Long bones and joints cases Flashcards

(16 cards)

1
Q

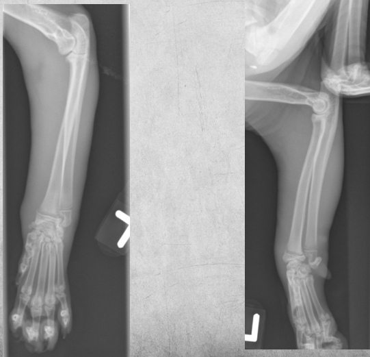
5 months old female Bernese Mountain dog

Played ball with other dogs the previous day

Weight-bearing lameness of left pelvic limb

A

Mild widening of the left tibial apophyseal physis and small fragment visible at distal portion ->

tibial crest avulsion fracture of growth plate in 5m large breed dog

analgesia and hope it heals okay

How well did you know this?
1
Not at all
2
3
4
5
Perfectly
2
Q

3 years old male Labrador

Progressive lameness of left front limb for 1 month

A

Osteolysis of humeral condyles and disruption of the cortex on lateral views.

Fracture line is visible on craniocaudal view, transverse across the lateral epicondyle.

Diagnosis: Aggressive neoplasia – T-cell lymphoma

How well did you know this?
1
Not at all
2
3
4
5
Perfectly
3
Q

3 years old male Labrador

Progressive lameness of left front limb for 1 month

A

Osteolysis of humeral condyles and disruption of the cortex on lateral views.

Fracture line is visible on craniocaudal view, transverse across the lateral epicondyle.

Diagnosis: Aggressive neoplasia – T-cell lymphoma

How well did you know this?
1
Not at all
2
3
4
5
Perfectly
3
Q

12 years old female neutered Labrador
Sudden onset lameness after ball game
Front right leg

A

Permeative lysis of the cranial and proximal diaphysis and metaphysis of the humerus.

Smooth periosteal reaction is visible on the caudal, medial, and lateral aspects of the humerus.

Diagnosis: Sarcoma, most likely osteosarcoma.

How well did you know this?
1
Not at all
2
3
4
5
Perfectly
4
Q

12 years old female neutered Labrador
Sudden onset lameness after ball game
Front right leg

A

Multiple fractures in pelvis

How well did you know this?
1
Not at all
2
3
4
5
Perfectly
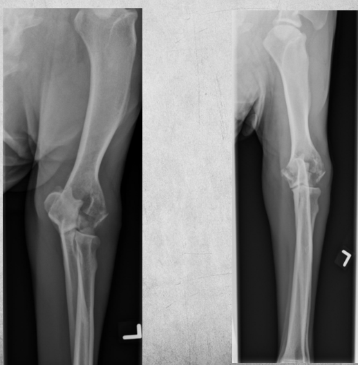
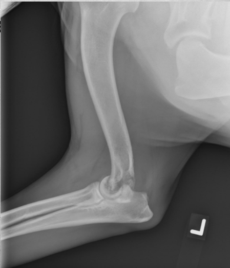
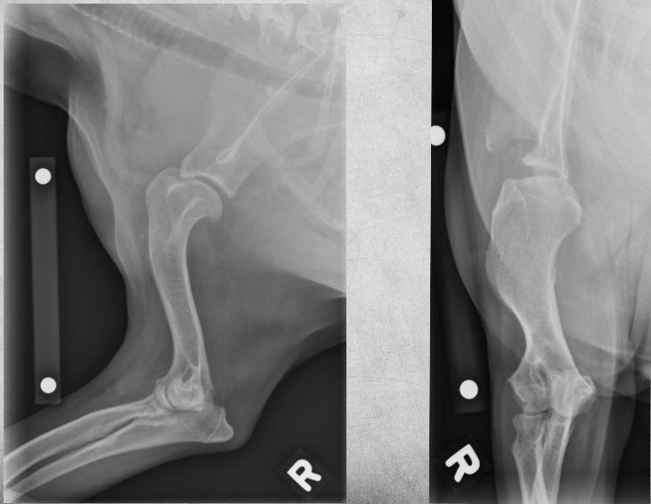
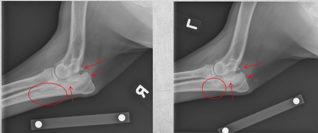
5
Q

8 months old female German Shepherd

Painful elbows

A

Both elbows: the anconeal process is ununited, the margins of the anconeal process and olecranon are markedly irregular and periosteal proliferation is present.

Marked intramedullary sclerosis of the olecranon and subtrochlear region of the proximal ulna is visible.

Diagnosis: Ununited anconeal process (UAP) and panosteitis of the ulnas.

How well did you know this?
1
Not at all
2
3
4
5
Perfectly
6
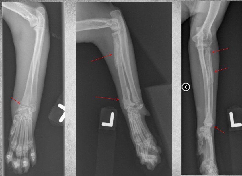
Q

4 months old male kitten

Not using left front leg

A

diffuse soft tissue swelling of the left forelimb. The physis of the distal radius has a thin radiolucent line just proximal to it.

How well did you know this?
1
Not at all
2
3
4
5
Perfectly
7
Q

4 months old male kitten. presenting complaint Not using left front leg.

images from 4 weeks later:

A

4 weeks later: The soft tissue swelling is decreased.

