Njursten Flashcards

(32 cards)

1
Q

Sten i övre urinvägar

  • Övre urinvägar
    o Njursten och uretärsten (blåssten (nedre urinvägar) orsakas av resurin (bakterier kvar som klumpar ihop och bildar kristallet osv))

Stenen i övre urinvägar bildas i njuren och när de ligger i calyxhals så ger de oftast ingen smärta (leta då efter annan orsak) om patienten har smärta. Men vad ger smärta vid njursten?

A

När den börjar röra på sig och stenen fastnar och obstruerar urinvägen (oftast uretären)

How well did you know this?
1
Not at all
2
3
4
5
Perfectly
2
Q

Övre njurstenar kan delas in hur geografiskt?

A

o Calyxstenar
o Njurbäcken
o Pelvouretärövergången (bilden)
o Uretär (proximalt, mitten eller distalt)

How well did you know this?
1
Not at all
2
3
4
5
Perfectly
3
Q

Förklara hur calyx och njurbäcken är belägna i njuren

A
How well did you know this?
1
Not at all
2
3
4
5
Perfectly
4
Q

Epidemiologi njursten

  • Folksjukdom där prevalensen ökar (pga metabolt syndrom)
  • 10-20 % av männen och 5 % av kvinnorna får minst en symtomgivande sten.
  • Recidivrisken är 50 % över en 10 års period.
    o De allra flesta får endast ett recidiv men det finns en grupp om ca 10 % av recidiverande stenbildare som kan kallas för högriskstenbildare.Vilka riskfaktorer är viktiga för att drabbas av njursvikt?
A

Genetiska faktorer liksom diet, hypertoni och övervikt (som tecken på metabolt syndrom).

How well did you know this?
1
Not at all
2
3
4
5
Perfectly
5
Q

Högriskstenbildare

  • Allmänt
    o Tidig debut
    Om urinstenen består av, ja vad så är det högre risk?
A

Brushite, urinsyra eller infektionssten

How well did you know this?
1
Not at all
2
3
4
5
Perfectly
6
Q

Högriskstenbildare

  • Allmänt
    o Tidig debut
    o Om urinstenen består av brushite, urinsyra eller inektionssten
    Eventuella bakomliggande sjukdomar som orsak (nämn två iaf)?
A

o Hyperparatyroidism (alla med njursten utreds först med joniserat kalcium, sedan kan man skicka dem vidare)
o Metabolt syndrom
o Polycystisk njursjukdom
o Sarkoidos

How well did you know this?
1
Not at all
2
3
4
5
Perfectly
7
Q

Högriskstenbildare

  • Allmänt
    o Tidig debut
    o Om urinstenen består av brushite, urinsyra eller inektionssten
  • Bakomliggande sjukdomar
    o Hyperparatyroidism (alla med njursten utreds först med joniserat kalcium, sedan kan man skicka dem vidare)
    o Metabolt syndrom
    o Polycystisk njursjukdom
    o Sarkoidos
    Genetiska avvikelser?
A

Cysteinuri, primary hyperoxaluri

How well did you know this?
1
Not at all
2
3
4
5
Perfectly
8
Q

Högriskstenbildare

  • Allmänt
    o Tidig debut
    o Om urinstenen består av brushite, urinsyra eller inektionssten
  • Bakomliggande sjukdomar
    o Hyperparatyroidism (alla med njursten utreds först med joniserat kalcium, sedan kan man skicka dem vidare)
    o Metabolt syndrom
    o Polycystisk njursjukdom
    o Sarkoidos
  • Genetiska avvikelser
    o Cysteinuri, primär hyperoxaluriGe exempel på två orsaker till, en som har med anatomi att göra och en på miljö
A
  • Anatomiska avvikelser
    o Att urinen inte rinner av tillräckligt bra från njuren, kristaller i urin har större risk att klumpa ihop sig och bilda stenar innan de når blåsa
  • Miljöfaktorer
    o Varma länder
    o Vissa ämnen (bly och kadmium)
How well did you know this?
1
Not at all
2
3
4
5
Perfectly
9
Q

Primärprevention njursten

  • Livsstilsfaktorer påverkar risken att drabbas av njursten. Övervikt och högt blodtryck (metabolt syndrom) är associerat med förhöjd risk.

