Soft tissue Flashcards

(42 cards)

1
Q
A

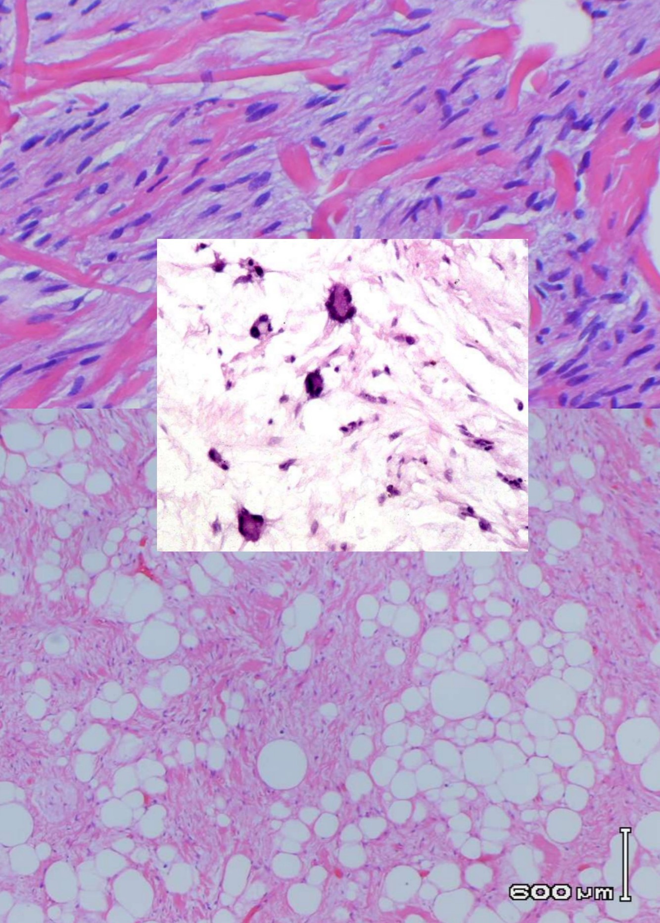
ATYPICAL FIBROXANTHOMA

  • Seen primarily in the elderly population
  • Predilection for sun-exposed skin, especially scalp and ear
  • MFH-like tumor of the dermis
  • Histology
    • Well circumscribed, appears symmetric at scanning magnification
    • Bizarre multinucleated tumor cells in hypercellular, spindly stroma with frequent mitotic figures, many atypical
    • Also smaller fibroblastic, myofibroblastic and histiocyte-like cells with pleomorphism and angulated nuclei
    • Histologically identical to MFH-pleomorphic but centered in dermis
    • Background stroma appears inflammatory or reactive
    • Pushes aside pilosebaceous units and eccrine glands
    • Typically does not involve epidermis or subcutaneous tissue
    • Lacks classic features of fibrous histiocytoma (entrapped hyalinized collagen bundles and epidermal hyperplasia)
    • No grenz zone, no necrosis, no vascular invasion, no infiltrative margins
  • Stains
    • Positive: Vimentin, and p53
    • Negative: Cytokeratin, S-100, Desmin or smooth muscle actin, LN-2 antibody (CD74)
  • Diagnosis of exclusion – need to exclude the diagnosis of melanoma
  • Excellent prognosis
How well did you know this?
1
Not at all
2
3
4
5
Perfectly
2
Q

Spindle Cell DDx Markers

A
How well did you know this?
1
Not at all
2
3
4
5
Perfectly
3
Q
A

PLEXIFORM FIBROUS HISTIOCYTOMA

  • Primarily children and young adults; F > M
  • Subcutaneous mass of the extremity
  • Biphasic: fascicles of fibroblasts and plexiform nodules of histiocytoid cells with multinucleated giant cells
  • Local recurrences common; distant metastasis rare
How well did you know this?
1
Not at all
2
3
4
5
Perfectly
4
Q
A

Angiomatoid fibrous histiocytoma

  • t(12;16)(q13;p11)
  • EWSR1-CREB1, EWSR1-ATF1, or FUS-ATF1 fusion
  • children and young adults
  • subcutaneous tissues of extremities
  • Spindled and histiocytoid cells with cystic hemorrhages; marginated by plasma cells and lymphocytes
  • Local recurrences common; distant metastasis rare
How well did you know this?
1
Not at all
2
3
4
5
Perfectly
5
Q
A

