Primary Vesicles
Appears during the 4th week of development.
Rostral ⇒ Caudal
Two flexures present in the neural tube at this stage:

Secondary Vesicles
Appears during 5th week of development.
Two primary vesicles become subdivided.
Rostral ⇒ Caudal
A third flexure develops in additional to the previous two:

Major Developmental Events
Primary Neurulation
Occurs during 3rd and 4th week of embryonic development.

Three Vesicle Brain
During the 4th week of development:

Five Vesicle Brain
During the 5th week of development:

Neural Tube Closure

Rachischisis
Defects in neural tube closure.
Anencephaly

Spina Bifida
Developmental defects in caudal vertebral column, meninges, and/or spinal cord.

Holoprosencephaly

Secondary Neurulation
Begins during 4th week and completed 6-7th week of development:
Fourth Ventricle Formation

Neurulation
Late Stage
Occurs during the 8-12th weeks of development:

Neuronal Proliferation and Migration
Occurs during the 8th - 16th weeks of development
Timing of a neuron’s final division (birthday) determines migratory site.
Location determines function.
Migration guided by radial glial cells which extend from ventricular zone to surface of the marginal layer.

Neuron Death
Factors Determining
Neuron Connectivity and Function
Microcephaly
Decreased brain size due to defect in neuronal proliferation.
Skull is also smaller due to brain size.

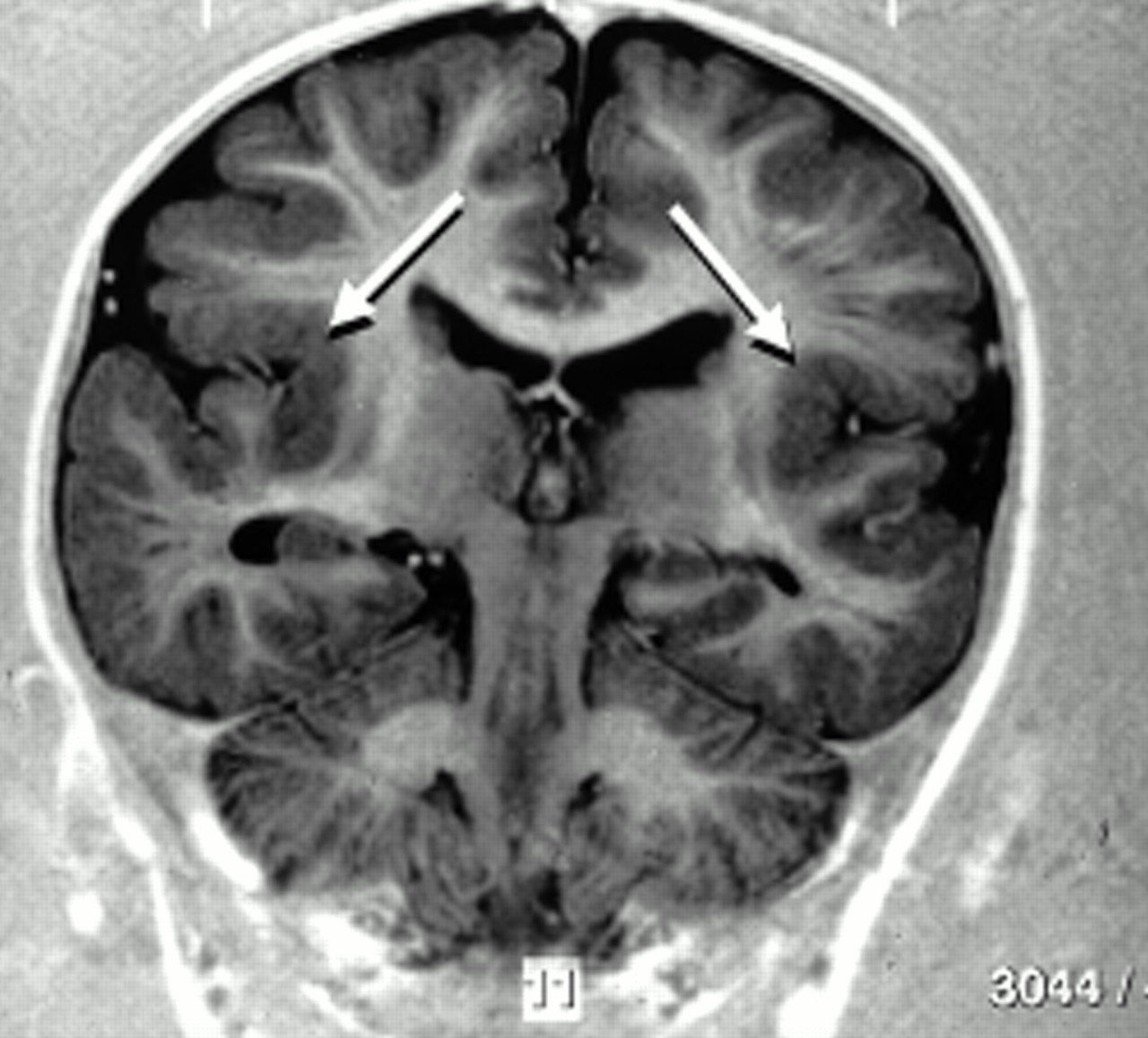
Lissencephaly
“Smooth Brain”

Pachygyria
“Thick Gyri”

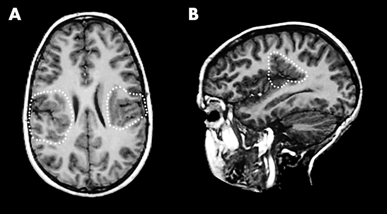
Polymicrogyria
Characterized by numerous small gyri
Due to interference in neuronal migration

Cortical Heterotopias
Misplaced neural tissue.

Toxic Exposure
During 3rd Month of Gestation
Axonal Outgrowth
&
Synapse Formation
Occurs during 16th-40th weeks of development.
Characterized by prolific synaptogenesis.