Så har du några tips till någon som vill minska risken för njursten?

A

o Viktnedgång
o Motion
o Vätskeintag – gärna 2,5 liter/dygn
o Minska intag av animaliskt protein. Högt intag leder till lågt urin-pH, hyperoxaluri, hypocitraturi

How well did you know this?
1
Not at all
2
3
4
5
Perfectly
10
Q

Patientfall

42 årig frisk man söker med akut insättande smärta vänster flank med utstrålning mot ljumske. Kräkts en gång. Intervallartad smärta. VAS 10. Skriker och vankar runt i undersökningsrummet.
Status

  • AT: Smärtpåverkad.
  • Hjärta: RR, inga blåsljud. Puls 95 s/m
  • Lungor: sidlikt ua.
  • BT: 150/90
  • Buk: Mjuk, tarmljud ua. Sammanfallen. Dunköm vä flank.
  • PR: ua.
  • Skrotum: ua
  • Temp 38,1 C
    Lab: Hb 145. LPK 18. CRP 70. Krea 115. U-sticka 2+Leu, positiv nitrit.

Diff diagnoser? Även om detta fall är tydligt

A
  • Divertikulit. UVI/pyelonefrit. Ileus. Appendicit. Perforation/fri gas. Gallsten/cholecystit. Aortadissektion. Muskuloskeletal smärta. Ektopisk graviditet. ruptur/torsion av ovarialcysta. Dysmenorré.
How well did you know this?
1
Not at all
2
3
4
5
Perfectly
11
Q

Hur kan vi i regel handlägga en njurstenpatient på akuten konservativt?

A

Om patienten är smärtlindrad kan den gå hem och utredas polykliniskt

How well did you know this?
1
Not at all
2
3
4
5
Perfectly
12
Q

Patientfall

42 årig frisk man söker med akut insättande smärta vänster flank med utstrålning mot ljumske. Kräkts en gång. Intervallartad smärta. VAS 10. Skriker och vankar runt i undersökningsrummet.
Status

  • AT: Smärtpåverkad.
  • Hjärta: RR, inga blåsljud. Puls 95 s/m
  • Lungor: sidlikt ua.
  • BT: 150/90
  • Buk: Mjuk, tarmljud ua. Sammanfallen. Dunköm vä flank.
  • PR: ua.
  • Skrotum: ua
  • Temp 38,1 C
    Lab: Hb 145. LPK 18. CRP 70. Krea 115. U-sticka 2+Leu, positiv nitrit.
    Hur gör vi med patienten i fråga, hur går vi vidare? Och varför gör du så?
A
  • Remiss DT Buköversikt (sten-DT)
  • Sten, stegrat kreatinin (stas) och CRP, feber –> risk för stas (avstängd pyelit)
How well did you know this?
1
Not at all
2
3
4
5
Perfectly
13
Q

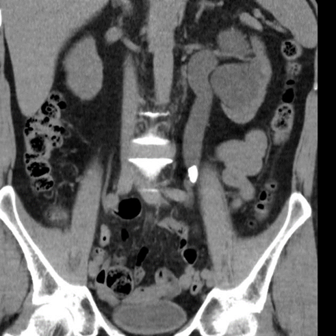
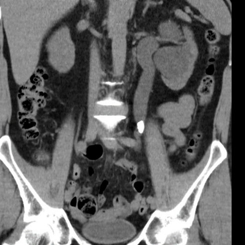
Vad ses på bilden?

A

Samlingssystemet med uttalad hydronefros, uttalad hydrouretär ned till konkrement i övergång mellan proximal uretär och mellersta delen ureätär

How well did you know this?
1
Not at all
2
3
4
5
Perfectly
14
Q

42 årig frisk man söker med akut insättande smärta vänster flank med utstrålning mot ljumske. Kräkts en gång. Intervallartad smärta. VAS 10. Skriker och vankar runt i undersökningsrummet.
Status

  • AT: Smärtpåverkad.
  • Hjärta: RR, inga blåsljud. Puls 95 s/m
  • Lungor: sidlikt ua.
  • BT: 150/90
  • Buk: Mjuk, tarmljud ua. Sammanfallen. Dunköm vä flank.
  • PR: ua.
  • Skrotum: ua
  • Temp 38,1 C
    Lab: Hb 145. LPK 18. CRP 70. Krea 115. U-sticka 2+Leu, positiv nitrit.