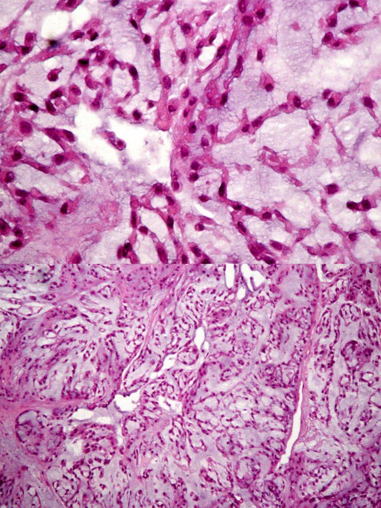
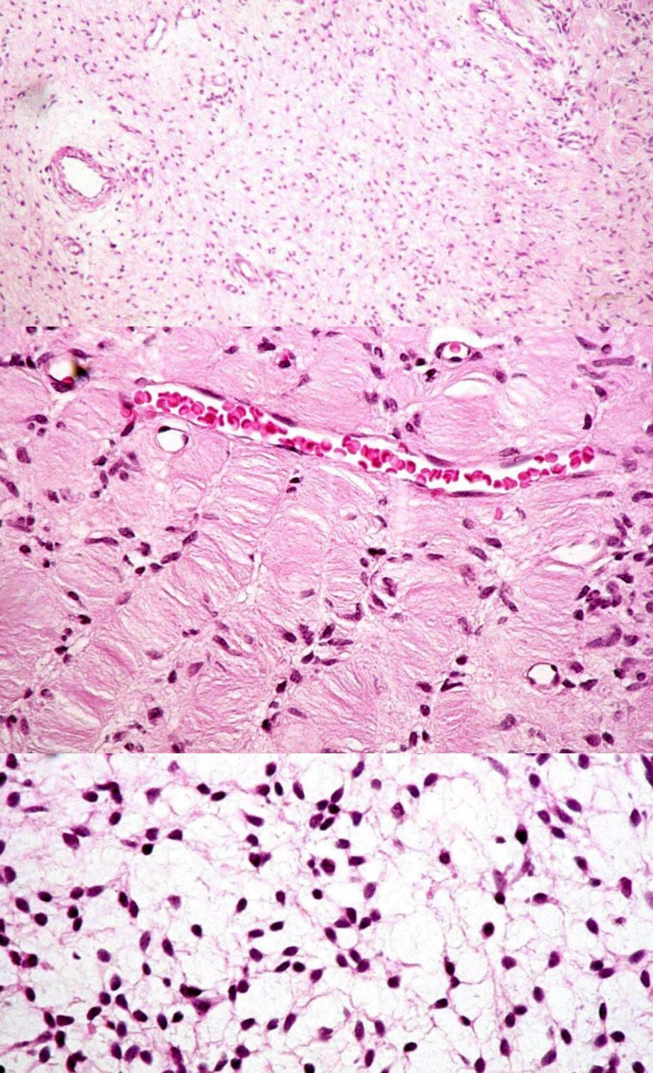
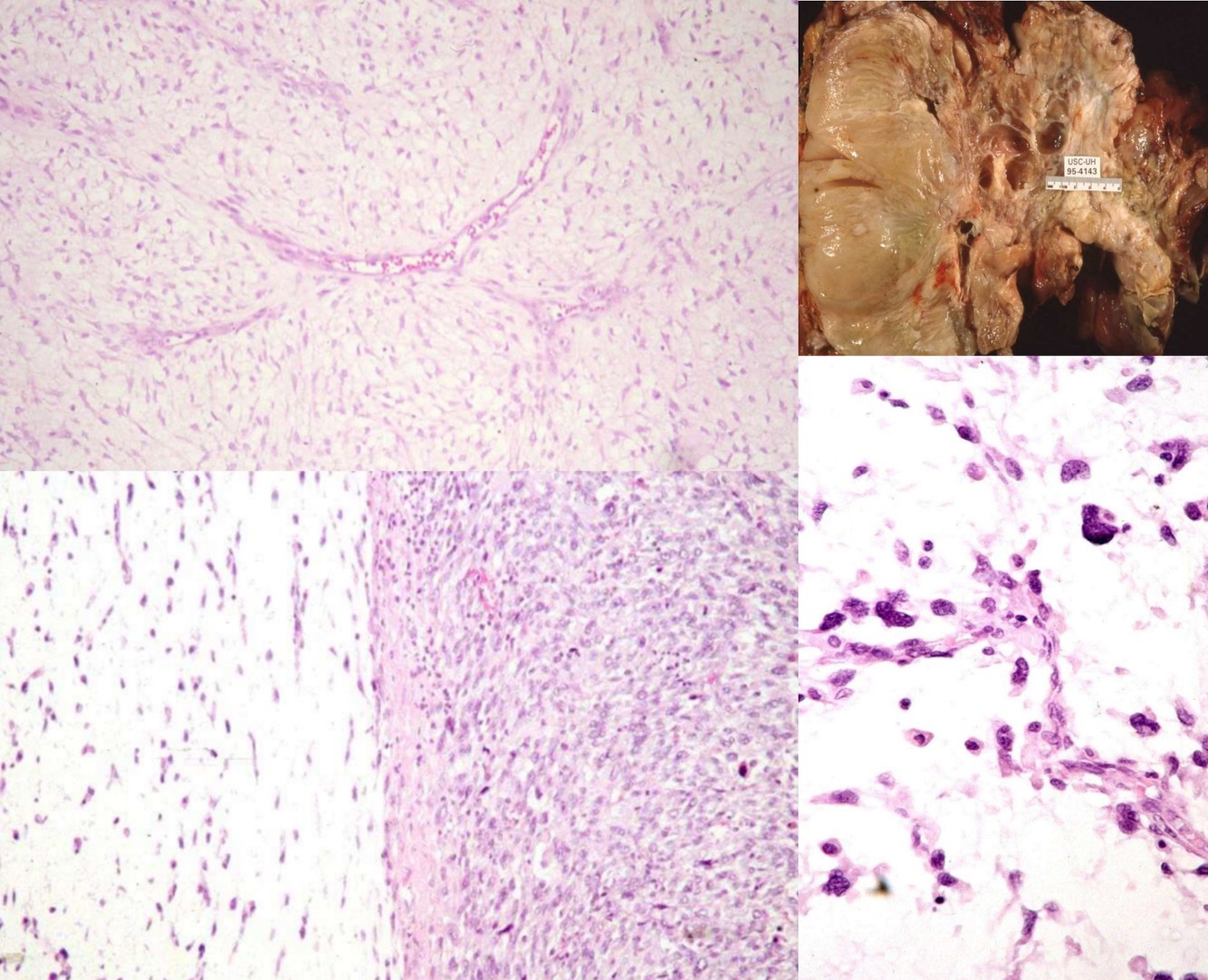
Myxofibrosarcoma

  • Highly complex karyotypes, often 6p-, 9q+, 12q+
  • A myxoid subtype of undifferentiated pleomorphic sarcoma
  • elderly patients, predominately in extremities, 2/3 within dermis and subcutis, remainder in deep skeletal muscle or other deep tissues
    • Retroperitoneal masses with similar histologic features are most likely dedifferentiated liposarcoma
  • Gross:
    • Superficial tumors are multiple myxoid nodules, deep tumors are a single mass with infiltrative margins
    • High grade tumors often have tumor necrosis
  • Histology:
    • Multinodular tumor composed of pleomorphic spindle cells in myxoid background
    • “Pseudolipoblasts” may be seen (tumor cells with cytoplasmic vacuoles filled with mucin/myxoid material)
    • More solid areas are often seen similar to typical undifferentiated pleomorphic sarcoma
    • Curvilinear vessels (thick walled with broad arc) with condensation of cells around vessels is characteristic, incomplete fibrous septa, myxoid stroma (at least 10% of tumor) and infiltrating immature dendritic cells (Am J Clin Pathol 2003;119:540)
    • Has infiltrative periphery and often sends out long tentacles with frequent positive margins
    • High grade tumors are more cellular with atypical mitotic figures, hemorrhage, necrosis and possibly bizarre multinucleated giant cells
    • Rarely epithelioid
  • Stains:
    • No specific stains exists; +/- vimentin, acid mucins, CD34
    • Negative: Fat stains, S100
How well did you know this?
1
Not at all
2
3
4
5
Perfectly
6
Q
A

