Cytopath Flashcards

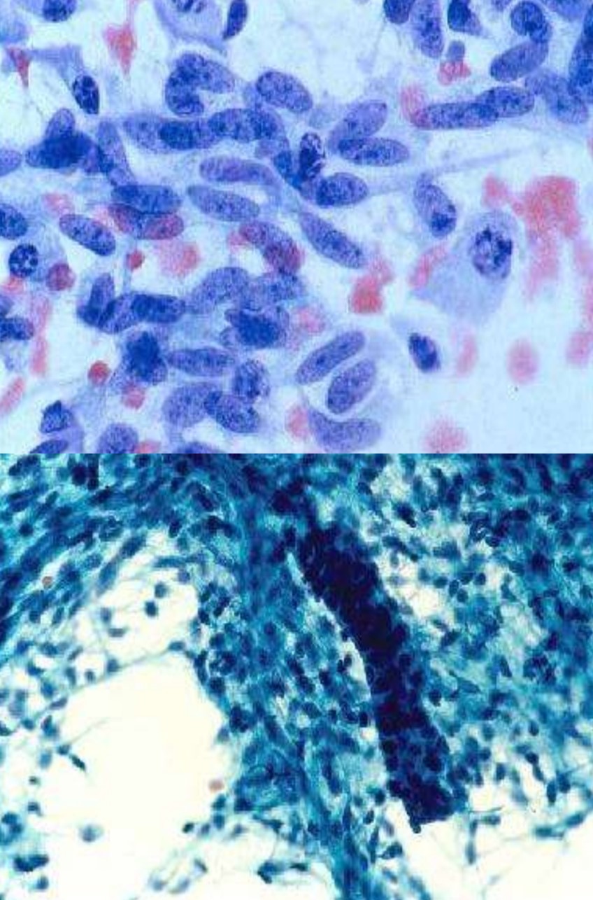
(61 cards)

1
Q
A

SCC on Pap

How well did you know this?
1
Not at all
2
3
4
5
Perfectly
2
Q

Approximately __% of women with an LSIL Pap result prove to have HSIL (CIN2/CIN3) on biopsy.

__% of untreated LSILs progress to invasive squamous cancer.

A

Most LSILs regress. Approximately 18% of women with an LSIL Pap result prove to have HSIL (CIN2/CIN3) on biopsy. Less than 1% of untreated LSILs progress to invasive squamous cancer.

How well did you know this?
1
Not at all
2
3
4
5
Perfectly
3
Q

CELL SIZE

The size is compared to a normal cell or its nucleus (RBC, PMN, lymphocyte, intermediate squamous cell)

Small:

Medium:

Large:

Giant cell:

A

CELL SIZE

The size is compared to a normal cell or its nucleus (RBC, PMN, lymphocyte, intermediate squamous cell)

Small: 2 – 2.5x

Medium: 3 – 6x

Large: 6 – 10x

Giant cell: > 10x size of a lymphocyte

How well did you know this?
1
Not at all
2
3
4
5
Perfectly
4
Q

NUCLEOLI

  • Nucleoli are mostly protein and __
  • Chromocenters stain __
  • Conspicuous:
  • Prominent nucleoli:
  • Macronucleoli:
A

NUCLEOLI

  • Nucleoli are mostly protein and stain red
  • Chromocenters stain blue
  • Conspicuous: seen at 40x / high power
  • Prominent nucleoli: seen at 10x / scanning power
  • Macronucleoli: about the size of RBCs
How well did you know this?
1
Not at all
2
3
4
5
Perfectly
5
Q

STAINS / FIXATIVES

Stains / Fixatives used for FNAs

A

STAINS / FIXATIVES - I

Stains / Fixatives used for FNAs

  • Papanicolaou stain
    • Alcohol fixation
    • Nuclear stain – hematoxylin
    • Cytoplasmic counterstains – OG, EA
    • Alcohol and xylene rinses
  • Rapid Romanowsky stain
    • Air dried smears
    • Solutions I, II and III
  • H & E stain (alcohol fixed smears)
  • Histochemical and Immunohistochemical stains: fixation depends upon stain required
How well did you know this?
1
Not at all
2
3
4
5
Perfectly
6
Q

