Long bones, joints Flashcards

(91 cards)

1
Q

Describe Radiography of long bones.

A

Sedation/anesthesia should be used for best quality. Diagnostic quality is very important!

Minimum 2 views
- Mediolateral + craniocaudal or
caudocranial.

Take images of both limbs for comparative purposes.

Remember Mach lines!

How well did you know this?
1
Not at all
2
3
4
5
Perfectly
2
Q

Define Mach lines.

A

The apparent line of contrasting density bordering a soft tissue shadow on a radiograph; it is an optical illusion constructed by the observers retina.

How well did you know this?
1
Not at all
2
3
4
5
Perfectly
3
Q

Describe bone loss / lysis on radiography.

A

Bone loss (lysis) is radiographically observable after ca 7-10 days.
- when 30-60% of mineral content loss

Picture of osteosarcoma.

You can also have mixed reactions that consist of both lysis and new bone production (sclerosis).

How well did you know this?
1
Not at all
2
3
4
5
Perfectly
4
Q

New bone production is also called

A

Sclerosis: increased bone capacity →
increased density, hardening of tissue.

Sorta like a bone scar, looks whiter/more dense on xray.

You can also have mixed reactions that consist of both lysis and new bone production (sclerosis).

How well did you know this?
1
Not at all
2
3
4
5
Perfectly
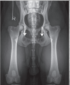
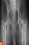
5
Q

Describe pediatric patient radiography.

A

Growth plates are open, time of closure varies between joints. Cartilage is NOT visible on xrays.

Factors that affect closure time:
- Breed, nutrition, anatomical location etc.
- Hormonal effect
- Growth hormone, thyroid hormone, sex hormones, insulin.
- Individual variation

How well did you know this?
1
Not at all
2
3
4
5
Perfectly
6
Q

Describe mature patient radiography.

A

Epiphysis and diaphysis fused, physis closed.
- Different age in different bones

Dogs: usually all physes closed by age of 18 months.

Young castrated cats: physes open until age of 18 months, very often open until age of 2-3 years.

Physeal “scar” – thin horizontal radiopaque line in place of closed physis.

Nutrient foramina and vessel channels can be mistaken as fracture lines.

Pictured white line is a sort of “scar” from where the growth plate closed.

How well did you know this?
1
Not at all
2
3
4
5
Perfectly
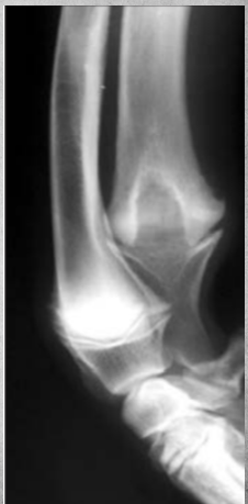
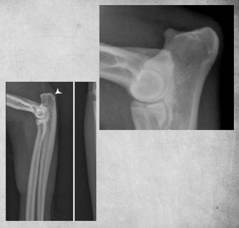
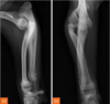
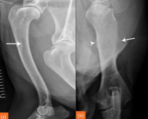
7
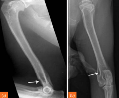
Q

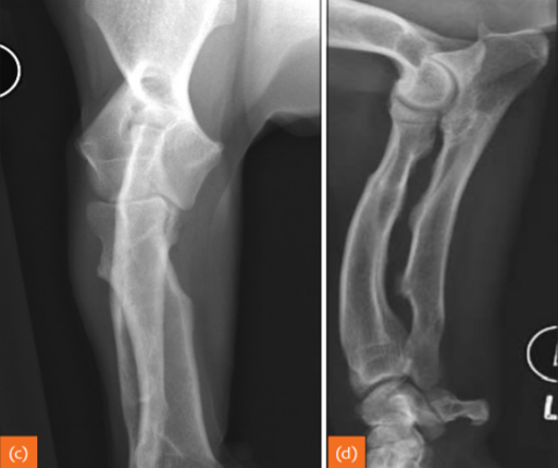
Describe Premature closure of growth plate.

