Diagnosis?
Inheritance pattern?
Gene?
Most common mutation?
Pathophysiology?
Symptoms?

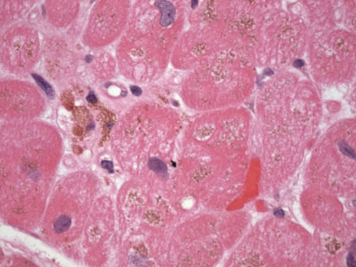
Hereditary Hemochromatosis

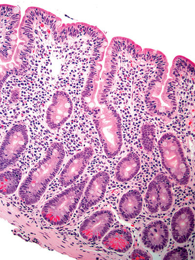
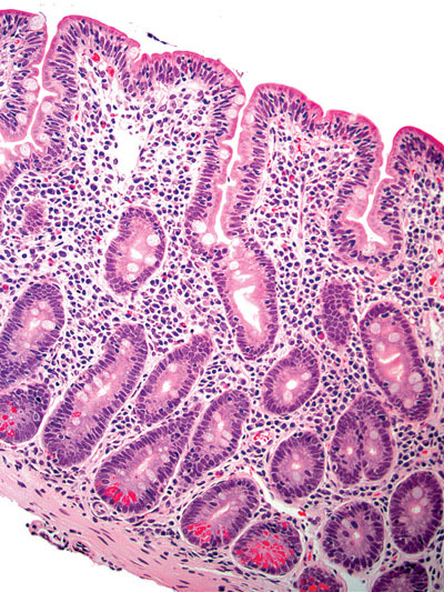
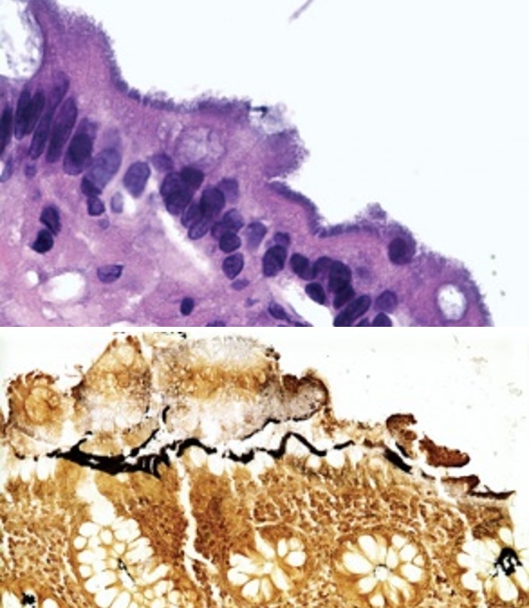
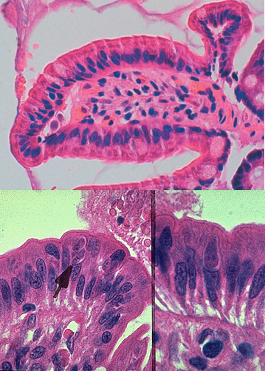
Celiac disease
In typical cases of celiac disease, intraepithelial lymphocytes are CD__+/CD__+.
Abnormal lymphocyte populations (with __ phenotype) may be seen in cases of refractory celiac disease and these patients are at increased risk for development of __.

Celiac disease

Celiac disease
4 forms?
Virus?
Stain?

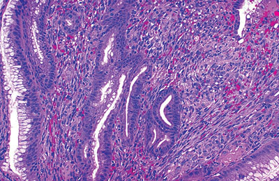
Kaposi sarcoma involving stomach
Four forms of Kaposi sarcoma (KS) are described:
(1) classic form, an indolent, primarily cutaneous disease typically affecting older men of Mediterranean ancestry
(2) endemic form, primarily affecting HIV-negative children in Africa
(3) iatrogenic form, affecting organ transplantation patients on immunosuppressive therapy
(4) HIV-associated cases.
Helicobacter pylori and Gastric Carcinoma
Helicobacter pylori and Gastric Carcinoma

Spirochetosis.

