11
Q

What are other cardiac sources of embolism?

A
  1. Endocarditis - an infection on the heart valve
  2. Tumours within the ventricles
  3. Thrombus may form at a site of previous MI
How well did you know this?
1
Not at all
2
3
4
5
Perfectly
12
Q

What vessel tends to be implicated in small vessel disease and how can it be identified?

A

The middle cerebral artery is injected with contrast

the arteries affected are the lenticular striate arteries which take blood to the internal capsule

even a small ischaemic stroke (lacunar stroke) can interrupt the motor pathway and lead to loss of function

How well did you know this?
1
Not at all
2
3
4
5
Perfectly
13
Q

What are the % of cases caused by different mechanisms of ischaemic stroke?

A

Large vessel atherosclerosis - 40%

cardioembolism - 30%

intracranial small vessel disease - 25%

other - 5%

How well did you know this?
1
Not at all
2
3
4
5
Perfectly
14
Q

What is the population attributable risk for stroke (modifiable factors)?

A
  • Hypertension
  • lifestyle factors - obesity, diet, lipids, exercise, smoking
  • cardiac (AF)
  • diabetes
  • other

all of these risk factors can be modified

How well did you know this?
1
Not at all
2
3
4
5
Perfectly
15
Q

How does hypertension and atrial fibrillation change with age?

A

They both increase in prevalence with increasing age

ageing population in the country means that these will be seen more often in the future

if they are not controlled, the downstream effect will get worse i.e. development of atheromatous disease

How well did you know this?
1
Not at all
2
3
4
5
Perfectly
16
Q

What is meant by secondary stroke prevention?

A

Preventing any further events from occurring after a patient has already had a stroke

17
Q

What does an odds ratio of 1 mean?

A

There is no benefit to one treatment over another

18
Q

What does this diagram show about the effect of aspirin on treating stroke?

A

To the left:

this shows that there is a benefit in taking aspirin

even if there is a small benefit to an individual e.g. preventing vascular death, this may have large population benefits when given to lots of people

19
Q

What does this graph show about the benefits of taking aspirin to prevent the early risk of recurrent ischaemic stroke?

A
  • The benefit of taking aspirin is visible within the first few weeks following the initial stroke
  • as endothelium forms over the embolus, the chance of recurrence is higher in the first 12 weeks
  • the early use of aspirin is effective
  • if symptoms have resolved within a few hours (TIA), this will never be due to haemorrhage
20
Q

What does this diagram show?

A

It shows the annual risk of recurrent stroke in patients who are in atrial fibrillation

the clot forming on atheromatous plaque mainly consists of platelets

clot forming in the heart is more fibrin and more likely to respond to anticoagulants

12% risk of recurrence can be reduced to 4% through anticoagulantion

22
Q

What does this graph show?

A

Treating patients early with “urgent” endarterectomy leads to a greater benefit

This procedure is given to a smaller population but has a large benefit

statins and blood pressure tablets can be given to a larger population but have a smaller overall benefit

23
Q

What is meant F.A.S.T. Campaign for public education about stroke?

A

Face:

  • has their face fallen on one side?
  • can they smile?

Arms:

  • can they raise both arms and keep them there?

Speech:

  • is their speech slurred?

Time:

  • it’s time to call 999 if you see any of these signs
    *
24
Q

What are the stages involved in the pathophysiology of acute ischaemic stroke?

When does intervention need to occur?

A
  • Initial reduction in cerebral blood flow
  • alterations in cellular chemistry caused by the ischaemia
  • cellular necrosis

intervention needs to occur before cellular necrosis

25
What are the thresholds of cerebral ischaemia?
1. Normal function 2. Electrical function impaired 3. Release of K+ and movement of water intracellularly 4. Cell death
26
What do the thresholds of cerebral ischaemia show? Where should intervention occur?
* A substantial drop in blood flow to the brain can occur without having any symptoms * electrical function of neurones is impaired and the patient has symptoms but neurones are structurally intact * cellular integrity begins to disappear * point of intervention (blue) where the patient has symptoms but cell death has not yet occurred
27
Label the following features What are they?
Core infarct - cells have irreversibly died here penumbra - this is salvageable as there is reduced blood flow but no symptoms
28
How does the size of the core and penumbra change over time?
The core increases in size and the penumbra decreases in size as time continues
29
What is meant by a "clot-busting" cure for strokes?
An intravenous injection of a drug that dissolves the clot this is known as thrombolysis
30
what does this graph show about the use of thrombolysis for acute ischaemic stroke?
If you were treated within 3 hours, your risk of becoming dead or dependent is reduced by 34% 1 in 10 patients who would walk out dead or dependent instead walk out symptomless there is a risk of symptomatic intracranial haemorrhage as the drug thins the blood by large amounts
31
Why is stroke now considered an emergency?
Due to time dependency even treating someone 5-10 minutes earlier can have large impacts on recovery treatment under 3 hours increases the odds of a good outcome by 50%
32
What is shown in this scan? What would the treatment be and how would it work?
The white dot occurs where the middle cerebral artery enters the fissure there is an acute clot in the MCA that supplies the anterior 2/3 of the brain IV thrombolysis would be given opening up the arteries leads to a better outcome as oxygen and glucose are being delivered to the brain this stops the core from expanding
33
How can recanalisation affect ischaemic stroke outcome?
Early recanalisation is strongly associated with improved functional outcome and reduced mortality recanalisation within 6 hours of onset increases the odds of a non-disabled outcome 6 fold
34
What % of ischaemic stroke is caused by proximal anterior circulation large vessel occlusion? What about deaths or severe disability?
Proximal anterior circulation large vessel occlusion accounts for 18 - 25% of all ischaemic stroke but it accounts for 60-70% of deaths or severe disability
35
What is the problem with using IV thrombolyis on large vessel occlusion?
Larger clots will not dissolve as well with IV thrombolysis as well as small clots will the large vessel occlusion may not respond to the only available acute treatment
36
What is the treatment for proximal anterior circulation large vessel occlusion?
**Stentrievers** * place stent across the occlusion and leave in position for 10 mins * reperfuse brain * most clot will lose naturally or improves efficacy of IV tPA * withdraw stent with smaller clot 'core'
37
How do stentrievers work?
Catheter is inserted into the groin and fed into the artery it is pushed through the clot to open up the occluded vessel and restore blood flow it is similar to a stent, but it is not left inside the artery The stentriever is removed and the clot comes with it