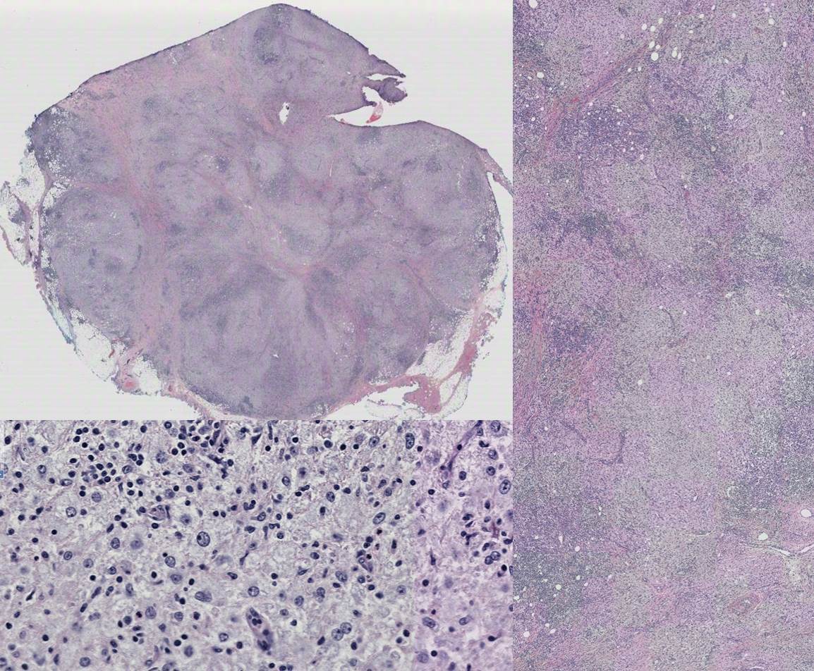
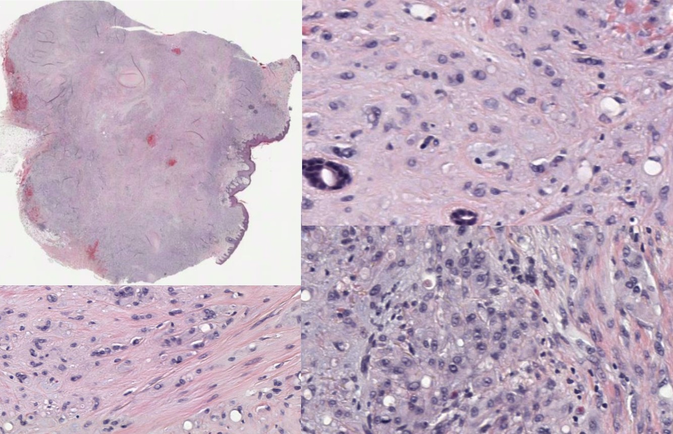
70 yo male with cheek mass;
DDx?
Stains?

Melanoma: spindle and desmoplastic
DFSP
Spindle cell variant of SCC
Epitheliod sarcoma
AFX
Undifferentiated pleomorphic sarcoma
Leiomyosarcoma
All neg - afx/mfh depending on depth
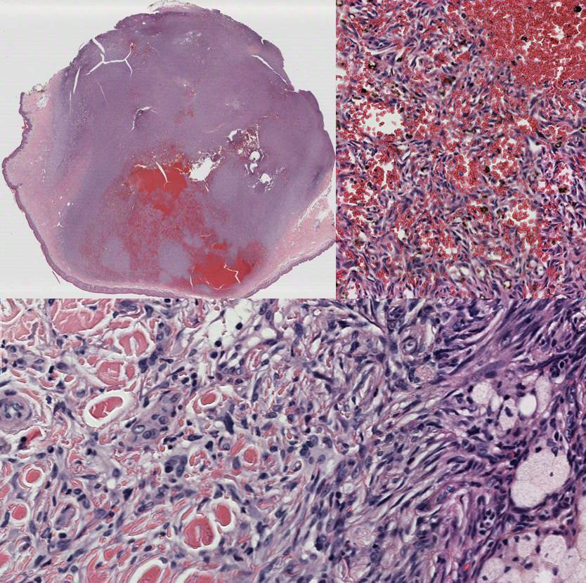
15 yo female with subcutaneous flank mass.

Rosai-Dorfman
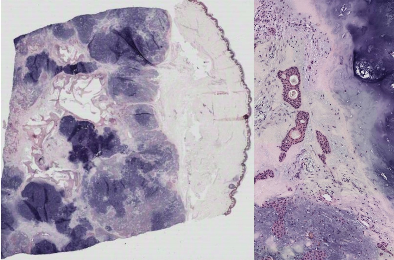
30 yo female with enlarging calf nodule.

Dermatofibroma with aneurysmal change
DDx
Vascular tumor
30 yo male with ankle mass.

Chondroid Syringoma
9 yo female with forehead mass.

Glomus Tumor
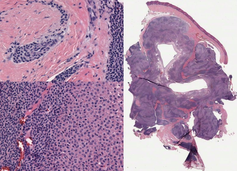
50 yo female with scalp mass.