A

e.g. distal ulna such as in image

results in growth discrepancy and may disrupt the function of the joint

How well did you know this?
1
Not at all
2
3
4
5
Perfectly
8
Q

What does this depict?

A

Premature closure of growth plate distal radius.

How well did you know this?
1
Not at all
2
3
4
5
Perfectly
9
Q

What is the Cut-back zone?

A

The area of irregular and hazy bone margins where the metaphysis remodels to the narrower diaphysis during bone growth seen specifically in young animals. Due to
Osteoclastic activity.

If its seen in adult animals, its suspicious!

How well did you know this?
1
Not at all
2
3
4
5
Perfectly
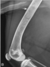
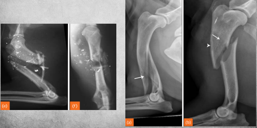
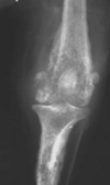
10
Q

What are Retained endochondral cartilage cores?

A

Disturbed ossification phenomenon seen in
Young large or giant dogs.

Most commonly distal metaphysis of ulna.

Cause unknown for certain. Overnutrition, food additives theorized.

Bilateral symmetrical changes

Shortening of general length, mimics traumatic premature closure of growth plate.

In the image: the flame shaped radiolucent area with sclerotic rim.

How well did you know this?
1
Not at all
2
3
4
5
Perfectly
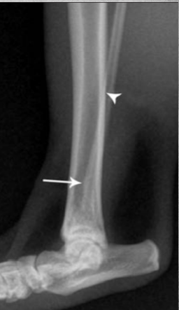
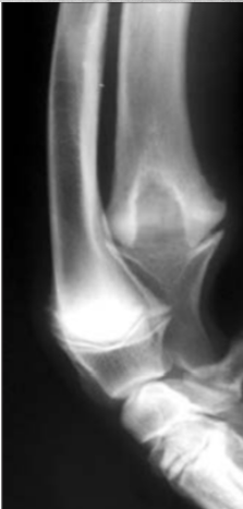
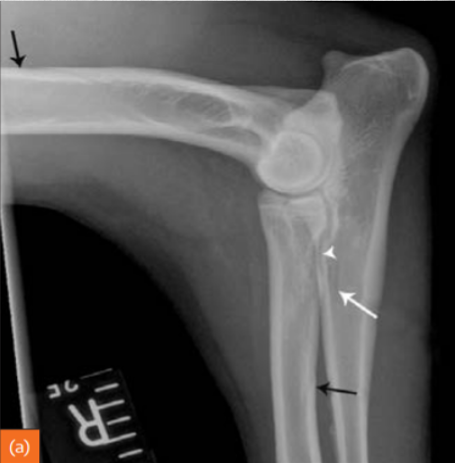
11
Q

What are nutrient foramens?

A

Foramens superimposed on medullary cavity.

Fractures aren’t symmetrical so if the exact same mark is in the same spot in both limbs, consider nutrient foramens.

In the image: the thin dark lines. There is also a Mach line to the left of the nutrient foramen.

How well did you know this?
1
Not at all
2
3
4
5
Perfectly
12
Q

Describe the canine humerus on xrays.

A

Normal findings include:
- Tricipital line
- Area of teres minor attachment
- Deltoid tuberosity

+ Supratrochlear foramen (but not all dogs)

How well did you know this?
1
Not at all
2
3
4
5
Perfectly
13
Q

Describe the feline humerus on xrays.

A

Large supracondylar foramen that looks like a black hole on xray.

How well did you know this?
1
Not at all
2
3
4
5
Perfectly
14
Q

Canine vs feline radius-ulna on xray.

A

Dog: olecranon pointed and angular.

Cat: olecranon more square.

How well did you know this?
1
Not at all
2
3
4
5
Perfectly
15
Q

whats this

A

Chondrodystrophic breed changes. Not pathological, just a certain breed thing.

The long bones are affected but the joints themselves are not affected.

How well did you know this?
1
Not at all
2
3
4
5
Perfectly
16
Q

Describe the canine and feline femurs on radiography.

A

Dogs: Fabellas may be on different levels.

Cat: Fabellas can be different size, sometimes only one present.

