BENIGN CARTILAGINOUS TUMORS (4)
BENIGN CARTILAGINOUS TUMORS

OSTEOCHONDROMA

ENCHONDROMA

CHONDROBLASTOMA


CHONDROMYXOID FIBROMA



Chondrosarcoma Subtypes (5)
Chondrosarcoma Subtypes

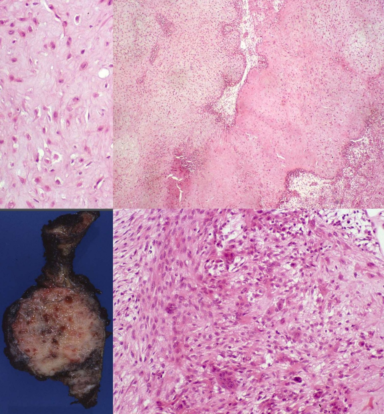
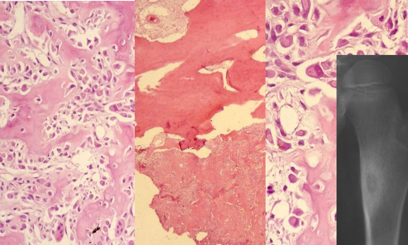
CONVENTIONAL CHONDROSARCOMA
SECONDARY CHONDROSARCOMA
SECONDARY CHONDROSARCOMA

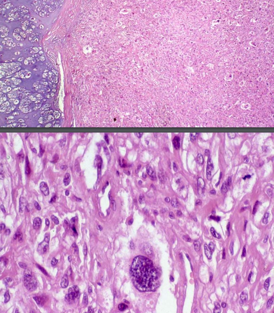
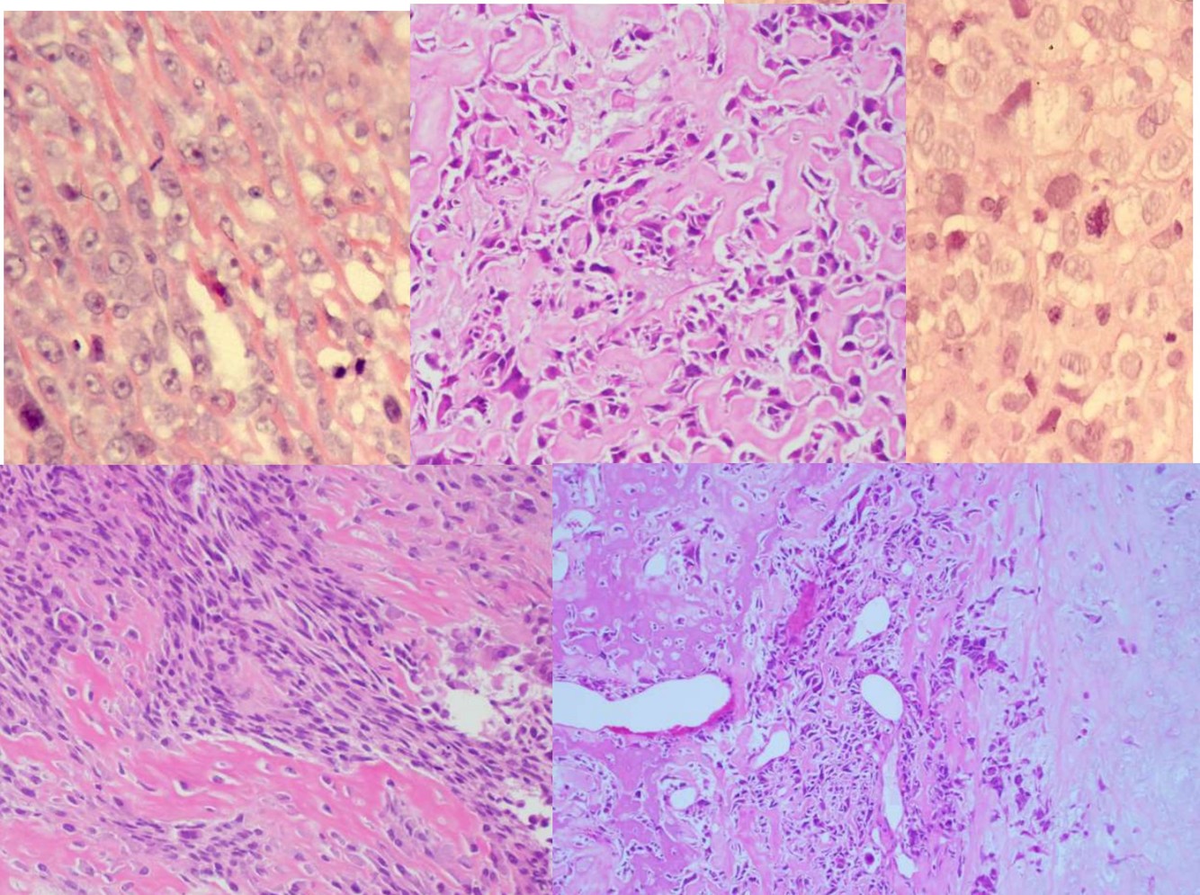
DEDIFFERENTIATED CHONDROSARCOMA