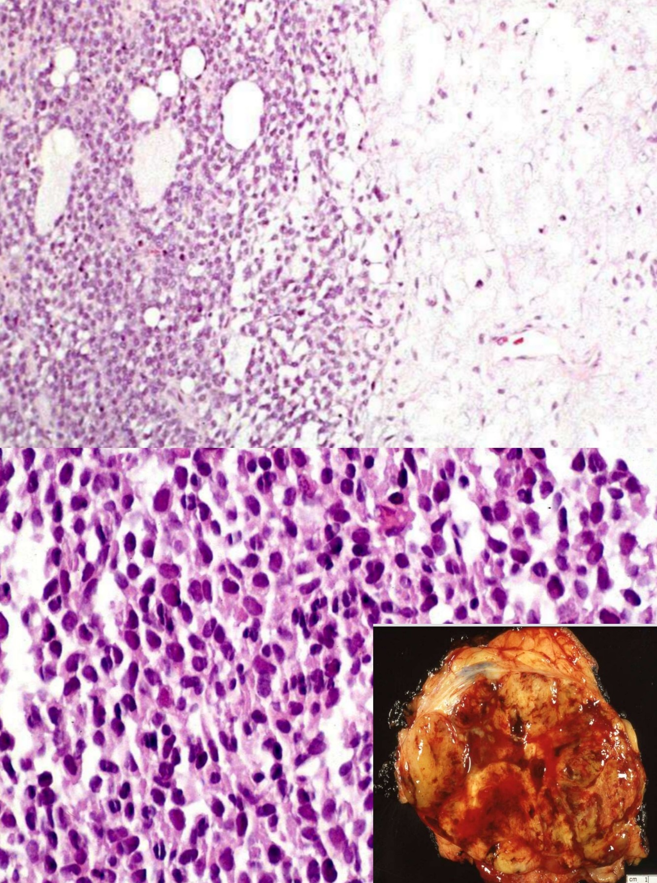
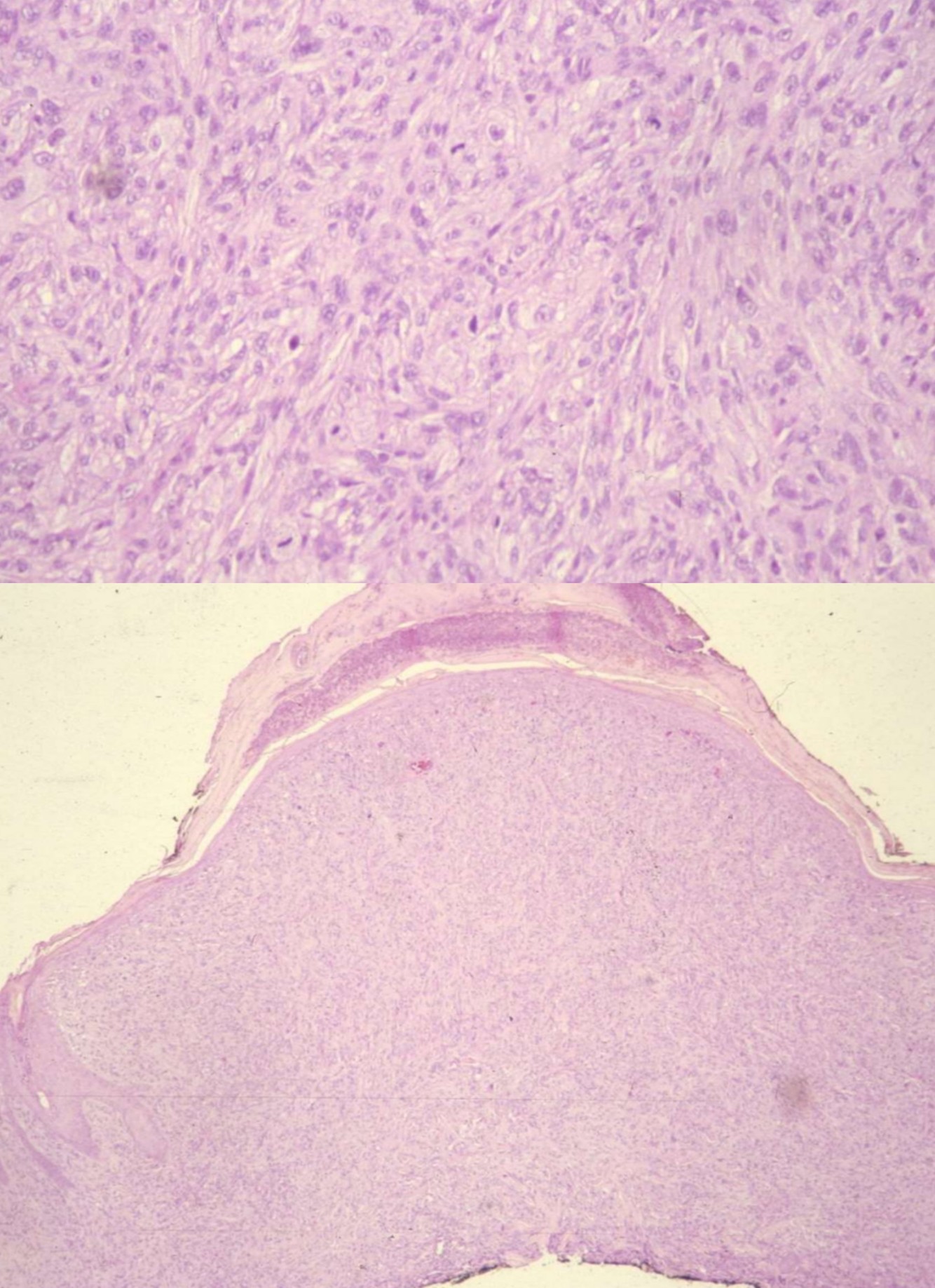
Undifferentiated pleomorphic sarcoma

  • Pleomorphic sarcoma composed of fibroblasts, myofibroblasts and histiocyte-like cells
  • Diagnosis of exclusion; must sample generously and search for other components to rule out a dedifferentiated tumor or evidence of specific differentiation other than fibroblasts or myofibroblasts
  • Usually older adults (age 50+ years) with slight male predominance; more common in lower extremities, rarely retroperitoneum, head and neck, breast
  • Large and deep-seated with progressive enlargement
  • Sarcomas adjacent to orthopedic implants or post-radiation are usually osteosarcoma or MFH
  • Pleomorphic and bizarre tumor cells with foamy cytoplasm and marked atypia, in background of inflamed collagenous stroma
  • Histologic types: storiform/pleomorphic, giant cell, inflammatory, myxoid
  • Numerous mitotic figures, including atypical forms
  • Rarely metaplastic (not neoplastic) bone or cartilage
How well did you know this?
1
Not at all
2
3
4
5
Perfectly
7
Q
A