DT visar

  • Samlingssystemet med uttalad hydronefros, uttalad hydrouretär ned till konkrement i övergång mellan proximal uretär och mellersta delen ureätär
    Hur bedömer du sammantaget patienten?
A
  • Sten, stegrat kreatinin (stas), DT visar hydronefros och förhöjda infektionsprover/feber  ska det tolkas som avstängd pyelit (avstängd infektion i njuren), AKUT!!
How well did you know this?
1
Not at all
2
3
4
5
Perfectly
15
Q

Hur ska du bildsätta en förmodad stenpatient (om du inte skickar hem en smärtlindrad sådan)? Gravida? Barn?

A
  • DT buköversikt utan kontrast (Sten CT / DT urinvägsöversikt) Förstahandsmetod.
  • Gravida: UL ev DT i samråd med gynekolog och radiolog vid misstanke om behandlingskrävande sten.
  • Barn: UL ev DT
How well did you know this?
1
Not at all
2
3
4
5
Perfectly
16
Q

Syns alla stenar på DT?

A
  • Ja
    o Indinavir (HIV-sten) möjligtvis inte
17
Q

Vilken smärtlindring ska en akut stenpatient ha?

A
  • Diklofenak supp, voltaren i.m. paracetamol.
    o Morfinderivat (ketogan sup) om inte ovan biter, eller allergi
18
Q

Akut handläggning

  • Smärtlindring. Diklofenak supp, Voltaren i.m. Paracetamol.
    o Morfinderivat (ketogan sup) om inte ovan biter, eller allergi
    Avlastning akut (kan bli septiska snabbt, viktigt identifiera snabbt )? Medicinering?
A
  • Splint (dubbel JJ-stent) alt Nefrostomi. Vid avstängd pyelit
    o Nefrostomi via flank UL-lett, urin ut i påse (förstaval då vi vet att denna funkar, vi får urin ut direkt liksom)
    o Splint (bilden) via urinröret till blåsen, sedan till uretärostiet, guidevajer till njure och sedan slang, när vajern dras ut krullar slangen till sig i njure (och även kringla i blåsan) och urin leds ut via denna slang
  • Antibiotika
    o Ska odlas och ha iv (kan snabbt bli septiska)
19
Q

Vad visar bilden?

20
Q

Klassificering av sten

  • Storlek
  • Lokalisation (njure, calyxhals, uretär?)
  • Hårdhet/täthet (mätt i HU)
  • Etiologi

Sammansättning, nämn de tre vanligaste typerna

A

o Kalciumoxalat/kalciumfosfat ca 80 % - oftast hårda
o Urinsyrastenar ca 10 % – oftast mjuka
o Infektionsstenar (karbonapatit/struvit) orsakade av ureas-producerande bakterier ca 9 %.
o Andra former ca 1 %

21
Q

Vilka behandlingsalternativ finns vid njursten?

A
  • Expektans
  • ESWL – Extrakorporeal stötvågslithotripsi
    o Stötvåg
  • URS – Uretärskopi med laserlithotripsi
    o Laser
  • PCNL – Perkutan nefrolitotomi
  • Laparoskopisk/robotassisterad stenextraktion
  • Perkutan alt oral kemolys (Renacidin – infektionssten, THAM – urinsyrasten)
    o Ett par nefrostomier i njuren, spolar med surgörande medel eller basiskt medel för att lösa upp stenar (THAM har högt pH och urinsyrastenen lågt)
22
Q

Kontraindikationer för stenavlägsnande behandling

  • För ESWL (stötvåg)
    o Graviditet. Ökad blödningsrisk. Arteriellt aortaaneurysm i området. Oreglerad hypertoni.
  • PCNL (perkutan nefrolithotripsi)
    o Graviditet. Ökad blödningsrisk. Malignitet i området.
  • URS (laser)
    o Inga särskilda kontraindikationer om patienten är operabel.
    Vilka generella kontraindikationer finns det?
A