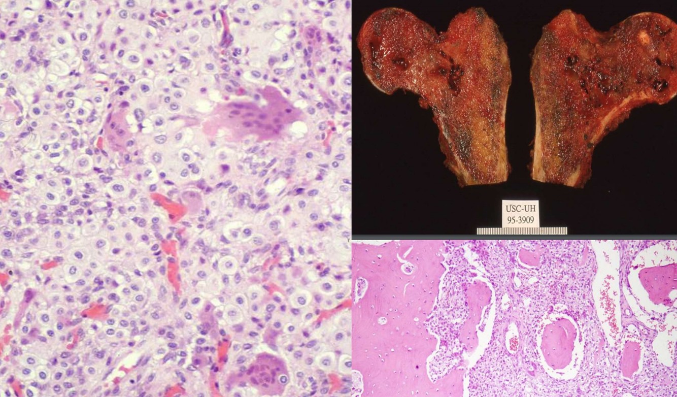
CLEAR CELL CHONDROSARCOMA

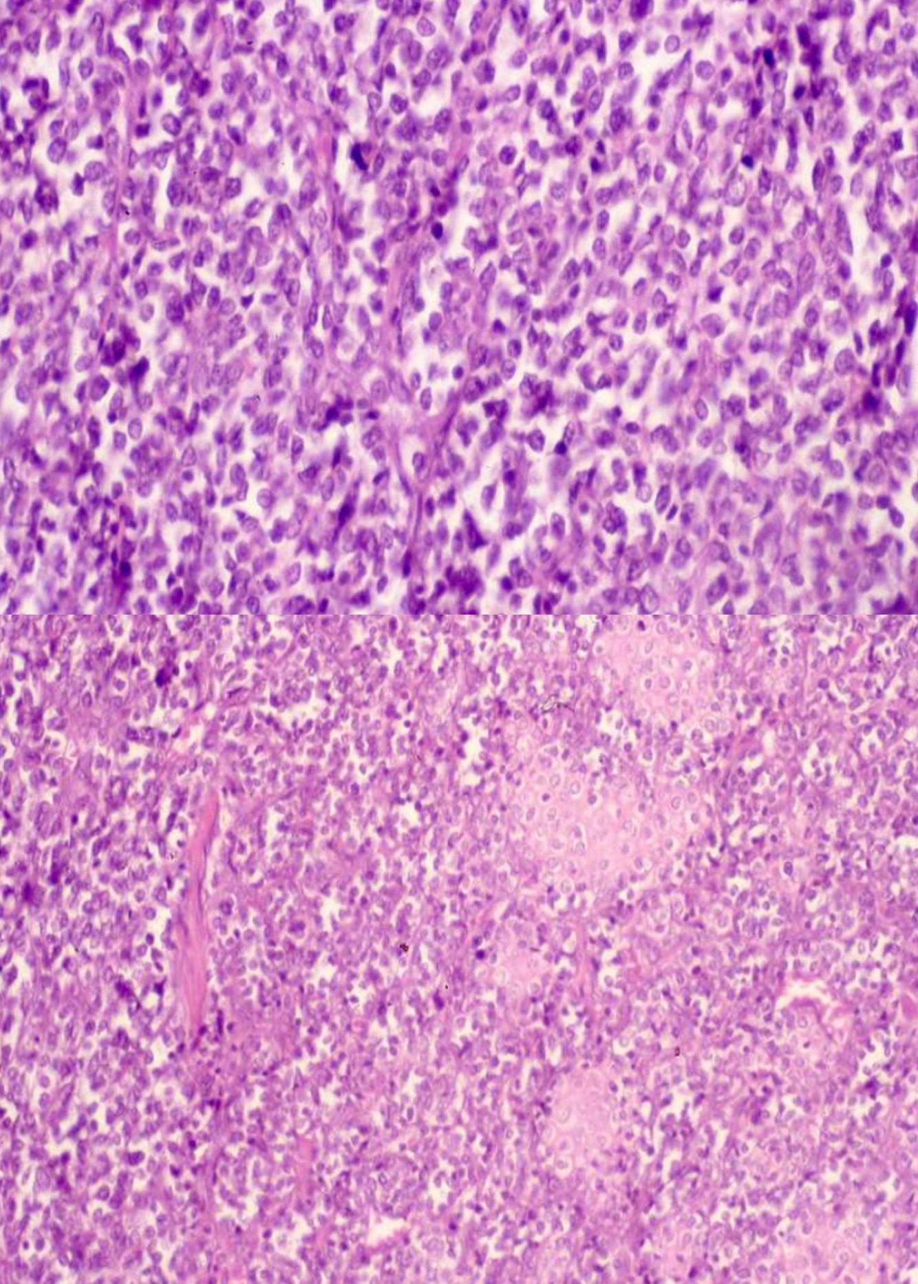
MESENCHYMAL CHONDROSARCOMA
BENIGN OSTEOGENIC TUMORS (2)
BENIGN OSTEOGENIC TUMORS