SUPERFICIAL ANGIOMYXOMA

  • Primarily young adults
  • Trunk, lower extremities, head & neck
  • Generally solitary, can be multiple in cases of Carney complex (endocrinopathy, mucocutaneous pigmentation, myxoma)
  • Multilobulated growth, abundant stromal mucin, curvilinear vasculature, stromal,neutrophils
  • Differential diagnosis: low-grade myxoid MFH
How well did you know this?
1
Not at all
2
3
4
5
Perfectly
8
Q

MYXOID TUMORS WITH PROMINENT VASCULATURE

A

MYXOID TUMORS WITH PROMINENT VASCULATURE

  • Myxoid liposarcoma
  • Myxofibrosarcoma
  • Superficial angiomyxoma
How well did you know this?
1
Not at all
2
3
4
5
Perfectly
9
Q
A

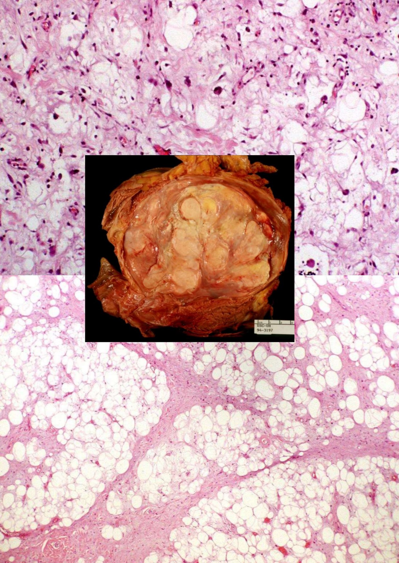
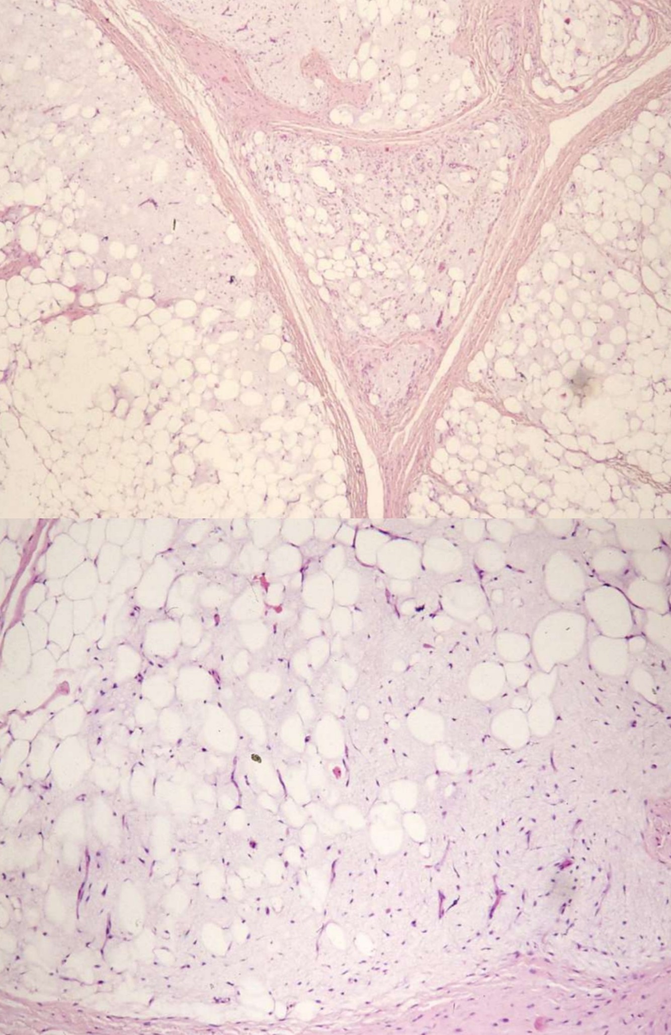
SPINDLE CELL LIPOMA

  • Subcutaneous mass, posterior neck, shoulder and upper back
    • Similar tumors elsewhere classified as atypical lipomatous tumors or well differentiated liposarcoma if deep
  • Men 90%, 45-65 yo
  • Genetics:
    • 16q or 13q abnormalities in 70%
    • Frequently hypodiploid
  • Gross:
    • Usually 3-5 cm, well circumscribed, yellow-gray-white, firmer than classic lipoma
  • Histology:
    • Mature adipose tissue, spindled cells, and ropy collagen
    • Floret-like multinucleated giant cells –> pleomorphic lipoma
  • CD 34+
How well did you know this?
1
Not at all
2
3
4
5
Perfectly
10
Q
A

ATYPICAL LIPOMATOUS TUMOR / WELL-DIFFERENTIATED LIPOSARCOMA

  • One of the most common soft tissue sarcoma of adulthood
  • lower extremities and retroperitoneum
  • Genetics:
    • Ring or giant marker/rod chromosomes derived from 12q13-15 in almost all cases
    • Amplifications of the 12q12-21 and 10p11-14 regions
    • MDM2 and CDK4 by FISH or real time PCR can differentiate from other sarcomas
    • Carboxypeptidase M amplification may be alternative diagnostic tool
    • Other rearrangements include amplifications of 12q12-21 and 10p11-14 regions
  • Histology
    • Mature fat plus variably sized adipocytes and fibromyxoid stroma containing spindle cells with large, deep-staining nuclei and marked nuclear enlargement or pleomorphism
    • Cellularity is low and mitotic figures are uncommon
    • Usually fibrous tissue septa are present that may contain spindle cells or highly pleomorphic cells
    • Some nuclei have sharply outlined vacuoles (Lochkern)
    • Rarely heterologous differentiation
    • No/few lipoblasts
    • May be associated with metaplastic bone formation
      • Rarely has low grade osteosarcomatous component
    • Includes lipoma-like and sclerosing variants
  • Stains:
    • Postive: MDM2 and CDK4 (both together are sensitive and specific, S100 (adipocytes in 2/3 of cases), CD34 (some spindle cells), Usually p16
    • Negative: HMB45
How well did you know this?
1
Not at all
2
3
4
5
Perfectly
11
Q
A

MYXOID LIPOSARCOMA/ROUND CELL

  • t(12;16) translocation
  • Histologic triad: abundant stromal mucin, delicate plexiform vasculature, lipoblastic differentiation
  • Myxoid and round cell liposarcomas represent opposite ends of spectrum
How well did you know this?
1
Not at all
2
3
4
5
Perfectly
12
Q

