AJCC
T4a group for breast carcinomas includes carcinomas with __. This does not include ___.
Invasive carcinomas greater than __ mm and less than or equal to __ mm are staged as T2; those greater than __ mm are T3.
The AJCC T4a group for breast carcinomas includes carcinomas with extension to the chest wall. This does not include invasive carcinomas adhering to or invading the pectoralis muscle. The carcinoma must penetrate beyond the pectoralis muscle into the chest wall to be classified as T4a. Invasive carcinomas greater than 20 mm and less than or equal to 50 mm are staged as T2; those greater than 50 mm are T3.
Is it positive for CK 5/6?
What is the risk of a radiologically occult invasive carcinoma?
Is sentinel lymph node procedure is not recommended?
It exhibits ___ nuclear grade.
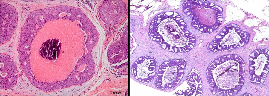
Is comedo necrosis is common?.

High grade DCIS is non-reactive with CK 5/6 as opposed to ductal hyperplasia which shows significant positivity.
The risk of occult invasive carcinoma in high grade DCIS is about 50%, and, therefore, sentinel lymph node procedure is recommended in those cases.
Which immunohistochemical markers are most useful in distinguishing between benign and atypical epithelial foci within papillary proliferations of the breast?
ER and CK5 staining, when used together, are valuable adjunct stains to differentiate usual duct hyperplasia from atypical proliferations within papillary lesions on breast core biopsy.
Hormone receptor assay and reporting
According to the 2007 ASCO/CAP guidelines for Her2/neu testing, a Her2/neu positive result includes at least one of the following:
According to the 2007 ASCO/CAP guidelines for Her2/neu testing, a Her2/neu positive result includes at least one of the following:
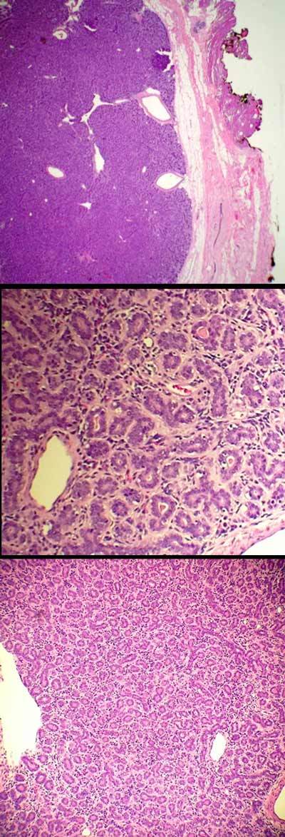
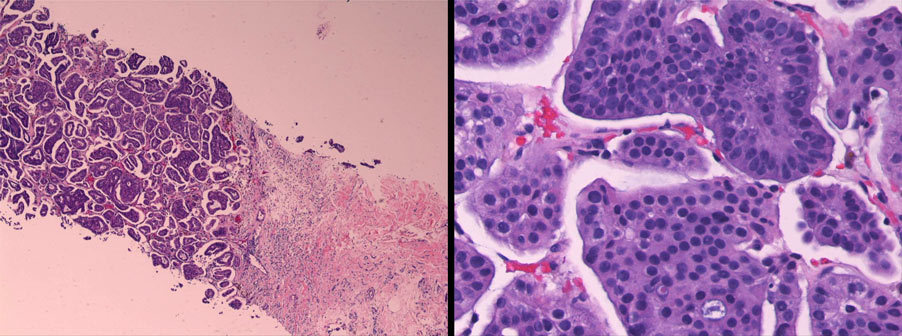
Adenoid cystic carcinoma (ACC) of the breast

Adenoid cystic carcinoma (ACC) of the breast
Small cell carcinoma breast primary v. met
Similar?
Distinguising?
Small cell carcinoma breast primary v. met
Similar
Distinguising?
Dx?
E-cadherin staining?

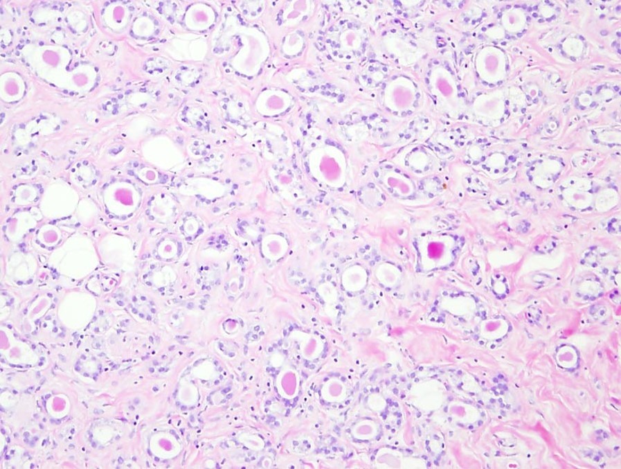
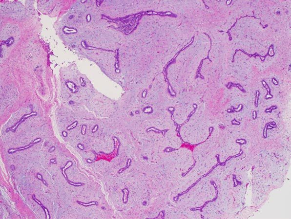
Tubulolobular carcinoma.

