CT & MRI Flashcards

(66 cards)

1
Q

What does CT mean?

A

computed tomography: tomos –“slice or section“, graphia- „describing“ (Greek)

A method of radiology which allows to take cross-sectional images of a certain body part.

Uses ionizing radiation.

How well did you know this?
1
Not at all
2
3
4
5
Perfectly
2
Q

CT history

A
  • Allan Cormack developed in the late 50`s theoretical principles
  • Godfrey Hounsfield built first late 60’s
  • CT in Estonian vet med from Dec. 2015
How well did you know this?
1
Not at all
2
3
4
5
Perfectly
3
Q

CT machine construction

A
  • Gantry is the doughnut-shaped part
    which contains an X-ray tube and X-ray
    detectors.
  • The source of the X-ray is high-powered X-ray tube, which rotates at a certain distance around a slice of the patients anatomy.
  • The detectors measure x-rays which
    penetrate the patients body on a
    different angle.
How well did you know this?
1
Not at all
2
3
4
5
Perfectly
4
Q

CT machine physical process / what happens to the patient

A
  • Patient moves slowly through the gantry
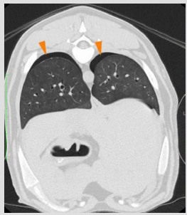
    (doughnut) on a table.
  • The X-ray tube rotates around the patient.
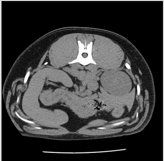
  • Radiation partially penetrates the tissues,
    partially attenuates in tissues.
  • A lot of short images are taken and detectors transform the detected radiation into an electrical signal.
How well did you know this?
1
Not at all
2
3
4
5
Perfectly
5
Q

CT working principle

A
  • CT measures radiation absorption in a thin axial (transversal) body slice
  • first we get a lot of 2-dimensional x-ray images from a 3D object
  • after processing the data we get images on different planes (“MPR-multiplanar reconstruction”)
  • 3D reconstructions are also possible
How well did you know this?
1
Not at all
2
3
4
5
Perfectly
6
Q

Types of CT scanners

A
  1. Single-slice CT scanner
    * only one row of detectors
    * during each rotation of the tube, a single
    slice of anatomy is scanned
  2. Multi-slice CT scanner
    * several rows of detectors
  • during each rotation of the tube,
    multiple slices of anatomy is scanned
  • machines with 2, 4, 6, 8, 16, 32, 40, 64,
    128 and more detector rows are available
  • allow the measurement very thin slices
    (0,5mm)
How well did you know this?
1
Not at all
2
3
4
5
Perfectly
7
Q

CT image acquisition
1. Describe Axial (sequential) image acquisition

A
  • „step-and-shoot“ method
  • the table is stationary, 360-degree images are taken
  • X-ray tube is switched off, the table with the patient moves forward
  • repeated until the body part is examined
  • slower than helical method
How well did you know this?
1
Not at all
2
3
4
5
Perfectly
8
Q

CT image acquisition
2. Describe Spiral (helical) image acquisition

A
  • the X-ray tube is rotating and patient moves with the table through the gantry at the same time
  • data is constantly recorded
  • examination is very fast
  • better multi-planar and 3D
    reconstructions
How well did you know this?
1
Not at all
2
3
4
5
Perfectly
9
Q

CT measures …?

A

radiation absorption in a thin axial body slice.

  • based on the X-ray direction, we get different absorption profiles
  • we get a „density map“- a computer-generated matrix image from the different projectional density values corresponding to the relative density of different body parts
  • the pixel’s numerical value represents the voxel’s absorption
  • the absorption value is represented by a certain shade of grey
  • every value represents the body’s registered absorption
How well did you know this?
1
Not at all
2
3
4
5
Perfectly
10
Q

What is the Hounsfield scale?

A
  • A quantitative scale for describing radio density.