Infant

A

LIPOBLASTOMA

  • Genetics:
    • Rearrangement of 8q11 approximately q13 region in 82%, includes PLAG1 gene
    • Produces HAS2-PLAG1 and COL1A2-PLAG1 hybrid genes
    • Also polysomy chromosome 8
    • t(3;8)(p13;q21.1) also described
  • Infants and young, M > F
  • Extremities > trunk, head and neck
  • Painless superficial soft tissue mass, 75% on left side
  • Histology:
    • Almost always subcutaneous
    • Multilobular growth pattern
    • Admixture of immature cells, stromal mucin and plexiform vessels
How well did you know this?
1
Not at all
2
3
4
5
Perfectly
13
Q
A

GIANT CELL TUMOR OF TENDON SHEATH

  • Primarily adults
  • Predilection for hands and wrists
  • Circumscribed, often with fibrous bands
  • Polymorphous population of histiocytoid cells, multinucleated giant cells, chronic inflammatory cells
How well did you know this?
1
Not at all
2
3
4
5
Perfectly
14
Q
A

PIGMENTED VILLONODULAR TENOSYNOVITIS

  • Intra-articular counterpart of giant cell tumor of tendon sheath
  • Predilection for large joints, including hip and knee
  • More diffuse growth; often large amount of hemosiderin deposition
  • Differential diagnosis: hyperplastic synovitis, particularly in hemophiliacs
How well did you know this?
1
Not at all
2
3
4
5
Perfectly
15
Q
A

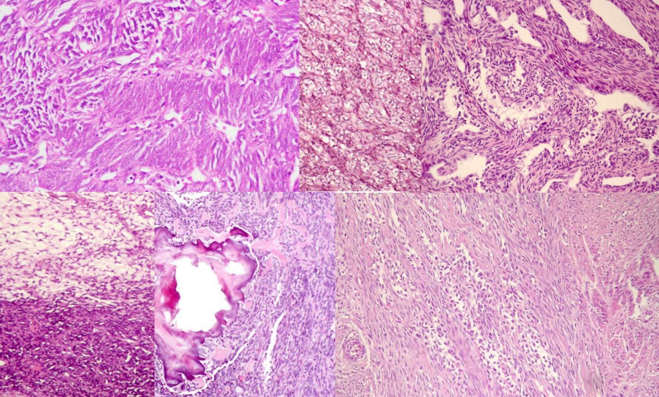
SYNOVIAL SARCOMA

  • Genetics:
    • t(X;18)(p11.2; q11): SYT-SSX1 genes in 90%; can detect via PCR
    • t(X;18)(p11.21;q11): SYT-SSX2 fusion genes; variants can be detected by optimizing RT-PC
    • p16INK4A gene deletion in 74%
    • High expression of EZH2 helps to distinguish poorly differentiated synovial sarcoma from monophasic and biphasic subtypes
  • Clinical:
    • deep seated mass present for years around large joints (80% in knee and ankle) in young adults (age 20-40), M > F
    • 10-15% metastasize to lung and pleura, bone, regional nodes
    • Minute (< 1 cm) tumors of hands and feet, F > M, median 29 yo
  • Gross:
    • Well circumscribed, firm, gray-pink
    • Focal calcifications on Xray
  • Histology:
    • Biphasic, monophasic or undifferentiated
      • Biphasic have spindle cells resembling synoviocytes and plump epithelial cells forming glands/cords
      • Monophasic lack the epithelial cells
    • Spindle cells are arranged in plump fascicles with hyalinization and distinct lobulation accompanied by mast cells, occasional osseous or cartilaginous metaplasia, focal whorling
    • +/- hemangiopericytomatous vascular pattern
    • Monophasic much more common than biphasic.
  • Stains
    • Positive: Keratin, EMA, S100, bcl2, TLE1, CD99, vimentin, CEA, CD57, E-cadherin (50%), S100 (30-40%), c-kit , nuclear beta-catenin
    • Negative: CD34, desmin, myogenin, h-caldesmon, CD141, WT1, FLI-1
    • Mucin - spindle cell areas, PAS positive - epithelium, reticulin highlights biphasic pattern
  • Poor prognostic factors: high histologic grade (based on MIB1 index and necrosis), SYT-SSX1 vs. SYT-SSX2 gene fusion
How well did you know this?
1
Not at all
2
3
4
5
Perfectly
16
Q

HPC-LIKE VASCULARnPATTERN

A

HPC-LIKE VASCULARnPATTERN

  • HPC/SFT
  • Synovial sarcoma
  • Mesenchymal chondrosarcom
How well did you know this?
1
Not at all
2
3
4
5
Perfectly
17
Q
A

NEUROFIBROMA

  • Monophasic growth; variable amount of collagen and stromal mucin
  • Rare mitotic activity; presence of mitoses an ominous sign of malignancy
  • Malignant transformation not uncommon, particularly in neurofibromatosis
  • Plexiform NF – virtually pathognomonic for neurofibromatosis
18
Q
A

DIFFUSE NEUROFIBROMA

  • Children and young adults
  • Dermal-based, but can involve subcutaneous tissues.
  • Not uncommon to see hybrids of plexiform and diffuse neurofibroma; associated with neurofibromatosis in 10% of cases.
  • S100+
19
Q
A

NERVE SHEATH MYXOMA

  • Controversial regarding histogenesis and classification; relationship to neurothekeoma?
  • Peak incidence 4th decade
  • Primarily extremities, particularly fingers
  • Primarily dermis, subcutaneous tissue
  • Multilobular growth
  • S100+
20
Q
A

MALIGNANT PERIPHERAL NERVE SHEATH TUMOR

  • S100 negative except for epithelioid MPNST.
  • Definitive diagnosis of MPNST: history of neurofibromatosis, origin from major nerve trunk, areas of a benign PNST
  • Variants of MPNST: Triton tumor, MPNST with angiosarcoma, epithelioid MPNST
21
Q
A

EXTRASKELETAL MYXOID CHONDROSARCOMA

  • Deep soft tissues of extremities
  • t(9;22) translocation
  • Multinodular growth pattern, abundant stromal mucin
  • Linear cords of eosinophilic cells, sometimes rhabdoid in appearance
  • Variably S100+, keratin -, EMA -
22
Q
A

INTRAMUSCULAR MYXOMA

  • Reactive process, not a true neoplasm
  • Large muscle groups of extremities, most often the thigh
  • Usually solitary, sometimes multiple
  • Mazabraud syndrome: multiple intramuscular myxomas and fibrous dysplasia of bone
23
Q
A