(fabella (Latin for little bean) (or flabella) is a small sesamoid bone found in some mammals embedded in the tendon of the lateral head of the gastrocnemius muscle behind the lateral condyle of the femur.)

How well did you know this?
1
Not at all
2
3
4
5
Perfectly
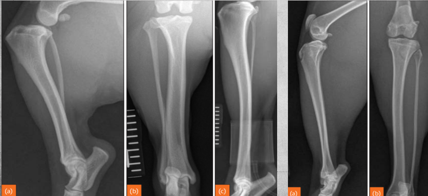
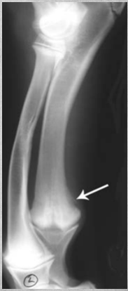
17
Q

Describe the canine tibia-fibula on radiography.

A

Dog: often a small rounded
radiolucent area may be seen in
proximocranial area of tibia and is considered normal.
- Cartilage retention? Its not certain why its there.

Is an Incidental finding and is only abnormal if its not in exactly that area of the tibia.

How well did you know this?
1
Not at all
2
3
4
5
Perfectly
18
Q

Describe radiography of fractures.

A

Anamnesis is super important!

Fracture line is mostly radiolucent
But If superimposition of impacted or compressed bone fragments, you may see radiopaque lines.

NB! Do not confuse the following with fractures:
- Physes
- Nutrient foramen
- Mach lines
- Soft tissue shadows (skin fold)

At LEAST 2 views needed!

How well did you know this?
1
Not at all
2
3
4
5
Perfectly
19
Q

NB! Do not confuse with fracture: (4)

A
  • Physes
  • Nutrient foramen
  • Mach lines
  • Soft tissue shadows (skin fold)
How well did you know this?
1
Not at all
2
3
4
5
Perfectly
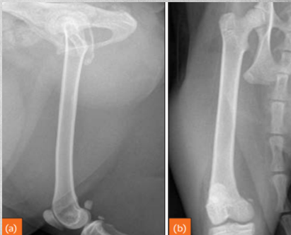
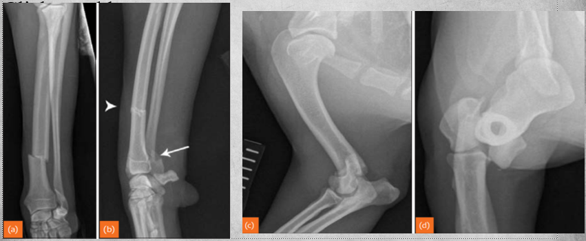
20
Q

Fractures can be either..

A

primary or secondary.

Also, complete or incomplete. (periosteum can be intact with fracture line otherwise).

Left image: gunshot caused fracture.

Right image: osteosarcoma caused fracture.

How well did you know this?
1
Not at all
2
3
4
5
Perfectly
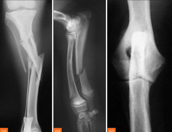
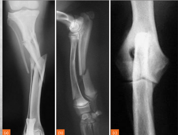
21
Q

identify

A

incomplete fractures

How well did you know this?
1
Not at all
2
3
4
5
Perfectly
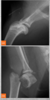
22
Q

identify left to right

A

left to right:
Transverse fracture
Oblique fracture
Spiral fracture

How well did you know this?
1
Not at all
2
3
4
5
Perfectly
23
Q

Describe osteomyelitis.

A

Bone infection or inflammation that results in:

Formation of new bone thats radiographically visible, takes 2-3 weeks.

Can have Osteolysis in the same area as well. So both darker areas and lighter areas.

How well did you know this?
1
Not at all
2
3
4
5
Perfectly
24
Q

Bone neoplasia on radiography.

A

Seen on radiographs as lysis and/or new bone formation (usually combined).
- with Periosteal reaction

Usually cancerous and aggressive.

Differential diagnoses: osteomyelitis, very rarely cysts in bone.

Can be primary neoplasms in bone or metastases.