HU (Hounsfield units)
o air -1000 HU
o water 0 HU
o bone +1000 HU (up to +3000 HU)

  • On a greyscale, the thickest tissue is the brightest and the thinnest tissue is the darkest.
  • A computer monitor can show up to 4000 different shades of grey, the human eye is able to differentiate 20-30 shades of grey.
  • Therefore, it is necessary to adjust the image to adequate range and we can use „windowing“, which shows only certain area of the scale.
  • Windows: bone, soft tissue, lung, brain
How well did you know this?
1
Not at all
2
3
4
5
Perfectly
11
Q
A

CT windows: bone window

How well did you know this?
1
Not at all
2
3
4
5
Perfectly
12
Q
A

CT windows: brain window

brain is also a little blurry since CT isn’t as sensitive for the brain as MRI is

How well did you know this?
1
Not at all
2
3
4
5
Perfectly
13
Q
A

lung window

How well did you know this?
1
Not at all
2
3
4
5
Perfectly
14
Q
A

soft tissue window

How well did you know this?
1
Not at all
2
3
4
5
Perfectly
15
Q

What’s the diff between these?

A

diff CT planes: sagittal, transverse, dorsal

How well did you know this?
1
Not at all
2
3
4
5
Perfectly
16
Q

whats this

A

3D reconstruction of CT images

How well did you know this?
1
Not at all
2
3
4
5
Perfectly
17
Q

Describe CT image evaluation

A
  • partly similar with conventional radiography, but no superimposition and summation shadows.
  • the images are usually transverse, but can be reconstructed in sagittal/dorsal planes and as a 3D image.
  • possible to evaluate a scan „slice by slice“
  • tissues of low density (f.ex. lungs) are dark
  • tissues of high density (f.ex. bones) are bright
  • know the normal anatomy and physiology!
How well did you know this?
1
Not at all
2
3
4
5
Perfectly
18
Q
  • isodense =
  • hypodense =
  • hyperdense =
A

Specifically for CT!

  • isodense – If an abnormality is the same density as the reference structure, we would describe it as isodense.
  • hypodense - If an abnormality is less dense than the reference structure, we would describe it as hypodense.
  • hyperdense – If an abnormality is bright (white) on CT , we describe it as hyperdense.
How well did you know this?
1
Not at all
2
3
4
5
Perfectly
19
Q

Describe CT contrast medium

A
  • contrast procedures are used to increase the native contrast of organs and lesions to separate them from surrounding tissues
  • generally iodine-based radiopaque compound (obstructing the passage of radiant energy, such as X-rays)
  • native image + image with contrast – to compare
  • timing – contrast enhancement should be maximal
  • cleared primarily by kidneys, making the urinary tract visible.
  • side effects: haemodynamic alterations, allergic reactions/anaphylaxis, nefro- and cardiotoxity
How well did you know this?
1
Not at all
2
3
4
5
Perfectly
20
Q
  • angiography increases the opacity of
A

blood, making vascular structures visible

  • allows to evaluate tissue/organ perfusion
  • allows to evaluate contrast media passing
How well did you know this?
1
Not at all
2
3
4
5
Perfectly
21
Q

CT advantages and disadvantages

A
How well did you know this?
1
Not at all
2
3
4
5
Perfectly
22
Q

Describe why CT safety is necessary.

A
  • higher radiation dose than conventional radiography
  • The absorbed radiation can break chemical bonds in tissues, generating free radicals, which are chemically very reactive.

They can attack complex compounds that make up chromosome. After physical, chemical and biological processes, may evolve cell death, obstruction of fission or
permanent change inside the cell which is genetically transmitted. Cells changed due to radiation can be the start of a neoplastic process.

+ anesthesia/contrast media risk factors and side effects

How well did you know this?
1
Not at all
2
3
4
5
Perfectly
23
Q

What is ALARA

A

As low as reasonably achievable (ALARA) is a principle of radioprotection stating that whenever ionizing radiation has to be applied to humans, animals or materials -exposure should be as low as
reasonably achievable.