OSTEOID OSTEOMA and OSTEOBLASTOMA (bigger)
OSTEOSARCOMA subtypes (5)
OSTEOSARCOMA

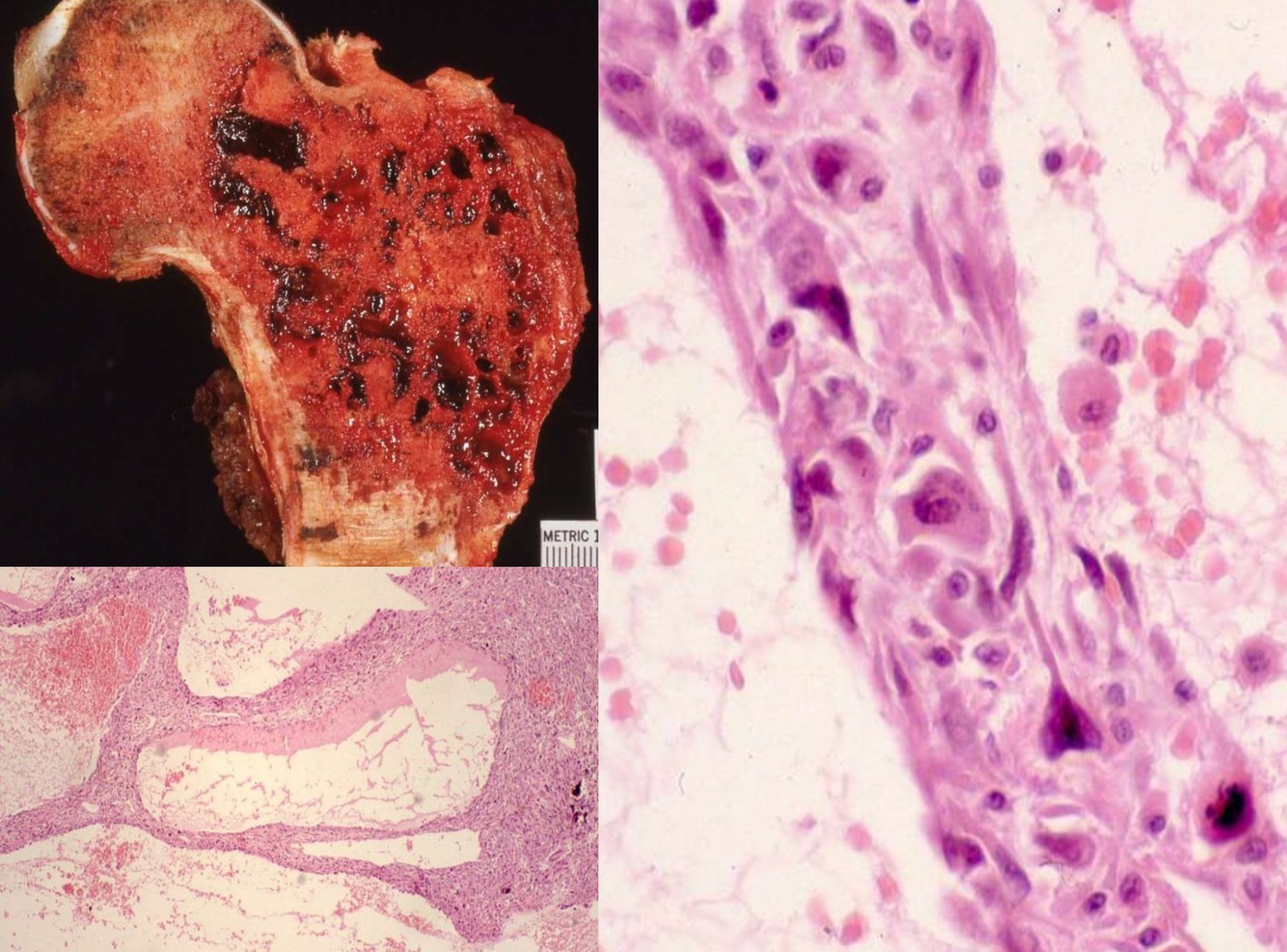
CONVENTIONAL OSTEOSARCOMA


TELANGIECTATIC OSTEOSARCOMA

