Thorax radiography Flashcards

(92 cards)

1
Q

Describe radiographic imaging of a dyspnea patient.

A

– Radiologigical imaging may be fatal
– Is there benefit over risks?
– Choose the positions very carefully

Sedation
– Improves Quality
– Easier on the dyspneic Patient state

How well did you know this?
1
Not at all
2
3
4
5
Perfectly
2
Q

Describe radiographic parameters for thorax.

A

High Kv, low mAs

– As much gray tones as possible, less contrast (black, white).

(higher Kv = lower contrast)
(mAs for brightness)

How well did you know this?
1
Not at all
2
3
4
5
Perfectly
3
Q

Describe the breathing phase in radiographic imaging of the thorax.

A

● Ideally capture image at the peak of inspiration
– Lungs maximally inflated with air.

● In the end of expiration phase, the opacity of lungs appears denser and can be mistaken as pathology.

● Both phases can be used for better comparison for inflation of lungs and position of trachea.

● Use The end of expiration phase if Evaluating small amount of free fluid or gas within the thorax. Or when Evaluating opacity of lungs, to compare with views made in inspiration phase.

How well did you know this?
1
Not at all
2
3
4
5
Perfectly
4
Q

What views do you need to thoracic radiography evaluation?

A

● Three views for full evaluation: both
laterals + VD/DV.

● Right lateral + DV → cardiological patient
● Right lateral + VD → lungs
● Both laterals + VD → metastases
● Oblique, standing lateral etc. also possible when necessary.

How well did you know this?
1
Not at all
2
3
4
5
Perfectly
5
Q

If only one lateral thorax view is available (for whatever reason):

A

● Note that Lateral views of both sides are different!

● Right lateral preferred when only one avail.
– Lung field is less covered by diaphragm in caudodorsal part
– Position of the cardiac silhouette is less affected
– Better details of cardiac silhouette in case of air-filled lungs
– Enlarged thoracic lymph nodes seen better

How well did you know this?
1
Not at all
2
3
4
5
Perfectly
6
Q

Differences between Right and left lateral thorax views:

A

In right lateral:
the diaphragmatic crura are parallel (in left, they form a V)

in right lateral, the caudal vena cava merges with the cranially positioned crus and with the caudal when its left lateral

left lung is seen better in right lateral

heart more egg-shaped in right lateral, rounder in left.

In left lateral: blood vessels of cranial lobes are easier to differentiate.

thoracic lymph nodes may be seen in right lateral but rarely ever in left lateral.

How well did you know this?
1
Not at all
2
3
4
5
Perfectly
7
Q

What view is this?

A

left lat

How well did you know this?
1
Not at all
2
3
4
5
Perfectly
8
Q

What view is this?

A

right lat

How well did you know this?
1
Not at all
2
3
4
5
Perfectly
9
Q

Describe Positioning for lateral thoracic views. (4)

A

● Neck slightly stretched/extended

● Front legs extended to avoid summation
with muscles

● Sternum and spine on the same line

● Thoracic inlet and both crus of diaphragm
should be seen on view. Whole sternum
should be seen in VD/DV view.

How well did you know this?
1
Not at all
2
3
4
5
Perfectly
10
Q

Describe Positioning for VD/DV thoracic views. (4)

A

● Mostly only one of these used
– NB Animals with dyspnea: DV!

● DV
– Cardiac silhouette looks more “normal”
– Less magnification
– Caudal arteries and veins seen better
– Preferred view for cardiac patients
– Small amount of free air more easily visible.

● VD
– Preferred view for lungs
– Small amount of free fluid more easily visible

How well did you know this?
1
Not at all
2
3
4
5
Perfectly
11
Q

Describe differences between VD/DV thoracic views.

A
How well did you know this?
1
Not at all
2
3
4
5
Perfectly
12
Q

What view is this?

A

DV

How well did you know this?
1
Not at all
2
3
4
5
Perfectly
13
Q

What view is this?

A

VD

How well did you know this?
1
Not at all
2
3
4
5
Perfectly
14
Q

Anatomy seen in thorax views.