How well did you know this?
1
Not at all
2
3
4
5
Perfectly
24
Q

MRI uses what to image?

A

MRI (magnetic resonance imaging) uses electromagnetic radiation

How well did you know this?
1
Not at all
2
3
4
5
Perfectly
25
MRI history
* first human MRI scan in 1977 * MRI in Veterinary Medicine: since 1980 * low field MRI in veterinary private practice: last 15 years * first MRI scan in our animal clinic: January 2011
26
Why are water and hydrogen so important when we are talking about MRI?
Because MRI's working principle is to measure hydrogen proton magnetic fields after they are lined up. If we place a patient into the MRI machine then we place all its protons in the body in a strong external magnetic field (B0)! Protons „line up“ in the direction of the main magnetic field (parallel and anti-parallel states). Protons precess („wobble“) by magnetic field (B0). Image: 1. intracellular 2. extracellular 3. in between myelin sheath
27
Describe Hydrogen protons
* most common chemical element * positive electrical charge - proton * spins on its own axis * creates a magnetic field around the proton * protons are randomly orientated
28
What is Radiofrequency (RF) pulse
The MRI machine applies a RF pulse to protons and protons absorb the energy. This causes the protons orientation to change 90 degrees from longitudinal to transverse planes – evolves transverse magnetization. * precession (wobble) is synchronized
29
When RF (Radiofrequency) pulse is turned off…
T1 RELAXATION * protons transverse magnetization stops and longitudinal magnetization recovers T2 RELAXATION * precession is not synchronized any more * protons return to their natural random alignment
30
Describe T1 relaxation. (Spin-Lattice Relaxation)
T1 relaxation is the time it takes for protons to realign with the main magnetic field after being excited. It's the recovery of protons along the longitudinal axis (the direction of the magnetic field). Think of it like this: Imagine tipping a spinning top. After being tipped over, the top gradually stands back up (realigns). This standing-up process is T1 relaxation. Speed of T1 relaxation: Different tissues recover at different speeds. For example: Fat recovers quickly (short T1 time). Water recovers slowly (long T1 time).
31
Describe T2 relaxation. (Spin-Spin Relaxation)
T2 relaxation is the time it takes for protons to lose synchronization with each other after being excited. It’s the loss of signal in the transverse plane (perpendicular to the main magnetic field). Think of it like this: Imagine runners starting a race together. Over time, they get out of sync and spread out. This spreading out is T2 relaxation. Speed of T2 relaxation: Different tissues lose synchronization at different rates: Water dephases slowly (long T2 time). Fat dephases quickly (short T2 time).
32
How do we get an MRI image?
* during relaxation, protons release the energy absorbed from the RF (radiofrequency) pulses * protons give off a signal that the MRI machine coil picks up and sends to the computer * signal intensity is proportional with proton density in tissues
33
T1 and T2 weighted images: T1: fluid is dark T2: fluid is bright
34
Tissue colors dependent on T1 & T2 relaxation.
35
Describe MRI image interpretation. (3)
1. Know the normality/identify abnormalities * change in symmetry, morphology * signal alterations 2. Characterize abnormalities 3. List differential diagnoses (in order of importance!) isointense- the lesion has same intensity as the normal tissue hypointense- the lesion is darker than normal tissue hyperintense- the lesion is whiter than normal tissue
36
isointense = hypointense = hyperintense =
Specific to MRI! isointense- the lesion has same intensity as the normal tissue hypointense- the lesion is darker than normal tissue hyperintense- the lesion is whiter than normal tissue
37
3 MRI planes (SAG, TRA, DOR)
38
Contrast agent used in MRI.
* dimeglumine gadopentetat (gadolinium) * given i.v. * passes blood-brain barrier (BBB), when it's damaged * paramagnetic influence to protons * selectively shortens protons T1 relaxation time * signal is more intensive on T1 images