How well did you know this?
1
Not at all
2
3
4
5
Perfectly
25
What is the periosteal reaction?
A bone change seen radiographically with neoplasias that can also be characterized into a type (4). - solid - onion peel or lamellated - spiculated - codman's
26
Benign neoplasms in bone are
rare (but can happen). Not spiculated and not typically with lysis.
27
identify
classic osteosarcoma CCLR secondary to neoplasia metastasis to lungs first (other intestinal organs also poss.) osteosarc. can have both new bone formation as well as lysis.
28
Describe Metastatic bone tumors.
Epiphysis affected most commonly. Often Nutrient foramen, vessel canal area. Humerus, femur commonly. “Moth eaten” appearance ddx osteomyelitis can look very similar
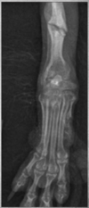
29
Describe Incidental findings – “kissing lesions”.
Cortical modelling in the area of the interosseous ligament between the radius and ulna is occasionally seen at the level of the nutrient foramen. At the junction of the proximal and middle thirds of the caudal radial diaphysis. Less commonly in the cranial ulnar diaphyses. Mild periosteal reaction to discrete osteolysis with unknown exact etiology. - Interosseous ligament strain or Enthesopathy? (refers to inflammation around your joints)
30
What is Panosteitis? exam q!
Panosteitis is a painful inflammation of the outer surface or shaft of one or more long bones of the legs. It is sometimes called growing pains. Usually young dogs. Found in animals up to 7 yo. Very painful! Radiographically seen Patchy areas of increased opacity (“clouds”). Or Periosteal reaction/ Endosteal thickening. Is self limiting. Treat with analgesia, NSAIDs (opioids if very severe pain).
31
identify
Growth arrest lines. - White lines horizontally - Not clinically significant also known as Harris lines, are lines of increased bone density that represent the position of the growth plate at the time of insult to the organism and formed on long bones due to growth arrest.
32
identify
osteopetrosis, systemic disease. very painful. calcification of the medulla is group of a rare disorders that cause bones to grow abnormally and become overly dense. When bones become overly dense, they are brittle and can fracture (break) easily. image: cat
33
Describe osteopenia. (2)
Radiographically visible when 30-60% of mineral content is lost. 2 forms: osteomalacia and osteoporosis. Osteomalacia - Decreased mineralization - Normal bone matrix - Vitamin D deficiency Osteoporosis - Decreased mineralization - Decreased bone matrix (image, shrunken bone with fracture)
34
Difference between osteomalacia and osteoporosis?
Osteomalacia: characterized by the softening of bones due to a defect in the bone mineralization process. It occurs when there is insufficient calcium, phosphate, or vitamin D to harden the bone tissue properly. Osteoporosis: involves a reduction in bone density and mass, leading to fragile, porous bones that are more susceptible to fractures. The bone structure remains normal, but the amount of bone tissue decreases.
35
identify
Bone cyst Usually Puppies, young adults. Diaphysis or metaphysis of radius or ulna most commonly Other locations also possible though ddx bone tumor, osteomyelitis
36
Joints on radiography.
Subchondral bone seen as relatively homogenous radiopaque bone that forms apparent margin of joint surface. Joint cartilage not visible. Sesamoid bones may be visible, but often are not. Joint problems that can be seen on xray - Soft tissue swelling - Increased/decreased width of joint space - Irregular subchondral bone margin - Changes in opacity
37
Define osteophytes.
An outgrowth of bone at the margin of the articular surface Smoothly marginated homogenous bone proliferation. Such as in Osteoarthritis
38
Describe enthesophytes.
A focal proliferation of new bone to form a bony spur at an enthesis (the site of tendon, ligament, joint capsule, or fascia attachment to bone). e.g. due to Trauma, inflammation Look very similar to osteophytes but are located outside the joint.
39
Describe osteoarthritis on radiography.
Increased subchondral opacity. Bone formations (osteophytes, enthesophytes). Bone remodeling in bone margins. Periarticular calcification Is a Degenerative change and a Common finding in older animals. NB Poor correlation of radiographical and clinical findings. Meaning can be severe changes in xrays but not much reaction clinically and vice versa