SMALL CELL OSTEOSARCOMA
IDH2/IDH2 mutations
SURFACE OSTEOSARCOMA
SURFACE OSTEOSARCOMA
IDH2/IDH2 mutations

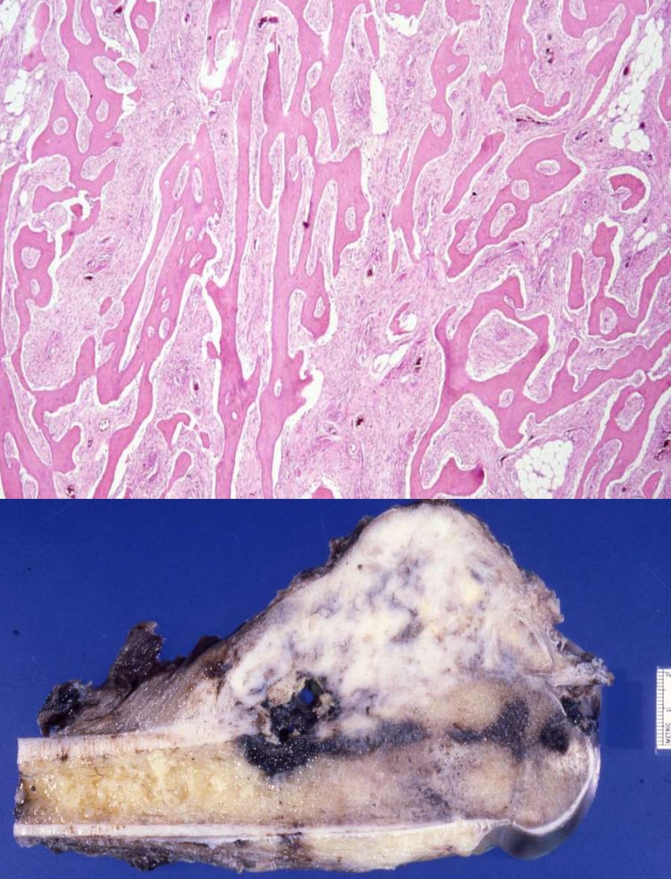
PAROSTEAL OSTEOSARCOMA
IDH2/IDH2 mutations