Both proximal and distal growth plates of the radius are closed.

There is well defined new bone formation, especially at the proximal diaphysis of the radius.

How well did you know this?
1
Not at all
2
3
4
5
Perfectly
8
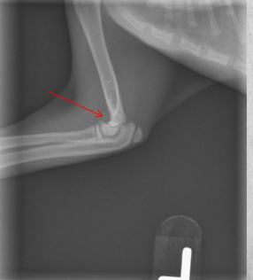
Q

3 month old kitten
Sudden onset lameness of left front leg

A

Fracture through the lateral distal humeral physis with mild cranial displacement of the humeral condyle in relation to the proximal humeral fracture fragment.
Soft tissue swelling.

How well did you know this?
1
Not at all
2
3
4
5
Perfectly
9
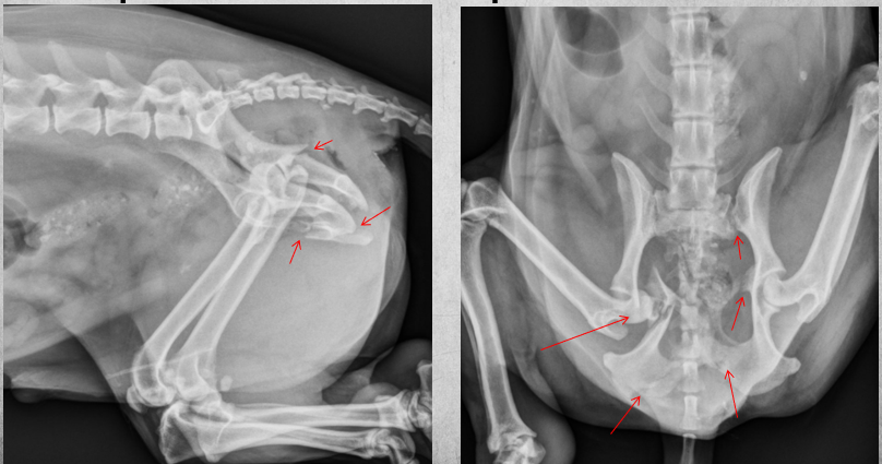
Q

13 yo female dog

Left hind limb lameness for 6 months

A

Severe osseous proliferation in area of left acetabulum, mild sclerosis.

Femoral head deformed, lytic areas visible.

Shortened femoral neck, indicating displacement.

Radiolucent stripe through femoral head.

Mineral density objects in bladder.

How well did you know this?
1
Not at all
2
3
4
5
Perfectly
10
Q

2 years old male castrated cat

Severe sudden onset lameness of pelvic limb

A

Displaced capital physeal fracture of the left femoral head with mild cranial displacement of the femoral neck. On the frog-legged VD projections, this displacement is not visualizing so well.

Most of the physes of the pelvic limbs are at least partially open, including the intact right femoral capital physis (castrated young).

Diagnosis: Left sided capital physeal fracture of the left pelvic limb and delayed physeal closure in both hind limbs.

How well did you know this?
1
Not at all
2
3
4
5
Perfectly
11
Q

4 years old male castrated Labrador cross

Sudden and acute lamness while playing with ball

A

Osteolysis of the proximal third of the tibial diaphysis and very mild irregular periosteal reaction.

There is a short oblique fracture through the tibial diaphysis with several small associated fragments, mild medial and proximal displacement of the distal segment. A transverse fracture of the fibula is present at the same level.

Diagnosis: Osteosarcoma with pathologic fracture.

How well did you know this?
1
Not at all
2
3
4
5
Perfectly
12
Q

4 yo toy poodle, male
Fell down from sofa 6 weeks ago
Not using left front leg
Visited other clinic
No fracture detected
Fixed bandage for 3 weeks
Still not using the leg

A

Human hands and other artefacts

Transverse fracture of radius and ulna

Visible milk tooth root (upper canine)

How well did you know this?
1
Not at all
2
3
4
5
Perfectly
13
Q

10 months old labrador retriever

Intermittent left thoracic limb lameness

A

Irregularly shaped defects in the caudal humeral head of both the left and right shoulders.

Sclerotic surrounding subchondral bone
Small, linear osseous fragment in the caudal and ventral aspect of the right shoulder joint.

Diagnosis: bilateral OCD = osteochondrosis dissecans

How well did you know this?
1
Not at all
2
3
4
5
Perfectly
14
Q

8 years old male castrated english bulldog

Progressive lameness in right front limb for 11 months

A

Right shoulder: Large soft tissue mass cranial and dorsal to the right shoulder, visible on the ventrodorsal flexed view. The osseous structures of the thoracic limbs appear normal.

Diagnosis: Spindle cell sarcoma

How well did you know this?
1
Not at all
2
3
4
5
Perfectly
15
Q

8 years old male castrated english bulldog

History of chronic myelitis in right stifle

A

Marked osteolysis of the right stifle in the region of the joint capsule insertion and it’s most apparent on the femoral metaphysis, tibial plateau. Marked soft tissue swelling surrounding the joint which is displacing the patella away from the femur. The remodeling is smooth and there is no visible periosteal reaction.

Diagnosis: osteomyelitis of stifle.