A

● Surrounding soft tissue
● Cranial abdomen and diaphragm

● Neck
● Bone structures

● Pleural cavity
● Mediastinum

● Trachea
● Bronchus

● Heart
● Aorta, caudal vena cava, pulmonary vessels
● Lungs

How well did you know this?
1
Not at all
2
3
4
5
Perfectly
15
Q

Interpretation of thoracic views.
Affected by?

A

● Very high variability, especially in dogs.

● Affected by
– Breed, sex, age
– Body condition
– Breathing phase
– Cardiac phase

How well did you know this?
1
Not at all
2
3
4
5
Perfectly
16
Q

Breed specific factors in the context of thorax radiography. (3)

A

● Breed
– Deep chested breeds (Greyhounds, setters)
– Middle chested dogs (German Sheperd, boxer, retrievers)
– Barrel chested dogs (bulldogs, some terrier breeds)

● Spinal anomalies → kyphosis, scoliosis, lordosis.

● Chondrodystrophic breeds → chondrocostal junctions shorter, wider (nodular appearance)

How well did you know this?
1
Not at all
2
3
4
5
Perfectly
17
Q

Age related factors in the context of thorax radiography. (2+)

A

● Shadow of thymus can be seen in youngsters
– Maximum size in 4 mo
– Usually not visible after 6 mo

● Older animals
– often Spondylosis
– Mineralization of costochondral junctions

– Degenerative changes in sternum
– Mineralization of tracheal and bronchial walls

– Age-related increased interstitial density in lungs
– Occasionally pleural thickening

– Elongated aorta and cranially deviated cardiac silhouette in older cats (“resting heart”)

How well did you know this?
1
Not at all
2
3
4
5
Perfectly
18
Q

Body condition related factors in the context of thorax radiography. (2+)

A

● Excessive fat in overweight animals
can cause the Cardiac silhouette to appear bigger because of pericardial fat, mimics
cardiomegaly.

+ Cranial part of mediastinum looks wider
+ Lung fields more opaque

+ Excess fat may Separate edge of the lung from thoracic wall → mimics pleural effusion.

● Thin animals Have hyperlucent lung field.
Severely underweight → seemingly microcardia. You May even see the azygos vein.

How well did you know this?
1
Not at all
2
3
4
5
Perfectly
19
Q

Cardiac cycle related factors in the context of thorax radiography. (3)

A

● Motion artefact always present, edges of cardiac silhouette are always slightly hazy.

● If Very clear smooth edge + larger cardiac silhouette → suspect pericardial effusion.

● Differences in systole and diastole are better seen in large dogs, DV view.

– In the end of systole; ventricular area small, atrial area rounded and bulging.
– In the end of diastole; ventricular area rounded and bulging, atrial area less notable.
– Main pulmonary artery seen better in systolic phase.

How well did you know this?
1
Not at all
2
3
4
5
Perfectly
20
Q

Describe The heart on thorax radiography. (3)

A

● Normally at the 3rd-6th intercostal space.

● Base and apex
– Apex more caudally on LAT view
– On VD/DV view: apex more left in dogs, closer to middle line in cats.

● Cardiac silhouette – actual margins of heart not visible!
– Smooth margin
– Actual atrium-ventricle structures not visible though.
– Margins of ventral and middle part easily visible.
– Margins not well seen in base

How well did you know this?
1
Not at all
2
3
4
5
Perfectly
21
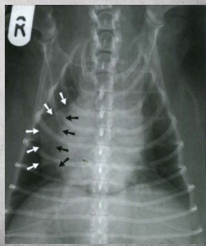
Q

Factors to affect the cardiac silhouette. (6)

A

● Breed (dogs) – high variability

● Pericardial fat – silhouette may appear larger – triangular structure on VD/DV

● Age
– Larger shadow in youngsters
– “Laying heart” in older cats (LAT)

● Positioning
● Respiratory phase
● Cardiac phase

(white arrows point to fat around heart edge which is marked with black arrows)

How well did you know this?
1
Not at all
2
3
4
5
Perfectly
22
Q

Inspiration vs expiration phases and their affect on thorax xrays.