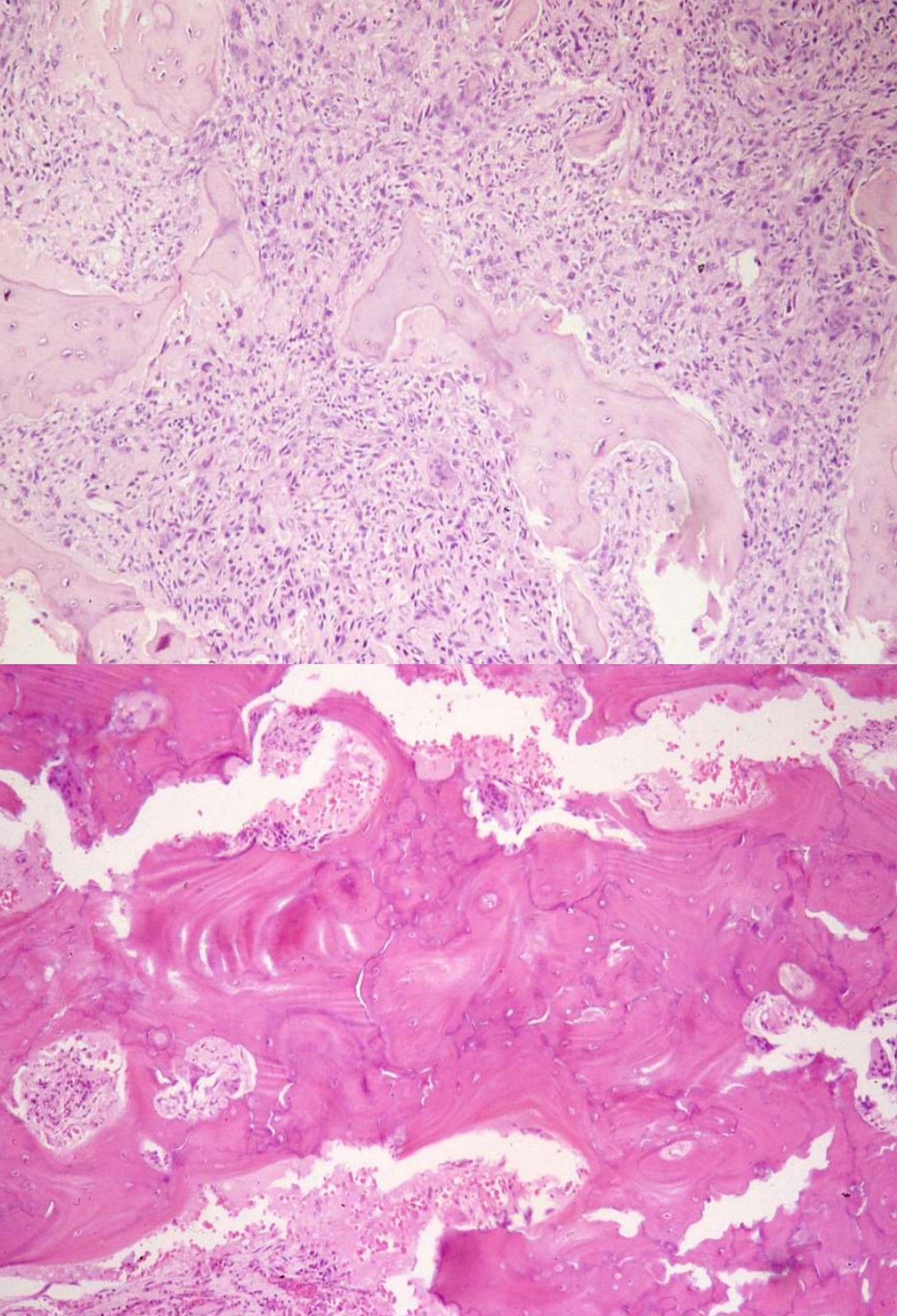
PERIOSTEAL OSTEOSARCOMA
100% have IDH2/IDH2 mutations
HIGH-GRADE SURFACE OSTEOSARCOMA
HIGH-GRADE SURFACE OSTEOSARCOMA
IDH2/IDH2 mutations
SECONDARY OSTEOSARCOMA

SECONDARY OSTEOSARCOMA

FIBROUS DYSPLASIA