Interventional radiology, thoracic U/S Flashcards

(25 cards)

1
Q

What is Interventional ultrasound?

A

US-guided interventions, are diagnostic or therapeutic minimally invasive procedures guided by real-time ultrasound imaging, preferably using attachable needle steering devices.

Using U/S you get Increased diagnostic accuracy and safety (lowering risk of pneumothorax, hemorrhage, gallbladder damage). + No exposure to radiation (unlike CT, fluoroscopy procedures).

e.g. biopsies with U/S and classically, simply cystocentesis

How well did you know this?
1
Not at all
2
3
4
5
Perfectly
2
Q

What can we do in interventional radiology?

A

Aspiration/FNA: 18-22 G needle = cytology

Biopsy/ TCB (tissue core biopsy) = histology
- Manual
- Semiautomated
- Automatic

How well did you know this?
1
Not at all
2
3
4
5
Perfectly
3
Q

What types of lesions should you FNA? (4)

A

Cyst
Small solid lesion
Highly vascular lesion
Diffuse infiltrative lesion

How well did you know this?
1
Not at all
2
3
4
5
Perfectly
4
Q

What types of lesions should you TCB? (3)

A

(tissue core biopsy)

Masses
Diffuse parenchymal lesion/disease
Previous non-diagnostic cytology

How well did you know this?
1
Not at all
2
3
4
5
Perfectly
5
Q

Preparation before biopsy.

A

Coagulation profile Always before biopsy
IV catheter
Sedation/anesthesia
Analgesia
Clipping/aseptic preparation of the skin and probe
For skin-probe contact use alcohol not gel

How well did you know this?
1
Not at all
2
3
4
5
Perfectly
6
Q

Performing biopsy with U/S, basic things to remember. (4)

A

Use Shortest path between skin and lesion.

Measure distance.

Avoid going through organs or other cavities (peritoneal, retroperitoneal, pleural).

Use different needles for different lesions.

How well did you know this?
1
Not at all
2
3
4
5
Perfectly
7
Q

Basic U/S biopsy technique procedure:

A

Small skin incision with a scalpel.

Check for hemorrhage after procedure with U/S.

Normally 2-3 samples each with a fresh needle.

Focal lesion: from the lesion.

Multiple samples if heterogenous.

Doppler to avoid necrotic areas.

Diffuse lesion: different for different organs .

How well did you know this?
1
Not at all
2
3
4
5
Perfectly
8
Q

Liver biopsy

A

Left medial or lateral lobe (don’t use right side because of the gallbladder!)

Probe in retro-xyphoideal or intercostal position

Avoid big vessels and gallbladder

How well did you know this?
1
Not at all
2
3
4
5
Perfectly
9
Q

Gallbladder biopsy

A

Right side of liver

Sedation
Spinal needle 20-22 G
Trans-hepatic

Cytology and culture

Look carefully at the wall before aspiration

How well did you know this?
1
Not at all
2
3
4
5
Perfectly
10
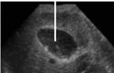
Q

Spleen biopsy

A

FNA 20-22 G first

Non-diagnostic samples (lots of blood contamination/dilution)

TCB 18G: solid mass

30% non-diagnostic samples cause its hard to not get a bunch of blood when its the spleen.

How well did you know this?
1
Not at all
2
3
4
5
Perfectly
11
Q
A

Lymph nodes

How well did you know this?
1
Not at all
2
3
4
5
Perfectly
12
Q

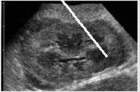
Kidney biopsy technique

A

Don’t go in renal pelvis as it will leak urine into peritoneum. Don’t go through both medulla and cortex - you’ll cause acute kidney failure. Only take biopsy from cortex.

FNA 20-22G: subcapsular fluid, aspiration from the pelvis, cysts, solid lesion, diffuse lesion.

TCB 18G: diffuse kidney disease, solid masses

  • In cats external fixation of the kidney
  • Caudal pole, lateral part of the renal cortex
  • Avoid renal hilus and big vessels
How well did you know this?
1
Not at all
2
3
4
5
Perfectly
13
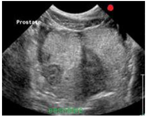
Q

Prostate biopsy technique.

A

FNA or TCB:
Transabdominal:
cyst or abscess aspiration (empty completely or it may leak), solid lesion

Trans-rectal technique possible

How well did you know this?
1
Not at all
2
3
4
5
Perfectly
14
Q

Urinary bladder biopsy technique.

A

Size of the bladder: Avoid fully distended bladder aspiration

Cystocentesis vs. Catheterization (traumatic catheterization)

How well did you know this?
1
Not at all
2
3
4
5
Perfectly
15
Q

Pancreas biopsy technique.

A
How well did you know this?
1
Not at all
2
3
4
5
Perfectly
16
Q

GI tract biopsy technique.

A

risk of perforation

17
Q

Adrenal biopsy technique.

18
Q

Thoracic U/S acoustic window.

A

thoracic inlet window

transverse intercostal window

long-axis intercostal window

substernal, transhepatic window

19
Q

In longitudinal views, the base of the heart is…

In transverse images the pulmonary artery is…

A

In longitudinal views the base of the heart is towards the right side of the monitor and the apex to the left.

In transverse images the pulmonary artery is seen on the right side of the screen.

The reference mark on the transducer and the symbol on your screen: Whatever the reference mark is directed toward in the body during an exam will be seen on the side of the sector image of the symbol.

The standard protocol for cardiac imaging requires the reference symbols to be displayed on the right side of the sector image.

20
Q

Describe Longitudinal view of the thoracic contents during U/S.

A

Use the 3rd to 6th intercostal space.

The transducer is close to the sternum in cats but further away in larger dogs.

The reference mark is cranially, towards the neck.

There is about 45°angle between the transducer and the animal.

The long axis is aligned from approximately shoulder to xiphoid.

(Short axis uses the same basic position as for the long axis view but rotate the transducer 90° towards the animals sternum.)

21
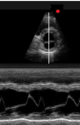
Q

Describe M-mode for heart U/S.

A

Represents movement of structures over time.

Initially a B-mode image is acquired and a single scan line is placed along the area of interest.

M-mode shows how the structures intersected by the line move toward or away from the probe over time.

One dimensional image of structures.

Only structures associated with the cursor are seen. Depth on the Y axis, time on the X axis.

Records subtle change in wall and valve motion (chamber dimensions, fractional shortening, ejection fraction).

Used for accurate measurement of size.

22
Q
A

M-mode in cardiac U/S

23
Q

Describe doppler.

A

Cells moving toward the transducer reflect an increased number of sound waves so the received frequency is greater than the transmitted frequency. This is positive frequency shift.

Cells moving away from the transducer reflect fewer sound waves, and the received frequency is less than the transmitted frequency. This is a negative frequency shift.

In Color Flow Doppler Imaging the velocity and direction of blood flows are depicted in a color map superimposed on the B-mode image.

Allows for detection and analysis of moving blood cells or myocardium and provides hemodynamic information.

24
Q

4 types of Doppler used during echocardiography:

A

PW (pulsed-wave),
CW (continuous-wave),
CF (color-flow),
TDI (tissue Doppler Imaging)

25
Read the article:
Clinical findings and survival time in dogs with advanced heart failure (by Beaumier)