DQ / ROMANOWSKY GIEMSA STAIN

A

DQ / ROMANOWSKY GIEMSA STAIN

  • Azure B
  • Eosin Y
  • Romanowsky-Giemsa effect
How well did you know this?
1
Not at all
2
3
4
5
Perfectly
7
Q

STAINS / FIXATIVES

Effects of Alcohol Fixation

A

STAINS / FIXATIVES

Effects of Alcohol Fixation

  • Alcohol can act as a solvent
    • Example: RCC
    • DQ retains fat and subsequently can be stained with Sudan III
    • Alcohol fixation dissolves fat
  • Alcohol immersion may cause cell loss
    • Solution: spray fixatives, coated slides
How well did you know this?
1
Not at all
2
3
4
5
Perfectly
8
Q

PAPANICOLAOU STAIN

Advantages?

A

PAPANICOLAOU STAIN

Staining method which depends on degree of cell maturity and cellular metabolic activity

  • Advantages:
    • Nuclear detail
    • Cytoplasmic transparency
    • Cell differentiation (differential cytoplasmic staining)
How well did you know this?
1
Not at all
2
3
4
5
Perfectly
9
Q

PAPANICOLAOU STAIN

The main steps?

A

PAPANICOLAOU STAIN

The main steps are:

  1. Fixation
  2. Hydration
  3. Nuclear staining with hematoxylin
  4. Dehydration
  5. Cytoplasmic staining with Orange G and EA
  6. Rinsing, clearing and mounting
How well did you know this?
1
Not at all
2
3
4
5
Perfectly
10
Q

PAPANICOLAOU STAIN

FIXATION

A

PAPANICOLAOU STAIN

FIXATION

  • 95% ETOH or equivalent
  • Wet fixation (slide immersion)
  • Coating or spray fixatives
    • Alcohol and carbowax mixture
    • Carbowax must be dissolved before staining
How well did you know this?
1
Not at all
2
3
4
5
Perfectly
11
Q

PAPANICOLAOU STAIN

STAINS

A

PAPANICOLAOU STAIN

STAINS

  • Nuclear stain
    • Hematoxylin
    • Chromatin patterns of normal and abnormal cells
  • Cytoplasmic counterstains
    • Orange G and EA
    • Provide cytoplasmic transparency
    • Clear visualization through areas of overlapping cells, mucus and debris
How well did you know this?
1
Not at all
2
3
4
5
Perfectly
12
Q

PROGRESSIVE VS REGRESSIVE METHODS

A

PROGRESSIVE VS REGRESSIVE METHODS

  • Applies primarily to hematoxylin component
  • Progressive: stained until required nuclear optical density is achieved
  • Regressive: Overstains entire cell Acid bath to extract excess Greater variability of staining Less “forgiving” % of dilute HCl difficult to control Timing is critical to remove only excess hematoxylin Some cell loss (less suitable for non-GYN samples which do not adhere as well to the slides)
How well did you know this?
1
Not at all
2
3
4
5
Perfectly
13
Q

ADEQUACY

Minimum number of squamous cells?

Liquid-based:

Conventional:

A

ADEQUACY

Minimum number of squamous cells

  • Liquid-based: 5000
  • Conventional: 8000-12000
How well did you know this?
1
Not at all
2
3
4
5
Perfectly
14
Q

UNSATISFACTORY?

A

UNSATISFACTORY

  • Lack of patient identification
  • Unacceptable specimen
  • Slide broken beyond repair
  • Insufficient squamous component > 75% epithelial cells obscured
    • Blood, inflammation, drying artifact, other
How well did you know this?
1
Not at all
2
3
4
5
Perfectly
15
Q

Gyn CATEGORIES

A

CATEGORIES

  • NILM (negative for intraepithelial lesion or malignancy)
  • Epithelial cell abnormality
    • Squamous
    • Glandular
    • AIS
    • Adenocarcinoma
    • Other
  • Other
    • Endometrial cells in woman > 40yr*
How well did you know this?
1
Not at all
2
3
4
5
Perfectly
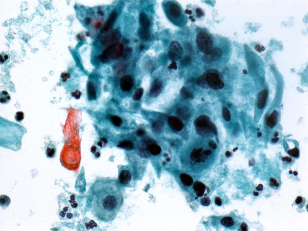
16
Q
A

PARABASALS

How well did you know this?
1
Not at all
2
3
4
5
Perfectly
17
Q
A

STICKY HISTIOCYTES!