40
Describe the shoulder joints on radiography.
Remember Clavicles in cats, and Sometimes rudimentary ones seen in large dogs, they look like poorly mineralized structures. Calcified opacities around or within the shoulder joint are commonly seen, majority of them are incidental findings though. NB The Supraglenoid tubercle's physis in immature dogs, can be misidentified as fracture.
41
identify
rudimentary clavicle of dog
42
identify
NB The Supraglenoid tubercle's physis in immature dogs, can be misidentified as fracture. (left image) rudimentary clavicle in right image
43
identify
fracture of supraglenoid tubercle
44
identify
fracture of humeral head from two angles
45
Describe luxation/Subluxation of the shoulder.
Congenital or acquired Can occur in any direction Medially mostly congenital, toy breeds. Lateral mostly in large breeds due to trauma.
46
Define Osteochondrosis.
OC - Abnormality of endochondral ossification. - The cartilage of the epiphysis fails to form subchondral bone → thickened abnormal cartilage → prone to injury. Symptoms: Pain, swelling, and stiffness at the affected joint, but usually without significant structural damage like detachment.
47
Osteoarthrosis is
another term for OA. Osteoarthritis (OA) is a degenerative joint disease involving cartilage loss. It develops over time due to wear and tear.
48
define Osteochondritis dissecans
OCD is a subtype of OC. Cartilage is fissured and forms a cartilage flap → that can: - Stay in place, granulation tissue will hinder it. OR: or dislodge and resorb, or remain as a free body (“joint mouse”/"loose body"), or grow and eventually ossify. Secondary osteoarthrosis even if primary treatment successful. - Classical site – humeral head - Medial humeral condyle - Distal femoral condyle Symptoms: More severe symptoms, including severe pain, joint locking, catching, and limited movement, especially if the fragment detaches fully.
49
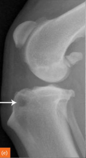
Difference between osteochondrosis and osteochondrosis dissecans?
OCD is a subtype of OC. OC is A general term referring to a group of disorders that affect the development and growth of bones, particularly at the growth plates in children and adolescents. OCD is a more specific and advanced form of osteochondrosis where a segment of bone and its covering cartilage become unstable and can separate from the underlying bone.
50
Osteochondrosis dissecans findings on radiography. (exam q!)
Flattening or an irregular, radiolucent subchondral defect of variable size involving the caudal aspect of the humeral head. Subchondral sclerosis surrounding the defect. Osteoarthritis in chronic cases. Often bilateral → both shoulders should be controlled!
51
identify
OCD, Osteochondrosis dissecans
52
Describe the elbow joint on radiography.
Mediolaterally imaged the following can be seen: - Congruency of joint surfaces - Coronoid process - Osteophytes Craniocaudal/anterior-posteriorly the following can be imaged: - Osteophytes - Defects of humeral medial condyle - Luxation/subluxation
53
elbow mediolateral in flexion, you can spot what 3 pathologies:
- ununited anconeal process - osteophytes - flexor enthesopathy
54
Incidental finding in the elbows.
sesamoids Usually Large breed dogs Laterally or craniolaterally to medial head on radius
55
What do you see
Condylar fractures Lateral: most common Medial: rare Y or T: fracture line goes through and between condyles..
56
identify
elbow luxation normal elbow here as example
57
identify
Congenital luxation of the radius
58
Describe elbow dysplasia.
Abnormal development, including - MCD (Medial coronoid disease) Fragmented coronoid process (FCP) - OCD (osteochondritis dissecans) - Incongruity - UAP (Ununited anconeal process)
59
UAP?
Ununited anconeal process a condition in which a bony protuberance within the elbow becomes detached from the ulna. This loose, bony fragment causes pain and lameness and contributes to articular damage within the elbow joint.
60
FCP?
Fragmented coronoid process is a developmental defect of one of the coronoid processes, two small bony protrusions on the end of the ulna within the elbow joint. In this condition, one of the coronoid processes develops a fissure or crack and separates from the rest of the bone.
61
normal on the left so what do you see in the right image?