A

Same animal in both pics.

● Expiration
– Cardiac silhouette appears larger
– Cranial and caudal margin less
defined

How well did you know this?
1
Not at all
2
3
4
5
Perfectly
23
Q

Afghan vs English bulldog and their affect on thorax xrays.

A

sighthound vs chondrodystrophic can look very different on xray

How well did you know this?
1
Not at all
2
3
4
5
Perfectly
24
Q
A

older cat with “resting heart”

normal in older animals

How well did you know this?
1
Not at all
2
3
4
5
Perfectly
25
Cardiac silhouettes in dogs. (4)
● "Size is considered normal if no clear abnormalities are seen." ● Distance between base and apex is ca 70% of depth of thorax on lateral view. ● Heart width on LAT view may be 2,5-3,5 intercostal spaces. ● Heart width on VD/DV should not be more than 2/3 of the width of the thorax.
26
Cardiac silhouettes in cats. (2)
● Width on LAT view should be max 2,5 intercostal spaces. or ● Equal to the distance between cranial border of 5th rib and caudal border of 7th rib.
27
What is VHS?
"vertebral heart size/score" is A way to objectively evaluate cardiac size among dogs of different breeds. ● Long and short axis of the heart is measured on LAT view, length is compared to vertebral length, and a summation is made which gives you a score. ● Actually, No evidence that it is more effective than subjective evaluation by eye. ● Breeds are different! e.g. Bulldogs! (score ref. intervals vary by breed)
28
VHS, "vertebral heart size/score" To evaluate heart size objectively.
29
“Pericardial fat stripe” ● In case of pleural effusion, radiolucent stripe surrounding cardiac silhouette. ● Not always visible
30
edit
Enlargement of left atrium. in right, VD image, arrows show location of left atrium.
31
Enlargement of right atrium
32
Enlargement of right ventricle
33
Generalized cardiomegaly
34
Heart-base tumor
35
Large vessels ● Aorta
36
Aorta ● Older cats – distorted aorta, can be laterally from midline
37
Caudal vena cava ● Diameter very variable – Max 1,5 x diameter of aorta ● Bigger size may point to cardiac failure (right-sided)
38
Azygous vein ● Ventrally to spine ● Visible if pneumomediastium is present ● May be seen in deep chested breeds without pneumomediastinum
39
What is the mediastinum and what structures does it contain?
● Space between right and left pleural cavity, midline organs are located here. – Heart, great vessels, trachea, esophagus, lymph nodes, thymus.
40
Describe the Mediastinum on xray. (3)
● Most mediastinal organs have soft tissue opacity → quite homogenous shadow. – Except Gas filled trachea; gas filled esophagus ● Not wider than 2 x spine on VD view – Wider for overweight animals! – Not wider than 1 x spine for cats on VD ● Pathologies can push mediastinum laterally.
41
Describe Mediastinal reflections on xray. (4)
Reflections are sharp turns of pleural direction. e.g. the following normal reflections: – Cranioventral: left cranial lung lobe more cranially than right cranial lobe, seen on LAT view. – Caudoventral: seen on DV left side, separates accessory lobe and left caudal lobe. – Caudal vena cava plica: wrapped around CVC, can not be seen individually.
42
Thymus (young animals)
43
Pneumomediastinum due to fish hook
44
Pneumomediastinum + pneumoperitoneum
45
Mediastinal mass
46
Describe the Trachea on xray. (7)
● Air-filled, smooth inside margin visible (exception: chondrodystrophic breeds) ● Similar diameter along whole length. Normally slight ventral curving before bifurcation. Bifurcation commonly located in 5th intercostal space. ● Diverges away from spine creating an angle, mostly 10-20 degree angle – Breed specificity. ● Mineralization of tracheal rings is common in older animals. ● Only inner margin of trachea is visible normally (gas creates background) – Dorsal margin only visible if luminal air in esophagus or mineralization of tracheal rings is present. ● Neck part and thoracic part need different parameters.
47
Ventroflexion of neck can cause trachea to be lifted, mimics mediastinal mass. Make sure to extend neck for image to avoid this.