ALVEOLAR SOFT PART SARCOMA

  • Genetics:
    • t(X;17)
    • Chromosomen1, 5, 13, 17 abnormalitys
  • Clinical:
    • Deep soft tissue of oral cavity, pharynx, mediastinum, thigh/leg
    • Usually young females
    • Highly malignant, although clinical course is slow/indolent
    • Metastases up to 30 years later to veins, lungs, other
    • Lung metastases may be presenting feature
  • Gross:
    • Well circumscribed, large, gray-yellow, hemorrhage, necrosis
    • 2-14 cm
  • Histology:
    • Well defined nests of cells separated by fibrous stroma
    • Alveolar pattern if cells discohesive
    • Composed of large polygonal cells with granular eosinophilic cytoplasm, vesicular nuclei, prominent nucleoli
    • Vascular invasion common; also characteristic rod-shaped crystalloids
    • No/rare mitotic figures, minimal pleomorphism
  • Positive: TFE3, PAS+ diastase resistant needle-like structures, MyoD1 (cytoplasmic only)
  • Prognostic impact:
    • Size, presence of 17q25 abnormality, AJCC stage, age
  • Diff DX: metastatic renal cell ca, paraganglioma
24
Q
A

EPITHELIOID SARCOMA

  • Adolescents and young adults
  • Predilection for fingers, hands and forearm; presents as non-healing ulcers of skin
  • Multiple nodules of epithelioid cells with minimal cytologic atypia, often with central necrosis
  • Tumors at proximal sites such as trunk often have carcinoma-like features, including rhabdoid-like
  • IHC: Immunoreactive for keratin, EMA, CD34
  • Loss of INI1 expression (INI1 gene on 22q11.2)
  • Differential diagnosis: carcinoma, epithelioid angiosarcoma
25
CLEAR CELL SARCOMA TENDON & APONEUROSES * Genetics: * t(12;22)(q13;q12): ATF1 and EWS (not seen in melanoma) * Usually diploid or less aneuploidy than metastatic melanoma to soft tissue * Tumors in GI tract may have a variant fusion gene EWSR1-CREB1 * Absence of BRAF mutation * Clinical: * Young adults, predominantly women * extremities, particularly foot and ankle * High rate of local recurrences; eventually **lymph node** and distant metastases * Gross: * Firm, well circumscribed, gray-white, gritty sensation when cutting * Median 4 cm, range 1-15 cm * Variable necrosis * Histology: * Nests of pale fusiform epithelioid cells, encased by thin fibrous septa * mixture of spindle, epithelioid and tumor giant cells * Melanin pigment in 2/3 * May have floret-like multinucleated giant cells * Often rhabdoid cells, bizarre pleomorphic cells * Usually necrosis * Mean 4 MF/10 HPF * Positive: S100 and HMB45
26
DESMOPLASTIC SMALL ROUND CELL TUMOR * Primarily young adults, predominantly men * Predilection for peritoneal and pleural cavities * Small cell tumor with desmoplastic stroma * Multipotential cellular differentiation: immunoreactive for cytokeratin, desmin, NSE * t(11;22)(p13;q12) * Highly aggressive neoplasm
27
Rhabdomyosarcoma
Rhabdomyosarcoma * Myogenin expression is essentially diagnostic * Most common soft tissue sarcoma of childhood * Up to 10% of all childhood malignancies * Histologic types * Embryonal (includes botryoid, spindled and NOS) * Alveolar * Mixed embryonal and alveolar * Sclerosing * Pleomorphic
28
EMBRYONAL RHABDOMYOSARCOMA Most common type \< 10 yo hollow visceral organs, GU, head and neck Variants: botryoid (involves hollow viscus) and spindled-cell type
29
* Prognosis? * Location? * Age? * Clinical presentation? * Frequency of recurrence? * Cell of origin? * Genetics? * Most helpful diagnostic marker? caveat? * Best way to detect mutation? DDx:
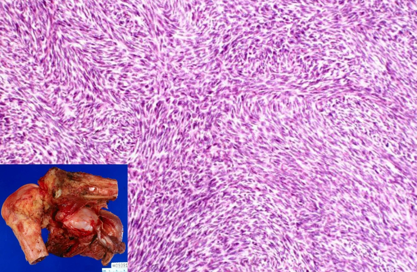
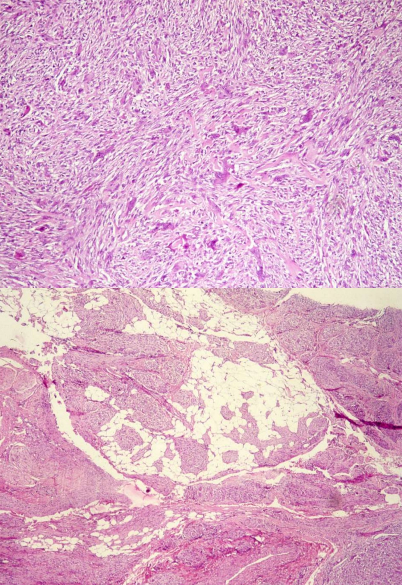
Dermatofibrosarcoma Protuberans * slow-growing dermal spindle cell tumor of intermediate malignancy * typically occurs on the trunk and proximal extremities of young and middle-aged adults * solitary lesion or multiple polypoid nodules arising in an indurated plaque * Local recurrence is common, occurring in one third of all cases. * immunohistochemical and ultrastructural evidence indicates a fibroblastic origin * t(17;22) translocation in \> 90% --\> pathogenic COL1A1-PDGFB fusion gene * most helpful diagnostic marker is CD34, which stains 50% to 100% of the cells * CD34 is negative or focally positive in dermatofibromas * PCR may be used to identify the COL1A1-PDGFB fusion gene DDx: Giant cell fibroblastoma * considered a variant of dermatofibrosarcoma protuberans that often manifests in childhood * may exhibit the same immunogenetic and cytogenetic profile as DFSP Fibrosarcomatous change in DFSP * characterized by a fascicular or herringbone growth pattern, represents malignant transformation * fibrosarcomatous areas express CD34 in less than 50% of cases
30
Stains? EM? Mutation? Acute disseminated form? 2 other types?
Langerhans Cell Histiocytosis * Langerhans cell histiocytosis previously was divided into multiple clinical subtypes, but there is much overlap. The different forms of Langerhans cell histiocytosis have similar pathology in that there is a proliferation of Langerhans cells, which can be identified by the distinctive reniform, or kidney-shaped, nuclei. * Langerhans cells stain positively with S-100 protein and CD1a immunohistochemical stains. Langerhans cells do not stain with CD68. * With electron microscopy, characteristic Birbeck granules are seen within Langerhans cells. The Birbeck granules resemble a tennis racquet. * BRAF V600Emutation Letterer-Siwe disease * acute disseminated form of Langerhans cell histiocytosis * usually seen in infants and has many systemic manifestations * skin lesions are characterized by hyperpigmented scaly patches, which can coalesce and form a seborrheic dermatitis–like eruption * unresponsive dermatitis in the diaper area * hyperpigmented papules with associated hemorrhage at the periphery of the dermatitis area Hand-Schüller-Christian disease * a form of Langerhans cell histiocytosis that is characterized by the triad of bone lesions, exophthalmos, and diabetes insipidus Eosinophilic granuloma * a form of Langerhans cell histiocytosis that usually consists of either a few lesions or one lesion and most commonly affects the bone * skin and oral mucosa occasionally can be involved. Congenital self-healing reticulohistiocytosis * also known as Hashimoto-Pritzker disease * a variant of Langerhans cell histiocytosis with a very good prognosis * lesions are often present at birth but can manifest within the first few weeks of life as well * most commonly, there are scattered papules and nodules over the skin * occasionally, only a single lesion is present