Listeria villitis
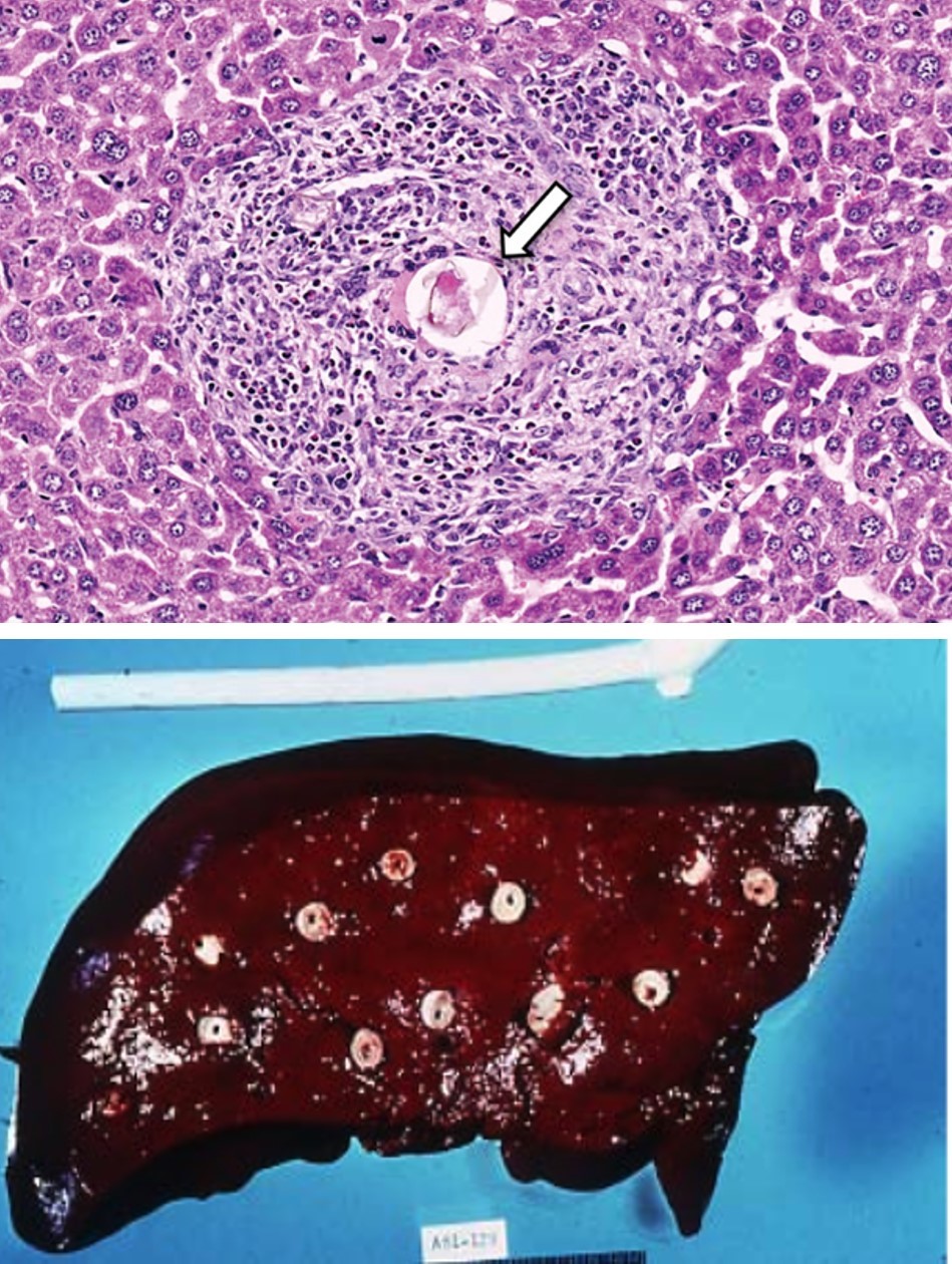
What causes pipestem fibrosis in the liver?

Schistosomiasis and Pipestem Fibrosis

DDx?

Fibrin Ring Granulomas and Q Fever
Dx in infant?
Increased risks?
Tx?

Infant of a diabetic mother
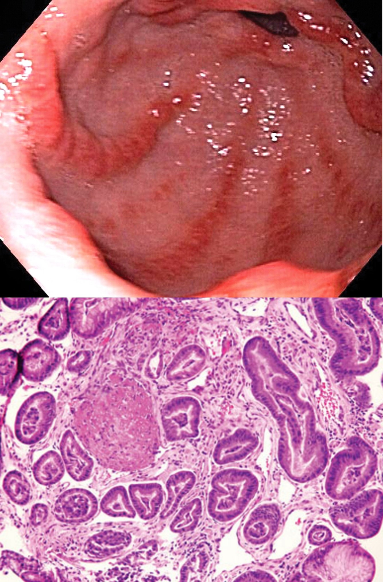
Who gets it?
Endoscopy?
Histology?
DDx?

