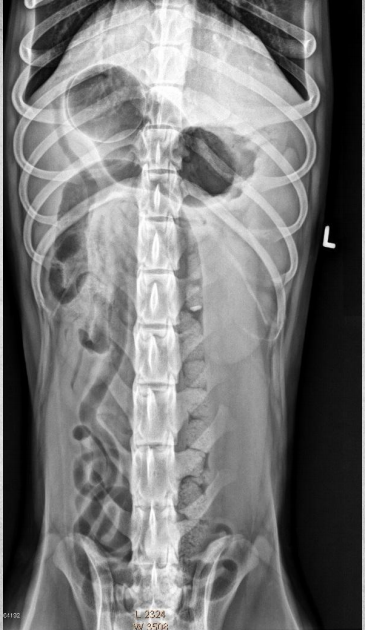
15 yo cat
Weight loss, anorexia, vomiting
Findings:
● Dilated bowel filled with fecal mass
– Not only large intestine, but small
intestine as well.
● Megacolon
●10 yo female sterilized rottweiler
●Vomiting after every meal for 2 days
● Soft tissue opacity in the area of stomach
● Metal staple in colon
● Metal implant in one knee (from
previous surgery)
● Soft foreign body in stomach – grass,
fabric, wrapping paper
major organs in abdo cavity are hazy and poorly viewed, and lumen of stomach not viewable due to fabric foreign body in stomach.
cecum visible on VD, gas filled bubbles.
●9 yo mixed breed female dog
(sterilized)
●Increased ALP
● Impressive amount of subcutaneous and intra-abdominal fat.
● Enlarged liver – changed gastric axis pushed caudally, rounded edges, extending past the costal arch.
● At least two round soft tissue opacity structures superimposed on ventral liver (lateral view).
● Round soft tissue structure cranial to right kidney.
● Mass in adrenal gland or pancreas
● Hepatic nodules (benign vs metastatic disease)
SI gas is normal because bowels empty.
●13 yo female sterilized cat
●Chronic vomiting
● Thin body condition
● Normal serosal detail
● Markedly enlarged small intestinal segment in mid-abdomen containing fluid/soft tissue opacity content with numerous mineral opacity dots.
● Chronic obstruction due to some mass inside small intestine.
●13 yo male castrated cat
●Anorexia, lethargy
●Weight loss
● Decreased serosal details. Margins of
organs not visualized.
● Abdomen distended.
● Abdominal effusion (ascites).
● Due to Mesothelioma (cancer of the peritoneum and serosal surfaces)
Main 3 ddx for ascites.
heart disease
tumors
liver disease
●2 yo cat
●Lethargy, vomiting
● Stomach distended – granular material,
fluid, gas.
● Irregular gas bubbles in peritoneal space.
● Septic peritonitis secondary to duodenal
ulcer.
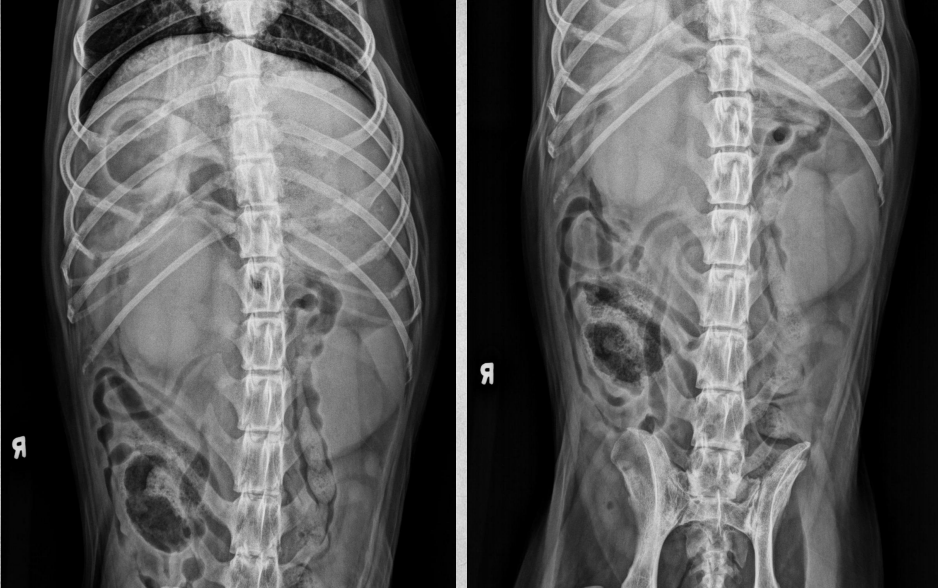
●9 yo Bengal cat
●Hypothermia and anorexia for 3-4
days
●Currently fever
● Decreased detail in mid-abdominal area
● Round soft tissue mass in mid-abdomen
● Liver mildly large, gastric axis changed
● mesenteric lymph node area suspicious/abnormal -> Neoplasia, probably from lymphatic system.