How well did you know this?
1
Not at all
2
3
4
5
Perfectly
18
Q
A

LUS, ENDOMETRIUM

  • Large and small tissue fragments
  • Glands
  • Stroma (oval, spindle-shaped)
How well did you know this?
1
Not at all
2
3
4
5
Perfectly
19
Q
A

IUD Changes

How well did you know this?
1
Not at all
2
3
4
5
Perfectly
20
Q

ASC (ASCUS)

  • Management?
  • ASC rates less than _% of all PAP cases
  • Labs with high-risk populations:
    • ASC/SIL ratio should not exceed __ (median ratio in US labs is __)
A

ASC (ASCUS)

  • Suspicion of SIL – LSIL
  • Reflex HPV testing (if +, colposcopy + directed biopsy)
  • ASC rates less than 5% of all PAP cases
  • Labs with high-risk populations:
    • ASC/SIL ratio Should not exceed 3:1 (median ratio in US labs is 1:5)
How well did you know this?
1
Not at all
2
3
4
5
Perfectly
21
Q

ASC-H

  • __% of all Pap tests
  • Management?
A

ASC-H

  • 0.3% of all Pap tests
  • Higher rate of histologic CIN 2/3 than ASC-US
  • Refer for coloposcopy regardless of HPV status
How well did you know this?
1
Not at all
2
3
4
5
Perfectly
22
Q
A

ENDOMETRIAL CARCINOMA

  • 3-D groups
  • Nuclear enlargement
  • Nucleoli
  • Hyperchromasia
  • Scant cytoplasm
  • Cytoplasmic vacuoles
  • Finely granular (watery) diathesis
How well did you know this?
1
Not at all
2
3
4
5
Perfectly
23
Q

ENDOCERVICAL vs. ENDOMETRIAL CA

A

ENDOCERVICAL vs. ENDOMETRIAL CA

Endocervical CA

  • More cells
  • Larger
  • Columnar
  • Preserved
  • Rosettes
  • Crowded sheets
  • Granular
  • PMNs rare

Endometrial CA

  • Less cells
  • Smaller
  • Rounded
  • Degenerated
  • Balls
  • Molded groups
  • PMNs common
How well did you know this?
1
Not at all
2
3
4
5
Perfectly
24
Q
A