Gastric antral valscular ectasia (GAVE)
Dx?
Histology?
Subtypes?
Stains?
Children and young adults with multiple__ and diabetes?
Most likely to progress an special staining?

Hepatocellular Adenoma (Liver Cell Adenoma)
Adult Dx?
DDx?
Icreased prevalence in what population?
Histology?

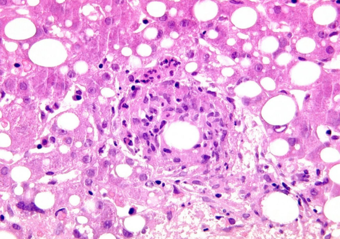
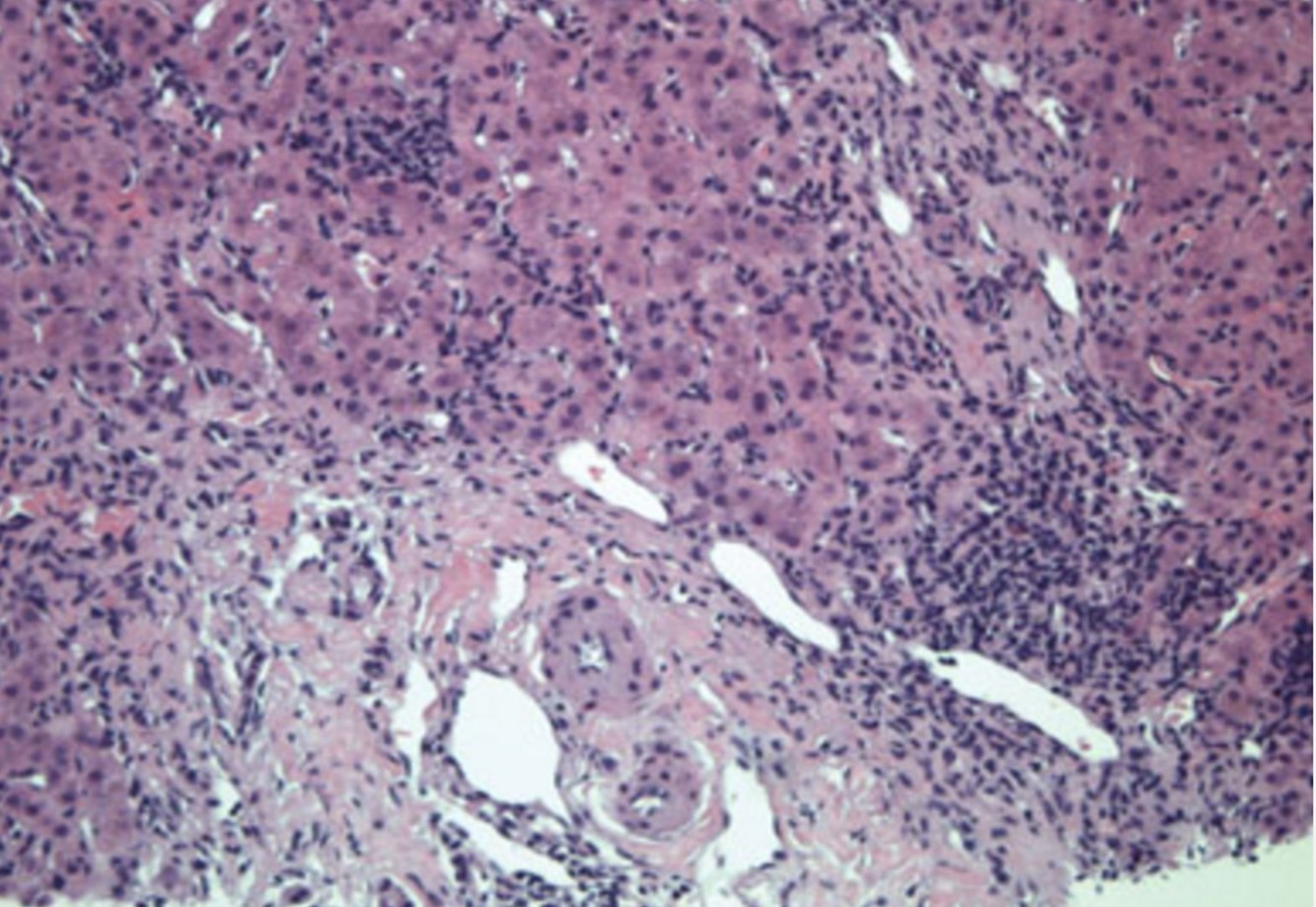
Postinfantile Giant Cell Hepatitis
Dx?
Where do they most commonly occur?
Age?