Feber, obehandlad UVI

o Avlasta med antibiotika först, annars för stor risk för sepsis

23
Q

Behandling njursten

  • Stenar ≤ 6mm behandlas ej. Förväntas spontanpassage om de förflyttar sig. DT kontroll om högrisk stenbildare.
  • Asymtomatiska calyxstenar > 6mm. Ofta avstås behandling framförallt om stenen är belägen i nedre calyx
    Hur behandlas större njurstenar?
A
  • Njursten < 10 mm
    o Stötvåg eller laser, i andra hand PCNL – Perkutan nefrolithotripsi
  • Njursten 10-20 mm
    o Stötvåg eller laser
  • Njursten > 20 mm
    o PCNL – Perkutan nefrolithotripsi (för de stora!)
24
Q
  • Expektans vid sten ≤ 6mm
  • Alfablockerare har endast dokumenterad effekt att öka sannolikhet för stenpassage vid storlek > 5mm i distala uretären
  • < 10 mm
    o Stötvåg eller laser
  • > 10 mm
    o Laser och stötvåg (i andra hand)
    Vad behandlas på ovan sätt?
25
* Icke invasiv behandling. Behandlingsrör dockas mot ryggen. * Effekt av behandling är beroende av stenfaktorer och patientfaktorer. * Storlek, läge, avstånd mellan hud och sten, stenens densitet (för hård så går den inte sönder). * Patienten måste medverka, vara bra smärtlindrad och ligga still. * Stenen måste vara synlig i genomlysning * Komplikationsfrekvens 3-10 % o Smärta o Stengata 4-7 % (om man krossar större sten i njure ska det ut, kan då stocka sig i urinledaren efter varandra - stengata o Sepsis 1-2 % o Symtomatiska hematom < 1 % Vad beskrivs ovan?
ESWL (Extrakorporeal stötvågslithotripsi) (stötvåg)
26
* Sövd patient i de flesta fall. * Gå in i urinledare och upp i uretären med ureteroskop. * Med Holmiumlaser fragmenteras stenen. Sedan får patienten dricka mkt. * Komplikationsfrekvens 8 – 25 % o Smärta och infektion vanligaste orsakerna o Striktur och perforation är ovanliga men allvarliga komplikationer. Vad beskrivs ovan?
URS (uretärskopi med laserlithotripsi) (laser)
27
* Via preoperativt inlagd nefrostomi ges access till njurbäckenet. o Kanalen vidgas med ballongkateter och accesshylsa * Nefroskop med kamera förs in och stenen behandlas med ultraljud, laser eller pneumatiskt. Man tar med gruset ut. * Komplikationsfrekvens 15 % o Feber 10 % o Transfusionskrävande blödning 7 % o Skada på lunga / lungsäck 1,5 % Vad beskrivs ovan?
PCNL (perkutan nefrolithotripsi)
28
När kan laparoskpisk operation bli aktuellt vid njursten?
* Om stenen suttit länge ex
29
Sekundärprevention – metabolisk utredning och profylax vid njursten. Vad kan bli aktuellt?
* Blodprover – krea, jon-Ca (hyperpara), urat (urinsyrasten), natrium, kalium, PTH * Stenanalys (som de kissar ut) * Urinprover – urin-pH, urinodling, 24h urinsamling
30
Take home message! När ska vi röntga njurstenspatienter?
Röntga akut vid osäkerhet om diagnos, vid tecken till obstruktion (förhöjt krea) och vid riskpatient (singelnjure, kronisk njursvikt).
31
Take home message! Ta ställning till om njurstenspatienten måste avlastas akut, dvs?
Kontakta urologjour vid behov.
32
Take home message! * Avstängd pyelit är potentiellt livshotande tillstånd och måste handläggas skyndsamt (kontakt med urolog) Stensmärta orsakas när?
stenen påverkar urinflödet med stas av urin, inte när de ligger i en calyx utan tecken till stas!