PSAMMOMA BODIES

  • Infrequently found in cervical smears
  • Associated with both benign and malignant conditions
  • IUCD Endosalpingiosis
  • TB endometritis
  • Benign endometrial and ovarian lesions
  • Serous papillary carcinoma of the ovary or peritoneum and endometrial malignancies
How well did you know this?
1
Not at all
2
3
4
5
Perfectly
25
Chlamydia
26
COCKLEBURRS CRYSTALS * Radiate arrays of crystalline material often surrounded by macrophages * Thick club-like spokes * More likely to be seen in smears from pregnant women * No significance * D/D: * Haematoidin crystals (finer crystalline rays) * ‘Sulphur granules’ of Actinomyces
27
Barr Body
28
LOW ESTROGEN STATES
LOW ESTROGEN STATES * Premenarche * Postpartum * Post menopause * Turner syndrome * S/P bilateral oophorectomy * Basal * Parabasal cells * Transitional cell metaplasia (grooves)
29
Vaginal
PINWORM (Enterobius vermicularis) EGGS * rectovaginal fistula
30
31
32
Coccidioidomycosis in a liquid-based (ThinPrep) Pap test * Large round and tear-shaped fungal spherules * some endospores characteristic for coccioidomycosis
33
Schistosoma haematobium in a conventional Pap test. * Several ova can be seen with a terminal spine (circles) that are scattered among numerous inflammatory cells.
34
CORNFLAKING
CORNFLAKING * Trapped air bubbles on superficial squamous cells * Reverse * Return slide through xylene and alcohol to water rinses * Restain * Recoverslip
35
LIQUID-BASED CYTOLOGY ThinPrep SurePath Advantages:
LIQUID-BASED CYTOLOGY ThinPrep SurePath Advantages: 1. Duplicate slides 2. Cell blocks 3. Testing (HPV, chlamydia, gonorrhea) 4. Automated screening
36
Sputum collection and fixation
SPUTUM * Formerly most common respiratory tract specimen * Used in symptomatic patients * Collect multiple samples over several days * Early morning deep cough specimens * Sputum induction * Fresh, 70% ethanol fixation * Pick and smear, Saccomanno method (50% ethanol 2% carbowax)
37
Lung PERCUTANEOUS FNA CONTRAINDICATIONS
PERCUTANEOUS FNA CONTRAINDICATIONS * COPD * Emphysema * Bleeding diathesis * Patient: uncooperative, coughing * Severe pulmonary hypertension * AV malformation * Suspected echinococcal cyst
38
Lung
Lung SQUAMOUS METAPLASIA
39
SIALADENOSIS * Diffuse, often bilateral swelling * Peripheral autonomic neuropathy * Acinar hypertrophy, fat * Malnutrition, DM, alcoholism, antihypertensive medications
40
Urine Cytology specimens/fixation/stain
URINE * Fresh, or refrigerated, 50% ethanol fixative * Pap stain preferred, 100 – 300 ml, 3 samples over several days optimum • Voided urine: take 2nd voided urine of day, after hydrating for 2 – 3 hours +/- jumping up and down, mid stream, clean * Bag urine unsuitable * Do not diagnose malignancy in cells without intact nuclear membranes
41
Urine FISH
42
Leydig cell tumor
43
Pancreas SIMPLIFIED WHO CLASSIFICATION
Pancreas SIMPLIFIED WHO CLASSIFICATION * Ductal adenocarcinoma * Acinar cell carcinoma * Pancreatic endocrine neoplasm * Solid-pseudopapillary neoplasm * Pancreatoblastoma * Mucus-producing cystic neoplasm – Intraductal papillary mucinous neoplasm – Mucinous cystic neoplasm * Serous cystadenoma * Nonepithelial tumors * Metastases
44
Pancreatic DUCTAL ADENOCARCINOMA * • Necrotic background * • Cellular aspirates, predominantly ductal cells * • Disordered sheets of cells – “drunken honeycombs” * • Loss of polarity * • Pleomorphism * • Squamoid cytoplasm * • “Tombstone cells” – large, tall columnar cells * • Nucleomegaly (greater than RBCs) * • Anisonucleosis (4:1 or greater ratios) * • Irregular nuclear membranes: grooves, folds, clefts (“popcorn”, * “tulip nuclei”) * • Intranuclear cytoplasmic invaginations * • Abnormal chromatin, thick nuclear membranes * • Nucleoli * • Mitoses +++
45
Pancreatic DUCTAL ADENOCARCINOMA Special studies:
Pancreatic DUCTAL ADENOCARCINOMA Special studies: * Mucicarmine+ * PASD+ mucin in tumor cells * EMA, Keratin (AE1/AE3), CK 7, polyclonal CEA, CAM 5.2 + * Some CD10, CK 20 + * Focal chromogranin, pancreatic enzyme markers + * CA 19-9 + * K-ras mutation detection
46
Pancreas