Epithelioid Hemangioendothelioma

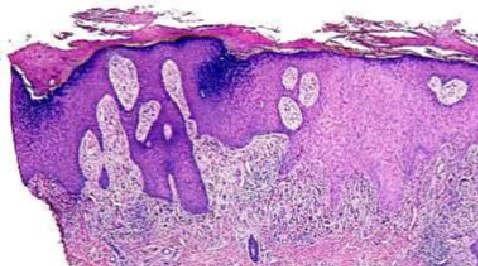
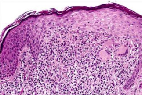
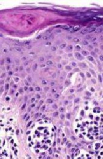
LICHEN PLANUS (LP)

LP DDx
Differential Diagnosis

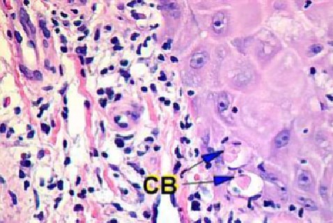
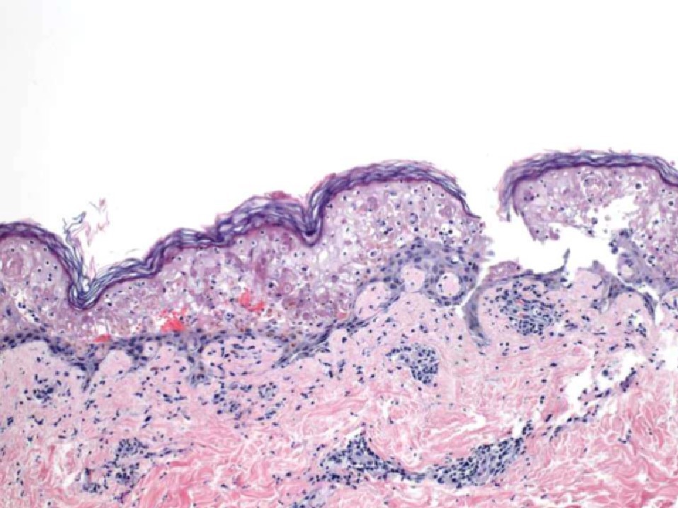
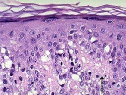
ERYTHEMA MULTIFORME (EM) & TOXIC EPIDERMAL NECROLYSIS (TEN)
& SJS
Definition?
Associations?

ERYTHEMA MULTIFORME (EM) & TOXIC EPIDERMAL NECROLYSIS (TEN)


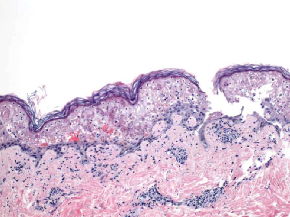
ACUTE GRAFT-VERSUS-HOST DISEASE (GVHD)
Grading GVHD
Grading GVHD
DDx?
Tests?

Lupus Erythematosus
Discoid LE (DLE):
Subacute cutaneous LE (SCLE) and systemic LE (SLE):
DIF:


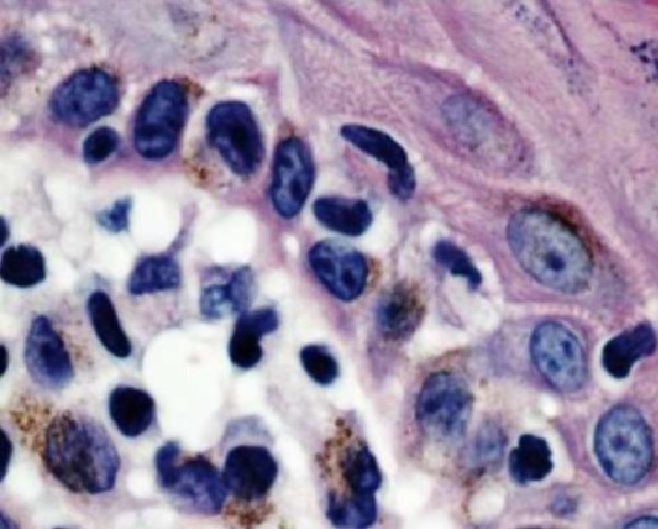
DERMATOMYOSITIS (DM)

LICHEN NITIDUS (LN)

LICHEN SCLEROSUS ET ATROPICUS (LS&A)
Dx?
DDx?

PITYRIASIS LICHENOIDES ET VARIOLIFORMIS ACUTA (PLEVA) AND CHRONICA (PLC)
PLEVA:
PLC:
DDx: LyP, mf, HSV, drug reaction

MYCOSIS FUNGOIDES (MF)

Histology?
Characteristic of?

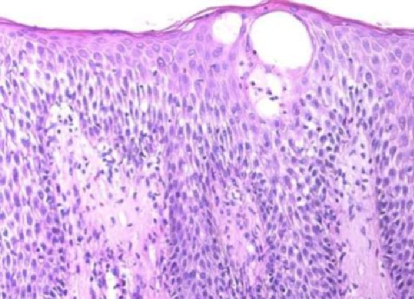
SPONGIOTIC DERMATITIS +/- EOS
Histology:
Characteristic of:

ALLERGIC CONTACT DERMATITIS
DDx for spongiotic dermatitis + distinguishing features
DDx for spongiotic dermatitis also includes:

DERMATOPHYTOSIS (TINEA)


ERYTHEMA MULTIFORME (EM) & TOXIC EPIDERMAL NECROLYSIS (TEN)
& SJS
Dx?
Histology?
DDx?

PITYRIASIS ROSEA (PR)
DDx:
