Autopsy Flashcards

(14 cards)

1
Q

Which deaths require a special death certificate?

A

Fetal death

How well did you know this?
1
Not at all
2
3
4
5
Perfectly
2
Q

Most common and second most common cause?

A

The image shows a several centimeter, ruptured abdominal aortic aneurysm (AAA).

most common risk factor for AAA is atherosclerotic cardiovascular disease

hypertension is the next most common cause of AAA and is noted to be an even greater risk factor for aneurysms in the ascending aorta and other locations

How well did you know this?
1
Not at all
2
3
4
5
Perfectly
3
Q

A postmortem vitreous glucose concentration (mg/dL) of what value is generally considered diagnostic for diabetes mellitus?

A

>200 mg/dL is essentially diagnostic of diabetes mellitus

To attribute a death to diabetes mellitus one should also see ketones in the vitreous fluid or blood and/or have a glucose concentration high enough to cause a hyperosmolar state.

How well did you know this?
1
Not at all
2
3
4
5
Perfectly
4
Q
A

The image shows symmetrical, periventricular, gelatinous plaques that are fairly characteristic for multiple sclerosis.

How well did you know this?
1
Not at all
2
3
4
5
Perfectly
5
Q
A

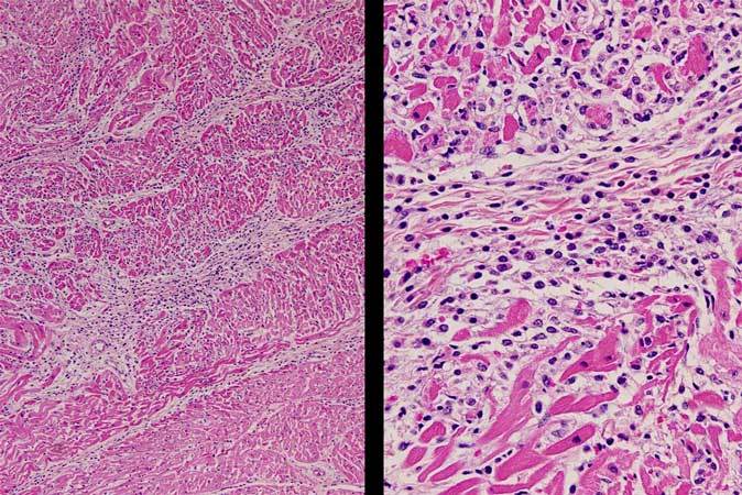
The images show a widespread, infiltrative inflammatory process predominantly composed of lymphocytes and associated with myocyte injury and necrosis, indicative of lymphocytic myocarditis. While many, if not most, cases of lymphocytic myocarditis are due to viral infections, this is not always the case and one should not diagnose viral myocarditis in the absence of directed clinical or autopsy studies identifying a specific etiologic agent. Giant cell myocarditis and sarcoidosis should both have giant cells as a prominent feature while hypersensitivity myocarditis is often a reaction to medications and has an infiltrate predominantly composed of macrophages but also with eosinophils and lymphocytes

How well did you know this?
1
Not at all
2
3
4
5
Perfectly
6
Q
A

The finding of geographic areas of red discoloration on cut section in the lungs (or “leopard spots”) is due to aspiration of blood, or hemoaspiration. This is commonly seen in patient with trauma to the torso (gunshot wound), skull based fractures, or any other lesion that causes excessive bleeding that tracks into the airway, such as ruptured esophageal varices. Anthracosis may show a similar pattern but the spotting should have a black coloration.

How well did you know this?
1
Not at all
2
3
4
5
Perfectly
7
Q

Most common cause in western hemisphere?

A

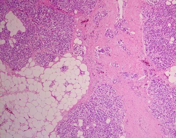
The image shows a pancreas with large areas of fibrosis and fatty replacement, indicative of chronic pancreatitis. The most common cause of chronic pancreatitis in the United States, and most of the western hemisphere, is alcohol.

How well did you know this?
1
Not at all
2
3
4
5
Perfectly
8
Q
A

The images show a widely infiltrative, heterogeneous yellow-tan-green mass affecting much of the cirrhotic liver. These findings are most consistent with a hepatocellular carcinoma. Hepatic adenomas are usually solitary lesions that may enlarge but do not become infiltrative.

How well did you know this?
1
Not at all
2
3
4
5
Perfectly
9
Q

Pregnant woman?

A

The image shows focal pus deposition on the temporal lobes, consistent with infectious meningitis. Meningitis may result from infection by a variety of organisms (viruses are the most common overall), but certain demographic groups are more predisposed to particular pathogens. One such example is Listeria monocytogenes, which is generally innocuous in healthy adults but may be pathogenic in newborn infants, pregnant women, the elderly, and individuals with compromised immune systems.

How well did you know this?
1
Not at all
2
3
4
5
Perfectly
10
Q
A

The gross image shows faint white-tan nodules spread throughout the cut surface of the liver (representing areas of necrosis) and the microscopic section shows hepatocytes with fairly classical herpes viral inclusions and a multinucleated cell just left of center. Congenital herpes virus infection may occur in children of mothers with or without active lesions at birth, but most cases are transmitted during birth instead of in utero. Cytomegalovirus (CMV) may also present in this same age group, possibly with disseminated infection, but CMV inclusions typically have an “owl’s eye” appearance and CMV is not widely reported to cause similar gross pathology findings. Livers with glycogen storage diseases should have vacuolated hepatocytes without viral effect.

How well did you know this?
1
Not at all
2
3
4
5
Perfectly
11
Q
A

The lesion show in the image is a large arachnoid cyst that accounted for approximately 50% of the left cranial cavity. Arachnoid cysts are most commonly developmental anomalies that can affect any area of the brain, with the sylvian fissure frequently involved. Occasionally these lesions may be acquired due to hemorrhage, intracranial surgery, infection, or tumors. Usually, arachnoid cysts are asymptomatic but large lesions like this one may cause symptoms due to increased intracranial pressure and mass effect.

How well did you know this?
1
Not at all
2
3
4
5
Perfectly
12
Q
A

The image shows a heterogenous, mostly solid mass arising in the area of gray-white junctions within the dentate nucleus of the cerebellum. This mass was found to be metastatic small cell carcinoma that originated in the lungs.

How well did you know this?
1
Not at all
2
3
4
5
Perfectly
13
Q

According to the College of American Pathologists, how long should the tissue embedded in paraffin blocks be retained for hospital autopsies?

A

The College of American Pathologists recommend that slides, reports, and paraffin embedded tissue blocks be retained for 10 years and wet tissue samples be retained for 3 months.

How well did you know this?
1
Not at all
2
3
4
5
Perfectly
14
Q
A
How well did you know this?
1
Not at all
2
3
4
5
Perfectly