39
MRI with contrast agent
40
Describe MRI Artefacts: (2)
* movement (heart, breathing, intestinal motility) * metal (microchip)
41
Describe MRI Safety:
* no known side effects! no radiation * but some ppl do not tolerate strong magnetic field (head aches) * bullet fragments, heart pacemaker, screws, pins, plates are contraindicated (titanium is ok in the machine) * anesthesia risk factors * contrast media adverse reactions
42
Name these.
43
The MRI machine in our clinic: * low magnetic field - 0,25 T * designed for animals (dog, cat, horse) * special coils for different body parts * patient always under general anesthesia * long examination time
44
What exams do you need to do before MRI?
* general clinical examination * orthopedic examination * neurological examination Main idea is to localize the lesion you're looking for.
45
Key differences between CT and MRI.
46
With suspected CNS neoplasia what imaging modality should you choose?
MRI is the best choice Definitive dx requires histology. Sometimes cells can be retrieved from the CFS but not all tumors "shed" cells in to CSF.
47
brain macroadenoma on both CT and MRI
48
With suspected CNS vascular ddx what imaging modality should you choose?
MRI preferably
49
MRI
50
With suspected CNS inflammation ddx what imaging modality should you choose?
choose MRI
51
frontal lobe inflammatory lesion in a chihuahua
52
What is the FLAIR sequence in MRI?
Fluid-attenuated inversion recovery (FLAIR) is an MRI technique that shows areas of tissue T2 prolongation as bright while suppressing (darkening) cerebrospinal fluid (CSF) signal, thus clearly revealing lesions in proximity to CSF, such as cerebral cortical lesions. The main difference between T1 and T2 FLAIR lies in the type of tissue contrast that is emphasized. T1-weighted FLAIR is more akin to a standard T1 Turbo Spin Echo (TSE) sequence with enhanced tissue contrast, making it suitable for imaging lesions with low water content or for post-contrast imaging of pathology.
53
With suspected CNS trauma what imaging modality should you choose?
CT is better
54
55
With suspected CNS spinal diseases what imaging modality should you choose?
MRI better, except if you have classic IVD prolapse
56
CT Thorax vs MRI thorax
CT better for thorax according to Savvi
57
far left: pneumothorax middle: lesion at bottom left
58
CT abdomen vs MRI abdomen
CT better
59
Left: hydronephrosis with dilated ureter secondary to accidental ligation during OVH Right: adrenal neoplasia (yellow arrow)
60
CT skull vs MRI skull
CT mostly good but in some cases, like potentially spread inner ear issues, MRI is better OI = otitis interna
61
62
CT extremities vs MRI extremities
CT good usually
63
CT Whole body imaging vs MRI Whole body imaging
64
Summary of Indications for CT and MRI.
65
Explain simply what T1 & T2 relaxation means in MRI imaging.
T1 and T2 relaxation describe how the protons in our body behave after being excited by a strong magnetic field and radiofrequency pulses. These are key concepts that help create different types of MRI images. T1 relaxation is the time it takes for protons to realign with the main magnetic field after being excited. It's the recovery of protons along the longitudinal axis (the direction of the magnetic field). T2 relaxation is the time it takes for protons to lose synchronization with each other after being excited. It’s the loss of signal in the transverse plane (perpendicular to the main magnetic field).
66
what does T1 and T2 weighted image mean
T1-Weighted Image: highlights differences in T1 relaxation times. Fat appears bright (short T1 time, recovers quickly). Water appears dark (long T1 time, recovers slowly). T1 Best for: Anatomy, showing structures like fat, muscles, and the brain's white matter. T2-Weighted Image highlights differences in T2 relaxation times. Water appears bright (long T2 time, stays synchronized longer). Fat appears darker (short T2 time, loses synchronization quickly). Best for: Detecting fluid or pathology, such as inflammation, edema, or tumors.