Main lung radiography patterns. (3)
● Alveolar
● Bronchial
● Interstitial
Describe the alveolar pattern shortly.
– Lobar sign
– Air-bronchogram – „black tree branching in a snow storm“
(due to denser vessel next to air filled bronchi next to another denser vessel)
– Margins of heart, vessels, diaphragm disappear!
What is characteristic of the bronchial pattern?
doughnuts and tram lines
Describe the interstitial pattern shortly.
– Can be normal variant (older, obese patients)
– Same can be created when captured on Expiration and when underexposed so this one can be trickier to identify correctly.
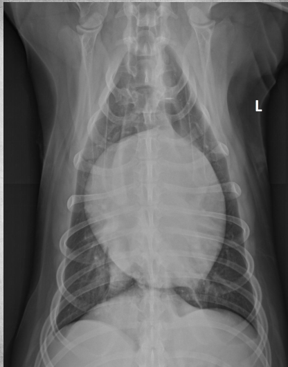
● 7 yo castrated male Golden
Retriever
● Lethargy for last 24h
fat along cranioventral aspect of thorax, maybe fluid too at heart apex.
pericardial effusion: very round heart margin tells you its fluid and not just cardiomegaly.
mild bronchial pattern
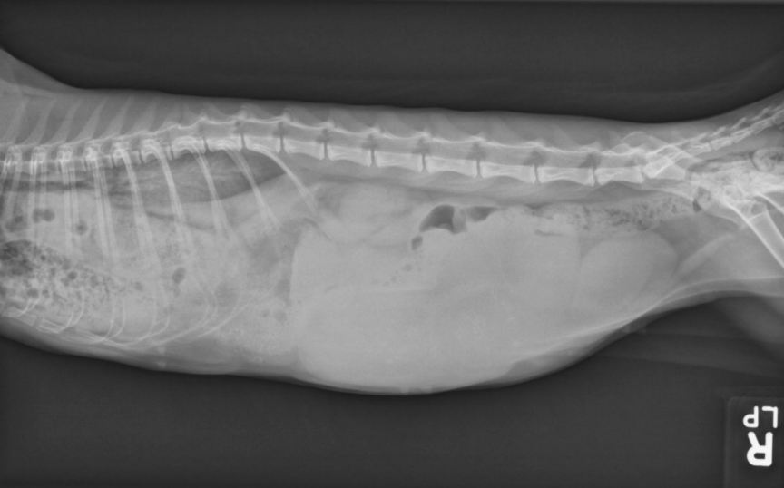
● 12 yo male castrated Shih-Tzu
● Geriatric check-up
● No clinical signs
congenital peritoneal-pericardial diaphragmatic hernia
these intestines are filled with gas due to
being empty
gastric axis also altered
congenital peritoneal-pericardial diaphragmatic hernia
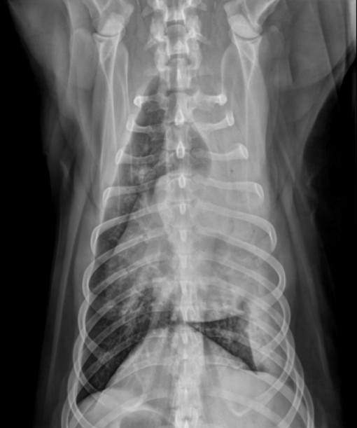
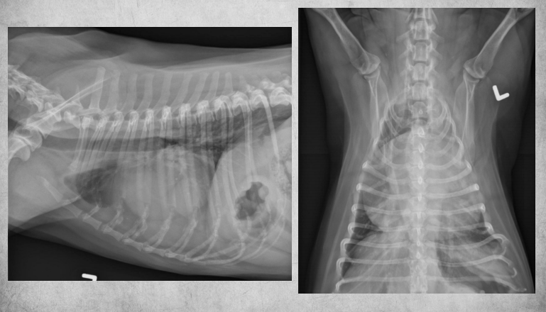
● 12 yo dog
● Coughing for 2 months
alveolar pattern caudodorsally (black tree visible)
fat in ventral thorax
cardiac silhouette lifted and rounded, maybe free fluid
on VD: mass effect
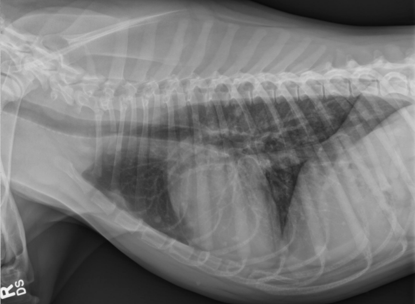
● 2 yo Labrador
● Ingested laundry detergent the day
before
black hole is bifurcation
air bronchograms visible -> alveolar pattern
lobar sign in lower VD image
aspiration pneumonia -> chemical burn in the lungs secondary to laundry detergent aspiration
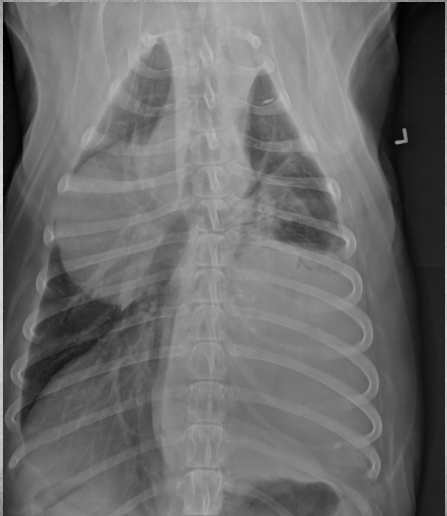
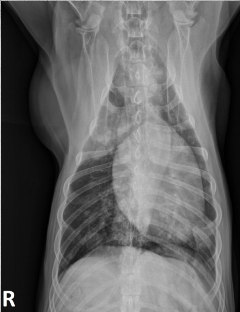
● 13 yo mixed breed female dog
● Right forelimb lameness
nodular pattern -> metastases
lytic changes in rib seen in VD image
● 6 yo male cat
● Coughing
bronchial pattern
feline asthma
● 3 mo Bernese Mountain Dog
● Acute onset of respiratory distress and hemoptysis
● Vomited blue/purple material 10 days prior, was normal within the meantime
alveolar pattern (black trees in snow storm but blood vessels not visible)
aerophagia
bleeding into lung parenchyma secondary to rat poison ingestion
● 7 yo female mixed breed dog
● Acute dyspnea
foreign body in esophagus
incidental finding small
mineralization
● Female feral cat
● Respiratory distress after handling
diaphragmatic hernia + pregnancy before day 45
● 3 yo male neutered cat
● Increased respiratory rate
● Lethargy
free fluid, pleural effusion = FIP
dorsal lung margins pushed away from thoracic wall
pericardial fat stripe also tells you its fluid and not fat around the heart
● 1 yo spayed female Staffordshire
terrier
● Coughing
● Right front leg lameness
nodular interstitial pattern = metastases
osteosarcoma
enlarged thoracic lymph node at ventral thorax, on inside of sternum
● 10 yo male Cavalier King Charles
Spaniel
● Acute respiratory distress
alveolar pattern, pulmonary edema (classic spot like in this pic: caudodorsal lung field)
cardiac silhouette messy, enlarged
right-sided heart failure
gastric aerophagia due to dyspnea
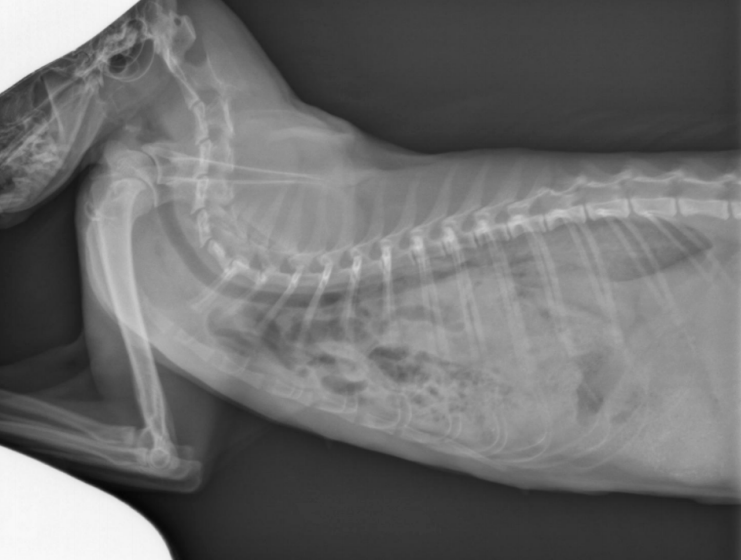
● 6 yo male castrated Yorkshire Terrier
● Coughing for 12 months
● Exercise intolerance
● Collapsing episodes
esophagus-mittari in place
cardiac density asymmetrical due to fat?
ventrally also fat
tracheal collapse visible in image once endotracheal tube removed
● 11 week old Australian Shepherd
● Attacked by another dog
subcutaneous emphysema
collapsed lung, pneumothorax on one side and hemothorax on the other