31
Incidence? Age? Location? Presentation? Gross? Histology? Treatment? Prognosis?
Acral myxoinflammatory fibroblastic sarcoma * rare mesenchymal neoplasm of low malignant potential * adults in the fourth and fifth decade * slow growth and paucity of symptoms * distal extremities * subcutis of fingers and hand 60% \> toes, foot, and ankle 30% \> forearm and arm \> rare in the trunk * Gross: superficial, multinodular, average 3 cm * Histology: * mixture of inflammatory cells and epithelioid or spindle tumor cells, embedded in poorly vascularized and variably myxoid stroma +/- large mucin pools * characteristic cells with abundant cytoplasm and large nuclei with vesicular chromatin and large virocytelike eosinophilic macronucleoli (Reed-Sternberg like) * multivacuolated lipoblastlike tumor cells +/- * low-grade sarcoma, frequent local recurrences following surgery * no proven distant metastases or tumor deaths * surgery is the treatment of choice
32
Age? Gender? Location? Presentation (early and late)? Prognosis? Tx? What reduces recurrence? Gross? Histology? Stain? What counts as fibrosarcomatous transformation? Most common site of dissemination? Mutation?
Dermatofibrosarcoma protuberans * young adults * male predominance * trunk and the proximal extremities * early lesions have a plaquelike appearance and late lesions are multinodular with skin ulceration * low-grade sarcoma with a high propensity for local recurrence if incompletely excised * complete excision requires wide margins because of infiltration beyond the grossly visible margins * recurrence rate of 20% within 2 years of surgery * Mohs surgery significantly reduces the rate of recurrence ( * Gross: the lesion is firm and fibrous and varies from a small dermis based plaquelike area or nodule to a large multinodular lesion that ulcerates the overlying skin and deeply involves the underlying adipose tissue * occasionally may be purely subcutaneous * Histology: * proliferation of uniform, mildly atypical spindle cells, arranged in a tight, repetitive storiform pattern * infiltrates the dermis surrounding the epidermal appendages and infiltrates the fat in a checkerboard or beaded pattern * lesional cells are uniformly CD34 positive * may contain fascicular areas that are indistinguishable from fibrosarcoma * composed of intersecting fascicles of spindle cells with increased atypia and mitotic activity (\>10 mitoses per 10 HPFs) * to be considered fibrosarcomatous, must represent \> 5% of the entire lesion * DFSP with fibrosarcomatous transformation has a small but definite metastatic potential 5% to 10% * lung is the most common site of dissemination * t(17;22) *COL1A1-PDGFB*
33
DDx in pleura? Best panel of stains?
Immunohistochemistry of Thoracic Neoplasm * CD34, BCL2, Calretinin, CK, S100, SMA Solitary fibrous tumor of the pleura (SFTP) * positive for anti-CD34 and anti-BCL2. mesothelioma * anticalretinin and anticytokeratin (anti-CK) staining nerve sheath tumors * anti-S100 staining myofibroblastic and smooth muscle proliferations * smooth muscle markers, SMA The pleural location essentially excludes any primary gastrointestinal stromal tumor, and thus, CD117 and DOG-1 staining are not a primary concern. * Similarly, negative anti-CK staining excludes virtually all primary pulmonary carcinomas, thus staining for anti- thyroid transcription factor (anti-TTF-1) is a low priority. * Antidesmin may be added to the panel to distinguish SFTP from other spindle cell neoplasms, but antismooth muscle actin (anti-SMA) is a better choice, because it covers both neoplastic and nonneoplastic smooth muscle and myofibroblastic proliferations. Both are negative in solitary fibrous tumor of pleura.
34
Location? Presentation? Prognosis? Imaging? Gross? Histology? Other forms?
Pigmented Villonodular Synovitis * aggressive, proliferative lesion * large joints * causes erosion of adjacent bones * joint is usually swollen, not painful or only slightly painful, and there may be +/-symptoms of internal derangement * no systemic symptoms * Xray: swelling in and around the joint, joint narrowing, erosion of the articular margins, and lytic defects of the bone * MRI and CT: punctate signal voids in the lesion * Gross: rusty brown color of the joint fluid and synovial surfaces, which have both a fernlike villous and nodular appearance * Histology: * striking villous hypertrophy of the synovial surface lined by hyperplastic cells that are heavily laden with hemosiderin pigment * large nodules formed by coalescence of the villi * membrane is hypervascular and is crowded with aggregates of lipid-laden macrophages, scattered giant cells, and occasional lymphocytes * surgical excision * recurrences are common because of the difficulty of complete surgical removal * A nodular form (diffuse nodular synovitis) may involve the large joints with the knees much more frequently affected than the hips and ankles. * A single nodule may occur in a large joint such as the knee (localized nodular synovitis) but is very common in the tendon sheaths around the finger joints (localized nodular tenosynovitis).
36
Sclerosing hemangioma * related to pneumocytes at different stages of maturation * lesional cells are cytokeratin positive in lining areas and diffusely TTF-1 positive * generally benign although rare cases have been shown to have lymph node metastasis (do not appear to affect prognosis) * 4 typical patterns * papillary, solid, sclerotic, and angiomatoid * not always all present in the same tumor
37
Epithelioid hemangioendothelioma * peak incidence in the fifth decade of life * deep soft tissue \> subcutis and skin * lower and upper extremities \> trunk, head and neck, mediastinum, and abdominal cavity * solitary, slightly painful mass ~3 cm * most originate within vessels * gross appearance of an organizing thrombus with a variegated white-red cut surface, or it may be an ill-defined pale and firm lesion * cords and nests of round to spindled endothelial cells embedded in myxohyaline matrix resembling cartilage * tumor cells have uniform round nuclei and abundant eosinophilic cytoplasm that is often vacuolated, giving the cell the appearance of a “blister” cell * mitotic activity is low ( * increased cytologic atypia and mitotic activity are usually associated with a more aggressive behavior * Positive: CD31, CD34, FLI1, and Factor VIII * recurrent t(1; 3) (p36.3; q25) translocation * unpredictable behavior, high-risk tumors are usually * \> 3 cm and have \>3 mitoses per 50 * high risk patients may benefit from adjuvant chemotherapy, in the same way of patients with hepatic and pulmonary EHE
