Equine radiology Flashcards

(21 cards)

1
Q

When do we use radiology in horses? (8+)

A

Lame horses
* Limbs
* Neck and back
* Pelvis

  • In horses with chronic lung problems
  • In horses with chronic diarrhea or colics
  • Esophageal symptoms
  • Horses with neurological deficits
  • Teeth problems
  • Sinus diseases
  • Prepurchase examinations
  • To evaluate the extent and nature of traumas
How well did you know this?
1
Not at all
2
3
4
5
Perfectly
2
Q

What should you do before radiology?

A

Always do clinical exam first!

Clinical findings for guiding radiography:
* Wounds
* Swelling
* Positive regional analgesia

Consider clinical significance (yes or no?)

Radiographic findings do not indicate pain!

How well did you know this?
1
Not at all
2
3
4
5
Perfectly
3
Q

Safety in equine radiology.

A

lead apron
xray proof glasses should be used more
lead hand covers
safety shoes (steel toe)
xray cassette holder

How well did you know this?
1
Not at all
2
3
4
5
Perfectly
4
Q

Describe sedation for xrays in horses.

A

Old and calm horses may manage without sedation but for safety and for most horses, sedation is needed.

Alpha-2 agonists such as:
- Xylazine
- Romifidine
- Detomidine

The horse can kick despite the sedation with alpha-2 agonists.

Opioids such as:
- Butorphanol (only in combination with alpha-2 agonists in adult horses)

Pay attention to the horses,
- Size
- Temperament
- Breed
when choosing which drugs you use. Some are far more sensitive and require way less.

How well did you know this?
1
Not at all
2
3
4
5
Perfectly
5
Q

How should you use butorphanol in horses?

A

only in combination with alpha-2 agonists in adult horses

e.g. butorphanol + detomidine combination

do NOT use butorphanol as a monotreatment.

How well did you know this?
1
Not at all
2
3
4
5
Perfectly
6
Q

Positioning horses for radiography - foot prep. (4)

A
  • Ask permission to remove shoes. Removal needed e.g. to view navicular bone properly.
  • Clean dirt from bottom and outside of hoof
  • Lightly pare (trim) sole if necessary
  • Pack frog sulci with soap or play-doh (it helps to get rid of artefacts)
How well did you know this?
1
Not at all
2
3
4
5
Perfectly
7
Q

Radiography markers in equine imaging.

A

Use positioning markers:
* LF, RF, LH, RH markers
* Can use coin or paper clip

Dorsal hoof wall markers:
* Wire
* Horse shoe nail
* Barium

Markers should always be placed dorsal or lateral to the anatomy. Always put your area of interest against your xray plate.

NB also need to add horse identification marker!

How well did you know this?
1
Not at all
2
3
4
5
Perfectly
8
Q
A

tube with contrast media inside, taped to the horses forehead

the level of fluid can be seen.

you can compare your control fluid line with potential fluid lines within the sinuses. (lower right xray with white arrow)

How well did you know this?
1
Not at all
2
3
4
5
Perfectly
9
Q
A

in hoof abscesses, the abscess itself cannot be seen but gas produced by bacteria can be seen such as in this image (3 dark bubbles)

the radiating tracks or lines are from removed shoe nails.

How well did you know this?
1
Not at all
2
3
4
5
Perfectly
10
Q
A

nodular lymph edema

pedal bone ventral rotation with sinking

How well did you know this?
1
Not at all
2
3
4
5
Perfectly
11
Q

Why should the soles be packed before radiography?

A

e.g. to avoid artefacts that may give you false diagnoses such as false fracture lines

How well did you know this?
1
Not at all
2
3
4
5
Perfectly
12
Q

When you have a traumatic nail in hoof situation, what should you not do?

A

Do not remove the nail immediately, because you will not be able to find the track without the nail in place.

Risk of deep digital flexor tendon and navicular bursa perforation and infection. Navicular bone can lyse due to the inflammation. This would be really bad.

In these images, the nail is only in the digital fat pad which has a better prognosis.

NB tetanus vax! If vax given > 6 months ago, give booster.

How well did you know this?
1
Not at all
2
3
4
5
Perfectly
13
Q

what is equine ringbone

A

is a degenerative condition affecting the pastern or coffin joints of horses. It is a form of osteoarthritis that results in the abnormal growth of bone around these joints. Ringbone is categorized as either high ringbone or low.

How well did you know this?
1
Not at all
2
3
4
5
Perfectly
14
Q

fetlock radiography

A

1 lateral of the metacarpophalangeal joint with proximal sesamoid is not enough because the sesamoid obscures the carpal bones.

you need a couple more oblique images.

How well did you know this?
1
Not at all
2
3
4
5
Perfectly
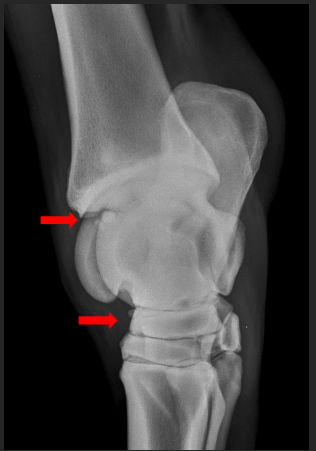
15
Q
A

tarsal OCD fragment

How well did you know this?
1
Not at all
2
3
4
5
Perfectly
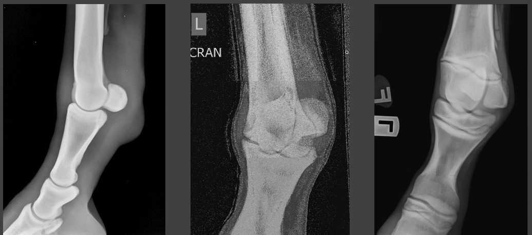
16
Q
A

incomplete ossification in a young animal

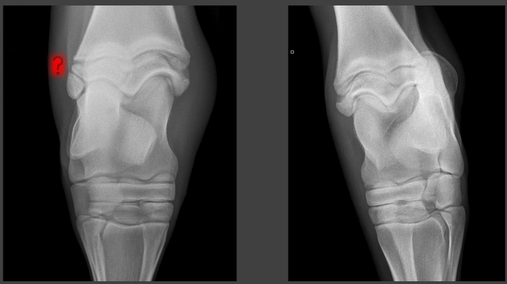
17
Q
A

splint bone fractures

18
Q
A

Carpus:
A - Radius
I - Antebrachiocarpal joint
E - Accessory carpal bone

J - Middle carpal joint
G - Third carpal bone
K - Carpometacarpal joint

B - Third metacarpal bone
L - Second metacarpal bone
M - Fourth metacarpal bone

20
Q
A

skyline view of the flexed carpus

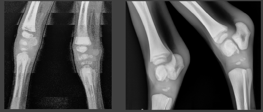
21
Q
A

dysmature foal with underdeveloped joints

needs casts/splinting, 24 hour care for 2 months