FCP, Fragmented coronoid process is a developmental defect of one of the coronoid processes, two small bony protrusions on the end of the ulna within the elbow joint. In this condition, one of the coronoid processes develops a fissure or crack and separates from the rest of the bone.
62
identify
elbow dysplasia yellow arrows: osteophytes
63
identify
UAP Ununited anconeal process a condition in which a bony protuberance within the elbow becomes detached from the ulna. This loose, bony fragment causes pain and lameness and contributes to articular damage within the elbow joint.
64
identify
incongruity too much space between the joint surfaces in all 3 images = elbow dysplasia
65
Review pelvic anatomy.
66
Extended VD pelvis view means..
the patellas are also in the image and they're rotated to position in the center of the femurs.
67
identify
VD flexed view “Frog position” Conscious patient with painful hips. Cranial and caudal aspect of femoral head and neck should be visible.
68
What is Flückiger technique?
VD pelvis image, but femurs at the angle of 60 degrees from the table. Allows you to see Subluxation of the hips.
69
Difference between fabellas and sesamoids?
the fabella is a specific sesamoid bone found in the knee, while sesamoid bones refer more broadly to small bones located in various parts of the body, typically in joints under high mechanical stress.
70
identify pathology
hip joint subluxation
71
identify
incidental finding of anal glands filled with air
72
identify pathology
chronic hip luxation (dislocation) with osteophyte development
73
identify pathology
Avascular necrosis of femoral head - Young dogs - Small and toy breeds legg-calve-perthes disease
74
identify
Feline capital metaphyseal osteopathy sorta like the cat version of -legg-perthes' Young male neutered cats mostly. Extensive lysis and bone remodeling of the neck. Secondary fractures
75
Describe hip dysplasia.
Primary changes are - Laxity of hip joints - Lack of formation of the acetabulum - Poor coverage of the femoral head Secondary changes, - Subchondral sclerosis at the cranial acetabular margin, moves laterally over time. - Osteophytes at the caudal aspect of the femoral neck (Morgan’s line). - Periarticular osteophyte formation on the cranial effective acetabular rim and dorsal acetabular margin.
76
identify
hip dysplasia
77
Incidental findings/normal variations of the femoral head. (4)
Broomstick-conformation Plump conformation CCO (Morgan’s line) Puppy line
78
Broomstick-conformation is
incidental/normal variation in the femoral head shape. A slender femoral neck merges without clear demarcation with the smaller femoral head. German shepherd (a)
79
Plump conformation is
incidental/normal variation in the femoral head shape without signs of dysplasia. Rottweiler (b).
80
CCO (Morgan’s line) is
is a bone formation in the caudolateral region of the femoral neck indicative of joint instability. in large or heavy dogs, a subtle Morgan’s line is often visible in normal joints. CCO = caudolateral curvilinear osteophyte
81
Puppy line is
found in young dogs, a thin straight line can be visible in the region of the Morgan’s line. This so-called puppy line disappears at the age of approximately 18 months.
82
Review mediolateral dog stifle joint anatomy.
Review craniocaudal dog stifle joint anatomy.
83
Review mediolateral cat stifle joint anatomy.
Review craniocaudal cat stifle joint anatomy.
84
identify pathology
stifle trauma
85
CCLR (Cranial crucial ligament rupture) on radigoraphy. (3)
Can be seen: - Compressed infrapatellar fat pad - Distal displacement of popliteal sesamoid - Osteophyte development if chronic/ time has passed since rupture. Evaluate both sides!
86
Grading of CCLR.
Not official grading. Describes how the knee develops from time from rupture.
87
identify
Patella luxation
88
Describe Scottish fold - osteochondrodysplasia.
Autosomal dominant gene so its inherited. All individuals are affected but severity can vary. - Is Bilateral - symmetrical carpal and tarsal ankylosis - Any joint can be affected - Painful condition!
89
identify
Erosive polyarthropathy (rheumatoid arthritis) image of a dog
90
identify
Feline digit-lung syndrome Primary neoplasia in lungs that causes Lytic changes in digital bones. We dont know why this happens in cats.
91
identify
Hyperthrophic osteopathy in dogs Primary neoplasia in thorax or abdominal cavity that affects long bones. Makes them "hairy".