INTRADUCTAL PAPILLARY MUCINOUS NEOPLASM (IPMN) * Rare, M \> F * 60 – 70 years old * More commonly in head of pancreas * Radiological and clinical input is essential * Single or multiloculated cysts * Dilated pancreatic ducts * Abundant mucin flowing from patulous ampulla at endoscopy * Cytology * Rounded, papillary cell islands and fragments * Mucinous cells * Potential for malignant transformation – obvious malignant cytologic features * Positive Stains: * EMA, CK, Mucin, MUC 2, MUC 1, PCNA * Ki 67 increased inmalignant tumors * P53 + in borderline tumors and carcinomas * Better prognosis than usual pancreatic cancer
47
Pancreas
MUCINOUS CYSTIC TUMOR * Rare, indolent, potentially malignant * Middle-aged women * Cytology: * Intracellular and extracellular mucin * Subepithelial stroma, resembles ovarian stroma * Mucinous background, moderate cellularity * Regularly honeycombed epithelial sheets * Papillary structures, psammoma bodies may be present * Mucinous epithelial cells – goblet, signetring cells * Well differentiated – resemble benign endocervical cells * Mucinous macrophages * Stroma may be present * Special studies: * • EMA + * • CK 7, 18, 18, 19 + * • CEA + * • CA 19-9+ * • DUPAN-2 + * • Stromal component: vimentin, SMA, desmin, ER, PR, inhibin + * • MUC 2 + * • MUC 1 +
48
Pancreas
PANCREATIC PSEUDOCYST
49
CALCIUM OXALATE CRYSTALS in lung
CALCIUM OXALATE CRYSTALS * Aspergillus niger fungal infection * Produces large amounts of oxalic acid * Toxic to the blood vessels * Fatal pulmonary hemorrhages * Consequently calcium oxalate crystals in sputum or lung specimens is also an indication of an Aspergillus infection of the lung
50
CLIA Dates 1967 1988 1990-92 1994
CLIA Dates 1967 CLIA Act 1988 Ammended CLIA 1990-92 Rules published in Federal Register 1994 Enforced
51
CLIA 88 Personnel Standards * Technical Supervisor * General Supervisor * Cytotech
CLIA 88 Personnel Standards * Technical Supervisor * MD/DO * ABP/ASC w state license * Must review all non-gyn * Must confirm react/repair and ECA * General Supervisor (Debbie) * TS or CT w 3 yr cyto experience * Day to day supervision of lab * Document daily workload * Cytotech * Graduate from school accredited by CAAHEP
52
CLIA 88 Workload Limits * Conventional smear: * liquid based = * Location guided * field of view (FOV) = * FOV + full manual = * No less than __ hrs * __ slides/hr max * Reassessed q \_\_ * CA & NY __ slide limit
CLIA 88 Workload Limits * Conventional smear: **100 slides** * liquid based = 0.5 * Location guided * field of view (FOV) = 0.5 (if negative) * FOV + full manual = 1.5 * No less than 8 hrs * 12.5 slides/hr max * Reassessed q 6 mo * CA & NY 80 slide limit
53
CLIA 88 10% Rescreen
CLIA 88 10% Rescreen * **Prospective** **rescreen** of **negatives** * TS, GS or designee * Include % high risk cases * Document results and remedial measures
54
CLIA 88 5 yr Retrospective
CLIA 88 5 yr Retrospective * Review previous **negatives** in current cases of HSIL or cancer * Types of error * None * Screening - tech * Interpretation - pathologist * Document stats * Only report if it affects **current** management
55
CLIA 88 Cyto/Histo Correlation * What cases need it? * What's the #1 cause for non-correlation?
CLIA 88 Cyto/Histo Correlation * Mandated for HSIL & cancers * Good QA * #1 reason for non-correlation is sampling
56
CLIA 88 Statistics (4)
CLIA 88 Statistics 1. Anual gyn & non-gyn 2. Breakdown of gyns, including unsats 3. # cases with + 10% rescreen or 5 yr lookback 4. Cyto/Histo correlation
57
CLIA 88 Performance eval and workload limits * for who? * how often? * by who? * using what?
Performance eval and workload limits * q 6 mo for techs * by TS (MD) * use stats
58
CLIA 88 Proficiency Testing * where? * what's passing? * what if you fail (1,2,3)?
Proficiency Testing * on site * 10 slide test, 90% to pass * 1st fail: retest 10 slides in 45 days * 2nd fail: 20 slide test, all paps reexamined * 3rd fail: 35 hr CME, 20 slide test
59
CLIA 88 Regulatory * Who enforces CLIA? * Must notify CAP if:
Regulatory * CMS enforces CLIA * Contract ASCT for complaints * CAP \> CMS \> COLA \> JC * CMS does 10% reinspection after CAP * Must notify CAP if: * negative media * investigation
60
CLIA 88 Retention * Glass exfoliative * FNA * Report * Accesion log/worksheet
CLIA 88 Retention * Glass exfoliative - 5 yr * FNA - 10 yr * Report - 10 yr * Accesion log/worksheet - 2 yr
61