normal cat stomach can be seen
●9 yo Bengal cat
●Hypothermia and anorexia for 3-4
days
●Currently fever
● Decreased detail in mid-abdominal area
● Round soft tissue mass in mid-abdomen
● Liver mildly large, gastric axis changed
● mesenteric lymph node area suspicious/abnormal -> Neoplasia, probably from lymphatic system.
normal cat stomach can be seen
●9 yo female sterilized German
Shepherd
●Anorexia, lethargy
●Weakness
● Mass effect, bowels lifted dorsally
and caudally
● Round shadow cranially to tail of
the spleen
● Splenomegaly, splenic mass. hemangiosarcoma
●9 yo female sterilized German
Shepherd
●Anorexia, lethargy
●Weakness
● Mass effect, bowels lifted dorsally
and caudally
● Round shadow cranially to tail of
the spleen
● Splenomegaly, splenic mass. hemangiosarcoma
●9 yo female sterilized German
Shepherd
●Anorexia, lethargy
●Weakness
● Mass effect, bowels lifted dorsally
and caudally
● Round shadow cranially to tail of
the spleen
● Splenomegaly, splenic mass
hemangiosarcoma
●3 yo female sterilized cat
●Straining to urinate
● Haziness in area of bladder neck
● Urinary catheter in bladder, iatrogenic air bubble in bladder.
● Incidental adrenal gland mineralization, ventral abdo mineralization as well.
● Transitional vertebra L1
● Cystitis
●3 yo female sterilized cat
●Straining to urinate
● Haziness in area of bladder neck
● Urinary catheter in bladder, iatrogenic air bubble in bladder.
● Incidental adrenal gland mineralization, ventral abdo mineralization as well.
● Transitional vertebra L1
● Cystitis
●6 yo castrated male Ragdoll
●Very thin
●Vomiting
● Liver mildly enlarged, rounded with mass effect.
● Kidneys markedly increased in size,
irregularly shaped, displaced ventrally
● Severe bilateral polycystic kidney disease
● Concurrent polycystic liver disease
soft tissue and fluid have the same density so the cysts are all homogenous with the renal tissue. you’d see the cyst pockets on ultrasound.
●6 yo castrated male Ragdoll
●Very thin
●Vomiting
● Liver mildly enlarged, rounded with mass effect.
● Kidneys markedly increased in size,
irregularly shaped, displaced ventrally
● Severe bilateral polycystic kidney disease
● Concurrent polycystic liver disease
soft tissue and fluid have the same density so the cysts are all homogenous with the renal tissue. you’d see the cyst pockets on ultrasound.
●11 yo female mixed breed dog
●Vomiting, lethargy
● Large „sausages“ cranial to bladder
● Mass effect
● Pyometra
●13 yo male mixed breed dog
●Distended stomach
●Nonproductive vomiting
● Gastric dilatation
●„Box glove“ or „double bubble“
● Gas-filled and dilatated bowels
GDV / Gastric dilatation and volvulus
●2 yo mixed breed dog
●Acute vomiting
● Ball-shaped foreign body in pylorus
● Ping pong ball
●2 yo mixed breed dog
●Acute vomiting
● Ball-shaped foreign body in pylorus
● Ping pong ball
●6 mo female Great Dane
●Vomiting, loss of appetite for 3 days
●Suspected foreign body
● Entire small intestine moderately homogenously fluid filled, teeny bubbles throughout GI tract indicating GI hypomotility.
● Markedly gas-distended intestinal segment in mid-abdomen, reverse C-shaped, most likely normal caecum.
● Diffusedly fluid filled GIT with interspersed gas bubbles is most consistent with functional ileus from severe enteritis.
● No radiographically evident foreign body.
● Dx: Parvoviral enteritis
●6 mo female Great Dane
●Vomiting, loss of appetite for 3 days
●Suspected foreign body
● Entire small intestine moderately homogenously fluid filled, teeny bubbles throughout GI tract indicating GI hypomotility.
● Markedly gas-distended intestinal segment in mid-abdomen, reverse C-shaped, most likely normal caecum.
● Diffusedly fluid filled GIT with interspersed gas bubbles is most consistent with functional ileus from severe enteritis.
● No radiographically evident foreign body.
● Dx: Parvoviral enteritis