38
Dx? Age? Gender? Prognosis?
Myxoid Chondrosarcoma * rare variant of chondrosarcoma that may occur in soft tissue or bone * 40s to 50s * men are affected twice as often as women * Histology * monotonous proliferation of uniform, relatively small cells, deeply acidophilic cytoplasm and vesicular nuclei * sheets and cords in a very myxoid stroma * Wide surgical excision is the treatment of choice. * Despite a slow, protracted course, late recurrences and metastases occur commonly.
39
Dx? Age? Gender? Location?
Langerhans Cell Histiocytosis * Langerhans cell histiocytosis is a neoplastic proliferation of large specialized dendritic cells (Langerhans cells) admixed with a mixed inflammatory population composed of an abundance of eosinophils, neutrophils, lymphocytes, and plasma cells. The disease may be present as a single lesion (monostotic) or as a few or multiple lesions involving several bones and may be associated with involvement of other tissues. * Individuals of any age may be affected, but 80% to 85% of patients are younger than age 30, and 60% are younger than 10 years. There is a male predilection. * Langerhans cell histiocytosis most commonly involves the femur, the bones of the pelvis, and the mandible. In the long bones, it is most often diaphyseal. In adults, the ribs are the most common site. The monostotic form is much more common (80% of cases) than the polyostotic form. * Histology is characterized by the presence of proliferating Langerhans cells intermixed with inflammatory cells, such as lymphocytes, neutrophils, plasma cells, and frequently many eosinophils. The morphologic hallmark of this lesion is a large histiocyte with abundant cytoplasm and a longitudinal nuclear groove imparting a “coffee bean” appearance to the nucleus. Despite the previous name eosinophilic granuloma, eosinophils are not an essential component of the lesion. * The Langerhans cell typically expresses S100 and CD1a. The typical finding on electron microscopy is the cytoplasmic racket-shaped Birbeck granule.
40
41
Dx? Radiology? Histology? Stains? Prognosis?
Chondroblastoma * Chondroblastoma is a tumor of immature cartilage, accounting for 1% of bone tumors. It occurs in skeletally immature individuals (first and second decades) and favors the epiphyses of long bones, being typically located in the distal femur, proximal tibia, and proximal humerus. It may involve less frequently the axial bones, vertebrae, and talus and calcaneus. * Clinically, pain—present for several months to several years—is a consistent symptom. There may be associated joint effusion in lesions that reach up to the subarticular endplate. * Radiographically, chondroblastoma is a small lesion (2.5 to 6.0 cm) that causes a sharply demarcated radiolucency circumscribed by a sclerotic rim of bone. Irregular calcifications may be seen. * Chondroblastoma is characterized by cohesive sheets of uniform, small cells with well-defined margins (chondroblasts) that often show a pavementlike architecture. Ill-defined nodules of fluffy acidophilic matrix representing immature cartilage (chondroid) are associated with the cells. Not unusually, chondroblasts may show mitoses (one to two in 10 high-power fields) without atypical figures. Giant cells of various sizes are arranged in clusters distributed throughout the tumor. Calcifications of the chondroid matrix around the chondroblasts form a basophilic mesh (“chicken-wire” calcifications); although these “chicken-wire” calcifications are characteristic of this lesion, they are not always present. The tumor frequently undergoes aneurysmal transformation. The tumor consistently expresses vimentin and S100 and is reported to show positivity for cytokeratins. * In most cases, the tumor has a limited growth potential and follows a benign course. Recurrences occur in about 10% of cases. Benign lung implants (rather than true metastases) can occur and are successfully treated by resection. Aggressive behavior may rarely occur.
42
Reactive Perforating Collagenosis * Reactive perforating collagenosis is a rare perforating disorder characterized by transepidermal elimination of altered collagen. * Classic reactive perforating collagenosis is a genodermatosis inherited in an autosomal dominant or recessive manner, in which lesions are precipitated by trauma. The adult-onset, acquired type of reactive perforating collagenosis is associated with diabetes mellitus and chronic renal failure, especially in patients on dialysis, and is considered a type of acquired perforating dermatosis. * Reactive perforating collagenosis is clinically characterized by papulonodules that have a central keratotic dell and resemble lesions of molluscum contagiosum or prurigo nodularis. The histologic combination of a saucer-shaped invagination containing neutrophilic debris and vertically oriented strands of collagen that have perforated through the epidermis is characteristic. * Masson trichrome stain can be performed to confirm that the perforating fibers represent collagen. The collagen stains blue-green. * Other forms of perforating disorders in the differential diagnosis of reactive perforating collagenosis include Kyrle disease, perforating folliculitis, and elastosis perforans serpiginosa. Kyrle diseases results in a cornified plug within an invaginated epidermis without follicular involvement. Perforating folliculitis shows a hyperkeratotic plug with basophilic debris associated with a follicular unit. Elastosis perforans serpiginosa demonstrates perforation of van Gieson-positive elastic fibers through the epidermis.
52
aka? Histology? Age? Prognosis? Sites?
Langerhan’s Cell Histiocytosis * aka histiocytosis X, eosinophilic granuloma, Hand-Schuller-Christian disease, Letterer-Siwe disease * clinically diverse and can have local or generalized symptoms * Histology * proliferation of Langerhan-type histiocytes accompanied by a mixed inflammatory component * Approximately 85% of cases occur before age 30 and 60% occur before age 10 * Prognosis is excellent for single-focus disease * Common sites include skin, bone, liver, and lung