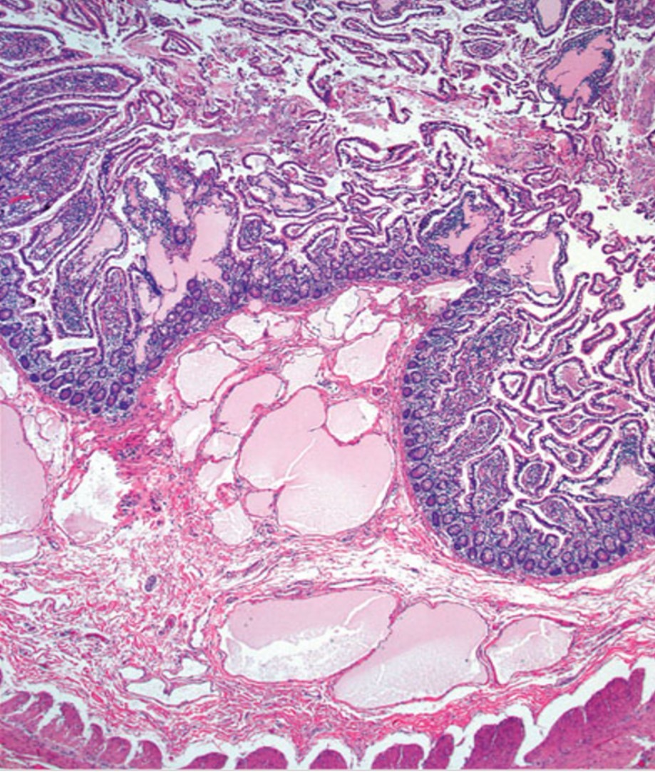
Lymphangioma of the small intestine and mesentery

Primary Sclerosing Cholangitis with Ductopenia
DDx?

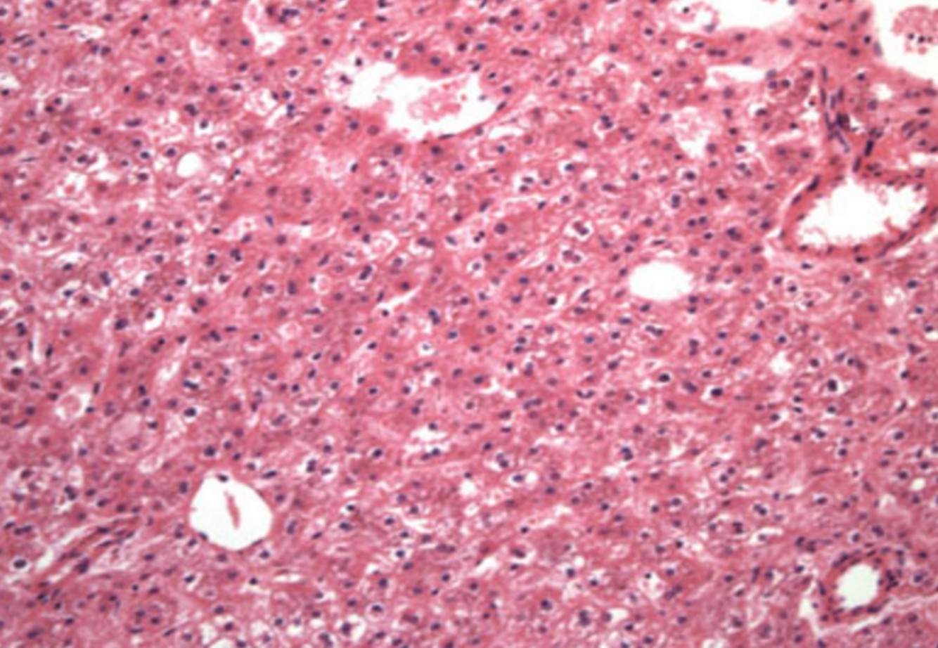
Acute Hepatitis

Isospora

How do the following stain with CDX-2?
CDX-2
GASTRIC STROMAL TUMORS RISK ASSESSMENT
GASTRIC STROMAL TUMORS RISK ASSESSMENT
CARNEY’S TRIAD
CARNEY’S TRIAD
*Succinate dehydrogenase-deficient, wild type for KIT/PDGFRA, often epithelioid morphology
GI and PANCREATIC NEUROENDOCRINE TUMORS
GI and PANCREATIC NEUROENDOCRINE TUMORS
Location?
IHC?
A/W?

PSAMMOMATOUS CARCINOID