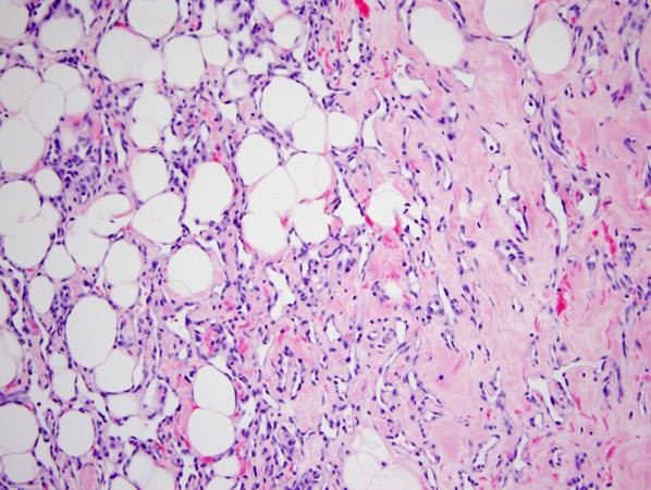
Microglandular adenosis
DDx?
Histology?

Tubular adenoma
DDx
Tubular carcinoma
Microglandular adenosis
Adenomyoepithelioma
DDx?
Age?
Genetics?

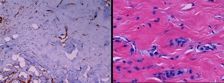
Primary (de novo) angiosarcoma of the breast
Secondary (radiation-associated) angiosarcoma
APRVP
Stains?

Pseudoangiomatous hyperplasia (PASH)
DDx?
Best IHC panel?
Best single stain?

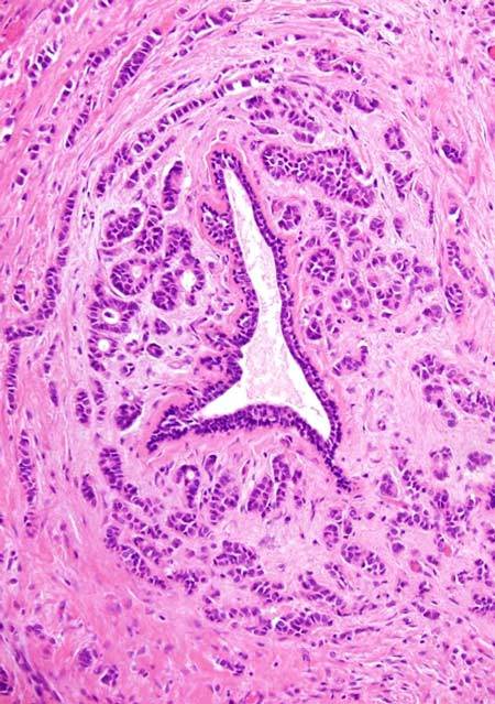
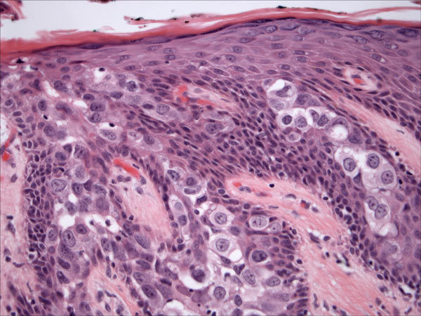
Paget’s disease of the nipple
DDx
Paget’s
Toker cells
Squamous cell carcinoma in situ/Bowen’s disease
Melanoma
Best 4 stains (all negative in Paget’s)
HER2 is the most useful single immunostain
What is the typical immunoprofile of in situ and invasive lobular carcinoma? (E-cadherin, catenin P120)
Lobular neoplasia, including both in situ and invasive lesions
Dx?
Incidence?
Prognosis?
Pure or mixed?
ER, PR and Her-2?
Age?

Invasive micropapillary carcinoma
According to AJCC staging guidelines:
Metastases in 1 to 3 lymph nodes with at least one greater than 2.0 mm should be staged as ___
Isolated tumor cells (ITCs)
Micrometastases
Isolated tumor cells (ITCs)
Micrometastases
Metastases in 1 to 3 lymph nodes with at least one greater than 2.0 mm should be staged as pN1a
Dx?
Stains?
DDx?

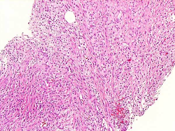
Spindle cell carcinoma
DDx
Despite that it is rare to be associated with an atypical proliferative lesion, when it occurs, the most common atypical lesion encountered is __

Although atypical or neoplastic proliferations are not often encountered in fibroadenomas, when they occur, lobular carcinoma in situ (LCIS) is most common.
Dx?
How is it detected?
Prognosis?
Treatment?

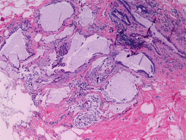
Mucocele-like lesion
Basal phenotype breast cancer
Basal phenotype breast cancer
Luminal A/B tumors
Luminal A tumors
Luminal B tumors
Basallike breast cancers
Basallike breast cancers
HER2-positive tumors by gene expression profiling
HER2-positive tumors by gene expression profiling