48
Pathologies of the trachea that can be seen on xray. (6)
● Change in size – Narrowing, widening/ local or generalized ● Change in location – Laterally, dorsally, ventrally ● Hypoplasia – Brachycephalic breeds ● Foreign body ● Mineralization – Cushing, chondrodystrophic breeds, older animals ● Tracheal Collapse – Small size middle-aged dogs – Rarely in cats
49
Tracheal hypoplasia on left, normal on right.
50
Tracheal foreign body (tooth) & stomach filled with air due to dyspnea.
51
Tracheal collapse
52
change in tracheal position, cardiomegaly
53
Describe the Esophagus on xray. (3)
● Normally empty and not visible on xray. ● Dorsally from trachea – In neck part may be in superimposition with trachea – In caudal part between aorta and caudal vena cava ● Visible if air or food content inside – Some air normal if sedated, anxious, dyspnea, air-swallowing etc. – In general anesthesia, may mimic megaesophagus.
54
What is the Tracheal stripe line?
● Air in lumen of oseophagus ● Summation of wall of trachea and oesophagus
55
Megaoesophagus
56
Megaoesophagus
57
esophageal foreign body
58
Brachycephalic breed incidental finding. Esophageal malformation. In left image, filled with air. In right, contrast study to evaluate it.
59
Describe the divisions of the main bronchi.
● Right main bronchus is divided – Cranial, middle, caudal, accessory ● Left main bronchus is divided – Cranial, caudal
60
Describe the Bronchi on xrays. (8+)
● Radiographically poorly seen (cause made of cartilage) unless mineralization or thickening of the wall is present. ● NB Clinical picture and radiographic changes are not always in correlation. ● Mineralization of walls is mostly incidental finding ● Thickening of the wall → bronchial pattern – “Donuts” and “tram lines”. ● Mineralization (thin line) – age, chondrodystrophic breeds, in rarer cases Cushing's. ● Soft tissue thickening – bronchitis, bronchopneumonia, bronchiectasis (change in shape, size). ● Peribronchial cuffs = swelling around bronchi – oedema, bronchopneumonia, eosinophilic inflammation.
61
“Donuts” and “tram lines”
The radiographic signs of a bronchial pattern are ring-like opacities (“donuts”) and parallel lines (“tram lines”). A bronchial pattern is an abnormal lung opacity caused by peribronchial cellular, fluid and fibrotic infiltration, or bronchial mucosal and submucosal thickening (chronic bronchitis).
62
Artery/bronchus/vein ● Artery laterally/dorsally ● Vein medially/ventrally ● Bronchus between artery and vein Left to right: "artery-bronchus-vein"
63
Left to right: "artery-bronchus-vein"
64
Doughnuts and tram lines = bronchial pattern Doughnut sign refers to cross-sectional views of thickened bronchi that appear as circular (or "doughnut"-shaped) opacities, usually seen in conditions where the bronchial walls are thickened. Tram tracks (or tram lines) describe the longitudinal view of thickened bronchi, appearing as parallel lines due to thickened airway walls.
65
bronchial pattern
66
bronchial mineralization
67
Describe the Pleural cavity on xray. (3)
● Virtually empty, consists only small amount of surfactant. ● Radiologically visible only if – Free air → pneumothorax – Free fluid → pleural effusion ● Pleura itself is not seen normally – Exception: interlobar parts – may be seen as thin line. – Can be seen if thickening present. – Radiologically impossible to differentiate normal and slightly thickened pleura.
68
pleural fissures
69
pneumothorax
70
pleural effusion
71
Pneumothorax ● Skin folds – can mimic pneumothorax
72
pneumothorax cardiac silhouette looks lifted
73
pleural effusion fluid has density of soft tissue. cardiac silhouette no longer visible.
74
fat and free fluid can be very hard to differentiate in obese animals. but fat should come in waves (left), free fluid is smoother and not in waves (right)
75
Name the LUNG lobes in small animals.
● Right lung – 4 lobes – Right cranial – Right middle – Right caudal – Accessory lobe ● Left lung – 2 lobes – Left cranial ● Cranial part ● Caudal part – Left caudal ● Usually margins of lobes are not seen clearly.
76
Review Right vs left lung lobes on xray.
The right lobes are more visible on left lateral and the left lobes are more visible on right lateral.
77
Describe Lung parenchyma on xray. (3)
● Normally seen summation of different opacities: – Gas in alveoles, bronchi, bronchioles – Soft tissue opacity in blood vessels, interstitial tissue and walls of bronchioles/alveoles. – Superimposition of soft tissue (thoracic wall, mediastinum) ● In dogs, airways are normally seen up until secondary division (1 after main bifurcation). ● Sedation, rest – atelectasis (VD/DV before LAT view!? to avoid atelectasis), hard to differentiate from real pathology.
78
Describe the lungs on inspiration phase.
lungs maximally inflated. ● Inspiration phase – Diaphragm more caudally – Lung fields less opaque – Distance between heart and diaphragm is longer.
79
Describe the lungs on expiration phase.
less air, lungs appear denser. ● Expiration phase – Contact between heart and diaphragm – Lung fields more opaque – May look like interstitial pattern
80
atelectasis
81
Normal factors to affect how the lungs look on xray. (5)
● In young animals, lung fields more radiolucent. ● Increase in density is normal in older animals (mostly linear lines, rarely nodular). ● Bronchial pattern common in older animals. ● Matured animals may have heterotrophic ossification→ little nodules with mineral opacity. Common in collies. ● Overweight animals have more opaque lung fields; thin animals may have more radiolucent lung fields.
82
Heterotopic ossification ● Matured animals may have heterotrophic ossification→ little nodules with mineral opacity. Common in collies.
83
Main radiographic lung patterns: (4)
● Main patterns – Interstitial – Bronchial (often appears with interstitial pattern) – Alveolar always pathological (interstitial pattern may appear before that) – (Vascular pattern, vessels too big?) ● May be mixed patterns ● Nodule vs mass – Nodule: under 3cm – Mass: over 3cm
84
Describe the interstitial lung pattern on xray.
● Increased soft tissue opacity (connective tissue). ● May be normal pattern for older dogs. ● Two main variants: – Nodular: nodular changes in connective tissue ● Metastases ● Granulomatous diseases ● Primary miliary neoplasia – Unstructured or reticular: diffuse edema of connective tissue ● Artefact: fat, underexposure ● Pneumonia ● Oedema ● Hemorrhage ● Neoplasia ● Fibrosis
85
Describe the bronchial lung pattern on xray. (4)
● Bronchial structures more prominent. ● “Doughnuts”, “tram lines”, peribronchial haziness. ● Often mixed with interstitial pattern ● Possible causes – Chronic bronchitis – Brochiectasis – Cushing
86
Describe the alveolar lung pattern on xray. (6)
● Alveoles filled with fluid or cells (consolidation) or collapsed (atelectasis). ● Margins of vessels, heart, diaphragm may have disappeared. ● May appear as – Fluffy or cotton-like (infiltrate) – Well marginated + “lobar sign” (consolidation) ● Air-bronchogram – air-filled bronchi seen inside inflated lung – Always pathology, can not be created by superimposition – Alveolar pattern, not seen in other patterns ● Alveolar pattern can be Diffuse, multifocal, local and hides all other patterns. E.g. due to Pneumonia, oedema (cardiogenic, non-cardiogenic), haemorrhage, atelectasis
87
Lobar pattern on xray.
● “Lobar sign” only seen when alveolar pattern present – clear margin seen when two lung parts with different opacities are overlapped.
88
Describe the vascular lung pattern on xray. (5)
● Larger quantity of blood in vessels → makes the vessels more prominent. ● Overall opacity increased ● Not actually a “pulmonary” pattern ● Indicates Cardiovascular disease ● Vessel diameter > 9th rib diameter
89
peribronchial cuffing
90
Interstitial (some soft tissue structures still visible) vs alveolar patterns (bronchogram visible but no longer soft tissue structures).
91
nodular pattern/changes cardiac silhouette just about visible
92
Review algorhythm for characterizing lung parenchymal pattern.