AP CP initial decks from RD > EM > Flashcards
PRIMER FOR DIAGNOSTIC CELLULAR ORGANELLES
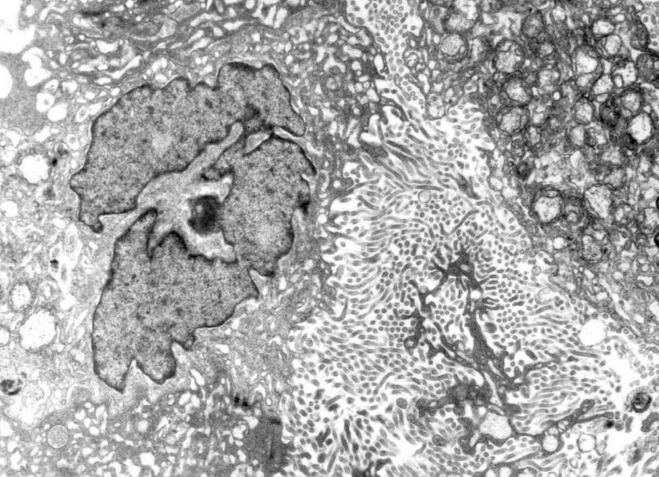
MESOTHELIOMA
NEUROENDOCRINE NEOPLASMS
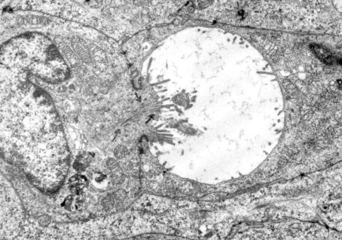
Mucin
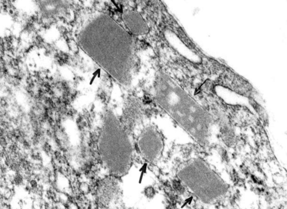
Melanosomes
Melanoma
Adenocarcinoma
ALVEOLAR SOFT PART SARCOMA